Abstract
BACKGROUND AND PURPOSE: Although many pediatric neuroradiology practices empirically use noncontrast brain and pituitary MR imaging for evaluation of growth hormone deficiency, central precocious puberty, and short stature, there are currently insufficient published data to support this practice in an evidence-based fashion. Therefore, the use of contrast-enhanced MR imaging for all pediatric pituitary endocrinopathies remains widespread. We evaluated whether noncontrast MR imaging has adequate diagnostic yield for the evaluation of pediatric growth hormone deficiency, central precocious puberty, and short stature.
MATERIALS AND METHODS: Pituitary MR imaging studies obtained for growth hormone deficiency, central precocious puberty, or short stature in patients 0–18 years of age from 2010 to 2019 were analyzed. Separate blinded review of noncontrast images in cases with abnormalities on the original radiology report was performed by 2 subspecialty-trained pediatric neuroradiologists, with discrepancies resolved by consensus.
RESULTS: Of the 134/442 MR imaging studies obtained for growth hormone deficiency, central precocious puberty, or short stature with hypothalamic-pituitary region abnormalities, there was 70% concordance with the original reports on blinded review of noncontrast images. Twenty-two of 40 discrepancies were deemed unrelated to the indication, and 9 cases originally interpreted as possible microadenoma were read as having normal findings on blinded review. Only 9 of 40 discrepancies required contrast for further characterization.
CONCLUSIONS: In our study, most relevant radiologic findings in patients with growth hormone deficiency, central precocious puberty, and short stature were detectable without contrast, providing evidence that contrast can be avoided in routine MR imaging evaluation of these indications. We propose a “rapid noncontrast pituitary” MR imaging protocol for pediatric patients presenting with growth hormone deficiency, central precocious puberty, or short stature, which may increase efficiency and decrease contrast and anesthesia exposure.
ABBREVIATIONS:
- CPP
- central precocious puberty
- GBCA
- gadolinium-based contrast agent
- GHD
- growth hormone deficiency
- mDixon
- multipoint Dixon
- SS
- short stature
Currently, there is substantial variability among radiology practices regarding routine intravenous gadolinium-based contrast agent (GBCA) administration for pediatric pituitary MR imaging for common endocrinopathies such as short stature (SS), growth hormone deficiency (GHD), and central precocious puberty (CPP). The clinical significance of retained gadolinium in the brain is unknown. Therefore, the use of gadolinium-based contrast must be motivated by a compelling contribution to patient care.
Many subspecialty pediatric neuroradiology practices perform noncontrast brain and pituitary MR imaging for GHD, SS, and CPP because many experienced practitioners have intuited that the common causal pathologies are generally evident on noncontrast imaging. Our experience also supports the assertion that the most common anatomic etiologies for GHD, SS, and CPP can be detected without contrast-enhanced sequences in most cases.1,2 However, this practice has not been uniformly adopted because this experience-based insight has not been tested in an evidence-based fashion or disseminated to the radiology and endocrinology communities at large in a published format.
To our knowledge, only 1 recently published study in the endocrinology literature has directly compared the diagnostic yield of noncontrast-versus-postcontrast MR imaging for the clinical indications of GHD and SS.3 The only pediatric-specific neuroendocrine imaging scenario described in the most recently published American College of Radiology Appropriateness Criteria is CPP, for which MR imaging of the sella without and with intravenous contrast is listed as the first recommended examination (designated “usually appropriate”).4 Given the relatively limited available published data and guidance on this subject, many radiology practices, therefore, currently follow a “one-size-fits-all” approach to pediatric pituitary imaging, evaluating all neuroendocrine indications with contrast-enhanced brain and pituitary MR imaging, including dynamic contrast-enhanced imaging of the pituitary gland.
