Abstract
SUMMARY: Arterial spin-labeled (ASL) perfusion imaging can be implemented successfully into a routine clinical neuroimaging protocol and can accurately demonstrate alterations in brain perfusion. We have observed patterns of focal, regional, and global hyperperfusion in a wide variety of disease processes. The causes of hyperperfusion at clinical ASL have not been previously characterized. Focal lesions such as brain tumors and vascular malformations with increased perfusion can be well depicted by ASL. More global causes of hyperperfusion, including postanoxia vasodilation and hypercapnia, may go undetected on conventional MR images, whereas the regional hyperperfusion, which may occur in reversible encephalopathies and luxury perfusion, has been consistently illustrated on ASL cerebral blood flow maps at our institution.
Arterial spin-labeling (ASL) is capable of demonstrating hyperperfusion in a clinical population. Our clinical imaging experience has shown that ASL is very sensitive to pathologic states manifesting as focal, regional, and global hyperperfusion. With the availability of fully postprocessed ASL cerebral blood flow (CBF) maps at our institution within minutes of acquisition, timely assessment of brain perfusion in a wide range of diseases is now possible.
In Part 1 of this series, we described the technique, artifacts, and pitfalls related to the application of ASL into a routine clinical neuroimaging protocol.1 Part 2 focused on patterns of focal and global hypoperfusion on ASL CBF maps.2 Here we describe various causes of focal and global hyperperfusion, including tumor, infarct, seizure, vascular malformations, and various other neurologic disorders (Table).
Hyperperfusion patterns on clinical spin-tag perfusion imaging
Perfusion MR imaging, particularly dynamic susceptibility contrast (DSC) MR imaging, has been established as a valuable adjunct imaging technique for the evaluation of brain tumors. Specifically, perfusion techniques may be useful in directing surgical biopsy and resection, helping differentiate recurrent tumor versus radiation necrosis, and in distinguishing between neoplasm and infection such as toxoplasmosis. Many studies exist in the literature establishing the validity of DSC MR imaging in tumor imaging. A recent study by Wolf et al3 found a 0.83 correlation between ASL and DSC MR imaging in measuring CBF within the tumor region. ASL maps consistently show elevated signal intensity in enhancing tumors such as high-grade gliomas and meningiomas, and studies have shown that perfusion MR imaging techniques can distinguish among high-grade gliomas, low-grade gliomas, and metastasis on the basis of various patterns of flow.3–5
The methods for data acquisition and analysis are described in detail in Part 1 of this series.1 We identified common patterns of hyperperfusion on the basis of a retrospective analysis of 3000 clinical pulsed ASL cases acquired consecutively during a 12-month period.
Discussion
Hyperperfusion Patterns Encountered with Clinical Spin-Tag Perfusion Imaging
Focally Increased Signal Intensity.
Focally increased signal intensity may be produced by true hyperperfusion or by artifact such as motion or intravascular spin-label. ASL is sensitive in depicting hyperperfusion in a number of conditions related to stroke, tumor, seizure, or loss of autoregulatory function of blood vessels. The regional hyperperfusion implicated in hypertensive encephalopathy, posterior reversible encephalopathy syndrome (PRES), and related syndromes6 can be readily disclosed by ASL, which on serial follow-up can demonstrate the waxing and waning time course often observed in these conditions. Relative high signal intensity may also occur in a regional or lobar distribution under normal physiologic conditions, such as with visual cortex activation in the occipital lobes.
Luxury Perfusion.
Localized autoregulatory dysfunction occurs in the setting of stroke and is often visualized on conventional MR imaging as intravascular enhancement in the infarcted territory.7 Sluggish transit of intravascular arterial spins may account for the focal high ASL signal intensity often apparent in areas of acute infarct. Other causes of focal autoregulatory dysfunction include the PRES and post-carotid endarterectomy hyperperfusion syndrome.8 ASL is very sensitive to states of hyperperfusion, which are depicted as focal areas of signal-intensity increase in the region of luxury perfusion (Fig 1). In severe cases of PRES, initial hyperperfusion may give way to infarction and subsequent bilateral parieto-occipital perfusion deficits. Concomitant parenchymal hemorrhage may create susceptibility artifact and contribute to the appearance of hypoperfusion.
