Abstract
BACKGROUND AND PURPOSE: Dynamic CT perfusion imaging is a rapid and widely available method for assessing cerebral hemodynamics in the setting of ischemia. Nevertheless, little is known about perfusion parameters within regions of diffusion abnormality. Since MR diffusion-weighted (DW) imaging is widely considered the most sensitive and specific technique to examine the ischemic core, new knowledge about CT perfusion findings in areas of abnormal diffusion would likely provide valuable information. The purpose of our study was to measure the CT-derived perfusion values within acute ischemic lesions characterized by 1) increased signal intensity on DW images and 2) decreased apparent diffusion coefficient (ADC) and compare these values with those measured in contralateral, normal brain tissue.
METHODS: Analysis was performed in 10 patients with acute middle cerebral artery territory stroke of symptom onset less than 8 hours before imaging who had undergone both CT perfusion and DW imaging within 2 hours. After registration of CT perfusion and DW images, measurements were made on a pixel-by-pixel basis in regions of abnormal hyperintensity on DW images and in areas of decreased ADC.
RESULTS: Significant decreases in cerebral blood flow and cerebral blood volume with elevated mean transit times were observed in regions of infarct as defined by increased signal intensity on DW images and decreased ADC. Comparison of perfusion parameters in regions of core infarct differed significantly from those measured in contralateral normal brain.
CONCLUSION: CT perfusion findings of decreased cerebral blood flow, mean transit time, and cerebrovascular volume correlate with areas of abnormal hyperintensity on DW images and regions of decreased ADC. These findings provide important information about perfusion changes in acute ischemia in areas of diffusion abnormality.
Dynamic CT perfusion imaging is a rapid and widely available method for assessing cerebral hemodynamics in the setting of ischemia (1, 2). Several published studies have shown the feasibility of CT perfusion imaging for the assessment of acute stroke (3, 4). Although the potential of CT perfusion imaging is substantial, limited published data relate CT perfusion–derived data to more established methods of assessing ischemic brain tissue (3–6). In particular, we are not aware of published reports of the typical CT perfusion findings in areas seen to be abnormal on diffusion-weighted images.
An important goal in the development of CT perfusion imaging in the setting of stroke is to measure the extent of two types of ischemic brain tissue: 1) tissue unlikely to be salvaged by efforts to restore blood flow (ischemic core) and 2) tissue likely to be salvaged by efforts to restore blood flow (penumbra). Differentiating these types of tissue from one another and from adjacent tissue not at risk remains an important challenge. Abnormalities on diffusion-weighted images are widely considered to represent severely ischemic tissue (7–10). Although it remains an area of active research, hyperintense abnormalities on diffusion-weighted images and areas of decreased apparent diffusion coefficient (ADC) values on ADC maps most often represent areas of irreversibly infarcted tissue (infarct core) (9, 10).
Knowledge of how CT-derived perfusion parameters are related to abnormalities on diffusion-weighted images and ADC maps is likely to be helpful to clinicians who use CT perfusion imaging. For example, knowledge of the typical values for cerebral blood flow (CBF), cerebral blood volume (CBV), and mean transit time (MTT) that are associated with hyperintense diffusion abnormalities and areas of decreased ADC would be valuable to clinicians interpreting CT perfusion studies. This information might also permit the development of a CT perfusion–based definition of the ischemic core.
The purpose of our study was first to measure the values of CT-derived perfusion parameters within acute ischemic lesions characterized by increased signal intensity on diffusion-weighted images and decreased ADC, and second, to compare these values with those measured in nonischemic brain tissue.
Methods
Patients
We analyzed the data obtained in 10 patients with acute MCA stroke and a symptom onset less than 8 hours before imaging, who had undergone both CT perfusion scanning and diffusion-weighted imaging within 2 hours. The patients were aged 41–86 years. Our institutional review board approved the study, and all patients provided informed consent.
Imaging
All patients underwent clinical MR imaging with a 1.5-T MR imaging system (Signa; GE Medical Systems, Milwaukee, WI). Diffusion-weighted imaging was performed by using a single-shot, spin-echo, echo-planar sequence with a TR/TEeff of 12,000/96 and b values of 0 and 1000 s/mm2. The field of view was 40 × 20 cm with a matrix of 128 × 64. The section thickness was 5 mm with a gap of 2.5 mm. The images were transferred to an imaging workstation (Advantage Windows workstation; GE Medical Systems) and processed to obtain the ADC map by using commercial software (FuncTool MR; GE Medical Systems).
