Abstract
BACKGROUND AND PURPOSE: The prognostic significance of laryngeal cartilage abnormalities, as seen on CT or MR imaging, in laryngeal or hypopharyngeal cancer, is unclear. The purpose is to determine whether cartilage abnormalities as seen on preoperative CT in laryngeal and pyriform sinus cancer are predictive of local outcome after partial laryngectomy.
METHODS: The preoperative CT studies in a consecutive series of 16 patients who underwent extended hemilaryngectomy for squamous cell carcinoma of the glottis (n = 12), supraglottis (n = 1), or pyriform sinus (n = 3) were reviewed retrospectively. Cartilage abnormalities were defined as asymmetric cartilage sclerosis, lysis of ossified cartilage, or tumor visible on both sides of the cartilage. Tumor volume was calculated by using the summation-of-areas technique. Seven patients underwent postoperative radiation therapy. All patients had a follow-up of at least 24 months after treatment or until local recurrence.
RESULTS: Eleven patients showed cartilage abnormalities. In six patients, only a single cartilage was abnormal, whereas three patients showed involvement of two cartilages and two patients of three cartilages. The overall average tumor volume was 2.7 mL; the average tumor volume was 1.5 mL in the patients without and 3.3 mL in those with cartilage involvement on CT (P > .05). Two patients suffered a local recurrence. One patient (tumor volume, 1.5 mL) did not show any cartilage abnormalities. The other patient (tumor volume, 1.9 mL) showed abnormalities in all three cartilages and also had evidence of early transcartilaginous tumor spread.
CONCLUSION: In patients whose cancer is anatomically suitable for partial laryngectomy, cartilage abnormalities on CT do not preclude speech-preserving surgery.
There is a longstanding debate about the prognostic significance of cartilage abnormalities seen on pretherapeutic CT or MR imaging studies in patients with laryngeal or hypopharyngeal cancer. It is often suggested that cartilage involvement precludes voice-sparing partial laryngectomy and is also a contraindication to radiation treatment, thus leaving the patient with total laryngectomy as the only alternative (1–3). There is no doubt that large-volume laryngohypopharyngeal tumors that commonly cause gross laryngeal framework invasion are not well suited for speech-preserving therapy.
Because it is nearly impossible to obtain biopsy proof of cartilage invasion, evaluation of the laryngeal framework is based on radiologic findings. Before the era of computer-assisted cross-sectional imaging, only extensive cartilage abnormalities could be detected by clinical examination and conventional radiography. Because this was likely to occur only in bulky tumors, such findings correctly predicted a low probability of cure by any speech-preserving technique. Today far more limited laryngeal cartilage involvement can be detected by using CT or MR imaging.
Nevertheless, no imaging technique is capable of demonstrating neoplastic cartilage invasion with 100% accuracy. MR imaging is a sensitive method to detect cartilage alterations, having a high negative predictive value. MR imaging, however, also has a high false-positive rate, which may result in overtreatment of the patient (1, 2, 4). CT is more specific, but less sensitive, than MR imaging (2). Overall, the accuracy of both methods is similar.
There are different opinions concerning the success rate of radiation therapy in patients with cartilage involvement on the pretherapeutic CT or MR imaging. Several recent data suggest that a cartilage abnormality, in itself, does not influence local control after radiation therapy, because it merely reflects a large tumor volume or deep intralaryngeal tumor spread (3, 5).
The aim of this retrospective study is to determine whether laryngeal cartilage abnormalities, as seen on preoperative CT, in patients with squamous cell carcinoma of the larynx or pyriform sinus, is predictive of local outcome following speech-preserving surgery. To the best of our knowledge, this possible prognostic association has not been analyzed previously.
Methods
Patients
A consecutive series of 45 patients (2 women; 43 men) underwent extended hemilaryngectomy for malignant tumors of the larynx (squamous cell carcinoma, 38; liposarcoma, 1; chondrosarcoma, 2; synovial sarcoma, 1) or pyriform sinus (squamous cell carcinoma, 3) at our institution between August 1996 and September 2001. All patients underwent CT before surgery.
Four patients with histologic results other than squamous cell carcinoma were excluded. Twenty-five patients underwent partial laryngectomy as a salvage procedure after failed radiation treatment with curative intent; these patients were also excluded. The remaining 16 male patients (median age, 59 years; range, 46–73 years) form the basis of the current study.
Tumors in all patients were staged clinically according to the TNM classification system proposed by the International Union Against Cancer in 1997 (6). Twelve patients had glottic cancer (clinical stages: T2N0 [4]; T3N0 [7]; T4N0 [1]). One had a supraglottic laryngeal cancer (clinical stage T3N0) and three had a pyriform sinus carcinoma (clinical stages: T3N2b [1]; T2N0 [1]; T2N1 [1]).