Luxury perfusion. Asymmetric intravascular enhancement of the cortical vessels in a large infarcted left MCA territory (ellipse) on the postcontrast T1-weighted images. ASL CBF map demonstrates hyperperfusion in the left caudate, insula, and frontal lobe (arrow). The posterior parietal regions are hypoperfused.
Reperfusion.
Because it is not subject to artifacts due to the recirculation of tracer, ASL is well suited for the serial assessment of brain perfusion in the setting of acute stroke and can provide important prognostic information regarding reperfusion. Restoration of flow to regions of the ischemic core or penumbra can be seen as high signal intensity on ASL following spontaneous recanalization of clot, administration of systemic or transcatheter thrombolytics, or extracranial-to-intracranial bypass. These areas of reperfusion can be distinguished from stagnant intravascular spin-label because they often correspond to anatomic structures such as the basal ganglia, thalamus, insula, or a cortical gyrus. Figure 2 demonstrates focal hyperperfusion in the left middle cerebral artery (MCA) territory 12 hours following the administration of systemic thrombolytic agents, whereas spontaneous reperfusion of an infarcted territory is shown in Fig 3.
Reperfusion. An 80-year-old woman presenting with right hemiparesis met the criteria for systemic thrombolytics. ASL CBF map acquired approximately 12 hours after tissue plasminogen activator administration reveals localized hyperperfusion within the left MCA territory (arrow). Perfusion is otherwise preserved throughout the left hemisphere.
Hyperperfused stroke territory on ASL. A 73-year-old woman with atrial fibrillation and embolic infarcts in the left posterior cerebral artery and posterior watershed territories. Punctate areas of restricted diffusion are seen (left, yellow arrow). ASL map (right) shows gyral hyperperfusion in the left hemisphere (white arrow). Hypoperfusion is also seen in the right posterior watershed territory.
Seizure Activity.
Seizure activity can mimic acute stroke in both imaging findings and clinical presentation. In the absence of restricted diffusion or a discrete lesion on conventional MR imaging, focally increased signal intensity on ASL may represent either a complex partial seizure in the postictal state (Fig 4) or clot lysis and late reperfusion in the setting of subacute stroke. Often the clinical history will allow differentiation of these 2 entities. Ictal single-photon emission CT has been shown to be 90% sensitive in the depiction of hyperperfusion in the ictal phase of temporal lobe epilepsy. In addition, in a meta-analysis by Lee et al,9 late postictal hyperperfusion was found in the epileptogenic zone in more than half of patients with seizures. ASL has advantages in that both anatomic and perfusion MR images can be obtained in the same setting. The mechanism of hyperperfusion due to seizure activity is not completely understood but may be related to transient loss of autoregulatory function in the surrounding vasculature or to the release of excitatory neurostimulators such as glutamate in areas of increased neuronal firing.9 In the seizure evaluation, ASL complements the traditional evaluation with electroencephalography (EEG), anatomic imaging, and nuclear medicine studies.
Hyperperfused seizure territory. A 6-year-old boy with a history of Landau-Kleffner syndrome who presented with complex partial seizures causing paresis of the right face and upper extremity. ASL shows regional hyperperfusion in the left parietal hemisphere associated with the ictal phase of seizure activity (arrows). EEG confirmed almost continuous seizure activity within the left hemisphere. Findings of the diffusion-weighted sequence were normal (not shown). Symptoms improved on antiepileptic medications and a course of intravenous immunoglobulin.
Subdural Hematoma.
Subdural hematomas can also show hyperperfusion in the adjacent cortex on pulsed arterial spin-labeling (Fig 5). This may be secondary to compression of the cortical venous outflow or malfunction of the local cerebral regulatory mechanisms secondary to trauma.