The goal of this retrospective study was to evaluate the diagnostic yield of noncontrast-only MR imaging obtained for evaluation of GHD, SS, and CPP in the pediatric population, to determine whether this practice can be adopted as the standard of care. Furthermore, we propose a “rapid noncontrast pituitary” protocol. The ultimate goal was to determine whether this protocol can meet the important objectives of decreasing scan time and potential anesthesia and GBCA exposure while maintaining high test accuracy.
MATERIALS AND METHODS
Data Collection and Analysis
This study was approved by the institutional review board. A search query was performed for all first-time dedicated pituitary MR imaging studies performed in pediatric patients 0–18 years of age from 2010 to 2019 obtained for the clinical indications of GHD, CPP, or SS via retrospective chart review. Exclusion criteria included studies in which contrast was not administered, patients with pre-existing known pituitary abnormalities, patients for whom the MR imaging was ordered for a different clinical indication, and patients who had a pre-existing diagnosis of malignancy.
Separate blinded review of MR examinations with hypothalamic-pituitary region findings on the original radiology report was performed by 2 subspecialty-trained pediatric neuroradiologists. Both pediatric neuroradiologists are subspecialty-trained, with one of them having spent 14 years in clinical practice, and the other, approximately 5 years. Only noncontrast images were reviewed in a blinded fashion, even if contrast-enhanced images were obtained as part of the original examination. In 37 of 134 cases, there was interobserver variability, which was resolved by consensus.
Statistical Analysis
Statistical analysis was performed using R statistical and computing software 3.4.0 (http://www.r-project.org/).5 Categorical variables were analyzed using the χ2 test, and quantitative variables were analyzed using the t test of unequal variance.
Protocol
At our institution, the MR imaging brain and pituitary protocol is performed with 1.5 or 3T and includes the following: sagittal T1WI, axial spin-echo T2WI and FLAIR, sagittal spin-echo T2WI, axial DWI, and thin-section sagittal and coronal T1WI focused on the sella (both with a section thickness of 3 mm, no skip). Voxel size is 0.7 × 0.9 mm, and matrix size is 196 × 155. In addition, postcontrast sequences are obtained, including axial T1WI of the brain and thin-section sagittal and coronal T1WI focused on the sella (both with a section thickness of 3 mm, no skip). Throughout the 10-year study period, there were minor variations in the protocol depending on the study date, which include sequences such as dynamic contrast-enhanced images through the sella and sagittal T2WI. Our dynamic contrast sequence includes a section thickness of 3 mm with no skip and 10 phases (11.6 seconds per phase). Voxel size is 0.8 × 1.15 mm, and matrix size is 224 × 154. Sedation was coordinated with the anesthesiology team as needed.
RESULTS
Demographics
Four hundred forty-two pediatric pituitary MR imaging studies were obtained within the specified time period. For these studies, GHD was the most common clinical indication, accounting for 49%, compared with 35% for CPP and 16% for SS (Table 1). The mean age was 8.2 years (range, 9 months to 17 years). Two hundred twenty-five (51%) studies required sedation. The average scan duration was 56 minutes, 19 seconds (range, 22 minutes, 45 seconds to 1 hour, 59 minutes, 37 seconds).
Baseline characteristics
Radiologic Findings within the Hypothalamic-Pituitary Region
Three hundred eight of 442 studies (69%) demonstrated a normal hypothalamic-pituitary region according to the original MR imaging report. Abnormalities were seen in the hypothalamic-pituitary region in 134 of 442 (30%) studies and outside the hypothalamic-pituitary region in 146/442 (33%) studies. Of the 134 of 442 studies with hypothalamic-pituitary region abnormalities on the original report, 95% (n = 127/134) demonstrated pituitary or infundibular pathology and 5% (n = 7/134) had hypothalamic region pathology.
