Abstract
BACKGROUND AND PURPOSE: Amyotrophic lateral sclerosis with dementia (ALSD) is a progressive neurodegenerative disorder, characterized clinically by motor neuron symptoms and dementia, and pathologically by degeneration of the motor neurons of the brain and spinal cord as well as atrophy of the frontal and/or temporal lobes. So far, there has been no study on the correlation of MR images with histologic findings in ALSD. We studied the correlation of antemortem and postmortem T2-weighted MR images with histologic findings in autopsy-proved cases of ALSD.
MATERIALS AND METHODS: Antemortem and postmortem T2-weighted images were compared with histologic findings in 3 autopsy-proved cases of ALSD.
RESULTS: Antemortem MR images showed atrophy of the frontal and temporal lobes, which were asymmetric in the medial-ventral part of the temporal lobe. Faint linear T2-hyperintensity was seen in the medial-ventral part of the temporal subcortical white matter in 1 case. Postmortem T2-weighted images showed linear subcortical hyperintensity in the ventral-medial temporal lobe in each case. Histologically, cortical atrophy on MR images showed spongiform change with neuronal loss and gliosis especially in the superficial layers and linear subcortical hyperintensity on T2-weighted images showed degeneration and gliosis in each case. These findings are characteristic histologic changes of ALSD.
CONCLUSION: MR imaging of atrophy of the frontal and temporal lobes with linear subcortical hyperintensities in the anteromedial temporal lobe is useful for diagnosis of ALSD.
Amyotrophic lateral sclerosis (ALS) is a progressive neurodegenerative disorder, characterized clinically by upper and lower motor neuron symptoms and signs, and pathologically by degeneration of the upper and lower motor neurons of the brain and spinal cord. On histologic examination, neuronal loss with gliosis is seen in the motor cortex, anterior horn of the spinal cord, and some motor cranial nerve nuclei of the brain stem. The degeneration of corticospinal tracts is more apparent in the spinal cord than in the brain stem. Bunina bodies, small eosinophilic cytoplasmic inclusions, are usually found in the remaining motor neurons. Patients with ALS usually keep their mental ability until the terminal stage of the disease. However, a small proportion of patients with ALS may also exhibit dementia (ALSD)1, 2 or a motor neuron disease type of frontotemporal dementia (FTD).3
FTD is a clinical entity of non-Alzheimer degenerative dementia in which dementia arises from degeneration of the frontal and temporal lobes.3 On the basis of clinical and pathologic findings, FTD is classified into 3 types: 1) frontal lobe degeneration type, 2) Pick type, and 3) motor neuron disease type, which is the same as ALSD.
The pathologic findings common in FTD are atrophy of the frontal or temporal lobes, or both, showing microvacuolation, neuronal loss, and gliosis in the second and third layers of the cerebral cortices, particularly the frontal or temporal cortices, or both, as well as diffuse mild gliosis and spongiform changes in the cerebral white matter, especially the subcortical white matter, on histologic examination.3
In ALSD, frontotemporal degeneration is more prominent in the anteromedial part of the temporal lobes.4 The primary motor cortex and corticospinal tract are relatively preserved compared with those in classic ALS.2 Degeneration of the substantia nigra is also a characteristic finding in ALSD.4 On immunohistochemical findings, ubiquitin-immunoreactive cytoplasmic inclusions are seen in the hippocampal dentate granule cells and in neurons of the parahippocampal cortex, amygdaloid nucleus, frontal and temporal cortices, basal ganglia, and substantia nigra.5–7
On imaging studies of FTD, asymmetric atrophy of the frontal and anterior temporal lobes and increased signal intensity in the frontal and temporal white matter have been reported as useful diagnostic findings on T2- and proton attenuation-weighted MR images.8, 9 However, so far there has been no study on the correlation of MR images with histologic findings in ALSD. We studied the correlation of antemortem and postmortem T2-weighted images with histologic findings in 3 autopsy-proved cases of ALSD.
