Abstract
BACKGROUND AND PURPOSE: There are 2 main hypotheses concerning the cause of mirror movements (MM) in Kallmann syndrome (KS): abnormal development of the primary motor system, involving the ipsilateral corticospinal tract; and lack of contralateral motor cortex inhibitory mechanisms, mainly through the corpus callosum. The purpose of our study was to determine white and gray matter volume changes in a KS population by using optimized voxel-based morphometry (VBM) and to investigate the relationship between the abnormalities and the presence of MM, addressing the 2 mentioned hypotheses.
MATERIALS AND METHODS: T1-weighted volumetric images from 21 patients with KS and 16 matched control subjects were analyzed with optimized VBM. Images were segmented and spatially normalized, and these deformation parameters were then applied to the original images before the second segmentation. Patients were divided into groups with and without MM, and a t test statistic was then applied on a voxel-by-voxel basis between the groups and controls to evaluate significant differences.
RESULTS: When considering our hypothesis a priori, we found that 2 areas of increased gray matter volume, in the left primary motor and sensorimotor cortex, were demonstrated only in patients with MM, when compared with healthy controls. Regarding white matter alterations, no areas of altered volume involving the corpus callosum or the projection of the corticospinal tract were demonstrated.
CONCLUSION: The VBM study did not show significant white matter changes in patients with KS but showed gray matter alterations in keeping with a hypertrophic response to a deficient pyramidal decussation in patients with MM. In addition, gray matter alterations were observed in patients without MM, which can represent more complex mechanisms determining the presence or absence of this symptom.
Kallmann syndrome (KS), first described by the pathologist Maestre de San Juan, is defined by the association of hypogonadotropic hypogonadism with complete (anosmia) or incomplete (hyposmia) olfaction disturbance. Prevalence has been estimated to be from 1:8,000 to 1:10,000 men.1 It is caused by a neuronal migration arrest that involves both the gonadotropin-releasing hormone (GnRH) and the olfactory neurons, which have a common embryonic origin.2,3 The first gene described, KAL1, encodes a protein named “anosmin,” which shows a strong homology to axonal adhesion molecules involved in neuronal migration and axonal pathfinding.4 Recently, other gene mutations have been described in association with the disease.5,6
Various phenotypic abnormalities have been described in KS, including unilateral renal agenesis and specific neurologic disorders, such as bimanual synkinesia or mirror movements (MM).7 Currently, these characteristics are considered typical, but not exclusive, in the X-linked KS form of inheritance.8,9 MM consists of the involuntary movement of a body segment in reply to voluntary movement of the similar contralateral segment, more often seen in the hands. It can be observed in children and adolescents, decreasing gradually with age,10 but its presence in adults, if significant and sustained, is considered pathologic.11 On the basis of neuroimaging and electrophysiologic studies, 2 main hypotheses were elaborated concerning the cause of MM: abnormal development of the primary motor system, involving the ipsilateral corticospinal tract; and lack of contralateral motor cortex inhibitory mechanisms, mainly through the corpus callosum.12-14
Voxel-based morphometry (VBM) is a relatively recent method for morphometric evaluation, based on statistical analysis of pooled data,15,16 which showed pathologic changes of gray matter in various neurologic and psychiatric conditions, including Alzheimer disease, schizophrenia, and medial temporal lobe epilepsy.17-21 A previous study used conventional VBM to compare only the white matter attenuation of the brains of patients with the X-linked form of KS (exhibiting MM) and those of patients with autosomal inherited KS (no MM) and suggested a bilateral corticospinal tract hypertrophy involved in the MM etiology.22 Therefore, the purpose of our study was to use optimized VBM to determine white and gray matter volume changes in a KS population with a well-established genotypic and phenotypic status and to investigate the relationship between the abnormalities and the presence of MM, addressing the 2 mentioned hypotheses.
Materials and Methods
Subjects and Clinical Evaluation
This study was approved by our Institutional Review Board for Human Research and informed consent was obtained from all subjects.