CT perfusion scanning was performed in a clinical single-section CT scanner (CTi, GE Medical Systems) or multisection CT scanner (LightSpeed QX/i; GE Medical Systems). We obtained one (single-section scanner) or two (multisection scanner) contiguous 10-mm sections through the area of infarct depicted on diffusion-weighted images by using continuous (cine) scanning for a total of 45 seconds at 80 kVp and 190 mA. The matrix was 512 × 512, and the field of view was 25 cm. The tube speed was one revolution per second, and data were reconstructed at half-second intervals. We infused 40 mL of iodinated contrast medium (Isovue-370; Bracco Diagnostics, Princeton, NJ) via an arm vein at a rate of 4 mL/s, beginning 5 seconds before the start of scanning. Data were transferred to the same workstation and analyzed by using dedicated software (CT Perfusion 2; GE Medical Systems) to obtain maps of CBF, CBV, and MTT.
Selection of the Anatomic Level for Direct Comparison and Image Transfer
We wished to directly compare CT perfusion studies with MR studies that had dissimilar numbers of sections and that frequently had slightly different imaging angles (owing to the use of clinical protocols). Therefore, we devised a method to match the CT perfusion sections with the diffusion-weighted image sections. First, we examined the CT perfusion section (single-section study) or sections (multisection study) available and visually examined these with the MR image sections side by side. We then chose the single CT perfusion section that best matched its corresponding section on the MR imaging study. Even with the multisection CT scans, only one of the available sections was chosen to keep the number of sections per subject uniform. When differences in imaging angles during CT and MR imaging precluded a perfect match, we used the region of infarction on the diffusion-weighted image as a guide to determine the best match. The matching CT perfusion and diffusion-weighted images sections were then saved for additional registration (described next). All images to be compared in this study were saved in Digital Imaging and Communications in Medicine (DICOM) format and transferred to a personal computer for additional analysis.
Registration of CT and MR Images
First, the matrices of the CT and MR images were matched as follows: The CT perfusion images were reduced from a matrix of 512 × 512 to a matrix of 256 × 256. Next, the diffusion-weighted images (40-cm field of view and 128 × 64 matrix) were resized to match the size of the patient’s head on CT perfusion scans, and the matrix was reassigned to 256 × 256 by using simple interpolation.
Two further steps were performed to optimally match the selected CT and MR images. The difference in rotational angle (in the x-y plane) between the diffusion-weighted images and the CT perfusion images (owing to slight differences in head rotation in the CT and MR units) was corrected by rotating the MR image by means of continuous visual assessment in ImageJ (ImageJ version 1.28u; National Institutes of Health, Bethesda, MD) until the CT and MR images were positioned identically with respect to rotation. As a final step, we used image editing software (Photoshop 7.0; Adobe Systems, San Jose, CA) to visually align the images to obtain the best fit. This was made possible by changing the transparency and by overlapping all of the images together in the same stack. At this point in the registration, the selected CT and MR images were of the same size, rotation, and matrix composition. For use in subsequent computations, 16-bit image information was maintained.
Determination of Nonischemic Control CT Perfusion Values
We measured control reference values to compare with the values in regions of diffusion abnormality. For all images, regions of interest were manually drawn around the entire hemisphere opposite to the infarct. Large CSF-containing structures such as the cisterns and ventricles were excluded manually. Because the inclusion of large blood vessels and sulcal CSF would have negatively affected the accuracy of the measured perfusion parameter values, pixels with CBF values greater than 2 SDs above the mean for the hemisphere were excluded. The average threshold for distinguishing large blood vessels from adjacent tissue (which varied by patient) was 78.2 mL/100 g/min. Two methods were used to exclude the effects of CSF within sulci. First, pixels with CT perfusion parameter values of zero were excluded to help remove the effects of small sulci. Second, the registration of the CT perfusion scans and diffusion-weighted images described previously was used to advantage; it allowed us to remove pixels with ADC values more than 1000 × 10−6 mm2/s from computation, both from the CT scans and the diffusion-weighted images. Exclusion of ADC values greater than 1000 × 10−6 mm2/s not only removed the effects of CSF within sulci but also removed the effects of regions of severe, chronic microvascular changes in the white matter of control hemispheres in some very elderly patients. (If left uncorrected, this factor would have substantially skewed the mean ADC value of the control hemisphere upward.) The following mean values were recorded in the control hemispheres: diffusion-weighted image signal intensity, ADC, CT CBF, CT CBV, and CT MTT.