Materials and Methods
We retrospectively analyzed brain MR images in 3 autopsy-proved cases of ALSD. The clinical and pathologic findings of the cases are summarized in Table 1. We obtained T2-weighted images before death (antemortem MR images) in cases 1 and 2 and those of formalin-fixed autopsied brains (postmortem MR images) in each case using a 1.5T system. The 1.5T imaging system used was a Symphony with an 8-channel head coil (Siemens, Erlangen, Germany). Axial and coronal fast spin-echo (FSE) T2-weighted images (TR, 3500; TE, 85; 320 × 512 matrix, FOV, 210 mm; section thickness, 3 mm; intersection gap, 0.5 mm) were obtained in antemortem MR imaging. Evaluation of proton-attenuation weighted and FLAIR images were not performed because the images were available in only 1 case (case 1). The fixed brains were positioned in a standard way in the head coil, and axial and coronal FSE T2-weighted images (TR, 4000 ms; TE, 81 ms; 320 × 512 matrix, section thickness, 4 mm; intersection gap, 1 mm) were obtained.10 We performed neuropathologic examinations in each case, and we compared the postmortem MR images with the histologic findings.
Summary of clinical and pathologic findings in three cases of ALSD
Results
Antemortem and Postmortem MR Images
The findings on antemortem and postmortem T2-weighted MR imaging in 3 cases are summarized in Table 2. These images showed atrophy in the anteromedial part of the bilateral temporal lobes, more marked on the right side, but atrophy of the frontal lobes was not apparent in cases 1 (Figs 1A–F) and 2 (Fig 2). In case 3, postmortem T2-weighted MR images showed symmetric atrophy of the frontal and temporal lobes, more markedly in the anteromedial part of the temporal lobes (Figs 3A–F). Atrophy was seen mainly in the cerebral cortices, and changes in signal intensity were not detected in the cerebral cortices on both antemortem and postmortem T2-weighted images in each case (Figs 1A–F, Fig 2, and Figs 3A–F). Changes in signal intensity were seen in the cerebral white matter in case 2 on antemortem T2-weighted images but were seen in each case on postmortem T2-weighted images. In case 1, postmortem T2 hyperintensities were seen in the anteromedial white matter of the temporal lobes, where linear subcortical hyperintensities were also seen, more markedly on the right side (Figs 1D–F). In case 2, antemortem T2-weighted images showed focal and faint hyperintensities in the subcortical white matter in the anteromedial part of the right temporal lobe (Fig 2E, arrowheads), but postmortem T2-weighted images showed hyperintensities in the subcortical white matter of both the frontal and temporal lobes. Postmortem T2-weighted images in case 3 showed T2-hyperintensities in the subcortical and deep white matter of the frontal and temporal lobes (Figs 3A–F). In each case, atrophy and changes in signal intensity were not found in the corticospinal tracts in the cerebrum and brain stem and in the substantia nigra on both antemortem and postmortem T2-weighted images (Fig 3).
Case 1: Coronal T2-weighted MR images obtained 1 year after the onset of ALSD (A–C). AtNOphy is seen in the anteromedial part of the bilateral temporal lobes, especially on the right side, but not apparent in the frontal lobes. Postmortem coronal T2-weighted MR images (D–F) show asymmetric atrophy of the temporal lobes, more severe on the right side. T2 hyperintensities are also seen in the anteromedial part of the right temporal white matter. G, The right temporal lobe in (D) shows linear hyperintensity in the subcortical white matter (arrowheads). H, A Klüver-Barrera-stained section corresponding to boxed area in (G) shows laminar pallor of the subcortical white matter (arrowheads). I, Boxed area in (H) shows spongiform changes in the cortex (arrows). J, Histologic examination of the area in (I) shows spongiform changes with neuronal loss and gliosis. H, Klüver-Barrera stain x 20. I, hematoxylin-eosin, x 100. J, GFAP, x 200. K, Right temporal lobe in (E) shows hyperintensities in the medial part of the temporal white matter, especially in the underlying U-fibers (arrowheads). L, A Klüver-Barrera-stained section corresponding to (K) reveals pallor in the medial part of the temporal white matter, especially in the underlying U-fibers (arrowheads). M, A Holzer-stained section corresponding to (K) reveals gliosis in the medial part of the temporal white matter, especially in the underlying U-fibers (arrowheads). N, O, Histologic examination of normal signal intensities on MR image (K–M, circles) shows no apparent degenerative changes. P–R, Histologic examination of the U-fibers (arrows) in (K–M) shows loss of myelin (P) and axons (Q) with moderate gliosis (R). N, P, Klüver-Barrera stain. O, Q, Bielschowsky stain. R, GFAP stain. N, O, P, Q, R, x 200.