The 3 most common radiologic findings on the studies with abnormal findings were pars intermedia or Rathke cleft cyst (28%, n = 38), a subjectively small anterior pituitary gland (27%, n = 36), and an ectopic or absent posterior pituitary gland (15%, n = 20) (Table 2). A small anterior pituitary gland was determined via subjective assessment of the size/height of the anterior pituitary gland, taking known demographic characteristics (patient age and sex) into account. Microadenoma was identified or suspected in 9 cases (7%). Therapeutic decisions were unaffected by the presence of a suspected microadenoma in all cases. The 7 cases of hypothalamic region pathology included 2 cases of hypothalamic hamartoma, 2 cases of suprasellar arachnoid cyst, 1 case of hypothalamic glioma (Fig 1), 1 case of lipoma of the tuber cinereum, and 1 case of mass effect on the hypothalamus due to extra-axial fluid collections.
Most common radiologic findings in 134 MR imaging studies with abnormal hypothalamic-pituitary region findings obtained for evaluation of GHD, CPP, or SS
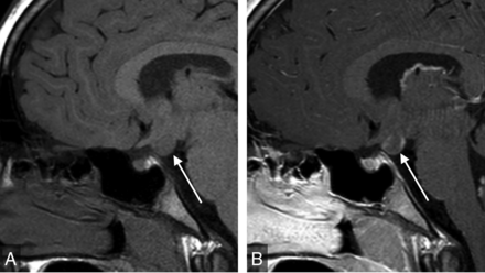
Sagittal T1WI of the sella (A) demonstrates a gray matter–isointense suprasellar mass lesion (arrow). Sagittal postgadolinium T1WI (B) shows enhancement, indicating a diagnosis of neoplasm (hypothalamic glioma) rather than hamartoma.
Concordance
Two subspecialty-trained pediatric neuroradiologists performed separate blinded reviews of only the noncontrast images on the 134 studies with abnormal findings. On blinded review, there was 70% concordance (n = 94) with the original MR imaging reports. Of the 40 discrepancies, 58% (n = 22) were considered unlikely to produce symptoms of GHD, CPP, or SS or of any clinical significance (eg, pars intermedia cyst). Of the remaining 18 discrepancies, 9 cases were interpreted as having microadenoma or possible microadenoma on the original report and read as having normal findings on the blinded review of noncontrast images only.
The remaining 9 of 40 discrepancies (23%) required contrast for definitive characterization. Six were extrasellar masses, which included 2 suprasellar arachnoid cysts, 2 hypothalamic hamartomas, 1 hypothalamic glioma, and 1 case of an atypical mass along the pituitary stalk. The 3 cases of stalk abnormalities that required contrast for complete characterization were a case of duplicated stalk and 2 cases of a thickened, enhancing pituitary stalk. Figure 2 summarizes the discrepant findings.
The black table (upper right, n = 18) indicates discrepant cases between the retrospective noncontrast MR imaging evaluation and the original report that would have required contrast for definitive characterization. Nine of these were diagnosed as microadenoma or suspected microadenoma on original contrast-enhanced MR imaging. The white table (lower right, n = 22) describes discrepant cases with diagnoses that were deemed unlikely to cause the patient’s presenting symptoms (probably clinically insignificant discrepancies). PP indicates posterior pituitary.
Findings Outside the Hypothalamic-Pituitary Region
Abnormalities outside the hypothalamic-pituitary region were detected in 146 (33%) studies. Most of these were incidental findings, such as nonspecific T2 or FLAIR white matter hyperintensities (10%, n = 45) and sinus disease (9%, n = 39) (Table 3). Chiari I malformation or cerebellar tonsillar ectopia was detected in 18 cases (4%). Intracranial cysts were found in 4% of studies (n = 18); this category includes pineal cysts (n = 7), posterior fossa or temporal lobe arachnoid cysts (n = 6), and choroid fissure cysts (n = 2). Congenital anomalies were noted in 14 cases (3%), including 5 cases with corpus callosum abnormalities and 5 cases with abnormal skull base morphology.
