Abstract
BACKGROUND AND PURPOSE: Traumatic brain injuries represent an important cause of death for young people. The main objectives of this work are to correlate brain stem injuries detected at MR imaging with outcome at 6 months in patients with severe TBI, and to determine which MR imaging findings could be related to a worse prognosis.
MATERIALS AND METHODS: One hundred and eight patients with severe TBI were studied by MR imaging in the first 30 days after trauma. Brain stem injury was categorized as anterior or posterior, hemorrhagic or nonhemorrhagic, and unilateral or bilateral. Outcome measures were GOSE and Barthel Index 6 months postinjury. The relationship between MR imaging findings of brain stem injuries, outcome, and disability was explored by univariate analysis. Prognostic capability of MR imaging findings was also explored by calculation of sensitivity, specificity, and area under the ROC curve for poor and good outcome.
RESULTS: Brain stem lesions were detected in 51 patients, of whom 66% showed a poor outcome, as expressed by the GOSE scale. Bilateral involvement was strongly associated with poor outcome (P < .05). Posterior location showed the best discriminatory capability in terms of outcome (OR 6.8, P < .05) and disability (OR 4.8, P < .01). The addition of nonhemorrhagic and anterior lesions or unilateral injuries showed the highest odds and best discriminatory capacity for good outcome.
CONCLUSIONS: The prognosis worsens in direct relationship to the extent of traumatic injury. Posterior and bilateral brain stem injuries detected at MR imaging are poor prognostic signs. Nonhemorrhagic injuries showed the highest positive predictive value for good outcome.
ABBREVIATIONS:
- BI
- Barthel Index
- CI
- confidence interval
- GCS
- Glasgow Coma Score
- GOSE
- Glasgow Outcome Scale Extended
- IQR
- interquartile range
- OR
- odds ratio
- PPV
- positive predictive value
- TBI
- traumatic brain injury
Traumatic injuries of the brain are an important cause of death for patients younger than 50 years of age.1,2 These are also associated with permanent neurologic disability and consumption of health care resources.3 According to the International Mission for Prognosis and Clinical Trial study,4 accurate neuroradiologic diagnostic evaluation represents a potential prognostic factor in traumatic brain injury. Although CT is the imaging technique of choice for initial evaluation of TBI,5 MR imaging is more sensitive for the depiction of traumatic lesions in the brain parenchyma,6,7 particularly in the visualization of posterior fossa structures and nonhemorrhagic lesions.8,9
The relationship between the presence of brain stem injury and clinical outcome is unclear and has varied significantly.9 Concerning prognosis, the brain stem is one of the most commonly studied anatomic structures.10 Most of the series published in the literature11⇓⇓⇓⇓–16 report that lesions in the brain stem are associated with a worse global prognosis and less probability of recovering from a vegetative state. Those reports support the Ommaya-Gennarelli model, in which the depth of brain injury correlates with TBI morbidity and mortality.10,17 However, other studies published by Paterakis et al8 and Aguas et al18 have stated that brain stem injury might not necessarily predict a poor prognosis because of good recovery of some patients with TBI affecting the brain stem.
The aim of this study is to correlate brain stem injuries detected by conventional MR with outcome at 6 months in patients with severe TBI, evaluating the hypothesis that brain stem injury is not always associated with a poor outcome. Hence, we attempted to determine whether any particular MR imaging findings could be related to a worse prognosis.
Materials and Methods
Study Population
We have retrospectively investigated data from 108 patients with severe head trauma who underwent a conventional MR imaging in the first 30 days after injury. They were selected from a cohort of 443 patients with severe head injury admitted to our hospital over a 9-year period between 2002 and 2011. The inclusion criteria were as follows: 1) severe TBI (following the US National Coma Data Bank definition for inclusion as a severe head injury, as follows: patients with GCS score of 8 or less after resuscitation, which may include endotracheal intubation, or GCS score deteriorating to 8 or less within 48 hours of injury);19 2) survival longer than 48 hours after trauma; 3) no known history of CNS disease unrelated to trauma; 4) patient aged between 15 and 75 years; 5) MR imaging performed in the first 30 days after head injury; and 6) no signs of brain death at admission.
Imaging Protocol
MR imaging was performed in the subacute phase of head injury (during the first 30 days after trauma; median 17 days; IQR 10–22) as part of the standard protocol in all patients.
