Abstract
SUMMARY: Herein, we report the findings of intracranial arterial wall enhancement, consistent with focal cerebral arteriopathy–inflammatory type, in a child presenting with acute infarct in the setting of coronavirus disease 2019 (COVID-19) infection. To our knowledge, this report provides the first description of vessel wall imaging findings in COVID-19-associated acute stroke.
ABBREVIATIONS:
- COVID-19
- coronavirus disease 2019
- FCA
- focal cerebral arteriopathy
- SARS-CoV-2
- Severe Acute Respiratory Syndrome coronavirus 2
- VWI
- vessel wall imaging
Severe Acute Respiratory Syndrome coronavirus 2 (SARS-CoV-2) has resulted in the world-wide pandemic of coronavirus disease 2019 (COVID-19) illnesses, including Severe Acute Respiratory Syndrome and a multitude of neurologic manifestations.1 There is emerging evidence for the role of the cerebrovascular system in neurologic manifestations of COVID-19 infection, and patients with COVID-19 infection may be at greater risk for thromboembolic disease.2 Recent studies have demonstrated that patients can develop intracranial hemorrhages, acute strokes,3 and large-vessel arterial occlusions.4 The pathomechanisms that underlie COVID-19-associated cerebrovascular disease remain unclear. While growing numbers of case reports and studies have highlighted COVID-19-associated neurologic disease in adults, there are few reports of COVID-19-associated neurologic disease in children. A recent case report demonstrated stenosis of the left middle cerebral artery, which was attributed to focal cerebral arteriopathy (FCA), in a pediatric patient with COVID-19 and acute stroke.5 Herein, we describe the second documented case of COVID-19-associated FCA and acute stroke in a pediatric patient. Additionally, we provide the presumptive first description of MR imaging vessel wall imaging (VWI) findings in a patient with COVID-19-related stroke.
A 13-year-old right-handed girl presented with fluctuating-but-persistent headache, speech difficulty, and right upper and lower extremity weakness for 4 days. Two months before presentation, she and other family members experienced fever, myalgias, and anosmia, which subsequently resolved. One month before admission, she and other family members tested positive for SARS-CoV-2 qualitative antibodies. Antibody testing for the patient was performed with the ADVIA Centaur SARS-CoV-2 Total Assay (Siemens). The child had no other medical history. There was no family history of thrombophilia.
The initial exam was normal for temperature, blood pressure, and heart rate. Her speech was dysfluent with word-finding difficulties. She had mild-to-moderate extensor weakness in the right arm and leg. Initial head CT showed a left frontal hypodensity (not shown) concerning for ischemic infarct. Consequently, the patient was transferred to our tertiary referral center. At our facility, results of testing for SARS-CoV-2 RNA by real-time reverse transcription polymerase chain reaction with a nasopharyngeal swab specimen were positive.
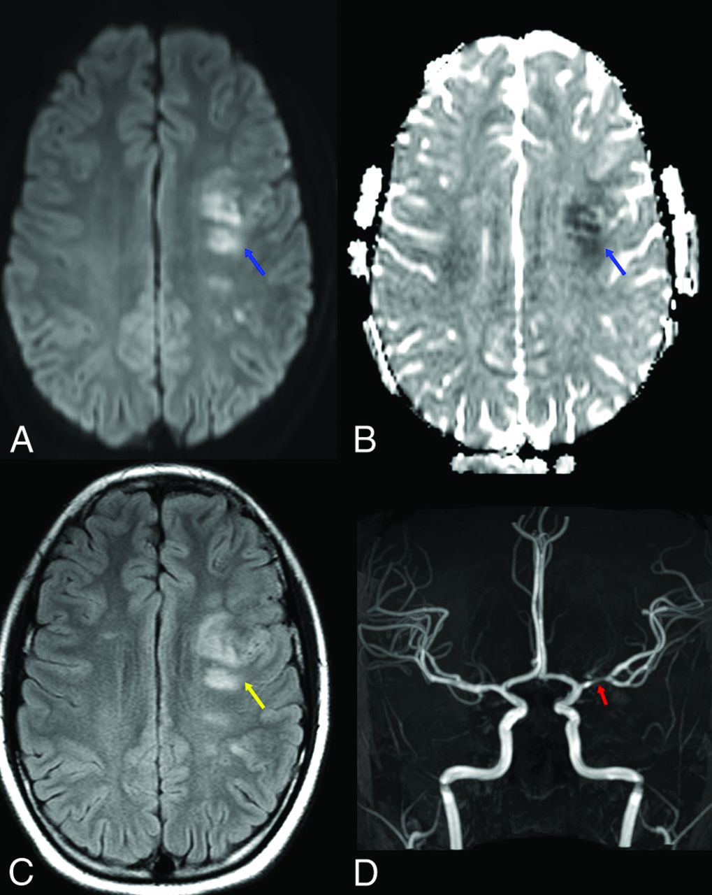
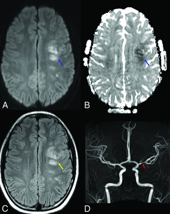
MR imaging of the brain demonstrated small regions of restricted diffusion and FLAIR hyperintensity, with the left frontal, parietal, and temporal lobes consistent with acute-subacute infarcts in the left middle cerebral artery vascular territory (Fig 1). Noncontrast MRA of the head was performed with a time-of-flight sequence. Vessel wall imaging was performed with and without intravenous gadolinium contrast with 3D volume isotropic turbo spin-echo acquisition T1 and black-blood sequences on a 3T MR imaging instrument. MRA of the head demonstrated focal moderate stenosis within the M1 segment of the left middle cerebral artery (Fig 1). Vessel wall imaging targeted to the left middle cerebral artery M1 segment demonstrated wall thickening and marked, concentric contrast enhancement (Fig 2) at the site of stenosis. These imaging features, in conjunction with the clinical presentation, were consistent with focal cerebral arteriopathy of childhood–inflammatory type.6
COVID-19-associated left MCA vascular territory acute infarcts in a pediatric patient. Axial diffusion (A), ADC map (B), and FLAIR (C) images demonstrate foci of restricted diffusion (blue arrows) and cytotoxic edema (yellow arrow) within the left middle cerebral artery vascular territory, consistent with acute infarcts. Anterior projection from a TOF-MRA of the head (D) demonstrates a focal segment of moderate stenosis within the left M1 middle cerebral artery (red arrow).