CT Perfusion Values in Regions of Diffusion Abnormality
For diffusion-weighted images, we used a threshold corresponding to the signal intensity 2 SDs above the mean signal intensity in the control hemisphere. We used this threshold, because it conformed well to the region of abnormal hyperintensity on diffusion-weighted images. The threshold value used for ADC abnormality was 30% below the mean ADC value of the control hemisphere. We selected this 30% decrease, because our experience has shown that regions of acute infarction most often have ADC values below this range (Fig 1). The tool used to depict the abnormal areas was an image mask (Figs 2–4). For abnormal regions on the diffusion-weighted image and the ADC map, we needed a method to determine the values of the perfusion parameters on the corresponding CT perfusion images. The mask image corresponded to a black-and-white image with the same size and matrix of the original image that separated the normal and abnormal areas.
Histogram of ADC values in both normal contralateral brain and a region of interest including infarct (abnormal).
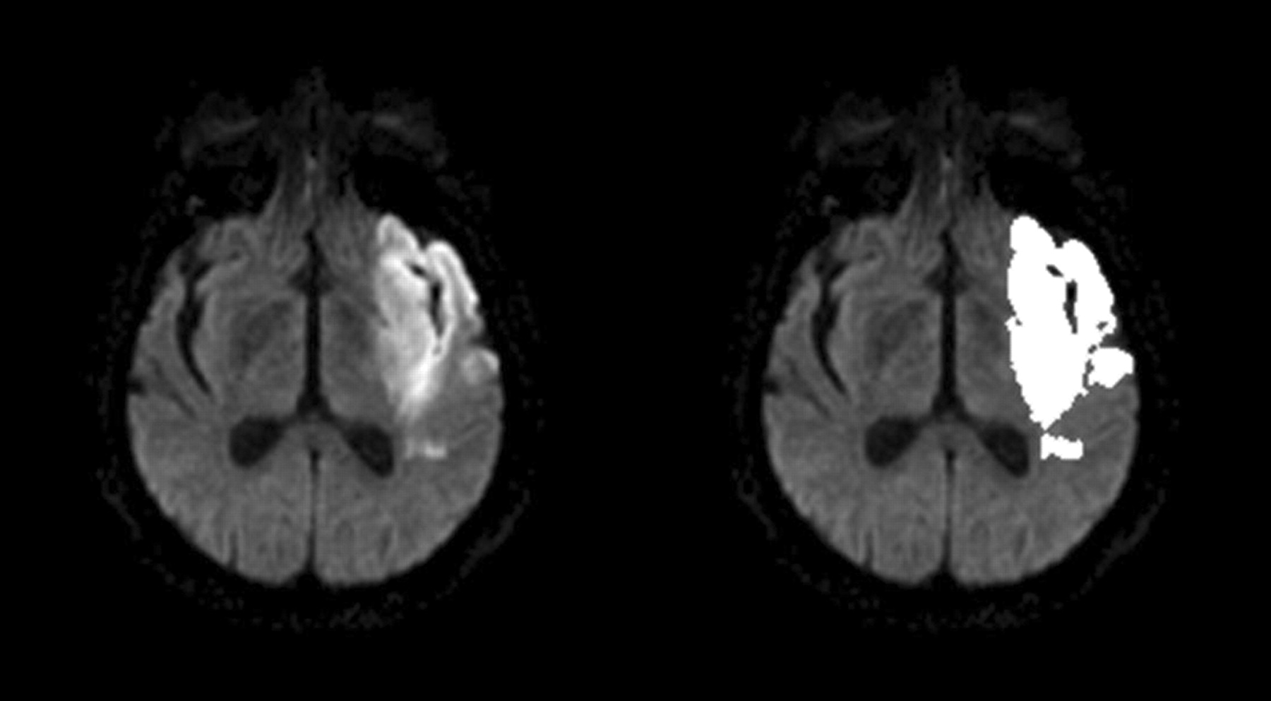
Images demonstrate the region >2 SDs above the mean abnormal restriction. Left, diffusion-weighted image (b=1000 s/mm2). Right, Mask.