Imaging was performed on a 1.5T scanner (Signa Excite; GE Healthcare, Milwaukee, Wisconsin). The MR imaging protocol consisted of a 3-plane localizer sequence, sagittal T1-weighted with an inversion recovery technique (TR = 2000, minimum TE = 8–48, inversion recovery = 750, NEX = 2, 320 × 256 matrix), axial T2-weighted fast spin-echo (TR = 4000, TE = 85, echo-train length = 12, NEX = 2, 320 × 256 matrix), axial and coronal FLAIR (TR = 10,000, TE = 145, TI = 2200, NEX = 1, variable bandwidth = 20, 256 × 224 matrix), and gradient-echo T2 images in the axial and sagittal planes (TR = 550, TE = 18, flip angle = 28, NEX = 2, variable bandwidth = 15, 256 × 192 matrix). All data were obtained by using 4-mm-thick sections with a 1-mm skip, and a FOV of 24 × 24 cm.
Image Analysis
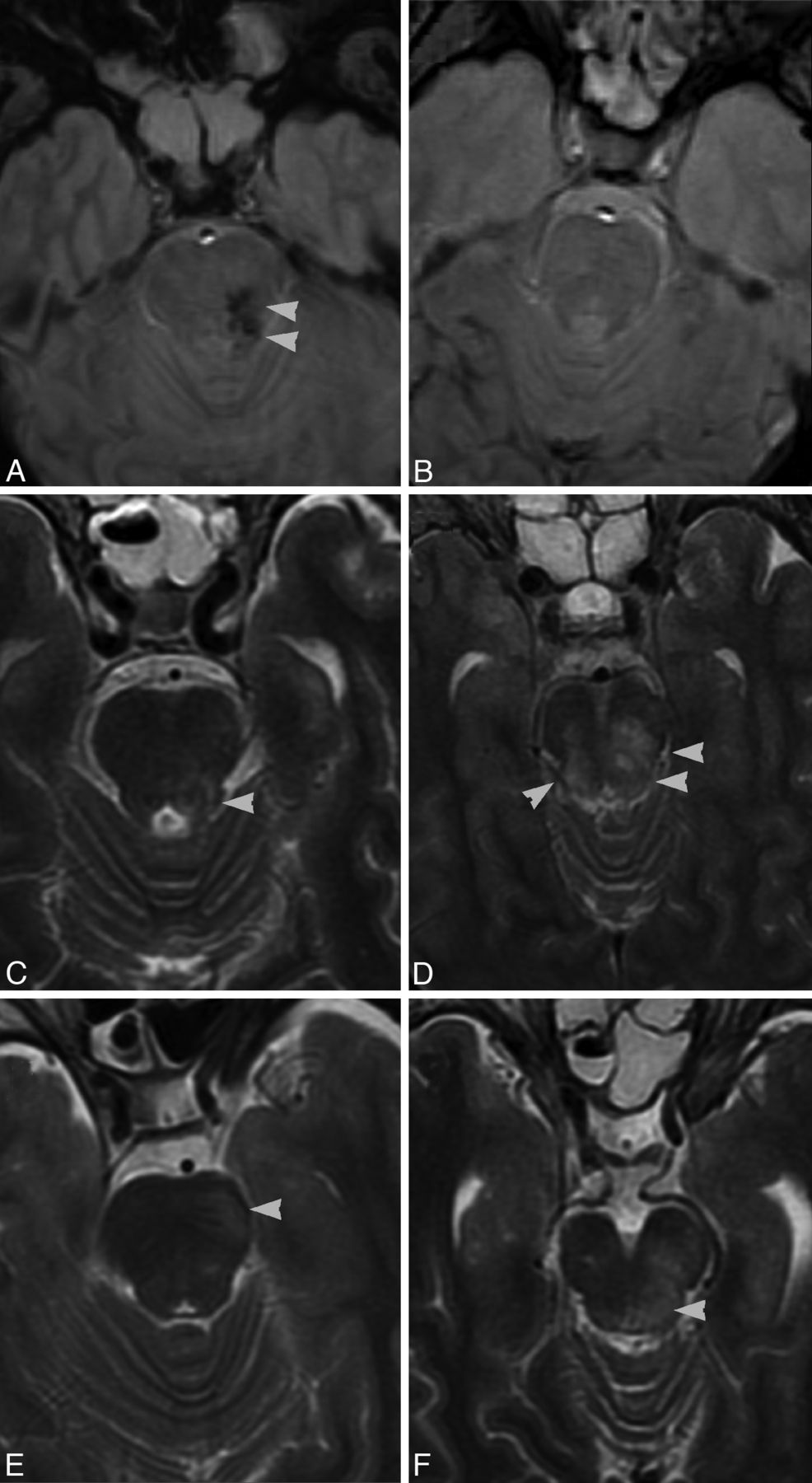
Two independent neuroradiologists, blinded to the neurologic condition of patients, reported brain stem injuries based on visual inspection. Brain stem lesions were classified as 1) anterior or posterior, 2) unilateral or bilateral, and 3) hemorrhagic or nonhemorrhagic. According to location, central lesions were classified in the group of anterior injuries. Based on injury characteristics on conventional imaging sequences, nonhemorrhagic lesions were defined as areas of increased signal intensity on T2 and FLAIR, and hemorrhagic injuries were described as foci of decreased signal on gradient-echo T2. Findings were also classified as unilateral or bilateral lesions, according to the involvement of the brain stem. Illustrations of the different brain stem injuries are shown in Fig 1.