Hyperperfusion underlying a subdural hematoma. Axial T2-weighted image (left) demonstrates an acute-to-subacute left cerebral convexity hematoma (yellow arrows). Postcontrast image (center) shows compression of underlying vessels (ellipse). ASL CBF map (right) shows intense gyral hyperperfusion in the left parietal and occipital lobes (white arrow).
Tumor.
Tumor evaluation with ASL has been studied, and correlations between flow and tumor grade have been made.10,11 The ability to quantify perfusion with ASL potentially allows monitoring of tumor response to therapy. Additionally, ASL can help distinguish areas of tumor recurrence from areas of radiation necrosis. Other cerebral perfusion methods that rely on dynamic bolus techniques require large-bore intravenous access devices and adequate renal function. In patients with metastatic disease or primary neoplasms who have undergone extensive chemotherapy or in patients with renal insufficiency, routine follow-up examinations with large-bore intravenous devices may not be practical. Additionally, because ASL requires no contrast, the complication of nephrogenic systemic fibrosis can be avoided. Surgical craniotomy closure devices can hinder perfusion evaluation secondary to susceptibility artifacts. As modifications in closure device materials are made, perfusion imaging evaluation adjacent to the craniotomy site is likely to improve.
Figures 6–8 demonstrate high-flow states on ASL associated with meningioma, glioblastoma multiforme, and ependymal metastases, respectively. Perfusion and T1-weighted enhancement mismatches may be used to indicate diffusely infiltrating tumors such as gliomatosis cerebri (Fig 9). On ASL, artifact must be excluded as a cause of the perceived absence of increased flow within a tumor because local susceptibility artifact, blood products, or masking effect may obscure hyperperfused foci within lesions.
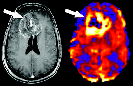
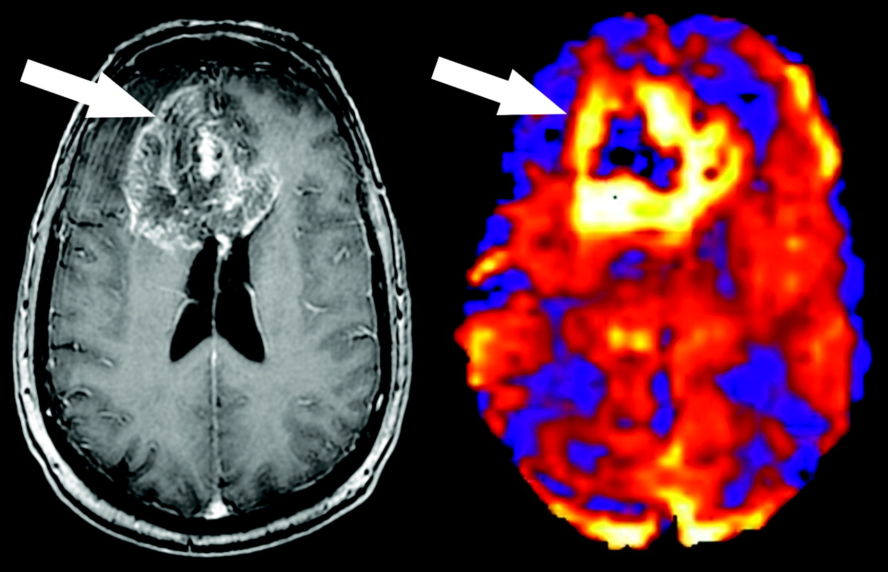
A 57-year-old woman with atypical meningioma. An avidly enhancing falcine-based mass is demonstrated on the postgadolinium image (left). ASL map demonstrates ringlike hyperperfusion corresponding to the outer margins of the tumor (right, arrow).