Vessel wall enhancement within the M1 left MCA. Vessel wall imaging targeted to the left middle cerebral artery with axial pre- (A) and postcontrast (D) 3D T1 volume isotropic turbo spin-echo acquisition sequences, with reformatted coronal images; B and E, respectively). Pre- (C) and postcontrast (F) reformatted sagittal images en face to the M1 left middle cerebral artery at the level of the blue and yellow arrows, respectively. There is wall thickening (blue arrow) and marked concentric contrast enhancement of the M1 left middle cerebral artery at the segment of stenosis (yellow arrows). The imaging findings, in conjunction with the clinical history, were consistent with FCA-inflammatory type.
Additional work-up for the patient was unrevealing. The echocardiogram findings were within normal limits. The lumbar puncture result was within normal limits. Multiple viral polymerase chain reaction tests, including herpes simplex virus and varicella zoster virus, were negative from the spinal fluid, as were bacterial cultures. Thrombophilia evaluation had normal findings. Other inflammatory markers, typically elevated in COVID-19-associated pediatric multisystem inflammatory syndrome, were normal. Clinically, the patient improved, and the neurologic examination was unremarkable at the time of discharge. A follow-up MR imaging examination has not yet been performed at the completion of this article.
Large-vessel cerebral arteriopathy is the most common cause of arterial ischemic stroke in a previously healthy child.7 The Vascular Effects of Infection in Pediatric Stroke study6 found that the most common arteriopathies in children presenting with acute arterial ischemic stroke included Moyamoya disease, arterial dissection, and FCA-inflammatory type. An updated definition of FCA by Wintermark et al6 includes unifocal and unilateral stenosis/irregularity of the distal internal carotid artery and/or its proximal branches. FCA-inflammatory type describes FCA that is presumed to be inflammatory (a focal vasculitis) and can be diagnosed by marked concentric vessel wall enhancement on VWI.6 FCA, dissection type, in contrast, refers to intracranial arterial dissection, typically associated with a history of trauma.
VWI is capable of distinguishing among disease entities involving the intracranial arterial system.8 CNS vasculitis typically demonstrates vessel wall thickening on VWI, with homogeneous and concentric contrast enhancement,8 and infectious pathogens such as varicella zoster have been shown to cause concentric vessel wall enhancement.9 Other forms of arteriopathy can also result in vessel wall enhancement, including arterial dissection, cardioembolism, and drug-induced vasospasm.10,11 However, in our patient, no clinical or laboratory findings were present to support these other possibilities.
Existing evidence in the adult population supports thromboembolism as a common cause of stroke in patients with COVID-19,2 possibly secondary to “cytokine storms,” which can lead to vascular endothelial damage.12,13 It is currently unknown whether the pathophysiology of COVID-19-associated acute infarcts in the pediatric population is similar to that described in adults. A recent report by Mirzaee et al5 described a case of presumed focal cerebral arteriopathy in a pediatric patient with COVID-19, but VWI was not performed. We similarly observed evidence of focal cerebral arteriopathy on MRA but were able to corroborate the diagnosis of FCA-inflammatory type with VWI. Taken together, our results and those of Mirzaee et al suggest FCA as a mechanism of SARS-CoV-2–related acute ischemic stroke in children. It is currently unclear whether FCA is also a significant cause of ischemic infarction in adults with COVID-19.
To our knowledge, this report provides the first description of vessel wall imaging findings in a patient with COVID-19 with acute ischemic stroke. We believe that VWI may facilitate the specific diagnosis of focal cerebral arteriopathy in children (and perhaps adults) with COVID-19. Of note, steroid therapy may improve the outcome in focal cerebral arteriopathy;14 recognition of focal cerebral arteriopathy on imaging may, therefore, contribute to the choice of a therapeutic regimen in COVID-19-related infarction. We, therefore, suggest that clinicians and neuroradiologists consider using vessel wall imaging to aid in the evaluation of patients with COVID-19 and acute stroke.
Footnotes
Disclosures: Philip Overby—UNRELATED: Expert Testimony: legal medical reviews. Fawaz Al-Mufti—UNRELATED: Employment: Westchester Medical Center at New York Medical College.
Indicates open access to non-subscribers at www.ajnr.org
References
- Received June 19, 2020.
- Accepted after revision July 16, 2020.
- © 2020 by American Journal of Neuroradiology