Twenty-one patients with KS, recruited from the endocrinology clinics, were evaluated. All patients were male, with a mean age of 38 ± 12.6 years, ranging from 11 to 60 years of age. Criteria for the diagnosis of KS included clinical signs and symptoms of hypogonadism and clinical reports of hyposmia or anosmia. Complete laboratory endocrine status was obtained. Olfactory acuity was evaluated by the Smell Identification Test,23 indicating normal olfactory function, mild hyposmia, moderate hyposmia, severe hyposmia, or anosmia, based on the manufacturer's score.
MM was evaluated clinically, with a test adapted from Mayston et al.11 In brief, the patients sequentially opposed the tip of each finger to the tip of the thumb from index to little finger and back again and held the hands horizontal with fingers extended over the edge of a box and flexed each finger in turn several times. When involuntary movement of the homologous finger of the other hand was noted, MM was assessed as positive.
Genomic deoxyribonucleic acid was extracted from peripheral blood; the KAL1, FGFR1, and PROKR2 genes were amplified by polymerase chain reaction and then analyzed by a direct sequencing method.9 The urinary tract structure was assessed by abdominal ultrasound.
For the MR imaging and VBM evaluations, the patients were matched to 16 control healthy volunteers (all men; mean age, 34 ± 10.4 years; range, 22–50 years).
Image Acquisition
MR images were obtained on a 1.5T Magnetom Vision scanner (Siemens, Erlangen, Germany). Volumetric 3D magnetization-prepared rapid acquisition of gradient echo sequences of all 21 patients and the control group were acquired by using the same parameters: T1-weighted sagittal acquisition; TR = 9.7 ms; TE = 4.0 ms; flip angle = 12°; FOV = 255 mm; matrix = 512 × 224; section resolution equal to 1.0 × 1.0 × 1.0 mm, producing an isometric voxel of 1 mm3. For rhinencephalon evaluation, thin-section (3 mm) coronal turbo spin-echo T2-weighed images were acquired. Olfactory bulbs and sulci of the 21 patients and 16 healthy participants were evaluated by at least 2 radiologists (M.K-S. and A.C.S.).
VBM Protocol
The optimized VBM protocol of Good et al20 was applied to preprocess gray and white matter images, by using the statistical parametric mapping software (SPM2; Wellcome Department of Imaging Neuroscience, Institute of Neurology, London, UK) in Matlab Version 7.0 (MathWorks, Natick, Mass). In brief, a study-specific template and a priori probability maps for gray and white matter were created by averaging and smoothing all the images of the subjects. Using these study-specific templates, we spatially normalized and segmented all of the images, and then we applied these deformation parameters to the original images, which were segmented again. The resulting images were modulated by the Jacobian determinants from spatial normalization to correct for volume changes introduced during the nonlinear spatial transformations and smoothed (12-mm full width at half maximum isotropic Gaussian kernel). A measure of the total amount of gray matter was entered as a confound in an analysis of covariance. This covariate was given by the total number of voxels within the gray matter compartment of each subject. A t test statistic was then applied on a voxel-by-voxel basis between the groups to evaluate significant differences.
Data Analyses
Statistical analysis was performed within the SPM2 software package. Between-group statistical comparisons of mean gray and white matter volumes were performed with the general linear model, based on random Gaussian field theory. Resulting clusters in a priori regions were reported as significant only if including voxels with Z-values of >3.09, corresponding to the 2-tailed P < .001 level, uncorrected for multiple comparisons and an extent threshold of 25 voxels. Uncorrected P < .001 levels have been used in previous SPM analyses of functional24 and structural imaging data25 and are considered to provide protection against false-positive results when there are clear hypotheses as to the location of findings. Unpredicted findings were considered as significant only if they survived the False Discovery Rate correction for multiple comparison (P < .05).
On the basis of previous MM investigations, our hypothesis a priori–related cortical regions included the primary motor cortex (Brodmann area 4), primary somatosensory cortex (areas 1–3), supplementary motor cortex (area 6), and somatosensory association cortex (Brodmann areas 5 and 7), whereas white matter a priori areas were considered involving the corpus callosum or the corticospinal tract projection in the internal capsule, midbrain, pons, or medulla oblongata. For other gray and white matter regions, no a priori hypothesis could be established. The coordinates obtained for the peak voxels (ie, the anatomic location with maximal white and gray matter differences within each significant cluster) were transferred into Talairach space by using the Matthew Brett mni2tal routine (http://imaging.mrc-cbu.cam.ac.uk/imaging/MniTalairach). The anatomic locations of the peak voxels were found by using the Talairach Daemon Client.
