Abstract
BACKGROUND AND PURPOSE: About 20 years ago, a theory was put forward that neurovascular contact of the root entry zone (REZ) of the ninth and 10th cranial nerve is responsible for elevated blood pressure in patients with essential hypertension. To test this hypothesis, we used MR tomography and MR angiography to evaluate the presence and degree of neurovascular contact of the REZ of the ninth and 10th cranial nerves in patients with essential hypertension as compared with patients with renal parenchymal hypertension and normotensive healthy volunteers.
METHODS: Patients with essential hypertension (group 1; n = 33), renal parenchymal hypertension (group 2; n = 30), and normotensive healthy volunteers (group 3; n = 25) underwent high-resolution (axial and coronal) brain stem MR imaging and MR angiography. The images were interpreted consensually by two radiologists who were blinded to the patients' hypertensive status. Neurovascular contact was graded as vessel contact without associated brain stem deformity (grade I), vessel contact with associated brain stem deformity (grade II), or vessel contact with associated deformity and displacement of the brain stem (grade III).
RESULTS: Neurovascular contact of the REZ of the ninth and 10th cranial nerve on the left side was found in 48.5% in group 1, in 26.7% in group 2, and in 48.0% in group 3. The rate of neurovascular contact on the right side was 24.2%, 13.3%, and 40.0%, respectively. χ2 analysis showed no statistical difference between the groups.
CONCLUSION: Neurovascular contact is not more frequent in patients with essential hypertension than in normotensive control subjects or in those with secondary hypertension; therefore, MR imaging cannot aid patient selection for neurosurgical vascular decompression.
About 20 years ago, Jannetta and Gendell (1) observed a decrease of blood pressure after neurovascular decompression of the glossopharyngeal nerve in patients with glossopharyngeal neuralgia and hypertension. By the mid-1980s, Jannetta et al (2) had studied 53 hypertensive patients with symptomatic cranial neuralgias, 51 of whom had compression of the left ventrolateral medulla by arterial branches of the left vertebral artery. Of these 51 patients, 42 underwent vascular decompression, of which 36 were judged to be surgically adequate. The blood pressure normalized in 32 (89%) of the patients and improved in the remainder, allowing a reduction in hypertensive medication usage. Other investigators (3, 4) have reported similar outcomes. Animal models were established by using balloons applied against the left lateral medulla that distended with each heartbeat, thus simulating natural arterial pulsation.
Baboon models produced increases in blood pressure, heart rate, cardiac output, and the thickness of the left ventricular wall (5). Canine models produced increases in blood pressure, but without changes in cardiac output (4). Recently, Morimoto et al (6) suggested that pulsatile compression activates postsynaptic neurons of the ventrolateral medulla through the stimulation of the local glutamate receptors in rats and increases sympathetic and cardiovascular activity, thereby causing hypertension.
Postmortem histologic and invasive angiographic investigations revealed a significantly higher prevalence of neurovascular contact in patients with essential hypertension as compared with control groups (7, 8). Recently, attention has turned to studies using MR imaging to establish a noninvasive screening method to identify this subpopulation of patients with primary hypertension who might profit from neurovascular decompression. Akimura et al (9), Morimoto et al (10), and Naraghi and coworkers (11) found a significantly higher prevalence of neurovascular contact in patients with essential hypertension (74% to 91%) than in control groups (7% to 22%). In contrast, the retrospective, nonblinded study of Watters et al (12) and the prospective, blinded investigation of Colon et al (13) revealed that vascular contact or compression of the ventrolateral medulla is as common in the normotensive population (55% and 44%, respectively) as it is in patients with essential hypertension (57% and 31%, respectively).
We designed a prospective blinded study with 88 patients (33 with essential hypertension and 30 with renal parenchymal hypertension) and 25 normotensive volunteers, which is larger than previous comparable studies. Our purpose was to evaluate the prevalence of neurovascular contact in patients with essential and secondary hypertension and in normotensive volunteers by using high-resolution MR imaging in combination with MR angiography with a 3D time-of-flight (TOF) technique.