Additional findings in pituitary MR imaging studies obtained for evaluation of GHD, CPP, or SS
Six studies demonstrated abnormalities for which the differential diagnosis included neoplasm. There were 5 cases of presumed low-grade glioma and 1 of a suspected dysembryoblastic neuroepithelial tumor (Fig 3). Two of these did not have a follow-up study available, while the other 4 were unchanged on follow-up contrast MR imaging. In 2 studies performed for GHD, the suspected mass delayed growth hormone therapy until stability was confirmed on follow-up MR imaging. Two studies were performed for CPP, and the presence of a possible neoplasm did not prevent treatment. The findings in the 2 remaining cases also did not affect management decisions. The patient with suspected dysembryoplastic neuroepithelial tumor did not undergo follow-up imaging or subspecialty referral to neurosurgery due to family preference.
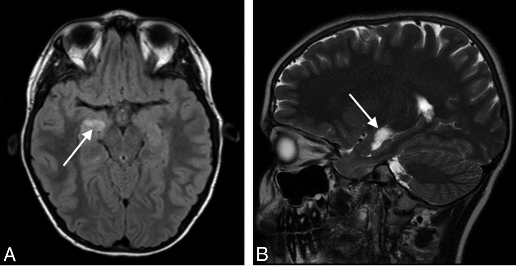
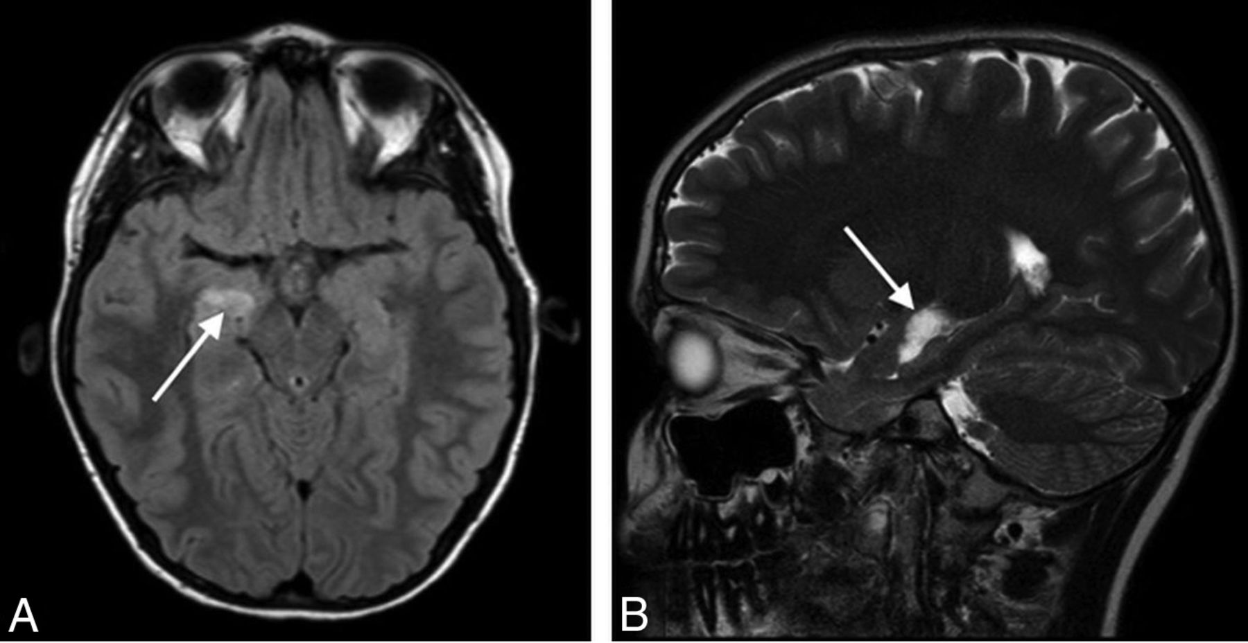
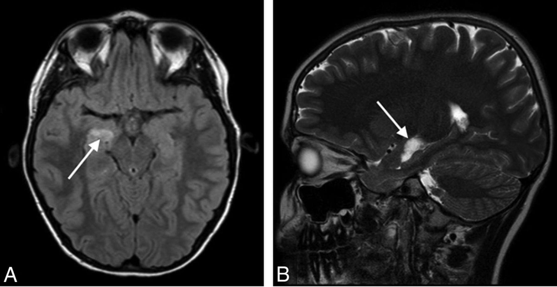
Axial FLAIR (A) and sagittal T2WI (B) show a hyperintense mass lesion (arrows) in the right mesial temporal lobe immediately superior to the hippocampus, most likely representing a low-grade neoplasm. Sagittal T2WI is helpful for localization of this lesion and differentiating it from the choroid plexus in the temporal horn. Although this finding was unrelated to the patient’s presentation of GHD, intravenous contrast was needed for complete MR imaging assessment and showed the lesion to be nonenhancing (not shown).