Images with decreased signal intensity and the region with >30% decrease compared with normal brain parenchyma. Left, ADC images (b=0 s/mm2). Right, Resultant mask.
Images demonstrate the corresponding decrease in CBF in the region of diffusion abnormality. Left, CBF map. Middle, Overlays of the masks from the diffusion-weighted image. Right, Overlay of the mask from the ADC.
Mean Parameter Values in Diffusion Abnormalities
Using ImageJ (National Institutes of Health), we transformed the threshold images and the original (16-bit) DICOM images to a text file. The data were then transferred to an Excel spreadsheet (Excel 2002; Microsoft, Redmond, WA). We processed the data pixel by pixel to quantify the mean CBF, MTT, CBV, and ADC values inside the diffusion-weighted image and ADC threshold masks.
Comparison of normal contralateral brain findings with CT perfusion, diffusion-weighted, and ADC findings was performed using a two-tailed t test. P < .05 represented a statistically significant result.
Results
Control Regions
The mean control values of CBF, MTT, and CBV measured in the contralateral hemisphere (mean of all subjects ± SD) were 23.9 mL/100 g/min ± 3.7, 4.4 seconds ± 1.7, and 1.4 ± 0.3 mL/100 g/min, respectively. The mean control value of ADC measured in the contralateral hemisphere was (770 mm2/s ± 72) × 10−6.
Regions of Diffusion Abnormality
The mean area of hyperintense signal on diffusion-weighted images was 13.4 cm2, and the mean area of decreased ADC (decrease of at least 30%) was 8.1 mm2.
The mean values of CBF, MTT, and CBV measured in regions of hyperintensity on diffusion-weighted images were 8.9 ± 4.5 mL/100 g/min, 15.5 seconds ± 3.5, and ± 0.3 1.0 mL/100 g, respectively. The mean value of ADC measured in hyperintense regions on diffusion-weighted images was (568 mm2/s ± 105) × 10−6; respectively, these values corresponded to 37.3%, 385.9%, 74.7%, and 73.8% of the control values measured in the normal hemispheres.
The mean values of CBF, MTT, and CBV measured in regions of decreased ADC were 7.8 mL/100 g/min ± 4.2, 15.8 seconds ± 4.1, and 0.9 mL/100 g ± 0.3, respectively. The mean value of ADC measured in regions of decreased ADC was (477 mm2/s ± 64) × 10−6; respectively, these values corresponded to 32.1%, 385.3%, 69.3%, and 61.8% of the control values measured in the normal hemispheres.
The differences in three of the four measured parameter values—CBF, MTT, and ADC—between control and infarcted tissue were all statistically significant (P < .0001, two-tailed t test). The difference between control and infarcted tissue for the fourth parameter (CBV) was also statistically significant, with measured P values of .014 and .008 for the regions of abnormal diffusion-weighted image signal intensity and ADC, respectively.
Discussion
Dynamic CT perfusion imaging is a convenient and widely available method for assessing hemodynamics in patients with acute stroke. However, to date, few published reports have compared CT perfusion imaging with diffusion-weighted imaging (4, 6, 11, 12, 13). We are not aware of any prior groups that have attempted to determine the typical CT perfusion values (ie, the mean values of CT-derived CBF, CBV, and MTT) of abnormalities seen on diffusion-weighted images. Because abnormalities on diffusion-weighted images are often considered markers for irreversible ischemia in the setting of stroke, knowledge of the CT-derived parameters associated with such diffusion abnormalities will likely help in developing a CT perfusion marker for the core of infarction. The development of CT perfusion–derived parameters typical of the infarction core would be helpful for studies to measure the extent of the core and to differentiate the core from surrounding tissue.