The groups were the following: all patients with KS, with and without MM (group I) versus controls, patients with KS and MM (group II) versus controls, patients with KS without MM (group III) versus controls, and group II versus group III.
Region-of-Interest Analysis
To validate our VBM study, we carried out an independent region-of-interest (region of interest) analysis of the corpus callosum surface in the midline, performed on the original volumetric MR images. Using a semiautomatic region-of-interest plug-in tool in ImageJ 1.38 (Limewire tool plug-in, freeware; National Institutes of Health, Bethesda, Md; http://rsb.info.nih.gov/ij), we measured the midsagittal area of the corpus callosum in each individual at least twice. This analysis was blind, without knowing to which group any individual belonged. An independent t test was performed, comparing the corpus callosum areas between the previously established groups.
Results
Clinical, Laboratory, and MR Imaging Data
The clinical evaluation of the 21 patients with KS, including age, form of inheritance, molecular analysis, and clinical tests for olfactory disturbance and MM is shown in on-line Tables 1 and 2. These tables also show the results of rhinencephalon evaluation by using MR imaging and findings of renal sonography.
Molecular analysis was performed in previous studies9,26 and showed the presence of a mutation of the KAL1 gene in 4 patients, the FGFR1 gene in 3 patients, and the PROKR2 gene in 1 patient. The Smell Identification Test was performed in 20 patients, indicating anosmia in 14 patients and moderate hyposmia in 4. One patient did not undergo the test because of a cognitive deficit, but reports of hyposmia/anosmia were confirmed by parent testimony. MM, evaluated in all patients, were significantly observed in 9 subjects.
Rhinencephalon Alterations
Aplasia or hypoplasia was found in 18 subjects. Among the patients with KS, 3 had normal examination findings, presenting olfactory bulbs and sulci dimensions similar to those of controls; however, they presented moderate hyposmia in the smell test and, therefore, were included in the study.
VBM
On-line Tables 3 and 4 show all regions of increased and decreased volumes of gray and white matter, respectively, as determined in the optimized VBM by SPM2 software, when comparing pooled data for each of the previously defined groups.
Gray Matter
Considering our hypothesis a priori, we found some areas of altered gray matter volume. When individually compared with controls, groups II and III showed different areas of increased volume. In group II, there were 2 areas: 1 in the left precentral gyrus, Brodmann area 4, and another cluster in the left postcentral gyrus, Brodmann area 3, though in group III comparison with controls, the study demonstrated 2 clusters, 1 in the left frontal lobe, Brodmann area 6, and the other in the right precentral gyrus, Brodmann area 4. In the direct comparison between groups II and III, no area of altered gray matter was demonstrated. All other areas of altered gray matter volume, not related to our hypothesis a priori, did not survive correction for multiple comparisons at a P = .05 threshold; therefore, because they were unpredicted findings, we did not consider them significant.