Methods
Patient Selection
The study population was divided into three groups, as follows: the 33 patients with essential hypertension constituted group 1, the 30 patients with renal parenchymal hypertension constituted group 2, and the 25 normotensive volunteers made up group 3. Group 1 consisted of 15 men and 18 women; group 2, 19 men and 11 women; and group 3, seven men and 18 women. The study protocol was reviewed and approved by our institutional review board. The groups did not differ in age (Student's t test). The patients with essential hypertension ranged in age from 16 to 84 years (mean, 52.5 ± 15.5 years), the patients with renal parenchymal hypertension ranged in age from 26 to 76 years (mean, 52 ± 13.5 years), and the normotensive volunteers ranged in age from 17 to 75 years (mean, 49.1 ± 18.6 years). To be included in group 1, patients must have had a documented blood pressure greater than 140/90 mm Hg without medication or, if lower, treated with antihypertensive drugs (as defined by the committee on hypertension guidelines, February 1999); those with renovascular, renal parenchymal, and endocrine causes of hypertension were excluded. To be included in group 2, patients must have had biopsy-confirmed glomerulonephritis. Their creatinine clearance was significantly lower (46.3 ± 27.0 mL/min) than that in group 1 patients (110.7 ± 28.8 mL/min), and they were receiving concurrently from one to four antihypertensive drugs to control blood pressure (<140/90 mm Hg). Medication was not discontinued for our study. All subjects underwent 24-hour blood pressure monitoring. In group 1, the average duration of hypertension ranged from 1 to 33 years (mean, 10.6 years); in group 2, the duration was 1 to 46 years (mean, 10.7 years). The Mann-Whitney rank sum test showed no significant difference in duration of hypertension. None of the patients had symptomatic cranial neuralgia.
MR Imaging
All imaging was performed on a 1.5-T unit with a circular head coil. After acquisition of localizer images, studies were obtained through the lower posterior fossa and skull base, including the upper cervical spinal cord, cervicomedullary junction, medulla, and pons. High-resolution coronal and axial T2-weighted turbo spin-echo (TSE) images (5400/99/2; [TR/TE/excitations]) were obtained using 3-mm-thick slices with a 0.3-mm gap. The pixel size was 0.56 × 0.45 mm. The acquisition time was 5 minutes 7 seconds. Angiography was performed using a 3D-TOF sequence with magnetization transfer contrast pulse (35/5.4/1). The true slice thickness was 1.5 mm. Zero-filling was not used. The acquisition time was 2.36 minutes and the pixel size was 0.75 × 0.35 mm.
MR Imaging Evaluation and Classification
The MR studies were reviewed concurrently by two radiologists who reached a consensual interpretation. The reviewers were blinded to the hypertensive status of the subjects. Both the left and right lateral medulla was evaluated in the region of the root entry zones (REZs) of the ninth and 10th cranial nerves for the presence of vascular contact or compression. The glossopharyngeal and vagal nerve exit the lateral medulla at the upper-middle level of the inferior olive in the retroolivary sulcus (8, 14). The periphery of the signal void was also taken into account, since the wall of the vessel could not be visualized directly. The images were reviewed and classified according to the following categories adapted from Watters et al (12): 1) no contact with the brain stem, vessel clearly separate from the ventrolateral medulla; 2) slight contact with the brain stem over a short range (grade I); 3) clear contact, vessel in continuity with the brain stem but without apparent associated deformity (grade II); 4) contact with the brain stem and associated compression and displacement (grade III).
Statistical Analysis
Statistical testing of the prevalence of neurovascular contact was performed using χ2 contingency tables.
Results
Neurovascular compression was observed in the patients with essential hypertension (Fig 1) as well as in those with secondary hypertension and in the normotensive volunteers (Figs 2 and 3). The combination of high-resolution T2-weighted MR imaging and MR angiography with an effective slice thickness of only 1.5 mm enabled the interpreters to detect even small vessels.