Illustrations depicting the different types of brain stem injury observed with subacute MR imaging in severe traumatic brain injury. Gradient-echo T2 images in the axial plane show hemorrhagic (A) (hypointensity indicates foci of hemosiderin deposition) and (B) nonhemorrhagic diffuse axonal injury. On the other hand, axial T2-weighted images demonstrate unilateral (C) and bilateral (D) brain stem traumatic involvement, as well as anterior (E) (contusion) and posterior (F) (diffuse axonal injury) location in the brain stem.
Data Collection and Outcome Measures
Epidemiologic data were collected at admission to the hospital, including age, sex, mechanism of injury, presence of severe extracranial injury, pupil examination, and postresuscitation level of consciousness expressed by GCS and its motor subscale. Findings from the admission CT scan were recorded following the Traumatic Coma Data Bank. This classification, proposed by Marshall et al,5 is based on the situation of the perimesencephalic cisterns, the presence of midline shift, and the presence or absence of focal masses, allowing the detection of patients at risk of worsening due to raised intracranial pressure.
Neurologic impairment was assessed at 6 months after injury by the extended version of the Glasgow Outcome Score, applied by a research nurse blinded to the severity of the initial injury or image findings, using a structured interview.20 Functional disability was established by the Barthel Index. When patients were incapable of interacting with the interviewer, family members were consulted. The GOSE is an 8-point scale for assessing disability after head injury or other neurologic events. The defined categories are as follows: 8, upper good recovery; 7, lower good recovery; 6, upper moderate disability; 5, lower moderate disability; 4, upper severe disability; 3, lower severe disability; 2, vegetative state; 1, dead. The Barthel Index is a 10-item questionnaire of daily functioning, assessing a patient's independence or dependence for each item on a scale from zero (fully dependent) to 10 (fully independent). It covers the following items: eating, getting dressed, transferring from bed to chair, ambulating, negotiating stairs, managing personal care, bathing, toileting, and controlling bowel and bladder. A maximal score (score = 100) indicates full independence for all items, whereas a minimal score (score = 0) indicates that the patient is fully dependent for all items.21
Statistical Analysis
A descriptive analysis of the epidemiologic characteristics of patients presenting with brain stem injuries at MR imaging was performed. To determine the MR imaging findings related to prognosis at 6 months after injury, outcome measures were defined as follows: GOSE was dichotomized into good outcome (upper and lower good recovery/upper moderate disability) and poor outcome (lower moderate disability/serious disability/vegetative state/dead), and disability in terms of BI as independent (BI > 95) or dependent (BI ≤ 95). The relationship between the different epidemiologic and clinical variables, as well as MR imaging findings of brain stem injuries and outcome, was explored by univariate analysis using the χ2 test for dichotomous variables, and by a nonparametric test (Mann Whitney U) in the case of continuous variables. The odds ratios, sensitivity, specificity, positive predictive value, and positive likelihood ratio for poor and good outcome were calculated for each MR imaging characteristic of brain stem lesions, as well as their discriminative capacity by the area under the ROC curve. All these parameters were also calculated for different combinations of the imaging features of brain stem lesions depicted by MR, with the purpose of obtaining which combination had the highest predictive value.
The level of statistical significance was set at a probability of less than .05 (P < .05). All statistical analyses were performed using SPSS 12 software (SPSS, Chicago, Illinois) running on a personal computer.
Results
In our study group of 108 patients with severe head trauma, 47% presented with brain stem injuries, while the remaining 53% showed cerebral hemisphere injuries without brain stem involvement on conventional MR imaging.