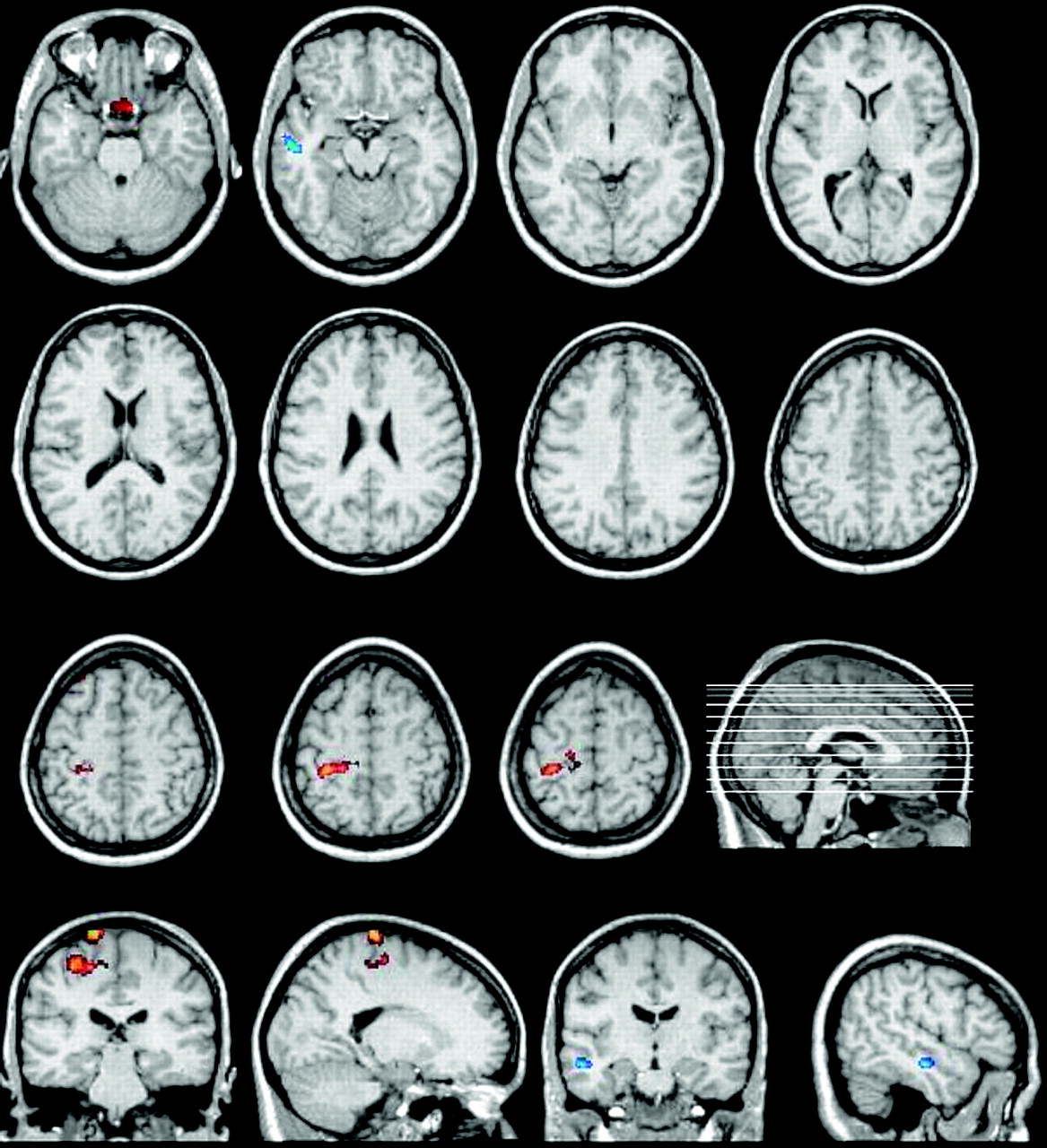
Figures 1 and 2 show all brain regions of increased (orange/red) and decreased (blue) gray matter volume in patients with KS with and without MM, respectively, compared with control subjects.
Regional cortical gray matter volume increase (orange/red) and reduction (blue) in patients with KS and MM relative to control subjects. Significant voxels (height threshold of P < .001, uncorrected for multiple comparisons and an extent threshold of 25 voxels) are superimposed on selected sections of spatially normalized MR images from a control subject. With the hypothesis a priori, areas of increased gray matter are seen around the left central sulcus, in the primary motor cortex, Brodmann area 4 (the cluster with 122 voxels), and the primary somatosensory cortex, area 3 (the cluster with 93 voxels).
Regional cortical gray matter volume increase (orange/red) and reduction (blue) in patients with KS without MM relative to control subjects. Significant voxels (height threshold of P < .001, uncorrected for multiple comparisons and an extent threshold of 25 voxels) are superimposed on selected sections of spatially normalized MR images from a control subject. With the hypothesis a priori, areas of increased gray matter are seen in the left frontal lobe, Brodmann area 6 (the cluster with 304 voxels), and in the right precentral gyrus, contralateral area 4 (the cluster with 27 voxels).