Seven patients underwent postoperative radiation therapy, up to a total dose of 50 Gy, because of cervical lymph node metastases (2) or close resection margins (5).
Clinical follow-up was done by head and neck surgeons and radiation oncologists in a joint clinic. The 1st year after the end of therapy, the patients were seen clinically every 2 months; the 2nd to 3rd year, every 3–4 months, from the 3rd year on, once a year. A follow-up CT-study was obtained about 3 months after the end of therapy; further posttreatment CT-studies were ordered when clinically indicated.
Patients were followed for a minimum of 2 years after surgery or until local recurrence at 3 and 7 months (median, 32 months; range, 3–86 months).
CT Technique and Image Interpretation
All CT examinations were conducted within 4 weeks before surgery. The CT studies were performed with different CT machines. All imaging studies were performed during intravenous injection of contrast medium with a power injector and during quiet breathing. Adjacent axial sections through the neck, with a section thickness of 1 mm (1), 2 mm (8), 3 mm (6), or 5 mm (1), parallel to the vocal cords were obtained. In selected cases, additional images focused on the larynx were obtained during phonation of “e.”
All CT studies were evaluated retrospectively by two reviewers (H.C.T., R.H.), judging in consensus for the presence of cartilage abnormalities. The two reviewers were not blinded to the surgical results and clinical outcomes at the time of image interpretation.
Cartilage abnormalities were defined as asymmetric sclerosis (thickening of the cortical margin or increased medullary attenuation) by comparing one arytenoid to the other, or one side of the cricoid or thyroid cartilage to the other, lysis (destruction of ossified cartilage), and tumor visible on both sides of the cartilage. Care was taken not to misinterpret normal islands of nonossified cartilage as lysis of previously ossified cartilage; only a region of nonossified cartilage, surrounded by ossified cartilage and bordered immediately by the tumor mass, showing evidence of cortical destruction and appearing asymmetrical to the heterolateral side, was considered as abnormal.
The average tumor volume was calculated by using the summation-of-areas technique (7, 8). The possibility of different tumor volumes between patients with and those without cartilage abnormalities was evaluated with an unpaired t test.
Surgical Technique
Extended hemilaryngectomy with tracheal autotransplantation allows removal of half of the larynx including the full height of the cricoid. The resection can be extended to include the apex of the pyriform sinus. This allows a partial laryngectomy to be performed in patients with arytenoid cartilage fixation and subglottic tumor extension reaching the upper border of the cricoid cartilage. The large defect in the larynx is reconstructed with a tracheal patch, revascularized with a freely transplanted radial forearm soft tissue flap. By using this patch, full-height cricoid defects can be closed in a position comparable to unilateral laryngeal paralysis. This is a functional reconstruction allowing the patient to breathe and speak through the larynx and swallow without aspiration (9, 10).
Results
Normal CT appearance of the entire laryngeal cartilage framework was observed in five patients. Eleven patients showed cartilage abnormalities (arytenoids [8]; cricoid [3]; thyroid [7]). In six patients, only a single cartilage was abnormal, whereas three patients showed involvement of two cartilages and two patients of three cartilages.
The average tumor volume in the entire study population was 2.7 mL. The average tumor volume was 1.5 mL (median, 1.5; range, 0.1–4.0 mL) in those without and 3.3 mL (median, 1.9; range, 0.4–14.1 mL) in those with cartilage involvement (P > .05).
The tumor was macroscopically completely removed in all patients and had histologically negative resection margins. Two patients had a local recurrence. Both patients presented with a glottic carcinoma and underwent postoperative radiation therapy because of close resection margins. One of these patients, who had a tumor volume 1.5 mL and did not show cartilage abnormalities in the pretreatment CT, developed a local recurrence 7 months after surgery. Salvage laryngectomy was performed, but the patient died of recurrent disease 16 months after the first intervention.
The other patient with a tumor volume 1.9 mL had involvement of all three cartilages and evidence of early transcartilaginous tumor spread on the pretreatment CT. This patient developed progressive local tumor during the planned postoperative radiation therapy and died of disease 3 months after the surgical intervention.
The remaining 14 patients, including 10 patients with cartilage abnormalities on CT (Figs 1 and 2), have remained locally controlled for at least 2 years.
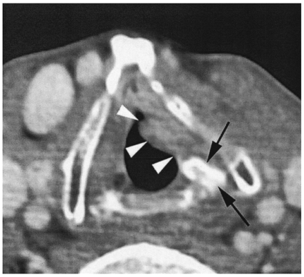
Axial contrast-enhanced CT image of a 67-year-old male patient with a glottic cancer (T2N0). A left-sided glottic soft tissue mass is seen (arrowheads). The tumor abuts the left arytenoid, which shows a clearly increased attenuation (arrows; compare with opposite side). Extended hemilaryngectomy was performed. No postoperative radiation therapy was administered. There is no evidence of disease 2 years after surgery.