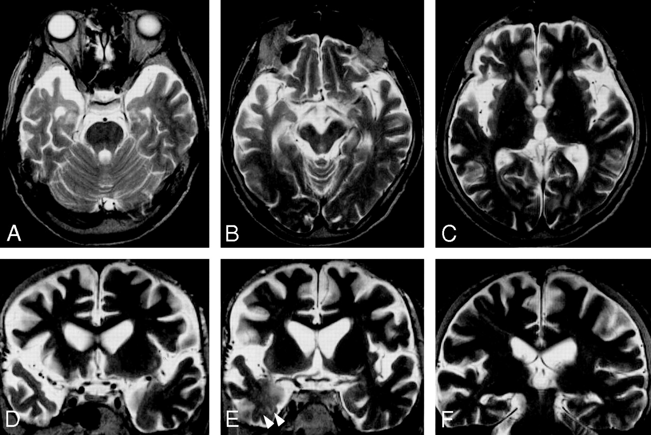
Case 2: Axial (A–C) and coronal (D–F) T2-weighted MR images obtained 4 months before death. Asymmetric cerebral atrophy is seen in the frontal and temporal lobes, more marked on the right side. Atrophy is more prominent in the anteromedial part of the temporal lobes. Focal and faint hyperintensities are seen in the subcortical white matter in the anteromedial part of the right temporal lobe (arrowheads in E). No definite T2-hyperintensities are seen in the corticospinal tracts in the internal capsules, cerebral peduncles, and pontine base. Change in signal intensity of the substantia nigra is also not seen.
Case 3: Postmortem axial (A–C) and coronal (D–F) T2-weighted MR images. Cerebral atrophy is seen in the frontal and temporal lobes, especially in the anteromedial part of the temporal lobes. Confluent and diffuse hyperintensities are seen in the frontal and temporal white matter. No definite T2-hyperintensities are seen in the corticospinal tracts and substantia nigra. G, The left temporal lobe in (D) shows hyperintensity in the subcortical and deep white matter. H, A Klüver-Barrera-stained section corresponding to (G) reveals pallor in the temporal subcortical and deep white matter. Histologic examination of hyperintensity on MR image (G, circle) shows severe loss of myelin (I) and axons (J), which reveals tissue rarefaction. I, Klüver-Barrera stain. K, Bielschowsky stain. I, K, x 200.
Summary of antemortem and postmortem MR imaging findings in three cases of ALSD
Histologic Findings of the Brain
Histologic findings of the cases are summarized in Table 1. Mild degeneration was found in the corticospinal tracts in the brain stem and spinal cord in each case. Bunina bodies were found in the remaining motor neurons of the spinal cord. Microvacuoles, mild neuronal loss, and gliosis in the second and third layers of the frontal and temporal cortices were seen. Spongiform changes and mild gliosis were found in the frontal and temporal subcortical white matter. In case 3, tissue rarefaction was also seen in the subcortical and deep white matter of the frontal and temporal lobes. The substantia nigra showed depigmentation and moderate loss of pigmented neurons with gliosis in each case. Immunohistochemical examination revealed ubiquitin-positive cytoplasmic inclusions in the hippocampal dentate granule cells and small neurons in the parahippocampal cortex in cases 1 and 2, but not in case 3.
Postmortem MR Imaging and Pathologic Correlations
In each case, atrophy of the frontal and temporal lobes was seen mainly in the cerebral cortices on postmortem MR images. On histologic examination, the areas of severe cortical atrophy, which were bilateral temporal lobes in case 1 and bilateral frontal and temporal lobes in cases 2 and 3, revealed transcortical neuronal loss and gliosis associated with tissue rarefaction. However, there were spongiform changes in the superficial cortical layers that did not show changes in signal intensity on T2-weighted images in each case.