White Matter
The VBM analysis showed many areas of altered white matter volume containing more than 25 voxels with Z = 3.09, but no area survived correction for multiple comparisons at a P = .05 threshold, and no area was demonstrated involving the corpus callosum, internal capsule, midbrain, pons, or medulla oblongata. Major areas shown in the statistical parametric map analysis comprise clusters of reduced white matter in the frontal lobes of the patients in group III, compared with controls. In the group II versus group III comparison, no significant difference was observed.
Region-of-Interest Analysis
We did not find significant differences in the corpus callosum midsagittal area when applying individual t tests for each group comparison and considering P < .05. Corpus callosum mean areas and SDs were the following: control group, 641.9 ± 14.87 mm2; group I, 620.3 ± 17.17 mm2; group II, 636.3 ± 30.23 mm2; group III, 596.5 ± 16.66 mm2. The t tests showed the following: group I versus controls, P = .20; group II versus controls, P = .87; group III versus controls, P = .06; and group II versus group III, P = .27.
Discussion
In this study, we evaluated 21 patients with KS, and all patients showed altered findings on smell tests, mostly presenting anosmia. Three patients with moderate hyposmia showed normal MR imaging findings, which do not exclude a KS diagnosis.27-29 Nine individuals (43%) presented with MM and 7 presented with an X-linked inheritance pattern. Gene mutations were found in 8 (36%) patients.9 These data are similar to those found by other authors.13 Genitourinary tract abnormality was observed in 5 (26%), all patients within the synkinetic group, with 2 patients presenting the same KAL1 mutation, representing the classic X-linked KS phenotype (ie, hypogonadotropic hypogonadism, anosmia, MM, and renal aplasia).8,28
We can emphasize 3 main findings in the VBM study: First, no area of white matter increased volume in the projection of the corticospinal tract was demonstrated in patients with KS, even in the group with MM. Second, the VBM showed no difference in the corpus callosum between the groups, as well as the region-of interest analysis of the corpus callosum area in the sagittal midline. Third, related to our hypothesis a priori, some areas of gray matter volume involving the motor cortex were demonstrated to be altered in a different manner in patients with and without MM.
The association between MM and hypogonadotropic hypogonadism with anosmia was first described in 1978.30 The authors suggested that uncrossed pyramidal tract fibers could be a major pathogenic factor for the occurrence of congenital MM. In a previous study, a deficient inhibitory mechanism between the right and left supplemental motor cortex was suggested as the MM etiology in patients presenting corpus callosum agenesis.31 In 1985, in a study of children with congenital hemiparesis, the authors proposed that the association between incomplete maturation of the corpus callosum and a deficiency in the crossing of pyramidal tract fibers would be responsible for the pathologic persistence of MM, therefore suggesting a merger of the previous 2 main hypotheses.12
Our analysis showed no significant altered white matter area when comparing the groups with and without MM. The previous study by using VBM in KS22 demonstrated the presence of 2 symmetric tracts of increased white matter attenuation, extending from the lower limb of the internal capsule and laterally through the midbrain toward the pons, in patients with the X-linked form with MM, suggesting a bilateral corticospinal tract hypertrophy involvement in its etiology. This study was in agreement with previous neurophysiologic reports.13 Hence, our results did not reproduce the previous MR imaging structural findings regarding corticospinal tract alterations in patients with KS with MM. Possible explanations for the different findings regarding white matter alterations identified in KS by using VBM include differences in the studied populations, differences inherent to the preprocessing method used (conventional versus optimized VBM), and the lack of structural changes that can be associated with altered motor function in our population of patients with KS and MM.