In the group of 57 patients without brain stem injuries, 43% had lesions in the subcortical white matter and 10% in the corpus callosum. Direct trauma was the predominant mechanism of injury in the subcortical lesions, and high-energy impact trauma in the corpus callosum injuries. According to the GOSE, 20% of patients with subcortical injuries and 30% with corpus callosum lesions experienced a poor outcome. Using the BI, 8% of subcortical and 27% of corpus callosum injuries were associated with disability.
In the group of 51 patients with brain stem injuries, 66% showed a poor outcome expressed by the GOSE scale and 53% experienced functional disability in terms of BI.
All but 1 patient with corpus callosum lesions had subcortical lesions detectable in MR imaging. All patients with brain stem lesions had either subcortical (47 of 51; 92%) or corpus callosum (36 of 51; 71%) lesions.
If we analyze, in more detail, the group of brain stem injuries, the patient population was predominantly young (mean age 26 years; interquartile range 21–38) and male (75%). As in the corpus callosum lesions, the predominant mechanism of injury in brain stem lesions was high-energy impact trauma, particularly traffic crashes. Demographic and injury-related characteristics and outcomes are shown in Table 1%The most frequent location of the lesions affecting the brain stem was the mesencephalon (84%), followed by medulla oblongata (6%), pons (4%), and multiple locations (6%). Table 2 summarizes MR imaging features of brain stem lesions.
Demographic and injury-related characteristics and outcomes of the 51 patients with brain stem lesions detected by MRI
MRI features of brain stem lesions in 51 patients with severe head injury
The most frequent location of the lesions affecting the brain stem was the mesencephalon (84%), followed by medulla oblongata (6%), pons (4%), and multiple locations (6%). Table 2 summarizes MR imaging features of brain stem lesions.
Not all patients affected by brain stem injuries detectable by MR showed a dismal prognosis, as 33% of patients showed a favorable prognosis, as expressed by the GOSE scale, and nearly half of the patients presented with acceptable functional capacity, as measured by the Barthel Index.
In 19 patients (37%), MR imaging demonstrated findings consistent with nonhemorrhagic brain stem injuries. Otherwise, there were 32 patients (63%) with hemorrhagic brain stem lesions. According to GOSE, in the group of hemorrhagic injuries, 6 patients experienced a good recovery and 26 showed a poor outcome. In the group of nonhemorrhagic injuries 58% of patients showed good outcome and 42% poor outcome. Patients with hemorrhagic injuries experienced a worse outcome than those with nonhemorrhagic lesions (P < .05, OR 5.9, 95% CI 1.6–22, sensitivity 75%, specificity 64%). Using the BI, hemorrhagic injuries were more frequently associated with disability than nonhemorrhagic lesions (P > .05, OR 2.9, 95% CI 0.8–9.2, sensitivity 74%, specificity 50%).
Thirty-eight patients (74%) had unilateral and 13 patients (26%) had bilateral brain stem injury. In the group of patients with unilateral involvement, 55% experienced poor outcome and 45% experienced good outcome. Bilateral injury was, in particular, associated with a poor outcome. The location of the bilateral lesions had no impact in clinical outcome, as all patients with bilateral involvement of brain stem experienced a poor outcome (30% anterior and 70% posterior location; P < .05). We could compute a sensitivity of 38%, a specificity of 100%, and a PPV of 100% in predicting a poor outcome when bilateral brain stem injury was present. According to the BI, disability was greater in bilateral brain stem injuries (P < .05, 95% CI 1.1–17, sensitivity 37%, specificity 87%).
In our group of patients, 47% (n = 24) of brain stem injuries had an anterior location and 53% (n = 27) a posterior location. According to the GOSE, 85% of patients with posterior brain stem injury and 46% of patients with anterior injuries experienced a poor outcome. Posterior injuries were associated with a worse outcome than anterior injuries (P < .01, OR 6.8, 95% CI 1.8–25, sensitivity 68%, specificity 76%). In terms of the BI, posterior injuries were related to a worse disability than anterior lesions (P < .01, OR 4.8, 95% CI 1.4–16, sensitivity 70%, specificity 66%).
In this series of patients, outcome was related to the MR imaging findings observed (On-line Table 1), as most clinical or demographic data did not show any relation to final outcome. Patients with hemorrhagic and posteriorly located lesions more frequently showed a poor outcome, and all patients with bilateral lesions affecting brain stem showed a poor outcome, as measured by the GOSE.