Changes in signal intensity were seen in the cerebral white matter on postmortem T2-weighted images in each case. In case 1, T2 hyperintensities were seen in the anteromedial white matter of the temporal lobe, where linear subcortical hyperintensities were also seen, more markedly on the right side (Figs 1D–F). In case 2, postmortem T2-weighted images showed hyperintensities in the subcortical white matter of the frontal and temporal lobes. In case 3, T2 hyperintensities were seen in the subcortical and deep white matter of the frontal and temporal lobes (Figs 3A–F). The area of moderately increased signal intensity in the subcortical white matter (Fig 1K, arrowheads) revealed myelin pallor (Fig 1L, arrowheads) and gliosis (Fig 1M, arrowheads) in each case. The area of normal signal intensity (Fig 1K, circle) showed normal myelin staining (Fig 1L) without gliosis (Fig 1M, circle) where myelin and axons were well preserved (Figs 1N, O). By contrast, the area of linear subcortical hyperintensities revealed loss of myelin and axons with gliosis (Figs 1P–R). The area of increased signal intensity in the subcortical and deep white matter of the frontal and temporal lobes in case 3 revealed tissue rarefaction (Figs 3I, J).
Atrophy and changes in signal intensity were not seen in the corticospinal tracts in the cerebrum and brain stem on postmortem T2-weighted images in each case (Fig 3). From a histologic perspective, the degeneration of the corticospinal tracts was mild in each case. Changes in signal intensity were not seen in the substantia nigra on postmortem T2-weighted images, though depigmentation and loss of pigmented neurons with gliosis were seen in each case.
Discussion
Symmetric or asymmetric atrophy of the frontal and/or temporal lobe is a characteristic macroscopic finding in the brains of people with FTD. In cases of Pick type of FTD, the atrophy is severe and is called “knife-edge” atrophy. In cases of motor neuron disease FTD (ALSD), cerebral atrophy is mild to moderate and severe atrophy is rare. On histologic examination, neuronal loss, microvacuoles, and gliosis are seen in the second and third layers of the whole cerebral cortices, particularly in the anteromedial part of the temporal lobes.4
In our cases, mild to moderate and asymmetric atrophy was seen in the frontal and temporal lobes, more prominent in the anteromedial part of the bilateral temporal lobes. Coronal images were useful for evaluation of medial temporal atrophy. MR images were able to detect cortical atrophy but were not able to depict changes in signal intensity in the outer layers of the cerebral cortices, which showed neuronal loss, microvacuoles, and gliosis on histologic examination.
Loss of myelin and axons with gliosis that correspond to the degree of cortical atrophy has been described in the subcortical white matter of the frontal and temporal lobes in ALSD.4, 11 In our cases, T2-weighted images showed faint hyperintensities in the subcortical white matter in the frontal or temporal lobes, or both, and more conspicuously in the anteromedial temporal lobes in cases 1 and 2. The areas of these hyperintensities revealed loss of myelin and axons with gliosis. Therefore, MR images were useful in the detection of changes in signal intensity as a result of degeneration of the subcortical white matter in ALSD. In case 3, T2 hyperintensities were seen in the subcortical and deep white matter of the frontal and temporal lobes. On histologic examination, the area of increased signal intensity in the frontal and temporal lobes revealed loss of myelin and axons with gliosis, and that of highly increased signal intensity in the frontal and temporal lobes revealed tissue rarefaction.
In ALSD, degenerative changes have been found in both upper and lower motor neuron systems, though degeneration of the former is usually milder than that in classic ALS.4 In the present study, T2-weighted images did not show abnormal changes in signal intensity of the corticospinal tracts in the cerebrum and brain stem, probably because of mild degenerative changes. There are inconsistent findings regarding T2 hyperintense changes of the corticospinal tract in ALS.12 It seems difficult to detect mild degeneration of the corticospinal tracts in ALSD on conventional T2-weighted images.
Conclusion
Cortical atrophy on MR images reveals spongiform change with neuronal loss and gliosis, especially in the superficial layers. Hyperintensities in the temporal subcortical white matter reveal degeneration of myelinated fibers with gliosis, which is a characteristic histologic change in ALSD. To clarify the diagnostic value of this sign, we need to perform a prospective MR study to compare the presence of this linear abnormality in signal intensity in patients who have ALS with and without dementia, and also with age-matched controls, on a larger pool of subjects, perhaps by using dual-echo coronal high-resolution MR imaging.
References
- Received November 29, 2006.
- Accepted after revision January 30, 2007.
- Copyright © American Society of Neuroradiology