Abstract
BACKGROUND AND PURPOSE: Recurrent or residual back pain after vertebroplasty (VP) is common, and many patients with these symptoms are evaluated by MRI. The purpose of this report is to describe post-treatment MRI findings after successful VP.
METHODS: We identified all patients who underwent VP at our institution and later presented with back pain and had a spine MRI. From these patients, we identified a cohort with uncomplicated procedures, in whom back pain at the site of the VP was not the dominant pain source at follow-up. Using the pre- and postoperative MRIs and the VP conventional radiographs, we assessed such features as interval height loss and changes in marrow edema in treated vertebrae.
RESULTS: Thirty patients (51 treated vertebrae) met our clinical criteria for uncomplicated VP. Nine (18%) of 51 vertebrae lost additional height after the procedure. Neither patient demographics nor variables associated with the procedure itself, including volume of cement injected, correlated with additional height loss after VP. Moderate or severe marrow edema was demonstrated in 62% of vertebrae on preoperative MRI and in 33% of vertebrae on follow-up MRI. Twenty-one percent of vertebrae had new areas of marrow edema on follow-up. Twenty-two percent of vertebrae imaged >6 months after VP had moderate or severe edema.
CONCLUSION: Progressive and persistent edema and interval height loss after successful VP are common and should not be interpreted as sufficient evidence of ongoing pathology at the treated vertebral level.
Since the first percutaneous vertebroplasty (VP) performed in North America in 1993 and reported in 1997 (1), the procedure has become a widely accepted alternative for patients with symptomatic compression fractures (2–4). Despite procedural success rates of 80%–95% (5–7), back pain after VP is common (8). This pain may be the result of a new compression fracture at a different vertebral level (3, 6, 9), or it may be explained by numerous other diagnoses (10).
When patients present with back pain after VP, MRI is commonly ordered. To the best of our knowledge, no published report describes the normal MRI appearance of post-VP vertebrae correlated with clinical outcomes. The purpose of this report is to describe the spectrum of MRI findings in successfully treated vertebrae. These MRI findings might then be considered “within the realm of normal” and would help guide the evaluation of patients who return after VP with back pain.
Methods
Institutional review board approval was obtained before the study. All patients gave informed consent for participation in research.
Patients
We identified all patients who underwent VP at our institution and later presented at our institution for spine MRI. Of 218 patients who underwent VP between February 1999 and October 2002, 59 had at least one subsequent spine MRI. Fifty-five of these patients gave consent for research. Of these 55 patients, seven had malignant compression fractures and were excluded. Of the 48 remaining patients, three were excluded because their follow-up MRIs were not diagnostic, due to either metallic artifact (one patient) or exclusion of the treated vertebrae on the follow-up scans (two patients). Forty-five patients remained who had undergone spine MRI after VP for osteoporotic compression fracture.
VPs were performed by using an 11- or 13-gauge needle and a transpedicular or parapedicular approach, depending on operator preference and discretion. Cement was injected under biplanar fluoroscopic guidance until cement extended to the posterior 25% of the vertebral body or cement extravasation was anticipated or observed. After unilateral injection, if cement did not extend to the level of the contralateral pedicle on anteroposterior fluoroscopy, additional cement was injected on the contralateral side of the vertebra. Patients with intravertebral clefts were hyperextended to increase the amount of potential height restoration at VP at the discretion of the operator.
Clinical Assessment of Pain Origin
For each patient, we attempted to determine whether the previously treated vertebra was the dominant pain source by answering the question “Is back pain at the previously treated vertebra the reason for seeking medical evaluation?” Each patient’s medical record was retrospectively reviewed by three investigators, who reviewed all relevant medical visits, all pertinent imaging, and the patient’s subjective response to further therapeutic interventions such as additional VP at a different spinal level, facet injection, transforaminal or interlaminar epidural injection, and radio-frequency neurotomy.
We defined three clinical criteria that would confidently exclude the previously treated vertebra(e) as the dominant pain source at follow-up. These criteria were as follows: (1) fluoroscopically guided physical examination elicited no point tenderness at the previously treated spinal level, (2) a specific alternative diagnosis explained the patient’s pain, and (3) intervention to treat the alternative diagnosis, if attempted, resulted in relief of pain. We allowed two exceptions. First, if a patient had point tenderness at a previously treated level that was explained by adjacent pathology, such as a treated L1 vertebra with a new T12 fracture, the initial VP was still considered uncomplicated if subsequent treatment of the new adjacent pathology relieved the pain. Second, if a patient had no obvious specific diagnosis for residual back pain, but the anatomic location and character of the pain at follow-up were clearly different from the pain at the time of the original compression fracture, the VP was still considered to be uncomplicated.
