Abstract
BACKGROUND AND PURPOSE: It is important to differentiate fungal from nonfungal sinusitis in order to determine the optimal treatment for chronic sinusitis. The purpose of this study was to describe the CT findings of calcifications in chronic fungal and nonfungal maxillary sinusitis.
METHODS: Five hundred ten patients with pathologically proved chronic maxillary sinusitis were studied with unenhanced CT before undergoing sinonasal surgery. In 36 patients, the CT scans were reviewed retrospectively to ascertain the shape and location of intrasinus calcifications.
RESULTS: Calcifications were found in 20 (51%) of 39 patients with fungal sinusitis and in 16 (3%) of 471 patients with nonfungal sinusitis. Direct histopathologic correlation was performed in two of 16 patients with nonfungal sinusitis who had intrasinus calcification. The location of intrasinus calcification was central in 95% of the patients with fungal sinusitis and peripheral in 81% of those with nonfungal sinusitis. Although calcifications with a nodular or linear shape were seen in both fungal and nonfungal sinusitis, fine punctate type calcifications were seen only in those with fungal sinusitis (50%) and round or eggshell type calcifications only in those with nonfungal sinusitis (19%).
CONCLUSION: Intrasinus calcifications are different in location and shape between fungal and nonfungal maxillary sinusitis. Although intrasinus calcification is uncommon in nonfungal sinusitis, the CT finding of intrasinus calcification may be helpful for differentiating fungal from nonfungal maxillary sinusitis.
Intrasinus calcification is found in a variety of diseases, including inflammatory conditions and benign or malignant tumors (1). As previously reported (2–6), intrasinus calcification is commonly found in fungal sinusitis, usually aspergillosis. Intrasinus calcification can also occur in nonfungal inflammatory diseases of the paranasal sinus, such as mucocele or bacterial sinusitis. However, intrasinus calcification is uncommon in nonfungal inflammatory sinonasal disease and there is little literature concerning intrasinus calcification in nonfungal sinusitis (1, 6). It is important to differentiate fungal from nonfungal sinusitis in order to determine the optimal treatment for chronic sinusitis; moreover, early diagnosis of fungal sinusitis is important for the prevention of complications in immunocompromised patients (7). We have occasionally encountered intrasinus calcification within the inflammatory tissue on CT scans in patients with chronic sinusitis who underwent imaging before surgery. We describe the CT findings of intrasinus calcification in patients with fungal or nonfungal chronic maxillary sinusitis and evaluate the usefulness of these findings in differentiating fungal from nonfungal sinusitis.
Methods
From August, 1, 1995, to July 31, 1997, 510 patients underwent sinonasal surgery for the treatment of chronic maxillary sinusitis. Four hundred fifty-one patients had functional endoscopic sinus surgery and 59 patients had Caldwell-Luc operations. Noncontrast CT examinations were performed for presurgical assessment in all patients. Two radiologists retrospectively assessed the CT scans to determine whether calcification was present in the maxillary sinuses that had been treated surgically owing to chronic inflammation. Thirty-six of 510 patients had intrasinus calcification on CT scans. The organisms causing sinusitis were pathologically proved by endoscopic sinus surgery in 34 patients and by Caldwell-Luc operation in two patients. The patients included 14 men and 22 women, ranging in age from 18 to 77 years.
CT examinations were obtained in the coronal plane perpendicular to the hard palate with the patient lying prone. All CT studies were performed with bone algorithms and a 3-mm contiguous scan technique; contrast material was not administrated. The CT scans were routinely evaluated with a window width of 2300 and a level of 300. The windows were changed to enhance the contrast between the focal high-density area and surrounding inflammatory tissue for optimal evaluation of the fine calcifications. Intrasinus calcification was considered to be present when the focal high-density area was higher in CT attenuation than that of surrounding inflammatory tissue and closer to discrete bone density. The slightly increased density area, suggesting a fungal mass or chronic desiccated inflammatory tissue, was not included in the criteria for the presence of intrasinus calcification. The shape and location of intrasinus calcification were also evaluated on CT scans by two radiologists. Four categories of shape and morphology of the calcifications were assigned on coronal CT scans: fine punctate, linear, nodular, and round or eggshell. When the shape of calcification was similar to a polygon or rectangular, it was classified as nodular. When the shape was globular, round, or rimlike, it was classified as round or eggshell. When the calcification was similar to a straight or curved line, it was considered linear. The location of the calcification was also categorized into peripheral, central, and mixed patterns according to its location within the maxillary sinus on coronal CT scans. When the center of a discrete calcification or of conglomerated calcifications was seen within the distal half between the center of the maxillary sinus and the bony wall, it was considered to be peripheral in location. Calcification was considered to be centrally located if it was within the proximal half from the center of the maxillary sinus. When calcification was both central and peripheral in location, it was considered to have a mixed pattern.