Two patients had cavernous malformations, which were unchanged on follow-up imaging. One patient was incidentally noted to have a cerebral aneurysm, for which no follow-up imaging was available.
DISCUSSION
Neuroendocrine abnormalities include centrally mediated hormonal imbalances and organ-specific pituitary abnormalities. GHD, SS, and CPP are among the most common clinical indications for brain and pituitary MR imaging in our pediatric population.
There are many etiologies for SS, which, by definition, occurs in 2.5% of children. GHD accounts for approximately 1%–2% of cases of SS.6 Most cases of GHD are idiopathic; however, due to the potential for underlying structural abnormalities affecting the hypothalamic-pituitary region, radiologic evaluation is often indicated.7 Although most patients with GHD have normal MR imaging findings, possible abnormalities include pituitary or in-fundibular hypoplasia or aplasia, ectopic or absent posterior pituitary bright spot, or, rarely, neoplasms such as craniopharyngioma.8,9 In addition, exclusion of brain tumors that may be exacerbated by growth hormone therapy (eg, glioma) may be an important clinical consideration.10⇓-12
The prevalence of CPP is variable geographically, with a female/male ratio of 20:1.13 A large proportion of cases of CPP are idiopathic, particularly in females. However, in the minority of cases with abnormal brain MR imaging findings, etiologies may include hypothalamic hamartoma or hypothalamic-pituitary neoplasms.14,15 Thus, radiologic evaluation is often suggested to assess these pathologies.16
Our results reveal that most MR imaging findings in GHD, CPP, and SS can be diagnosed on noncontrast sequences. This result confirms the findings of Almaghraby et al,3 who also concluded that contrast may not be needed in most MR imaging studies performed for GHD and SS. Our study adds CPP to the list of clinical indications for which contrast may not be necessary. Further support for this conclusion includes multiple previous studies verifying that the most common radiologic findings are not likely the etiology of the patient’s clinical presentation. For example, pars intermedia or Rathke cleft cysts were seen in 28% of cases in our study and have rarely been implicated in GHD, CPP, or SS.17 Another relatively common MR imaging finding is a partially empty sella, seen in 11% of cases in our study, which is most frequently of little-to-no clinical significance except in the setting of idiopathic intracranial hypertension.18 Data such as these may be helpful in the formulation of further widely used evidence-based guidelines such as the American College of Radiology Appropriateness Criteria.
In our study, there were 18 cases in which contrast-enhanced imaging revealed additional findings (eg, microadenoma) or further characterized abnormalities of the hypothalamic-pituitary region that were suspected on noncontrast sequences. In 9 of these cases, suspected microadenomas were identified. In line with previous studies, these were considered noncontributory to the reason for referral and, therefore, clinically insignificant.19,20 In 7 of these cases, abnormalities were detected on noncontrast-only images, but contrast was required for further characterization.