Imaging Review
Three investigators, all experienced neuroradiologists and VP practitioners, reviewed the patients’ MRIs before and after VP and the plain films from the procedure itself. The MRI examinations were acquired on a 1.5-T clinical scanner, and all examinations included at least sagittal T1-weighted (TR/TE/NEX 400–535/14–18/3; field of view [FOV] 22–32) sequences and sagittal fast spin-echo (FSE) T2-weighted (3250–3350/102–105/4; FOV 22–32) sequences. The FSE T2-weighted images were typically obtained with fat suppression. The sagittal spin-echo T1, sagittal FSE T2, and, when available, the fat-saturated sagittal FSE T2 sequences were reviewed. Although short tau inversion recovery (STIR) sequences are excellent at demonstrating bone edema, fat-suppressed FSE images were generally preferred when only one T2-weighted sequence was utilized to evaluate both vertebral marrow as well as the epidural, intrathecal and neural foraminal spaces. VP plain films were prone AP and true lateral (pedicles completely overlapping) radiographs.
By consensus opinion, multiple features of each imaging study were graded. Percent vertebral body height loss was quantified on each imaging study by gross visual inspection of the compressed vertebrae in comparison to an adjacent vertebra of normal height, supplemented by manual measurements. Vertebrae that demonstrated additional height loss after the VP by gross visual inspection were reassessed by using a second technique. On the midline sagittal MRI image, three measurements were taken between the vertebral endplates in the anterior, middle, and posterior aspect of each vertebra. Differences in vertebral height measurements between preoperative and follow-up MRIs were calculated.
Marrow volume edema was assessed in three ways. First, semiquantitatively, with a score of 1 given to vertebrae with no edema and scores of 2–4 for ascending terciles of estimated percent marrow volume edematous. Second, comparatively, to document changes in edema between the preoperative and follow-up MRIs. Third, descriptively, including an assessment of whether in each vertebra there was normal marrow that became edematous on follow-up or edematous marrow that became normal.
On the VP conventional radiographs, the marrow volume occupied by cement was assessed. Four categories of filling were defined, according percent marrow volume filled in ascending quartiles. Other imaging features assessed were the presence or absence of an intravertebral cleft, whether the cement filled marrow trabeculae in addition to the cleft, and whether the cleft had persistent fluid on follow-up MRI.
Results
Clinical Categorization
Of the 45 original patients, 30 met our clinical criteria for uncomplicated VP (Table 1). The fifteen patients who did not meet our criteria were excluded. Of these 15 excluded patients, only one had convincing treatment-level pain, secondary to a new transverse process fracture. The other fourteen excluded patients had no definite treatment-level pain, but their procedures could not be confidently defined as uncomplicated by using our criteria.
Clinical descriptors of the 30 patients with uncomplicated VP were as follows: they were 68.9 years old on average (range, 43–84 years; median, 71 years), 19 (63%) were female, and all had osteoporotic compression fractures.
In these 30 patients with uncomplicated VP, 51 vertebrae had been treated before MRI follow-up. Forty-seven of the 51 treated vertebrae had a preoperative MRI, with an average interval between the preoperative MRI and VP of 14 days (range, 1–75 days; median, 8 days). The average interval from the VP to the follow-up MRI was 150 days (range, 2–736 days; median, 81 days).
Seven of the 30 patients with uncomplicated VP had additional MRIs during the study interval, which in four patients resulted in additional VP (10 additional vertebrae treated). The clinical summaries of the extra follow-up visits were reviewed, and our clinical criteria applied, to ensure that all treated vertebrae continued to meet our criteria for uncomplicated VP.