The relation with poor outcome expressed by the odds ratio and the prognostic capability of these 3 types of lesions, as well as different combinations of these, are presented both for outcome measured by GOSE and the Barthel Index in On-line Tables 2 and 3, respectively. Posterior location showed the best discriminatory capability, in both cases, when used as a single variable. When combining different lesions, the addition of hemorrhagic and posterior lesions or bilateral injuries showed the highest odds and best discriminatory capacity for poor outcome. Fig 2. Nonhemorrhagic injuries showed the highest positive predictive value for good outcome. When combining different lesions, the addition of nonhemorrhagic and anterior lesions or unilateral injuries showed the highest odds and best discriminatory capacity for good outcome. Similar results are obtained when evaluating MR imaging findings and good outcome in terms of BI. represents the correlation between MR imaging characteristics of brain stem lesions, outcome, and functional disability.
Bar graph showing the correlation between MR imaging findings of brain stem injuries, outcome in terms of GOSE, and functional disability using the Barthel Index.
We have also evaluated the hypothesis that brain stem injury is not only a predictor of poor outcome. The relation with good outcome expressed by OR and the prognostic capability of anterior, unilateral, and nonhemorrhagic lesions, as well as different combinations of these, are presented for good outcome measured by GOSE in Table 3
Discussion
Relationship between MR findings and GOSE in 51 patients with brain stem injuries after severe head trauma
The approximate distribution of TBI severity, based on admission GCS, is 80% mild, 10% moderate, and 10% severe.22 Severe traumatic brain injury correlates with a worse prognosis and generates elevated health care costs.23 Early identification of patients at risk for poor outcome after severe TBI will allow a modification of how these patients are managed,24 having an important socioeconomic benefit.25
MR imaging was first used to investigate TBI in a study of 50 patients, published by Jenkins et al in 1986.26 Since that initial study was published, several descriptions of MR imaging of lesions in TBI patients have been reported, but few studies exist on the correlation between imaging and outcome.11,12
First, we compared the final outcome of patients with severe head trauma classified according to presence or absence of brain stem injuries. Patients with brain stem lesions at MR imaging experienced a worse outcome than those who had only traumatic injuries in the cerebral hemispheres. A greater extent of brain injury was associated with poor prognosis and correlated with high-energy impact trauma. These findings support the Ommaya-Gennarelli model, in which the depth of brain injury correlates with TBI morbidity and mortality.10,17
Second, we retrospectively analyzed the patterns of brain stem injury on MR imaging and their relation to clinical outcome in one of the largest series of patients with severe TBI studied with MR. In the literature, the frequency of brain stem injury in patients with severe head trauma ranges from 2%–100%, depending mainly on the length of patient survival and the method of pathologic study.27 The frequency of brain stem injury in our group of patients with severe head trauma was 47%, very similar to the rate recently published by Skandsen et al,6 but different from that previously published by Firsching et al11 and Kampfl et al.27 We believe that those differences are most likely due to different selection criteria. The greater severity of injury (persistent vegetative state or coma) may have contributed to the higher incidence of injuries in the series of Kampfl et al27 (86%) and Firsching et al11 (64%). Similar to the issues raised by Skandsen et al,6 comparing our data with results from previous studies, we can conclude that nearly half of the patients with severe TBI who survive the acute phase have a brain stem injury. Moreover, most brain stem lesions were situated in the mesencephalon. An explanation for this finding could be that diffuse axonal injury is one of the most common types of primary neuronal injury in patients with severe TBI28 and mainly affects the dorsolateral region of the midbrain.
In contrast to previously published studies by Giugni et al28 and Weiss et al,23 our results show that MR images provide good predictors of functional outcome in patients with TBI. Several studies11⇓–13,29,30 have postulated that brain stem lesions appear to be the most potent markers of poor prognosis, most notably when they are bilateral and symmetrical. In our series, bilateral brain stem injuries observed on MR imaging also had a high predictive value (100%) for a poor outcome, as all patients with bilateral involvement experienced a poor outcome. Hence, we are in agreement with the results published by Firsching et al,11 Mannion et al,9 Weiss et al,30 and Skandsen et al,6 as bilateral brain stem lesions showed a poor outcome. Our findings are also consistent with previous results of Chastain et al,10 in that the number of regions involved can discern between good and poor outcomes. However, while brain stem lesions have been more often associated with a poor outcome, they are not in themselves predictive. Similar to Skandsen et al6 and Weiss et al,30 we also observed a remarkable difference in outcome between unilateral and bilateral brain stem injury. In our group of patients, half of those with unilateral lesions had a poor outcome, while the remaining 50% experienced a good outcome. The reason for the relatively good outcome of unilateral injuries may be that contusions and brain stem abnormalities after supratentorial herniation are both included in that group of patients, and usually present with a better prognosis.