49-year-old man with essential hypertension.
A and B, Axial TSE T2-weighted MR image (A) and MR angiogram obtained with a 3D-TOF sequence (B) show compression of the left ventrolateral medulla by the left vertebral artery with displacement of the brain stem (arrows) (grade III).
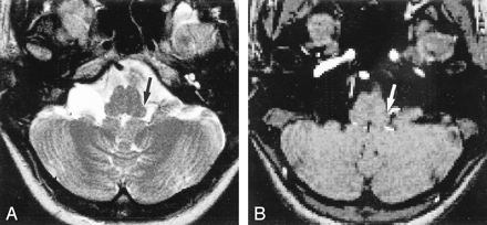
17-year-old normotensive man.
A and B, Axial TSE T2-weighted MR image (A) and MR angiogram obtained with a 3D-TOF sequence (B) show clear contact of the left posterior inferior cerebellar artery with the left ventrolateral medulla (arrows) (grade II).
41-year-old normotensive woman.
A and B, Axial TSE T2-weighted MR image (A) and MR angiogram obtained with a 3D-TOF sequence (B) show slight contact of the left posterior inferior cerebellar artery with the left ventrolateral medulla (arrows) over a short range (grade I).
Neurovascular contact was common in all three groups: 48.5% (16/33) in group 1, 26.7% (8/30) in group 2, and 48.0% (12/25) in group 3 had vascular contact or compression of the left ventrolateral medulla at the REZ of cranial nerves IX and X without any statistically relevant differences. The corresponding rates on the right side were 24.2% (8/33), 13.3% (4/30), and 40.0% (10/25), respectively. The prevalence of neurovascular compression (grades I to III) of the left and/or right was 57.6% (19/33) in group 1, 36.7% (11/30) in group 2, and 60.0% (15/25) in group 3.
The reviewers detected no differences among the patients with essential hypertension (group 1), those with renal parenchymal hypertension (group 2), and the normotensive volunteers (group 3) with regard to the contiguity of vessels with the left or right ventrolateral medulla or with regard to compression and displacement of the adjacent brain stem. The analysis of the compression rate (grades I to III), regardless of the side affected (left or right), also showed no statistically significant differences between the patients with essential hypertension and the control subjects (Table). No pattern could be determined between MR grade and sex.
MR findings on the left root entry zone of the ninth and 10th cranial nerves
Discussion
In our prospective, blinded study we investigated the frequency and degree of neurovascular contact of the lateral medulla by high-resolution MR imaging in combination with MR angiography. Our results revealed no significantly higher prevalence of neurovascular contact in the group of patients with essential hypertension than in those with renal parenchymal hypertension or in those who were normotensive. We found the well-known high anatomic variability of the vessels of the brain stem (15–17). Our findings are in line with the retrospective, nonblinded study of Watters et al (12), the prospective, blinded investigation of Colon et al (13), and a recent retrospective, blinded study by Johnson et al (18), which revealed neurovascular contact in 32.2% to 55% of a normotensive population, suggesting that pulsatile compression of the ventrolateral medulla is a common observation.
In contrast, other researchers who performed MR imaging observed a difference between patients with essential hypertension and control subjects; however, none of these studies had more than 18 control subjects. Morimoto and colleagues demonstrated a 75% (15/20) rate of medullary compression in patients with essential hypertension detected by thin-slice MR imaging (10). Neurovascular contact was observed in only one (10%) of 10 patients with secondary hypertension and in only two (11%) of 18 normotensive subjects (10). Naraghi and colleagues (11) and Akimura et al (9) found even higher rates of brain stem compression in neurogenic hypertensive patients. Naraghi and colleagues (11) performed a prospective, single-blind study in 24 patients with essential hypertension, in 14 patients with renal hypertension, and in 14 normal subjects and found that 20 (83%) of the 24 patients with essential hypertension had magnetic tomographic evidence of left-sided neurovascular compression at the ventrolateral medulla and that two (14%) of the 14 patients with renal hypertension and one (7%) of the 14 healthy subjects had a positive finding on the left. Akimura et al (9) observed four of 18 cases of neurovascular compression in a normotensive control group, whereas in the secondary hypertension group, one of six patients had neurovascular compression. The small sample size of these studies might be a possible reason for the inconsistent results as compared with the investigation of Colon and colleagues (13), Watters et al (12), Johnson and coworkers (18), and our findings.