Additional Height Loss
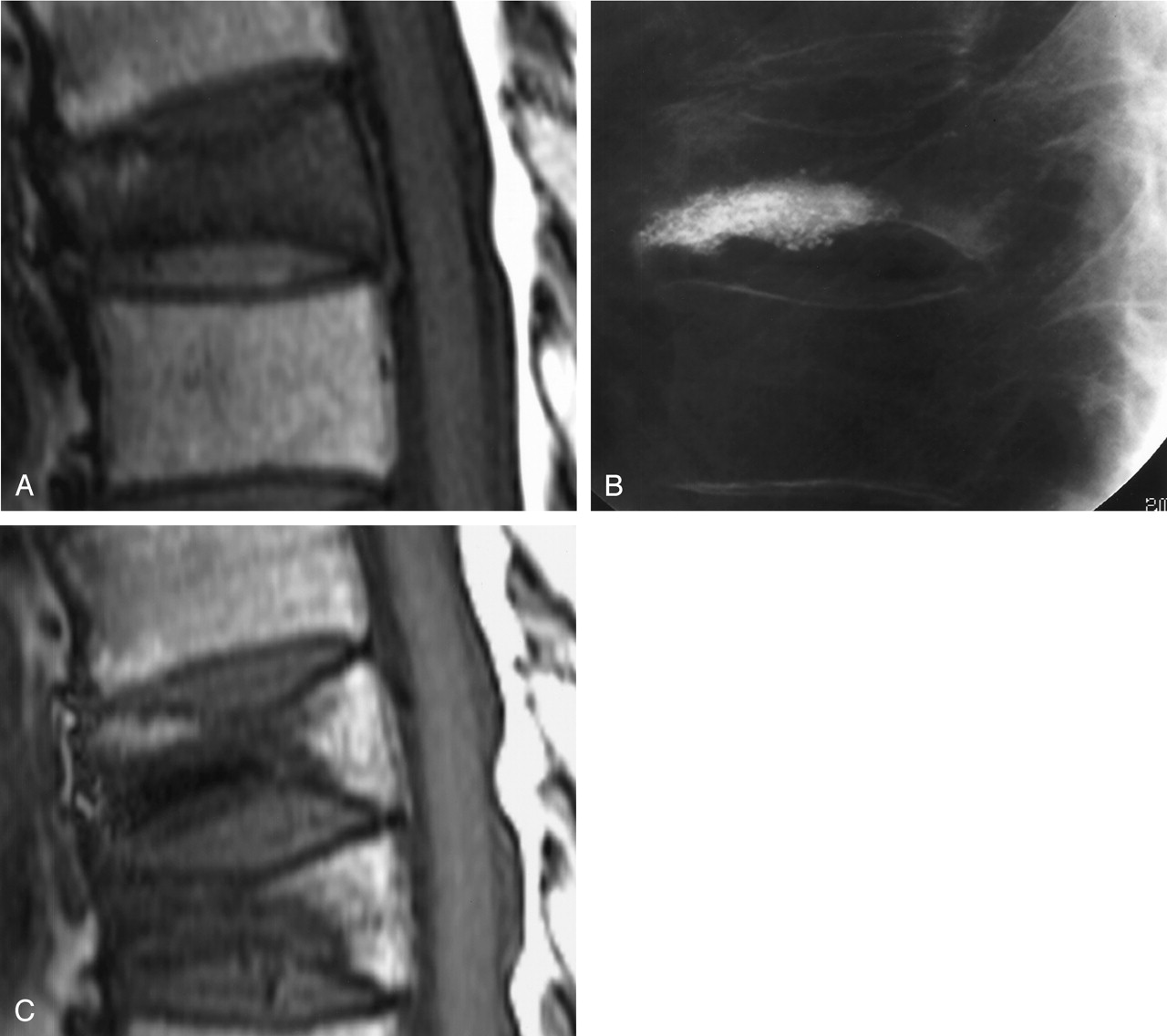
Height loss was assessed quantitatively and by consensus opinion. Nine (18%) of 51 treated vertebrae lost additional height between the VP conventional radiographs and the follow-up MRI (Fig 1). In a single additional case, a compressed vertebra lost height between the preoperative MRI and the VP.
On preoperative MRI, the 51 untreated vertebral fractures had lost an average of 34% (range, 10%–80%; median, 30%) of their original height. In the nine vertebrae that lost additional height after the VP, the average vertebral height loss on follow-up MRI was 50% (range, 20%–80%; median, 50%). When these vertebrae were re-evaluated by using the midline sagittal image measurements, the average preoperative mean height was 16.0 mm (three midline sagittal measurements averaged for each vertebra), and the average interval height loss was 1.2 mm (8%). In many instances, the additional height loss involved only one part of the vertebral body. When only the single measurement of maximum difference (anterior, middle, or posterior) from the midline sagittal MRI image was considered, the average interval height loss was 2.2 mm (14%).
The nine vertebrae that lost additional height after the VP were all in different patients. Compared with the 21 patients whose vertebrae did not lose height, these nine patients did not significantly differ in age (66.0 years vs 70.1 years; P = .33), sex (56% male vs 67% female; P = .69), or average T score (−3.1 vs −2.4; P = .38). Nor was additional height loss seen only in treated fractures adjacent to other treated vertebrae. On the contrary, in six of nine cases, the vertebrae losing height were the only treated vertebrae in that patient’s spine. In two cases, there was a single additional treated vertebra at least three vertebral levels distant from the vertebra losing additional height, and in one case there was an adjacent treated vertebra.