Axial contrast-enhanced CT-images in a 55-year-old male patient with a glottic cancer (T3N0).
A, Level of true vocal cords. The left true vocal cord appears thickened and slightly enhancing. The tumor reaches the anterior commissure (black arrowhead). The left paraglottic space is infiltrated. Marked sclerosis of the left arytenoid (white arrowhead). The left thyroid lamina also shows some increased attenuation (arrow).
B, Level of subglottis. Enhancing soft tissue thickening on left side (arrowheads). Note slight sclerosis of cricoid arch on the left (curved arrow). Slight enhancement is seen anteromedially to the subglottis, corresponding to subtle extralaryngeal tumor spread or peritumoral inflammation (arrow).
C, Level of false vocal cords. Soft tissue infiltration of the left paraglottic space along the thyroid cartilage, which shows slightly increased attenuation (arrows; compare with opposite side). Area of nonossified thyroid cartilage (arrowhead), most likely normal variant. The patient was treated by extended hemilaryngectomy. No postoperative radiation therapy was administered. There is no evidence of disease 7 years after treatment.
Discussion
Laryngeal cartilage involvement by squamous cell carcinoma is often considered to be a major concern as a predictor of outcome of conservative therapeutic strategies (radiation treatment or speech-preserving surgery) (11).
Before the era of computer-assisted cross-sectional imaging, only gross cartilage destruction, usually occurring in large-volume laryngeal tumors, could be detected clinically or by conventional radiography. Currently, more limited laryngeal cartilage invasion can be detected with modern cross-sectional imaging methods (1).
The controversy as to which technique, CT or MR imaging, is preferable to image the larynx dealt in great part over their respective accuracy to detect cartilage invasion. This reflects the importance placed on this issue.
MR imaging is a more sensitive technique to detect cartilage involvement, with a high negative predictive value of 94%, whereas CT is less sensitive but more specific (1, 2). The high sensitivity of detecting cartilaginous alterations on MR imaging, however, correlates with a high false-positive rate, because the distinction between true cartilage invasion and reactive inflammation, edema, fibrosis, or ectopic red bone marrow is not possible (1). Therefore, the positive diagnosis of neoplastic invasion should be made with caution on MR imaging, and it has been suggested that one should rather talk about “abnormal signal intensity in the cartilage” instead of “invasion of cartilage” (12).
Cartilage invasion can also be detected by CT, but it may fail to detect early cartilage invasion because of the large variability of ossification patterns in the laryngeal cartilages. Nonossified hyaline cartilage may show the same attenuation values as tumors on CT images. Demonstration of tumor on the extralaryngeal side of the cartilage is a reliable, but late, sign of cartilage invasion.
Cartilage sclerosis as a criterion of tumor involvement has the highest sensitivity in all cartilages (13). Sclerosis of the arytenoid cartilage can be a normal variant. In a study analyzing 100 CT examinations of patients of different ages and no history of laryngeal cancer or radiation therapy to the neck, a sclerotic arytenoid cartilage was observed in 16% of patients, predominantly in women (81%) and more commonly on the left side. Isolated right-sided arytenoid sclerosis was observed in only 2%, and 44% of patients with arytenoid sclerosis had bilateral radiodense arytenoids (14). Knowledge of this normal variant is important in the interpretation of CT studies of patients with laryngeal cancer. All the patients in this study were male, no bilateral arytenoid sclerosis was observed, all sclerotic arytenoid were bordered by tumoral soft tissue abnormalities, and abnormalities in adjacent cartilage structures (thyroid and/or cricoid cartilage) were observed in four of eight patients with arytenoid sclerosis. Therefore, it is unlikely that arytenoid sclerosis, as a normal variant, was confused in this study with tumor-induced cartilage sclerosis.
The combination of several diagnostic CT criteria for neoplastic invasion of the laryngeal cartilages seems to constitute a reasonable compromise. When extralaryngeal tumor spread was combined with erosion or lysis in the thyroid, cricoid or arytenoid cartilages, and sclerosis in the cricoid and arytenoid (but not the thyroid cartilage) cartilages, an overall sensitivity of 82%, an overall specificity of 79% and an overall negative predictive value of 91% was obtained (13). CT is more specific than MR imaging in the detection of neoplastic cartilage invasion, but it has a lower sensitivity, especially for thyroid cartilage involvement (1, 15).