Pathologists examined the surgical specimens, specifically searching for the presence of organisms (nonfungal and fungal) and calcification. Hematoxylin-eosin was used as a routine staining method, and Gomori's methenamine silver stain was used to confirm the presence of fungal hyphae.
Results
Thirty-nine patients had fungal sinusitis and 471 patients had nonfungal sinusitis on pathologic examinations of surgical specimens. Thirty-six patients had focal high-density areas suggestive of calcification in the maxillary sinus on CT scans. Intrasinus calcification was found in 20 (51%) of 39 patients with fungal sinusitis and in 16 (3%) of 471 patients with nonfungal sinusitis. The infecting organism was Aspergillus in the 20 patients who had fungal sinusitis and intrasinus calcification on CT scans. The intrasinus location of the calcification was central within the maxillary sinus in 19 (95%) and peripheral near the sinus wall in one (5%) of the 20 patients who had aspergillosis of the maxillary sinus (Table, Figs 1 and 2). In contrast to those with fungal sinus disease, the intrasinus calcification was located at the periphery near the sinus wall in 13 (81%) of the 16 patients with nonfungal sinusitis (Table) (Figs 3 and 4).
CT findings of calcification in 510 patients with either fungal or nonfungal sinusitis
Calcification in aspergillosis.
A, Coronal CT scan shows irregular nodular (short arrow) and fine punctate (long arrow) calcification within the inflammatory tissue at the center of the opacified left maxillary sinus.
B, Photomicrograph of surgical specimen shows mottled calcifications (arrow) embedded within the fungal mycelium (hematoxylin-eosin, original magnification ×100).
C, Darkly stained fungal hyphae (short arrows) are seen around the nodular calcification (long arrow) (Gomori's methenamine silver stain, original magnification ×100).
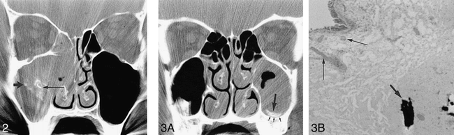
Calcification in aspergillosis. Coronal CT scan shows nodular (short arrow) and linear (long arrow) calcifications located centrally in the right maxillary sinus.
fig 3. Calcification in nonfungal sinusitis.
A, Smoothly marginated linear calcification (large arrow) is seen near the floor of the left maxillary sinus. The calcification is located at the periphery of the sinus and there is a thin layer of soft-tissue density (small arrows) separating the calcification from the sinus wall.
B, Photomicrograph of surgical specimen shows calcification (short arrow) within the thickened fibrotic submucosal layer of the maxillary sinus. Vascular congestion with dilated capillaries (long arrows) is seen in the edematous superficial submucosal layer (hematoxylin-eosin, original magnification ×100).
Ossification in nonfungal sinusitis.
A, CT scan shows round and eggshell lesions (arrow) in the left maxillary sinus. The calcific density lesions are located near the inferior wall of the sinus and are separated from the bony wall.
B, Photomicrograph of surgical specimen shows well-marginated round woven bone (short arrow) embedded within the fibrotic submucosal layer of the maxillary sinus. There is glandular hyperplasia (long arrow) caused by inflammation in the submucosa of the maxillary sinus (hematoxylin-eosin, original magnification ×100).
The shape of the intrasinus calcification was fine punctate (50%), linear (50%), and nodular (40%) in the patients with fungal sinusitis (Table, Figs 1 and 2). Although nodular or linear calcification was also present in patients with nonfungal sinusitis, round or eggshell calcification with smooth margins was seen only in the patients with nonfungal sinusitis (Fig 4). In the patients with fungal sinusitis, all calcifications seen had irregular margins. Smooth-margined calcification was seen more commonly in nonfungal sinusitis, and irregular, linear, or nodular calcification was found in five (31%) of 16 patients with nonfungal sinusitis.