The average volume of PMMA injected during VP did not differ significantly between vertebrae with and without subsequent additional height loss (3.4 mL vs 3.9 mL; P = .59). Nor did the percent of marrow filled with PMMA differ between the two groups (25%–50% average fill for both; P = .98). Three (33%) of the nine vertebrae that lost height, and 14 (33%) of the 42 vertebrae that did not lose height, had intravertebral clefts on preoperative MRI. Of all 17 vertebrae with clefts, five (29%) had persistent fluid in the cleft after VP. Only one of the vertebrae with persistent cleft fluid lost additional height.
Bone Marrow Edema
On average, vertebrae on the preoperative MRI had “moderate” edema: 1/3–2/3 of marrow volume affected. At follow-up MRI, edema had decreased on average to “mild”: >0 but <1/3 of marrow involved. Twenty-nine (62%) of 47 vertebrae had moderate (1/3–2/3 of volume) or severe (>2/3 of volume) marrow edema on preoperative scans; at follow-up 17 (33%) of 51 vertebrae had moderate or severe edema (Fig 2). At follow-up, 31 (66%) of 47 vertebrae had regions of marrow that had been edematous and now were normal. Conversely, nine (19%) of 47 vertebrae had previously normal marrow that became edematous on follow-up.
To describe the correlation between marrow edema score and time interval between VP and follow-up MRI, we reviewed the additional follow-up MRIs in patients who returned again during the study interval. Including all follow-up MRIs during the study interval, and the additional vertebrae treated, there were 81 MRIs of 61 treated vertebrae in our 30 patients. These MRIs were categorized by time interval after VP: 0–6 weeks, 6 weeks to 3 months, 3–6 months, and >6 months. In the early follow-up interval (0–6 weeks), 15 of 24 (63%) vertebrae had moderate or severe edema. As follow-up interval increased, the number of vertebrae in the moderate and severe marrow edema categories decreased, but not to 0. Of vertebrae imaged >6 months after the VP, five of 23 (22%) still had moderate or severe edema (Figs 3,4).
Discussion
In this study we analyzed a cohort of patients who underwent spine MRI after successful VP, to characterize “normal” MRI findings of treated vertebrae. Although MRI is often performed in patients who return after VP with back pain, our knowledge of what the treated vertebrae should look like on MRI is almost entirely anecdotal. Our study suggests that additional height loss and persistent and progressive edema are relatively common in successfully treated vertebrae. With this in mind, these findings should not be considered as sufficient evidence of ongoing pathology in patients who return after VP with back pain. Further, the preponderance of patients with new compression fractures at different vertebral levels suggests that prompt use of MRI for patients who present with back pain after VP is appropriate.
Increased T2 marrow signal intensity in compressed vertebrae is associated with acute or subacute fracture and incomplete healing, with normal signal intensity expected after 1 month of normal healing (11). Our study demonstrates that marrow edema in vertebrae treated with VP may persist for 6 months or longer. Further, we noted that previously normal marrow became edematous after VP in 19% of cases. Although marrow edema tended to decrease with increasing follow-up intervals, 22% of vertebrae had either moderate or severe edema at >6 months of follow-up. This suggests that even persistent marrow edema in previously treated vertebral bodies should not be taken as evidence of unsatisfactory operative result or of ongoing pain.
To date, we know of only two published studies (12, 13) in which MRI findings after VP are discussed. Both studies describe the appearance of the cement, but neither describes the appearance of the surrounding bone. Also, neither study attempts to demonstrate that the previously treated vertebra was not an ongoing source of pain. In our study, we described MRI findings in patients who returned after VP with back pain, but whose back pain was attributable to a source other than the previously treated vertebra. As a result, our findings are particularly applicable for the increasing number of patients those who return for spinal MRI after VP with recurrent or residual pain of uncertain origin.
We acknowledge that our clinical assessment of back pain origin is an imperfect gold standard. Back pain is subjective. It is often multifactorial and can be complicated by a chronic course and by other comorbid conditions in the patient. In an attempt to overcome these difficulties, we eliminated all patients with any indication of pain originating at the previously treated level. To ensure that our cohort was free of patients with significant treatment-level pain, we eliminated 15 patients who did not meet our clinical criteria, even though 14 of these patients had no point tenderness at the treated level and only one had definite treatment-level pathology. In the 30 patients whose procedures were categorized as uncomplicated, 28 had convincing alternative diagnoses to explain the back pain, which in 20 patients was a new compression fracture at another vertebral level (Table 1). All patients who underwent treatment to address the alternative diagnosis experienced significant pain relief.
