Abstract
Summary: We report an unusual case of cerebral aspergillosis in a young immunocompetent patient who also had dissemination to other end organs. The patient presented with a large mass in the left cerebral hemisphere. Elemental analysis of biopsy specimens revealed elevated levels of iron, magnesium, zinc, calcium, chromium, and nickel that correlated with a peripheral rim of hypointensity on T2-weighted images.
Aspergillus species are ubiquitous fungi that can cause life-threatening infections. Aspergillosis of the CNS is a rare disease, especially if the patient’s immune system is not compromised (1). Because of the high mortality rate of this infection, early diagnosis and prompt initiation of treatment are crucial. In this report, we correlated the imaging appearance of an aspergillus brain abscess with histologic findings and elemental analysis to gain a better understanding of the MR signal intensity characteristics.
Case Report
A 24-year-old afebrile African man from Sudan presented with severe headaches that were worse on the left side and had persisted a few months before presentation. He was initially referred to our hospital from the tuberculosis clinic because of an abnormal chest radiograph. He had a history of mild cough, chronic headaches, chronic low back pain, and bilateral leg pain. Examination showed mild aphasia without other neurologic deficit. Diffuse fine and coarse rales were heard in both lung fields with profound inspiratory wheezes over the right posterior lung fields. The spinous processes of L2 and L3 protruded posteriorly and were mildly tender on percussion. Laboratory findings were within normal limits. He was diagnosed with tuberculosis 10 months earlier, which was incompletely treated. He had no history of any underlying systemic disease or immunosuppressive therapy. Serology for HIV was negative. Immunologic workup was within normal limits. CT and MR imaging were performed.
CT of the brain revealed a large isoattenuated left temporoparieto-occipital mass measuring 8 × 4 × 9.5 cm with an irregular hypoattenuated center and surrounding brain edema (Fig 1). Small calcifications were present within the mass. The mass had a complex appearance on MR images (Fig 2). T2-weighted images revealed a thick hypointense perimeter and a heterogeneous hyperintense core. Margins of the lesion were well defined but irregular. On T1-weighted images, the mass was heterogeneous but mostly mildly isointense. A thick enhancing rim with a central nonenhancing portion was seen on postcontrast T1-weighted images. The T2 hypointense zone was thicker than the enhancing rim, which correlated with a very dark 2-mm band on the T2-weighted images along the inner margin of the enhancement (Fig 2B). Perilesional vasogenic edema and evidence of brain herniation were also depicted. A CT scan of the abdomen and pelvis revealed large bilateral psoas abscesses and bony destruction of the body of L2 and the spinous processes of L2 and L3. MR imaging demonstrated abnormal signal intensity and enhancement of the L2 and L3 spinous processes and L2–L3 disk space associated with a paravertebral soft tissue mass. No evidence of epidural abscess or spinal cord compression was seen. In light of the previous history of pulmonary tuberculosis, Pott’s disease was diagnosed. CT of the chest showed a right hilar mass encasing the right main bronchus and right pulmonary artery. Right upper-lobe consolidation and a few small middle-lobe pulmonary nodules were also present. CT-fluoroscopic guided drainage of the psoas abscesses was performed with drain placement 3 days after admission.
CT scan of the brain. Axial precontrast scan shows a large, isoattenuated left temporoparieto-occipital mass with central hypoattenuated areas of necrosis and one focal calcification.
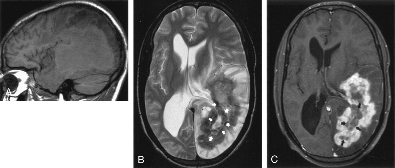
Brain MR imaging. A, Sagittal T1-weighted image shows the extent of the large mass, which is mostly isointense to gray matter with a mildly hyperintense perimeter. B, Axial T2-weighted image demonstrates the hypointense wall of the mass with surrounding brain edema. Thin, interrupted, low signal intensity zones (arrows) line the margin between the outer wall and central hyperintense necrotic area. C, Axial contrast-enhanced study reveals a thick, irregular enhancing rim. The low signal intensity zones (arrows) do not enhance.
Two days later, a craniotomy and excisional biopsy of the left hemispheric mass were performed. A hardened mass without areas of gross hemorrhage was found. No fluid or pus could be aspirated from the central cavity. Microscopic examination of the hematoxylin-eosin–stained specimen disclosed well-formed granulomas, many with central areas of necrosis within fibrocollagenous connective tissue (Fig 3). The periodic acid-shiff and Grocott methanamin silver stain revealed many septated fungal hyphae. Fine basophilic calcification was present in some of the more densely fibrotic areas, but there was no evidence of calcium or hemosiderin between the well-formed granulomas and the areas of necrosis. Prominent iron deposits were, however, noted in the areas of active granulomatous inflammation on Perl stain for iron (Fig 3C).
Histopathologic findings. A, Methanamin silver stain (magnification ×200) shows dichotomous branching, septated fungi (arrows). B, Hematoxylin and eosin stain (magnification ×200) reveals granulomas with epithelioid histiocytes and multinucleated giant cells (arrows). C, Perl stain (magnification ×200) shows blue color staining of iron material (arrows).
Elemental analysis by inductively coupled plasma atomic emission spectrometry (2) confirmed increased iron. Other intrinsic mineral elements included magnesium, zinc, calcium, chromium, and nickel (Table 1). Cultures from brain biopsy material and psoas abscesses grew the same organism, Aspergillus flavus. Cultures of two separate bronchial washings showed no growth. The patient received long-term aggressive antifungal drug therapy. Two months after the first admission, he was readmitted for treatment of a productive cough with scant hemoptysis. This time the bronchial washings revealed A. flavus. A new class of antifungal drug (caspofungin) was added to his therapy. The patient had good clinical and radiologic recovery on follow-up examinations. He has survived more than 2 years since the initial diagnosis.