The mean absolute CBF values we found in regions of hyperintensity on diffusion-weighted images (8.9 mL/100 g/min ± 4.5) and in regions of reduced ADC (7.8 mL/100 g/min ± 4.2) were both similar to previously reported values within irreversibly infarcted tissue, as measured with xenon CT (14, 15). This agreement provides increased indirect evidence of the concordance of xenon CT and dynamic CT perfusion imaging, a concordance that has been documented in previous studies directly comparing the methods (4, 14). Future studies attempting to characterize the core of infarction with CT perfusion imaging will likely benefit from incorporating this threshold of CBF into the definition used.
The mean absolute CBV values in regions of hyperintensity on diffusion-weighted images (1.0 mL/100 g ± 0.3) and regions of decreased ADC (0.9 mL/100 g ± 0.3) were significantly lower than values in normal regions. Strictly speaking, low CBV may not be physiologic in stroke; therefore, it is likely more proper to speak of perfused CBV (16). Several groups using steady-state CT perfusion imaging (a method of CT perfusion imaging that solely measures blood volume) have documented that the infarct core typically has a low perfused CBV (14, 17). Therefore, our data obtained by using dynamic CT perfusion imaging is in good agreement with data of prior studies using steady-state CT perfusion imaging.
The mean MTT values measured in regions of hyperintensity on diffusion-weighted images (15.5 ± 3.5 seconds) and regions of decreased ADC (15.8 ± 4.1 seconds) were similar to those measured in prior studies by using nondiffusible tracers such as those used in CT perfusion imaging (1, 4, 5, 17). This agreement is important, because it helps to establish consistency between our findings and those of other groups.
Our mean CBF value for control brain tissue measured (23.9 mL/100 g/min) is substantially lower than commonly reported values for gray matter obtained with methods such as positron emission tomography (PET) and xenon CT (15, 18). Gray matter CBF is typically reported to be in the range of 40–50 mL/100 g/min (15, 18). The difference between our mean CBF value of control tissue (mixed gray matter and white matter) and the values in gray matter in previous PET and xenon CT studies likely reflects two main factors. First, our mean control value was derived from the data of an entire hemisphere, which included a mix of both gray matter and white matter. We included both gray matter and white matter in the control region of interest, because most infarcts contain both and because we wanted a control that reflected both. However, normal white matter has a CBF substantially lower than that of gray matter, and it is frequently measured on the order of 20 mL/100 g/min or even less (20, 21). Therefore, the inclusion of hemispheric white matter is likely one explanation for our relatively low mean CBF in the control hemispheres. A second reason is likely related to our decision to remove pixels containing vascular structures from both infarcted and control regions. Cortical vessels were removed to decrease variability and improve accuracy. An expected effect of this step, however, was to further decrease the mean value of CBF measured in our regions of interest. Cortical vessels do contribute to CBF measured with PET studies and, to some extent, in xenon CT studies as well.
Although our study provides a great deal of information about the CT perfusion imaging changes associated with diffusion-weighted imaging abnormalities, it was limited in ways that should be addressed in future studies. First, the number of patients was small; larger numbers of patients will likely decrease the variance seen in our study. Second, although our study outlines the typical values for CT perfusion parameters associated with diffusion-weighted image abnormality (a marker for core of infarction), it did not address the important issue of penumbra. We have begun a detailed study to examine CT perfusion changes in penumbral tissue by using a variety of definitions of penumbra, and we will compare these findings to those seen in core infarction and in normal tissue. The correlation of these changes with various decreases in ADC in regions of infarct and penumbra is the next logical step and an area of continued study for us. Third, every effort was made to ensure the best possible registration between CT and MR images; however, some imprecision resulted because of imperfect registration and differences in section thickness. Still, we believe that these errors are minor. Fourth, our window of 2 hours between CT and MR imaging study as an inclusion criterion might be a further source of error, particularly in light of the fact that stroke is a highly dynamic process in the early hours after symptom onset. However, the mean interval between CT and MR imaging study was actually 75 minutes, which was as short a time as clinically practical. Finally, our ability to assess differences owing to stroke subtype (eg, embolic vs watershed) was limited, and future studies are needed to determine if differences exist.
Conclusion
Our study provides new information about CT perfusion changes in acute ischemic lesions seen on diffusion-weighted images. To the extent that diffusion abnormalities correspond to core infarction, our results provide information about the CT perfusion characteristics of the infarct core.
References
- Received December 8, 2003.
- Accepted after revision February 29, 2004.
- Copyright © American Society of Neuroradiology