Hyperperfusion of a glioblastoma multiforme. Axial postgadolinium T1-weighted image demonstrates avid enhancement of a high-grade neoplasm centered in the genu of the corpus callosum. ASL CBF map demonstrates high signal intensity corresponding to increased flow within the periphery of the tumor (arrow).
Ependymal tumor hyperperfusion. Gadolinium-enhanced spoiled gradient-recalled image shows diffuse enhancement of the ependymal surfaces (yellow arrow). Representative ASL image demonstrates hyperperfusion outlining the right lateral ventricle (white arrow). CSF analysis revealed leptomeningeal seeding of metastatic melanoma.
ASL hyperperfusion in infiltrative tumor. A 49-year-old woman who presented with seizures had an infiltrative T2 (upper left) hyperintense lesion in the right frontal lobe without significant enhancement on postgadolinium T1-weighted (upper right) imaging (arrowheads). Multivoxel MR spectroscopy (bottom left) reveals an elevated choline/creatine ratio (3:2) consistent with gliomatosis cerebri (yellow arrow). ASL CBF map (bottom right) demonstrates increased signal intensity in the subcortical white matter corresponding to tumor (white arrow).
Vascular Malformations.
Localized hyperperfusion may occur in the setting of vascular malformations, depending on the size and type of vessels involved and the rate of flow through the lesion. Hyperperfusion can be seen in both arteriovenous malformations and venous angioma (Fig 10). In addition to assessing flow within the lesion itself, various states of hyperemia and ischemia in adjacent regions occurring in both the pre- and postoperative settings may be disclosed with ASL.12,13
Gyral hyperperfusion with venous angioma. A 41-year-old woman being followed for grade III astrocytoma had a resection cavity in the right frontal lobe without significant enhancement or hyperperfusion. Incidentally noted is a venous angioma on the postgadolinium spoiled gradient-recalled sequence (yellow arrow) and bandlike cortical high signal intensity on the ASL map (white arrow).
Localized Autoregulatory Dysfunction.
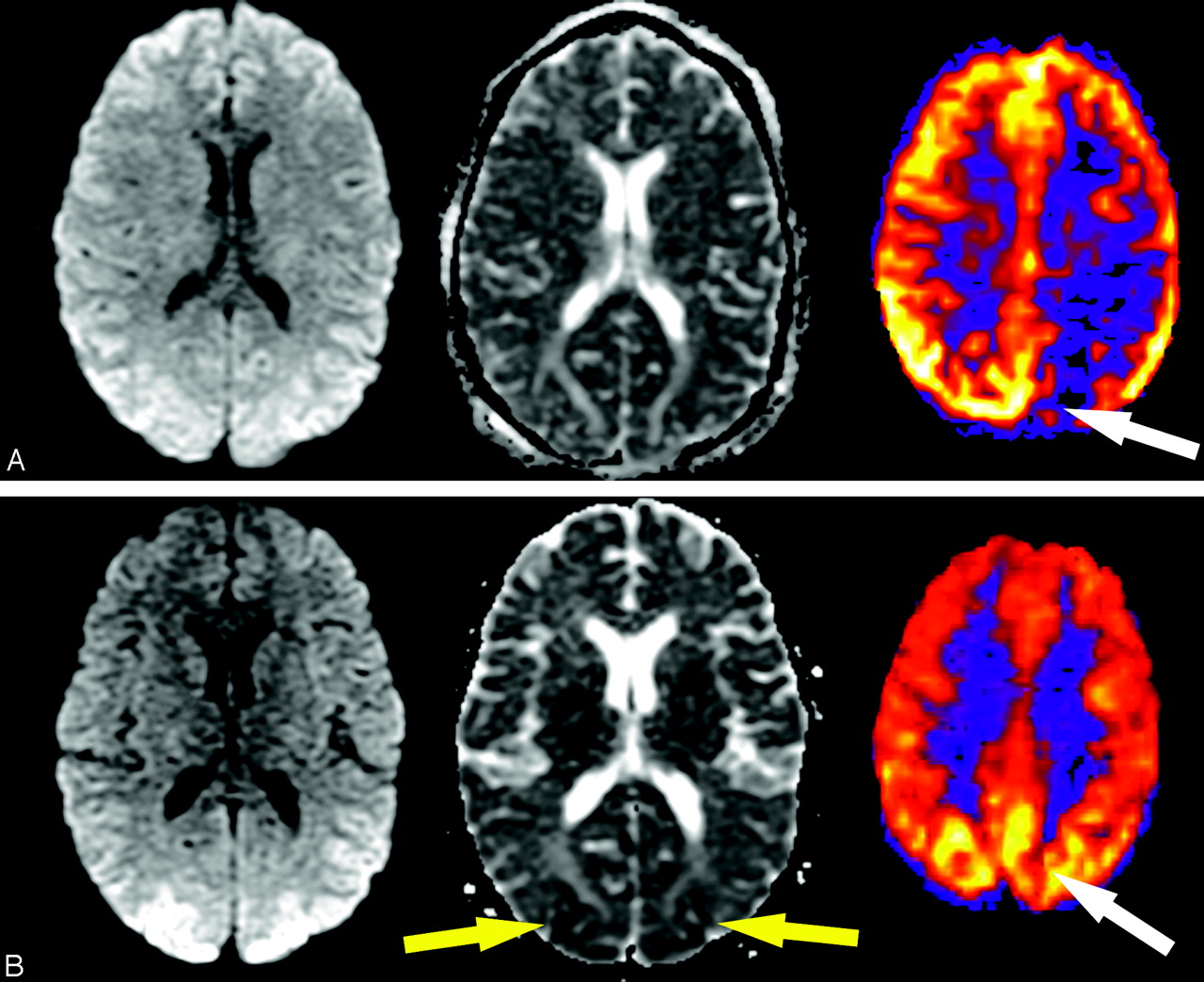