According to Paterakis et al,8 the presence of hemorrhage in diffuse axonal injury–type lesions is a poor prognostic sign but isolated nonhemorrhagic diffuse axonal injury–type lesions are not always associated with poor clinical outcome. In our series, brain stem injuries were predominantly hemorrhagic and most patients (81%) experienced a poor outcome. On the other hand, in the group with nonhemorrhagic brain stem injuries, 58% showed a good outcome. We confirmed the results of Paterakis et al8 in a larger series of patients with brain stem injuries including diffuse axonal injury–type and non-diffuse axonal injury–type lesions. While most hemorrhagic lesions showed a poor prognosis, in 19% of cases the evolution was not as unfavorable as expected. Most hemorrhagic lesions presenting good outcome were anteriorly or centrally located in the brain stem (4 of 6 patients) and thus could include Duret hemorrhages, which generally have a better prognosis than diffuse axonal injury.
Our work is the first to study the correlation between outcome and location of injuries in the brain stem (anterior versus posterior). In Kampfl et al's series,27 73% of brain stem lesions were located in the dorsolateral quadrant of the mesencephalon and pons. In our series, most injuries (84%) had a posterior location and were situated in the dorsolateral aspect of the midbrain. Kampfl et al12 previously suggested, in a series of 80 patients with persistent vegetative state, that as result of the dorsal location and poor prognosis of diffuse axonal injury, posterior brain stem lesions are probably more relevant than anterior brain stem lesions as predictors of poor outcomes in patients with brain stem TBI. In our larger series of severe TBI, 85% of posterior injuries presented a poor outcome, while only 46% of anterior injuries displayed a poor outcome. Hence, we confirmed the hypothesis of Kampfl et al,12 as posterior brain stem injuries showed a worse outcome than anterior injuries.
In this work, we have gone a step further in determining whether different combinations of imaging findings of brain stem injuries modify discriminatory capacity for poor outcome. In our group of patients with severe TBI, the addition of hemorrhagic and posterior brain stem injuries or bilateral lesions showed the highest odds and the best discriminatory capability for poor outcome.
Furthermore, this is one of the largest series of brain stem injuries that evaluates both lesions presenting with good and poor outcome. In our series of 51 patients with traumatic brain stem involvement, nonhemorrhagic injuries showed the highest positive predictive value for good outcome. When combining different lesions, the addition of nonhemorrhagic and anterior lesions or unilateral injuries showed the highest odds and best discriminatory capacity for good outcome.
There are some limitations in our study. First, the major limitation of our series is that it was performed in a selected group of patients, as our study included mainly patients surviving the injury. This must be kept in mind when comparing the rates of brain stem injury and poor outcome to other series. In addition, the median time between trauma and MR imaging was 17 days; therefore, several patients had relatively lengthy gaps between trauma and MR imaging (maximum 30 days), and parenchymal changes may occur during this time period. However, to our knowledge, this work is the largest series that correlates brain stem injuries to clinical outcome.
Conclusions
Our results on 51 patients with severe head trauma suggest that prognosis worsens in direct relationship to the extent of traumatic injury. Brain stem injuries had a poorer prognosis than corpus callosum lesions, and these, in turn, had a worse prognosis than subcortical lesions.
In our series, only two-thirds of patients with brain stem injuries at MR imaging experienced a poor outcome, with posterior and bilateral lesions as poor prognostic signs. On the other hand, the remaining third of the patients with brain stem injury showed a good outcome. Nonhemorrhagic injuries showed the highest positive predictive value for good outcome.
Footnotes
-
Levels of contribution to the paper: A. Hilario, A. Ramos, and A. Lagares contributed to the concept and design of the study, the analysis and interpretation of the results, and the writing of the paper. P.A. Gomez contributed to the analysis and interpretation of the results and the writing of the paper. All authors approved the final submitted version.
-
Previously presented at: Annual Meeting of the American Society of Neuroradiology, April 21–26, 2012; New York, New York.
References
- Received December 16, 2011.
- Accepted after revision February 6, 2012.
- © 2012 by American Journal of Neuroradiology