Microadenomas are a common-but-controversial justification for contrast administration in pediatric pituitary MR imaging and are often cited as a reason to include sequences such as dynamic contrast-enhanced images.21 They are seldom clinically relevant without signs and symptoms of hormonal hypersecretion (eg, galactorrhea, hyperprolactinemia). In addition, there are multiple pitfalls associated with imaging diagnosis. First, normally occurring hypoenhancing regions within a heterogeneously enhancing normal pituitary gland may simulate microadenoma (Fig 4). Second, even when a well-delineated lesion is present, functional adenoma cannot be accurately differentiated from nonfunctional adenoma by MR imaging. This finding thus may beget additional lab testing, potentially adding expense, time, and stress to the patient/family experience. Third, if this testing confirms a functional microadenoma, there is still no definitive evidence that the microadenoma is the etiology of the patient’s presenting symptoms. For example, the link between microadenoma and CPP remains controversial, and no relationship between follicle-stimulating hormone–secreting adenoma and CPP has been reported.22 Ultimately, in the setting of GHD, SS, and CPP, the possible microadenoma is usually an incidentaloma.
Coronal dynamic postgadolinium (A) and delayed (B) T1WIs of the sella show heterogeneous enhancement, with hypoenhancement of the right side of the gland (arrows). This finding was considered equivocal for microadenoma, and the patient underwent multiple follow-up examinations despite the finding being considered clinically unrelated to GHD. The finding led to no clinical intervention.
Thirty-three percent of the MR imaging examinations in our study demonstrated abnormalities outside the hypothalamic-pituitary region, with the large majority not altering patient management (therefore considered incidental). In our study, there were 7 additional findings that were potentially clinically significant, which included 6 suspected low-grade neoplasms and 1 case of cerebral aneurysm. These results are in agreement with those of previous studies confirming that incidental findings on pediatric brain MR imaging studies are common, however rarely clinically significant.23⇓-25 Many additional findings that may be worthy of follow-up or additional subspecialty referral, such as Chiari I malformation, are detectable by noncontrast examination.
On the basis of the results of our study, we advocate for use of a rapid noncontrast pituitary MR imaging protocol for pediatric patients presenting with GHD, CPP, or SS. This protocol includes coronal and sagittal TSE T1-weighted multipoint Dixon (mDixon) and sagittal T2-weighted thin-section images of the sella, axial T2WI or FLAIR of the brain, and axial DWI (Online Supplemental Data). Depending on institutional preference, thin-section coronal T2WI for evaluation of the optic and olfactory apparatus and hypothalamus may be substituted for or performed in addition to sagittal T2WI, especially in patients with suspected septo-optic dysplasia or Kallman syndrome. The choice of the acquisition technique, such as the section thickness and 2D-versus-3D acquisition, will depend on institutional preference (taking into account the desired length of the rapid examination). When available, scanning should be performed on higher-field-strength magnets (eg, 3T) because increased spatial and image contrast resolution may enhance diagnostic performance. However, it may not be feasible for all scans to be performed on 3T systems due to scheduling and other logistic factors. Coronal and sagittal T1WI of the sella is capable of depicting most relevant anatomic abnormalities, including small anterior pituitary and absent or ectopic posterior pituitary glands. In addition, other midline abnormalities such as callosal malformation are readily detectable. At centers capable of performing mDixon sequences, we propose acquiring mDixon pituitary images because the fat-suppressed images are helpful for differentiating the posterior pituitary gland from clival marrow fat, differentiating ectopic posterior pituitary from lipoma, and evaluating extra-cranial pathology (Fig 5). Thin-section sagittal T2WI is helpful for characterizing sellar cystic lesions, which often have variable signal on T1- and T2WI (Fig 6). Axial T2WI and/or axial FLAIR (depending on institutional preference) and DWI can be helpful in detecting concurrent brain ab-normalities such as signal abnormality concerning for neoplasm, which is a relative contraindication to administration of growth hormone, and cortical malformations that are common in patients with conditions involving the hypothalamic-pituitary axis such as septo-optic dysplasia.10⇓-12
Sagittal mDixon T1WI (A) shows a hyperintense suprasellar mass along the posterior aspect of the infundibulum (long arrow). Sagittal mDixon T1-weighted water-only image (B) shows complete suppression of this mass, which is diagnostic of lipoma. The neurohypophysis is bright on the water-only images and is highlighted against suppressed fat in the dorsum sellae (short arrow, B). mDixon T1WI is helpful for evaluation of fat-containing sellar region lesions and identification of the normal orthotopic neurohypophysis. Furthermore, it can differentiate a fat-containing lesion from ectopic neurohypophysis.
