Abstract
SUMMARY: We describe a new method for radio-frequency mandibular nerve rhizotomy under CT fluoroscopy. A patient with cancer had severe intractable and drug-resistant pain in his left mandibular region. Because he had an anatomic deformity due to cancer invasion and radiation therapy, we planned a mandibular nerve rhizotomy under CT fluoroscopic imaging. The needle was advanced to the mandibular nerve just caudal to the foramen ovale under real-time CT fluoroscopy, avoiding the cancer region. Pain scores of the patient were reduced after the nerve rhizotomy, without any complications.
Mandibular nerve block is effective for the relief of trigeminal neuralgia and cancer pain in the mandibular region.1, 2 It is traditionally performed by using external anatomic landmarks and X-ray fluoroscopy. The classic technique using the lateral approach to the trigeminal nerve can be difficult and risky, however, because of individual anatomic variability3, 4 or cancer invasion. Recently, percutaneous techniques under CT fluoroscopy were added to the list of treatment options. This method with real-time imaging is minimally invasive.4–7 Imaging-guided techniques with CT-fluoroscopy increase the efficacy and safety of several nerve block types, especially a trigeminal nerve block.4, 5 Okuda et al3 reported chemical neurolysis of the trigeminal nerve under CT guidance. Although a neurodestructive procedure may be associated with side effects such as sensory loss and dysesthesia, radio-frequency nerve rhizotomy is a minimally invasive and low-risk technique with a high rate of efficacy.8 Although the electrocoagulation of the trigeminal nerve under X-ray fluoroscopic guidance has been performed for decades, CT fluoroscopy–guided radio-frequency rhizotomy for a patient with an anatomic abnormality has not been reported. In this case report, we describe a new method for radio-frequency mandibular nerve rhizotomy, in which CT fluoroscopy is used to guide needle placement.
Case Report
The patient was a 62-year-old man with lung cancer and submandibular gland metastasis of the cancer. Although he underwent surgery, radiation therapy, and chemotherapy, the carcinoma could not be removed. He had severe pain in his left mandibular region that was not controlled with pain killers such as opiates (fentanyl patch, 30 mg/3 days) and nonsteroidal anti-inflammatory drugs (loxoprofen sodium). Because the pain was brought on by mandibular nerve destruction due to cancer, we attempted to block mandibular nerve conduction by electrocoagulation of the nerve. In addition, because we recognized cancer invasion and an anatomic deformity after irradiation in the mandibular region, we planned to insert a block needle by using a lateral approach under CT fluoroscopic imaging.
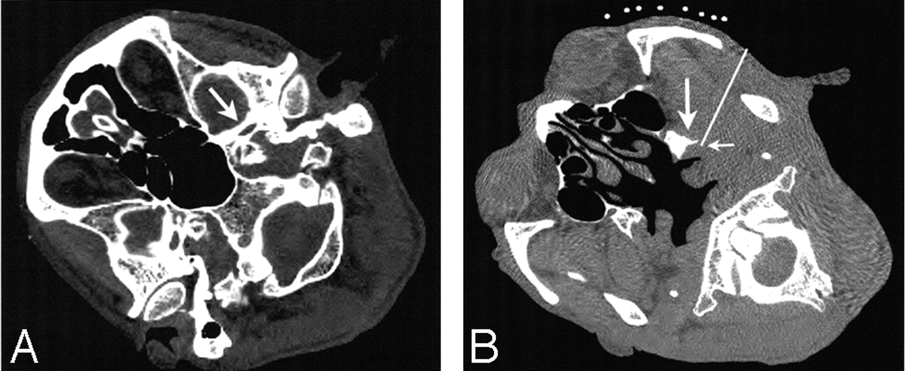
The patient was placed supine on a CT table in a lateral position with the diseased area up. A marking device made of X-ray opaque wires was attached to his ipsilateral cheek. The CT gantry (HiSpeed Advantage SG, GE Healthcare, Milwaukee, Wis) was set at an oblique position to obtain axial view sections of the base of the skull and foramen ovale. The needle insertion route was then designed as depicted in Fig 1. On these CT sections, the foramen ovale and posterior margin of the lateral pterygoid plate were clearly identified. The foramen ovale was a landmark on CT images in this patient, and the mandibular nerve immediately caudal to the foramen ovale in the posterior margin of lateral pterygoid plate was considered to be the target site. The distance between the insertion point and the target was 60 mm. The insertion point was marked with reference to the marking device.
Axial CT sections of the head. Arrow indicates foramen ovale (A), which is a landmark to identify the location of nerve exit from the cranium on CT images in this patient. The safest and shortest route (white line) to the target site (small arrow) is determined on the CT image (B, caudal section to A). The mandibular nerve immediately caudal to the foramen ovale in the posterior margin of lateral pterygoid plate (large arrow) is considered to be the target site.