In some of these former studies in which a significant difference was found between patients with essential hypertension and control subjects, a methodological uncertainty existed in the definition of the region of interest. Morimoto et al (10) and Naraghi and colleagues (11) did not precisely define the area they looked at. Akimura and coworkers (9) analyzed an area of the lateral medulla in a craniocaudal extent of 1.5 cm below the pontomedullary junction (ie, the entire lateral length of the inferior olive). They were unaware of the fact that the glossopharyngeal and vagal nerve exit the medulla in the upper and middle level of the olive (8). Below this level, the 11th cranial nerve originates in the brain stem. Surprisingly, we found an even higher rate of neurovascular contact or compression in the control groups, although we restricted the area of interest to the retroolivary sulcus at the upper-middle level of the olive.
Another possible reason for the discrepant results might be an unknown bias in our or in the other investigations with respect to patient selection, although there were no relevant obvious differences between the hypertensive groups in the study of Akimura et al (9), Morimoto et al (10), and Naraghi and coworkers (11), and our study. The patients had controlled blood pressure (<140/90 mm Hg) under medication; although, because their blood pressure was under control, the hypertensive patients investigated in these studies as well as in ours could not be considered candidates for neurosurgical intervention. Additionally, it is not known how many patients with hypertension of other unknown causes contributed to the groups, which could lead to a varying prevalence of neurovascular contact within the groups of patients with essential hypertension. Our results are parallel to the outcomes of the studies conducted by Hardy and Rhoton (19), Masur et al (20), and Tash et al 21), who investigated the prevalence of neurovascular contact in cranial nerve dysfunction syndromes. These investigators found a high rate of neurovascular contact leading to no neuralgia of the trigeminal or glossopharyngeal nerves. Masur and coworkers (20) observed simple contact between vessel and nerve on the asymptotic sides of 10 of 18 patients. Tash and coworkers (21) also stated that neurovascular contact may be asymptotic. Their examination of 140 seventh nerves by MR imaging in 70 asymptotic patients revealed that 21% had contact by a vascular structure at the REZ of the seventh nerve (21).
Conclusion
Vascular contact with neural structures is a frequent and nonspecific finding. Even vascular contact in the vulnerable borderland between central and peripheral myelin does not necessarily induce neural dysfunction. Thus, MR imaging cannot be used as a screening tool in detecting patients who might profit from neurovascular decompression, since neurovascular contact is common even among healthy control subjects. The isolated finding of neurovascular contact of the REZ of the ninth and 10th cranial nerve can have no diagnostic or therapeutic impact. Despite these results, we believe that neurogenically induced essential hypertension does exist. Surgical decompression might be a treatment for severe hypertension, but MR imaging cannot aid patient selection for surgery. So far, only the surgical findings can test the sensitivity of a new preoperative diagnostic tool. To find such a marker, which is specific in neurogenic hypertension, more knowledge about the neurophysiological and neurogenetic mechanisms leading to hypertension is required. The statement by Walter Dandy in 1934 on trigeminal neuralgia, therefore, might describe adequately the problem of hypertension caused by pulsatile compression of the ventrolateral medulla. Dandy was the first to recognize the causal relationship between trigeminal neuralgia and neurovascular compression. “Just as one sees many cases of gallstones without pain, so one sees lesions attacking the sensory root in the angle without the actual production of pain….” (22).
Footnotes
↵1 Address reprint requests to Christina Thuerl, MD, Department of Radiology, University of Freiburg, Hugstetter Str. 55, D-79106 Freiburg, Germany.
References
- Received January 12, 2000.
- Copyright © American Society of Neuroradiology