Sagittal T2WI shows a hypointense pars intermedia cyst (arrow) that was not definitely visible on sagittal T1WI (not shown). This case highlights this sequence being complementary to T1WI and helpful for identification and characterization of sellar cystic lesions. It is suggested as part of the rapid noncontrast pituitary protocol because it further decreases the needed for intravenous contrast.
Our rapid noncontrast pituitary MR imaging protocol would decrease the total acquisition time, therefore providing a substantial decrease in the duration of anesthesia as well as GBCA administration. In addition, the shorter imaging session length could enable increased patient throughput and entirely eliminate the need for procedural sedation in a subset of patients (acknowledging the contribution of other anesthesia-mitigating factors such as the work of Child Life Specialists). We acknowledge that the discovery of unsuspected lesions that require further evaluation with contrast may inconvenience the small subset of patients who would have to return for an additional contrast-enhanced examination (with or without sedation). However, this would be substantially offset by a much larger pool of patients for whom the noncontrast rapid protocol would provide greater convenience through savings in time, cost, anesthesia, and contrast administration.
The implication that a rapid noncontrast pediatric pituitary MR imaging protocol could decrease scan duration, anesthesia exposure, and exposure to GBCA is particularly important given the current uncertainty about long-term health effects of intravenous GBCA and imaging-related procedural sedation in the pediatric population.26,27
There are some limitations to our study. First, these data were collected from a single institution, and our findings may not be representative of those in other regions. Second, there were small variations in MR imaging techniques across the study timeframe. Third, this study evaluates only pituitary MR imaging studies obtained for GHD, CPP, and SS and cannot be generalized to patients presenting with other clinical syndromes or disorders, including diabetes insipidus or excess pituitary hormone production. This study also does not capture results in patients with possible pituitary abnormalities for whom MR imaging studies other than MR imaging of the head and pituitary gland were performed (eg, MR imaging of the brain or MR imaging of the brain and orbits). For example, this issue may explain why our series did not include a patient with craniopharyngioma, which would be an expected pathology in a pediatric cohort including patients with GHD and SS.
CONCLUSIONS
Although many pediatric subspecialty practices have already adopted noncontrast brain and pituitary MR imaging for SS, GHD, and CPP, this practice has not yet been uniformly adopted worldwide. An unnecessary contrast-enhanced technique may, hence, lead to excessive GBCA administration, scan length, and procedural sedation. One reason why some may be reluctant to adopt this technique is a paucity of currently available supportive published data. In our study, most relevant radiologic findings could have been detected without GBCA administration. Our study, therefore, provides evidence that GBCAs are not necessary for routine MR imaging evaluation for these indications. Moreover, we propose the use of rapid noncontrast pituitary MR imaging. This practice has the potential to further decrease GBCAs and anesthesia exposure. Future work will focus on prospective evaluation of savings in time, cost, and exposure to GBCAs and anesthesia with this protocol.
Footnotes
Disclosures: Asha Sarma—UNRELATED: Payment for Manuscript Preparation: None; Royalties: Cambridge University Press, Comments: textbook royalty; Payment for Development of Educational Presentations: None; Stock/Stock Options: None; Travel/Accommodations/Meeting Expenses Unrelated to Activities Listed: None; Other: None.
References
- Received January 28, 2021.
- Accepted after revision May 3, 2021.
- © 2021 by American Journal of Neuroradiology