No volume alteration in the corpus callosum was found. This is in accordance with the study by Quinton et al.28 The prior study using conventional VBM in white matter showed hypertrophy of the corpus callosum in KS groups with and without MM, but no significant difference between the groups, therefore excluding a possible association between MM and corpus callosum alterations.22
Beyond the 2 main hypotheses correlating MM with an uncrossed pyramidal tract and/or a deficient transcallosal inhibitory mechanism, further studies in patients with KS using different techniques, such as positron-emission tomography14 and functional MR imaging,32 demonstrated the relationship of other structures and MM, including the primary motor cortex bilaterally, sensorimotor cortices, and supplemental motor areas near the midline.33 Besides those in patients with KS, other studies with different clinical conditions, such as the congenital form of synkinesia, Parkinson disease, and poststroke, have proposed a more complex mechanism in MM etiology.34-36
No areas of difference in gray matter volume were demonstrated when comparing patients with and without MM. Patients with KS and MM presented 2 areas of increased gray matter around the left central sulcus, the primary motor cortex (Brodmann area 4), and the primary somatosensory cortex (area 3), compared with control group. This alteration is in accordance with the hypothesis of involvement of the dominant motor cortex related to the afferent and efferent motor pathways in the MM pathomechanism and could suggest the presence of hypertrophy as a secondary change to the deficient pyramidal decussation. On the other hand, compared with controls, patients with KS without MM presented 2 different areas of increased gray matter volume related to the motor cortex, the biggest one in the left supplementary motor cortex, Brodmann area 6. These data suggest more complex mechanisms involved in the presence or absence of MM in patients with KS. Even without differences in white and gray matter volume between both groups of patients with KS (with and without MM), different findings in gray matter volume in each KS group compared with controls can be considered as an indirect evidence of gray matter structural alterations in patients with KS with and without MM.
Rhinencephalon alterations of KS identified in MR imaging are well established. Olfactory afferents, especially from olfactory tracts, not only make connections with the olfactory cortex (Brodmann 34) but also have interactions with the limbic system, piriform cortex, including the amygdala, parahippocampal gyrus, and lateral hypothalamus, and the hippocampus, contributing memory and learning mechanisms.28 Indeed, neuropsychological developmental alterations have already been described in KS, because the original study of Kallmann et al37 and those of other authors observed association of KS with psychiatric disorders and mental handicaps.38,39 In our study, a complete structured psychiatric assessment of all patients was not carried out; however it was possible to identify 3 patients with psychiatric disorders, including 2 with schizophrenia and 1 who had an acute psychotic manifestation. Many other areas of gray and white matter volumes were significantly altered for a height threshold of P < .001, but they were not directly associated with our hypothesis a priori or did not survive multiple variations correction. Different study approaches would be necessary to correlate these altered areas with olfaction disturbances or neuropsychiatric disorders, which are being considered by the authors as possible future projects.
An isolated GnRH deficiency presenting as hypogonadotropic hypogonadism with or without anosmia encompasses a broad spectrum of phenotypes, and many questions remain unanswered regarding the fascinating neurobiologic model presented by KS.1 Recent studies in KS have demonstrated the presence of novel mutations involving new genes, as well as digenic mutations, acting in a synergic way to account for phenotypic determination.26,40 The variable genotype observed in patients with KS might modulate not only endocrine symptoms but also neurologic features, including the presence of MM.
Study Limitations
Although the automated approach of VBM has advantages over traditional region of interest–based methods, false-positive or false-negative findings might arise from the changes in the shape or displacement of structures in the course of spatial normalization. The optimized VBM is an attempt to minimize this problem.20
We have an acceptable sample size when considering all patients with KS,21 but for the MM investigation, it was necessary to split the sample into smaller groups, which could reduce the statistical power of our test and could be responsible for the lack of alterations when comparing groups II and III and could also result in missing possible additional areas of abnormalities in the other comparisons. To avoid reducing the sample size, we kept 2 young subjects in group III, with the 11- and 14-year-old children. To our knowledge, the role and accuracy of VBM in nonadult populations are still not well documented.
Conclusion
The purpose of this study was to use optimized VBM to investigate white and gray matter volume changes in the well-established genotypic and phenotypic status of the KS population to elucidate the cause of MM, present in part of these patients. Our study did not show significant changes in white matter but showed alterations in gray matter involving the motor cortex in a different manner in patients with KS with and without MM. These alterations are in keeping with a hypertrophic response to a deficient pyramidal decussation in patients with KS and MM. In addition, gray matter alterations were observed in patients without MM, which can represent more complex mechanisms determining the presence or absence of this symptom.
Acknowledgments
We thank Heather F. Olson, PhD, and Donald R. Short for reviewing the manuscript text.
Footnotes
This work was supported by a grant from Fundação de Amparo a Pesquisa do Estado de São Paulo.
indicates article with supplemental on-line tables
References
- Received March 25, 2008.
- Accepted after revision May 14, 2008.
- Copyright © American Society of Neuroradiology