Discussion
Aspergillus species are saprophytes within the environment. Aspergillus fumigatus is the most common human pathogen, but A. flavus and Aspergillus Niger are also found. Hosts are infected by inhaling the spores, making the lungs the primary site of infection (3). CNS infection may occur through hematogenous dissemination from the lungs (4), direct extension from the paranasal sinuses and orbits (5), or direct inoculation at the time of surgery (1) or a traumatic event. Most infections occur in immunocompromised patients, with a mortality rate of almost 100% for cerebral aspergillosis.
The clinical diagnosis of CNS aspergillosis is difficult because the presenting symptoms are nonspecific and fever may be absent (6).
In most cases, diagnosis is made after death or at the terminal stages of disease (7). Premortem diagnosis is usually established by means of histologic examination or culture of brain biopsy material. Because the clinical and laboratory diagnosis of aspergillosis is difficult, the identification of any specific neuroimaging features to suggest the infection would be helpful for earlier diagnosis.
Cerebral aspergillosis may present with meningitis, cerebritis, infarction, abscess, granuloma, or mycotic aneurysms. The most frequent pathologic manifestation is hemorrhagic infarction and abscess (7). Although uncommon, cerebral aspergillosis in immunocompetent patients has been reported (1, 8, 9), only a few patients presented with a large space-occupying lesion as in our case. Most reported infections occurred through direct extension or hematogenous dissemination from the paranasal sinuses. In our case, the most likely source of infection was hematogenous dissemination from the lungs.
Histopathologic examination in our case showed a well-formed granuloma. Unlike the immunosuppressed host, no evidence of angioinvasion was seen in our patient.
The thick irregular wall of the mass on CT and MR images indicates a competent host defense mechanism that is attempting to isolate or encapsulate the offending organisms (8). The discrepancy between the extensive mass effect and minimal neurologic deficit was likely due to accommodation of the brain to a slow-growing mass and mostly compression of normal brain rather than invasion or destruction.
T2-hypointense zones within the wall of cerebral aspergillus lesions are commonly seen (5). This finding has been attributed to dense population of aspergillus hyphal elements and the presence of hemorrhage in the capsular wall (10). Furthermore, the presence of a hypointense ring in immunocompromised patients has been associated with increased risk for hemorrhage. Immunocompromised hosts more commonly have multifocal hemorrhagic lesions (6). In our case, no significant hemorrhage was found on histopathologic examination.
Fellow et al (11) have studied in vitro the T2-hypointense regions in the hyphal mass of aspergillus colonies. The hypointensities correlated with the concentration of paramagnetic elements within aspergillus colonies. The paramagnetic elements are essential for the hyphal growth, especially iron and magnesium. In our case, Perl stain of histology demonstrated prominent iron deposits in the granulomatous wall. Iron deposition within hypointense zones of an aspergillus lesion was reported in one other immunocompetent patient. The presence of iron may reflect areas of active proliferation of fungi against the outer granulomatous wall of the host’s defense mechanism (8). Besides iron, we also found deposition of other intrinsic elements within the lesional wall, including magnesium, zinc, calcium, chromium, and nickel. Of note, the nickel and chromium concentrations were 12 and 24 times normal those of brain levels. Accumulation of nickel and chromium within fungal hyphal growth has not been reported before, and we are uncertain of the reason for, or the significance of, this finding. We could not tell from other reports whether the fungal specimens were tested for these two elements.
In the case of Yamada et al (8), the low signal intensity zone was found only at the junction of the internal nonenhancing cavity and the enhancing capsular wall on T2-weighted images. Similarly, we found a low signal intensity zone along the inner surface of the granuloma wall, but in addition, other scattered areas of hypointensity were present within central necrotic area. This apparent discrepancy can be explained by fragments of fungal growth breaking off from the low signal intensity zone.
Almost all immunocompetent patients with cerebral aspergillosis in the literature had the predisposing factors of old age, diabetes, alcoholism, hepatic failure, drug addiction, postsurgical sequelae, or posttraumatic events. None of these predisposing factors was present in our case. Of note is the origin of our patient from Sudan. There were two other reports from Sudan and Saudi Arabia of A. flavus in immunocompetent hosts (9, 12). These geographical locations may be endemic areas for this particular species of aspergillus.
Finally, the good outcome in our case was likely due to a combination of early diagnosis, prompt surgical removal, initiation of aggressive antifungal therapy (amphotericin and caspofungin), and the normal host immune response of this patient.
Conclusion
Although rare, cerebral aspergillosis can occur in an immunocompetent host. The MR imaging finding of a low signal intensity zone surrounded by a thick perimeter of enhancement should suggest the diagnosis of a fungal granuloma caused by the hyphal form of the organism. Aspergillosis and mucormycosis are the two fungi that are pathogenic in the hyphal form. Two other common opportunistic fungal organisms, cryptococcus and candida, are yeast infections and would not give this appearance. Cerebral mucormycosis is nearly always an extension from nasal and paranasal sinus infection, involving the base of the brain and basal ganglionic regions. On the other hand, aspergillosis is more often disseminated disease with hematogenous spread to the brain and is more likely to cause a lobar abscess or granuloma.
References
- Received June 22, 2004.
- Accepted after revision July 16, 2004.
- American Society of Neuroradiology