PRES and PRES-like syndromes can occur spontaneously or in association with uncontrolled hypertension, eclampsia, and cyclosporine toxicity and as a complication of certain chemotherapeutic regimens.14–16 A loss of autoregulatory control occurs in these syndromes, and initial attempts to maintain perfusion pressure result in arteriolar vasoconstriction. Hyperperfusion follows and results in reversible edema, more commonly in the vertebrobasilar vascular territories likely because of the relatively fewer perivascular sympathetic nerves in this area.14 Figure 11 demonstrates changes with time in a 31-year-old patient with PRES, including initial vasoconstriction and hypoperfusion followed by rebound hyperperfusion. ASL is a robust technique in the evaluation of hyperperfusion syndromes due to its repeatability and its strength in depicting high-flow states. Figure 12 demonstrates a case of post-endarterectomy hyperperfusion syndrome in a patient who had recently undergone ipsilateral carotid endarterectomy. This is a well-described phenomenon using other perfusion techniques17 and is presumed to result from loss of autoregulatory function.
Evolution of perfusion changes in PRES in a 31-year-old woman. A, Initial images: high signal intensity on the initial diffusion-weighted image (left) represents T2 shinethrough secondary to edema seen on the apparent diffusion coefficient (ADC) images (center) in the occipital cortices. A corresponding ASL map (right) reveals marked flow asymmetry with hypoperfusion in the left occipital lobe (white arrow). B, At 2-week follow-up, diffusion and ADC images show new posterior restricted diffusion (yellow arrows), and bilateral hyperperfusion is now evident on perfusion images (right, white arrow).
Cerebral hyperperfusion after carotid endarterectomy (CEA). ASL CBF map obtained 2 days after left CEA for dizziness demonstrates markedly increased flow throughout the left hemisphere (arrows).
Globally Increased Signal Intensity
Increases in signal intensity on ASL maps commonly occur on a global scale and may be secondary to physiologic, pathologic, or artifactual causes. Pediatric patients and healthy adults with robust brain perfusion are examples of individuals with true physiologic increases in global CBF. Disease states such as hypercapnia and anoxia can result in loss of autoregulatory control and striking hyperperfusion, which might have the appearance of a “superscan.” Finally, artifacts must be excluded when one is confronted with higher than expected global signal intensity.