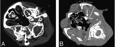
Following sterilization and administration of a subcutaneous anesthetic of 0.5% lidocaine, a KT TFW 22-gauge, 97-mm guiding needle (Hakko, Inc, Tokyo, Japan) was inserted from the marked point. The insertion angle of the needle was adjusted by using the red-colored guiding laser of the CT gantry, which conformed to the scanning section. The needle was then advanced following the predetermined route under real-time CT fluoroscopy. When the needle tip was located at the target site (Fig 2), low-voltage sensory stimulation was applied with a lesion generator (0.1–0.2 V at 50 Hz, RFG-3CF, Radionics, Burlington, Mass) to ensure that electric stimulation reproduced the pain in the diseased area. Motor stimulation (0.1–0.2 V at 2 Hz) was then applied to verify proper electrode placement. Contractions of the masseter muscle were observed with the electric stimulation when the electrode was properly placed. Thereafter, the effect of nerve block was simulated by a test dose injection (2% mepivacaine hydrochloride, 0.3 mL). After confirming the loss of sensation at the diseased area and the lack of side effects, we performed denervation by applying radio-frequency current by using the RFG-3CF lesion generator. Electrocoagulation was performed at 90°C for 90 seconds. The CT fluoroscopy used in our case radiated 0.176 mGy/s (10 mA, 120 kV, per 3-mm section). The patient did not have severe discomfort during the procedure.
The needle tip is located at the target site of the mandibular nerve.
On the following day, the visual analog pain score was reduced from 10/10 to 3/10 in the mandibular area without any complications such as neuritic pain and hemorrhage. The patient experienced good pain control for 2 weeks until he died of hemorrhage from the cancer in the oral cavity. This hemorrhage might not be related to the procedure.
Discussion
Treatment of facial cancer pain includes several drug therapies, surgery, and nerve blocks. Trigeminal nerve block is a regional technique used to treat trigeminal neuralgia and facial cancer pain.1, 2 Because our patient had severe intractable and drug-resistant pain in the mandibular region, a mandibular nerve rhizotomy was selected for pain control. A gasserian ganglion block could not be performed because the cancer mass blocked the needle insertion route. Furthermore, because the tissue was fragile as a result of radiation therapy and cancer invasion, there was a large possibility of massive bleeding. Therefore, we planned to insert a block needle with a lateral approach under CT fluoroscopic imaging. Although hemorrhage is a frequent complication of this block when using standard landmark-based methods,1, 2 because of the highly vascular nature of the region, we experienced little hemorrhage during needle insertion under CT fluoroscopic guiding. A single insertion during accurate imaging might reduce the risk of hemorrhage encountered by using the landmark-based method. In our technique, by monitoring the location of the needle tip in real time, the operator can easily avoid unnecessary tissue injury. Although the nerve itself could not be visualized by CT, by applying a weak electric current, we confirmed proper needle placement adjacent to the mandibular nerve before electrocoagulation. Although we could not compare the risks and benefits of the CT-guided and classic X-ray fluoroscopy–guided techniques in this case report, further study will clarify which one is more beneficial for patients.
The amount of radiation energy exposure might be a concern in CT guiding procedures. Gusmao et al,5 however, reported that the amounts of the radiation energy exposure to the patient and staff are smaller with the CT guiding technique than with the conventional X-ray fluoroscopic guiding technique for percutaneous trigeminal nerve radio-frequency rhizotomy because CT guiding allows physicians quick and accurate needle advancement. Teeuwisse et al9 reported that the amount of radiation in CT fluoroscopy was acceptable. The CT equipment used in our case radiated 0.176 mGy/s (10 mA, 120 kV, per 3-mm section) in the gantry area. The radiation energy was set such that the skull base, foramen ovale, lateral pterygoid plate, and cancer invasion were clearly visualized. The duration of the fluoroscopy procedure was approximately 30 seconds, shorter than the exposure duration in normal CT scanning for head examination. Shortening the insertion time can further reduce exposure to radiation energy. As in the cases of X-ray fluoroscopy–guided nerve blocks to reduce the radiation exposure to the operator’s hand, CT images were usually obtained intermittently during the CT fluoroscopy–guided needle placement. Although previous CT images had lower resolution quality because of the relatively long scanning time, modern high-speed CT equipment gives high-resolution images very quickly. In addition, anatomic assessment should be completed before the nerve block by viewing preoperative high-resolution CT and/or MR images.
In the present case, we performed this procedure in the CT unit of our institute. By using a preinstalled CT device, we did not require new investment to start this technique. Sterilization might be another concern during this nerve block. Before needle puncture, however, the skin of the patient was disinfected and covered with a large sterilized cloth. Also, the operators paid special attention to completing the procedure without touching the unsterilized parts. Although the space within the CT gantry is not very wide, operators can easily manipulate a short needle (97 mm). No infection was reported in our case. The demand for CT-guided intervention is on the increase, and many institutions are planning to install a CT device in their operating theater. In the near future, CT-guided operative techniques, including nerve block, will become more popular.
In addition to the safety benefits of this procedure, our technique produces minimal discomfort, especially in patients with chronic pain syndrome. Our technique with CT fluoroscopy allows physicians to advance the needle quickly and accurately.
In conclusion, CT fluoroscopy–guided percutaneous mandibular nerve rhizotomy was safe, quick, and effective for a patient with mandibular cancer pain.
- Received May 27, 2005.
- Accepted after revision October 5, 2005.
- Copyright © American Society of Neuroradiology