Histologic examination of surgical specimens showed calcification embedded in the fungal concretions in the patients with aspergillosis of the maxillary sinus. The calcification was found to be surrounded by the fungal mycelia within the fungal inflammatory tissue (Fig 1). Caldwell-Luc operations were performed in two patients who had chronic nonfungal maxillary sinusitis and intrasinus calcification on CT scans. In one patient, histologic examination of the surgical specimen revealed calcification embedded within the thickened fibrotic submucosal layer (Fig 3). In another patient who had round or eggshell calcification on CT scans, histologic examination revealed ovoid or round woven bone in the thickened submucosal layer of the maxillary sinus. The ossification was found within the dense fibrosed submucosal layer composed of hyalinized collagenous tissue in the maxillary sinus (Fig 4).
Discussion
The prevalence of intrasinus calcification on CT scans in patients with aspergillosis has been reported to be between 69% and 77% (4, 6). Intrasinus calcification is known to be a characteristic feature of fungal sinusitis. Other CT findings of fungal sinusitis include bony change of a sinus wall, a focal mass with increased density within the sinus, and infiltration of adjacent soft tissue or bony destruction in the case of invasive fungal sinusitis (4, 6, 8, 9). It is important to differentiate fungal from nonfungal sinusitis, as treatment is different for the two forms (7). In patients with altered host defenses, such as those undergoing transplantation, a diabetic, or a patient with immunodeficiency or leukemia, fungal sinusitis can become invasive and cause a fatal complication. Therefore, early diagnosis of fungal sinusitis may help prevent life-threatening complications in immunocompromised patients.
We observed intrasinus calcification with less frequency (3%) in patients with nonfungal chronic maxillary sinusitis than in those with fungal sinusitis (51%). The shape and intrasinus location of the calcification in nonfungal sinusitis were different from those of fungal sinusitis. Most of the calcifications in fungal sinusitis were centrally located within the maxillary sinus, while the calcifications in nonfungal sinusitis were usually found at the periphery, near the wall of the maxillary sinus. Calcification with a nodular or linear shape was found with both fungal and nonfungal sinusitis; however, fine punctate calcification was found only in fungal sinusitis, while smooth-margined, round, or eggshell type calcification was found exclusively with the nonfungal variety.
The different CT features of intrasinus calcification may be the result of the different pathogeneses of calcification. The calcification in fungal sinusitis develops from metabolic deposits of calcium within the mycelial mass. Kopp et al (2) and Stammberger et al (10, 11) reported that the focal hyperdense area seen on plain radiographs represents calcium phosphate and calcium deposits within the necrotic area of mycelium. The CT appearance of fungal calcification may be fine punctate at an early stage and dense after progression of calcium deposits within the fungal concretion. The intrasinus central location of the calcification can be explained by the fact that the calcification develops within the mycelial mass, which is usually located in the center of the maxillary sinus. Dystrophic calcification or ossification can develop in many inflammatory conditions as well as in other pathologic conditions, including neoplastic disease, trauma, and injury (12–15). Dystrophic calcification caused by a chronic inflammatory process or ossification may also occur in nonfungal sinusitis. The calcification seems to occur near the thickened mucosal layer of the sinus that has been repeatedly affected by a chronic inflammatory process. The mechanism of intrasinus calcification is supported by the results of our study, which showed intrasinus calcification or ossification in nonfungal sinusitis embedded within the thickened fibrotic submucosal layer of the maxillary sinus on histologic examination. This characteristic of dystrophic calcification in nonfungal sinusitis may explain the common occurrence of intrasinus calcification at the peripheral location of the maxillary sinus on CT scans.
Histologic examination of the intrasinus round or eggshell calcific densities found on CT scans showed them to be ossifications rather than calcifications. The uncommon sinus “lith” also may be dystrophic calcification or ossification caused by chronic inflammation of the paranasal sinus (1).
A limitation of our study is that some intrasinus calcifications found on CT scans were not examined histologically, because not all of them were extracted during functional endoscopic sinus surgery, nor were calcifications located deep within the sinus of patients with nonfungal sinusitis. Therefore, an exact correlation between calcification and the presence of surrounding inflammatory disease was not possible in all patients.
Conclusion
The CT findings of intrasinus calcification showed differences in shape and location between fungal and nonfungal maxillary sinusitis. Although intrasinus calcification occurs uncommonly in nonfungal sinusitis, the CT finding of intrasinus calcification may be helpful for differentiating fungal from nonfungal maxillary sinusitis.
Footnotes
↵1 Address reprint requests to Dong Gyu Na, MD, Department of Radiology, Samsung Medical Center, Sungkyunkwan University School of Medicine, 50 Ilwon-Dong, Kangnam-Ku, Seoul 135-710, Korea.
References
- Received June 19, 1998.
- Copyright © American Society of Neuroradiology