One could argue that the additional height loss we demonstrated in 18% of treated vertebrae represents treatment failure secondary to inadequacy of the original procedure, including an inadequate volume of cement injected. We submit that none of the 30 patients in the study had any treatment-level symptoms, and the additional height loss in these patients would have gone unrecognized if not for other pathology prompting an evaluation. Patients with and without additional height loss did not differ significantly in volumes of cement injected (3.4 mL vs 3.9 mL; P = .6).
Further, we demonstrated that percentage of vertebral volume filled with cement was not predictive of additional height loss (both vertebrae with and without additional height loss were filled 25%–50% on average). This agrees with the conclusion of Molloy et al, who assessed vertebral body strength and stiffness according to percentage of cement fill at VP and found only a weak correlation (14). In that study, Molloy et al demonstrated restoration of vertebral body strength required a cement fill of 16.2%, and restoration of stiffness required 29.8% fill. Our reviewers assessed cement fill semiquantitatively, assigning each vertebra to a quartile of percent fill. On average, both vertebrae that did and did not lose additional height were filled 25%–50%. Of the 51 treated vertebrae in our study, five were filled 0%–25%, none of which lost additional height.
Our technique for assessing vertebral body height loss is admittedly imprecise, but it most closely resembles the technique used in our clinical practice for detecting and quantifying vertebral height loss. VP plain films at our institution are taken in AP and direct true lateral projections, with great care taken to ensure that the pedicles of the treated vertebra are perfectly overlapping on the lateral projection and that the treated vertebra is in the central conventional radiographic beam. Using these VP conventional radiographs in conjunction with the MRIs allowed us to detect height loss and to determine whether it occurred before or after the VP. Most important, our goal was not to precisely quantify additional height loss, only to document that it occurs in asymptomatic vertebrae previously treated with VP.
For precise calibration of vertebral height loss, multiple (anterior, middle, and posterior) measurements in the sagittal plane have been recommended (15, 16). When we applied a midline sagittal image technique, we demonstrated an average maximal height loss of 2.2 mm (14% of the vertebral body height immediately after VP) in those vertebrae that were determined by the former method to have lost additional height. The former method yielded a 19% average interval height loss. Although the results are similar, there was a poor correlation for any individual vertebra in the height loss determinations between the two methods. An explanation for this observation is that, in many instances, the additional height loss involved only part of the endplate and was incompletely represented on the midline sagittal image.
One might argue that the midline sagittal technique is not appropriate for post-VP measurements, because the cement is injected in the parasagittal planes occupied by the pedicles, and therefore it is in these planes where meaningful height loss is best assessed. We submit that the final configuration of injected cement is unpredictable. Often the cement bolus is thickest in the midline, despite lateral injections. Further, because of various possible trajectories from the pedicle into the vertebral body, there is no standard parasagittal plane relative to the pedicle containing the final position of the needle tip. Although it is not clear that parasagittal measurement would be more reproducible or meaningful than a midline sagittal measurement, the point does introduce a potential limitation of midline measurement.
Ideally, a study to describe the findings of successfully treated vertebrae after VP would be prospective, would include serial MRIs at standardized intervals after the procedure, and would include patients in whom residual pain after VP is minimal and does not warrant a follow-up evaluation. Evaluation of conformational changes in the treated vertebrae may be better evaluated with serial 3D volumetric CT.
Conclusion
Progressive and persistent edema and interval height loss are both common after successful VP, and neither should be interpreted as sufficient evidence of ongoing pathology at the treated vertebral level.
Additional height loss after VP.
A, T1-weighted MRI before L1 VP shows vertebral compression and marrow edema.
B, VP shows cement extending between the endplates of L1.
C, Follow-up T1-weighted MRI shows further vertebral compression primarily involving the anterior and middle aspects of the L1 body.
.
Severity of marrow edema, before and after VP (n = 51).One-third of vertebrae had moderate or severe edema at follow-up.
Persistent marrow edema after VP.
A, Preprocedure T1-weighted MRI shows partial compression of T8 with severe edema.
B, Lateral radiography at time of VP shows cement filling an intravertebral cleft and adjacent marrow.
C, T1-weighted MRI 1 year after VP shows persistent severe edema as well as a new compression fracture of T9.
Severity of marrow edema according to interval between VP and follow-up MRI (n = 81). At 6 months or more after VP, 11 of 22 vertebrae had some degree of marrow edema.
Source of back pain in 30 patients
Footnotes
Presented at the 42nd annual meeting of the American Society of Neuroradiology, Seattle, WA, June 5–11, 2004.
References
- Received September 13, 2004.
- Accepted after revision November 4, 2004.
- Copyright © American Society of Neuroradiology