One advantage of CT over MR imaging is the shorter examination time, which is especially important in patients with airway compromise due to tumor infiltration and consequent dyspnea. Another is that motion artifacts are of minor importance in CT compared with MR imaging.
Because radiation treatment may induce changes in the laryngeal cartilage, visible on CT (16), we excluded all patients who underwent radiation therapy before the above-mentioned partial laryngectomy.
No increased local failure rate was observed in the patients with cartilage alterations (1/11) over those without cartilage abnormalities (1/5), as seen on the preoperative CT study. In both patients with local recurrence, the primary tumor site was glottic. The patient with cartilage involvement (involvement of all three laryngeal cartilages) had a similar tumor volume (1.9 mL) as the patient without cartilage alteration (1.5 mL). As pathologic results revealed close resection margins in both patients, postoperative radiation therapy was performed.
This study indicates that cartilage alterations, as seen on preoperative CT, are not correlated with the local outcome of patients treated by a speech-preserving surgical technique.
Supracricoid partial laryngectomy has proved effective in the management of glottic and supraglottic cancers of all stages. Even involvement of the paraglottic space and thyroid cartilage can be treated in this manner, provided at least one arytenoid unit can be preserved with clear margins for functional reasons. Cricoid cartilage involvement is the most significant limitation of this procedure (17), because the cricoid cartilage cannot be resected in this type of partial laryngectomy surgery. Partial cricoid resection is technically feasible only with a near-total laryngectomy (permitting mild-quality phonation but requiring a permanent tracheostomy [18]) and extended hemilaryngectomy with tracheal autotransplantation (allowing full functional restoration of the laryngeal function [9, 10]).
In a retrospective study of 223 patients with advanced T3 and T4 tumors treated by surgery (150 with total laryngectomy and 11 with supraglottic laryngectomy) or radiation therapy, no significant difference in locoregional control or survival was found between 79 patients with and 144 without cartilage involvement (19).
In another study, the prognostic significance of cartilage involvement in T3 and T4 glottic carcinoma treated with total laryngectomy was examined. The results of this study question the use of cartilage invasion as a staging parameter for surgically treated laryngeal carcinoma. No significant difference between the pT3 (cartilage free of tumor) and the pT4 (cartilage invaded by tumor) groups was found in terms of local recurrence, distant metastases or survival (20). These studies, as well as our own investigation, indicate that cartilage involvement has no impact on the outcome of surgery, provided the abnormal cartilage can be resected.
Our study concerns a group of patients predominantly presenting with glottic cancer. Glottic cancer is more likely to invade the laryngeal framework compared with supraglottic cancer. The used surgical technique (extended hemilaryngectomy with tracheal autotransplantation) allows resection of the hemilarynx, including half of the cricoid cartilage. Therefore, areas of possible neoplastic cartilage involvement are very likely to be included in the resection specimen. The inability of other speech-preserving surgical techniques to adequately resect areas of laryngeal framework invasion may falsely lead to the belief that cartilage involvement, in itself, is a contraindication for partial laryngectomy.
Cartilage involvement was also often suggested to be a contraindication for radiation therapy, leaving total laryngectomy as the only remaining therapeutic procedure. Because cartilage biopsy is difficult or impossible to perform, only methods such as CT or MR imaging can suggest tumor infiltration. In such a setting, the results of imaging studies may dramatically change patient management.
Several studies investigating the importance and consequences of laryngeal cartilage alteration in patients undergoing radiation therapy were recently published (5, 12, 21, 22). Overall, these studies indicate that tumor volume and cartilage involvement, as measured and seen on CT or MR imaging, are not independent factors. Therefore, cartilage abnormalities could be considered as epiphenomenona of large tumor volume or deep intralaryngeal tumor spread. Tumor volume is especially known to adversely influence the chances of local control after radiation therapy (5, 12, 21, 23). It has been suggested that deep tumor spread reflects a more aggressive neoplastic behavior (24), which could explain the association with local recurrence (5). Fletcher and Hamberger (25) stated that the preepiglottic space is poorly vascularized. They suggested that the anoxic component of tumors invading this space must be significant, possibly explaining their relative radioresistancy.
The present study has a small study population; a larger controlled study is needed to evaluate the statistical significance of cartilage invasion related to prognosis after partial laryngectomy.
Conclusion
This study indicates that laryngeal cartilage abnormalities, as seen on CT, in patients with laryngeal or pyriform sinus cancer do not preclude speech-preserving surgery.
Footnotes
Presented at the 89th annual meeting of the Radiological Society of North America, November 30–December 5, 2003, Chicago, IL.
References
- Received May 19, 2004.
- Accepted after revision June 4, 2004.
- Copyright © American Society of Neuroradiology