Robust CBF.
Wide variations in global CBF may occur within the clinical population, even among healthy individuals. Although the normal range of gray matter CBF in the literature varies between 40 and 70 mL/100 g per minute,18 diffusely intense ASL signal intensity may be seen in some healthy individuals with global gray matter CBF values exceeding 100 mL/100 g per minute. Performing ASL at higher field strengths predisposes to improved signal-to-noise ratio and less decay of the spin tag due to prolongation of T1 at 3T, yielding high-quality ASL maps in a larger percentage of cases. Furthermore, ASL in children consistently demonstrates increased global CBF, a phenomenon discussed in detail in Part 1 of this series.1
Global Cerebral Hyperperfusion.
Global cerebral hyperperfusion has been reported to occur as a complication of embolic stroke, carotid endarterectomy, and head injury.17,19 Acute restoration of flow above normal perfusion pressures may lead to loss of autoregulation and may result in elevated global CBF. Postischemic cerebral hyperemia is a phenomenon that is known to occur and appears to be mediated by trigeminal neural input.20 Figure 13 demonstrates a case of paradoxically high global CBF in the setting of restricted diffusion in multiple vascular territories following cardiopulmonary arrest.
Paradoxical hyperperfusion following diffuse anoxic insult. A 69-year-old woman sustained a 10- to 15-minute period of pulseless electric activity. Diffusion-weighted image reveals multiple infarcts in the bilateral basal ganglia and watershed zones (top). ASL maps (bottom) show global hyperperfusion consistent with postischemic hyperemia.
Hypercapnia.
Hypercapnia is a potent cerebral vasodilatory stimulus. Many studies in clinical research and practice have used hypercapnia challenge to produce global increases in CBF and determine cerebral vascular reserve.18,21 Research studies have shown that even small elevations in end-tidal carbon dioxide (CO2) on the order of 5-8 mm Hg are capable of producing measurable increases in global CBF. In the clinical population, common conditions that can result in arterial blood gas disturbances include chronic obstructive pulmonary disease, adult respiratory distress syndrome, and pulmonary edema. Increases of 30 mm Hg or more from baseline can occur in these patients and may significantly increase global CBF. Figure 14 demonstrates a case of unusually high global CBF for age in a patient with severe pulmonary edema and marked hypercapnia (PCO2 = 76) on arterial blood gas analysis on the day of the MR imaging.
Hypercapnia. A 77-year-old patient with severe pulmonary edema (left) and a PCO2 of 76 mm Hg (normal range, 35–45 mm Hg) at the time of MR imaging. Globally increased gray matter flow is shown on the ASL CBF map (right).
Conclusion
The unique property of repeatability in ASL naturally lends itself to the evaluation of pathologic states with dynamic perfusion anomalies, such as infarct, tumor, seizure, and vascular instability. In our experience, ASL has been quite sensitive to states of increased CBF, which have often led to the creation of CBF maps with high signal-to-noise ratios. In summary, Parts 1 (techniques and artifacts), 2 (hypoperfusion patterns), and 3 (hyperperfusion patterns) of this review series describe our current experience with ASL based on the largest clinical sample to date. 1,2 As MR imaging manufacturers begin to offer this new imaging technique and it is incorporated into clinical practice, knowledge of the typical artifacts, hypoperfusion, and hyperperfusion patterns will aid in the interpretation of perfusion images.
Acknowledgments
We thank Kathy Pearson for help with computer programming.
Footnotes
This work was supported by the Human Brain Project and the National Institute of Biomedical Imaging and Bioengineering through grant numbers EB004673, EB004673–02S2, and EB003880 and was also partially supported by the Center for Biomolecular Imaging of Wake Forest University School of Medicine.
References
- Copyright © American Society of Neuroradiology