Abstract
SUMMARY: Isolated brain stem lesions presenting with acute neurologic findings create a major diagnostic dilemma in children. Although the brain stem is frequently involved in ADEM, solitary brain stem lesions are unusual. We performed a retrospective review in 6 children who presented with an inflammatory lesion confined to the brain stem. Two children were diagnosed with connective tissue disorder, CNS lupus, and localized scleroderma. The etiology could not be determined in 1, and clinical features suggested monophasic demyelination in 3. In these 3 children, initial lesions demonstrated vasogenic edema; all showed dramatic response to high-dose corticosteroids and made a full clinical recovery. Follow-up MRI showed complete resolution of lesions, and none had relapses at >2 years of follow-up. In retrospect, these cases are best regarded as a localized form of ADEM. We conclude that though ADEM is typically a disseminated disease with multifocal lesions, it rarely presents with monofocal demyelination confined to the brain stem.
ABBREVIATIONS:
- ADEM
- acute disseminated encephalomyelitis
- CIS
- clinically isolated syndrome
- CPM
- central pontine myelinolysis
- IPMSSG
- International Pediatric Multiple Sclerosis Study Group
- POLG
- polymerase subunit-gamma
The spectrum of acute demyelinating syndromes has been extensively described, and diagnostic criteria have been proposed by the IPMSSG.1 ADEM is a disease of the young; most commonly, it affects children, with an estimated incidence of 0.8/100,000/year.2 The median age of onset is 6.5 years.2
ADEM is defined by the IPMSSG as, “A first clinical event with a presumed inflammatory or demyelinating event, with acute or subacute onset that affects multifocal areas of the CNS.”1 The proposed definition requires both encephalopathy and multifocal involvement, multifocal if the clinical features can be attributed to >1 CNS site and monofocal if the clinical symptoms can be attributed to a single CNS lesion.
Although no specific MR imaging criteria have been identified for ADEM, certain patterns are generally recognized. Four patterns of cerebral involvement have been proposed to describe the MR imaging findings in ADEM: 1) ADEM with small lesions (<5 mm); 2) ADEM with large, confluent, or tumefactive lesions, with frequent extensive perilesional edema and mass effect; 3) ADEM with additional symmetric bithalamic involvement; and 4) acute hemorrhagic encephalomyelitis, when some evidence of hemorrhage can be identified in the large demyelinating lesions.3 However, less characteristic cases may cause a diagnostic dilemma and delay in treatment. ADEM frequently involves the brain stem (41%–56%) in addition to supratentorial lesions.4⇓⇓–7 Unusual cases of ADEM confined to the brain stem have been reported in adults.8⇓⇓–11
Here we report the clinical and radiologic findings of children presenting with acute brain stem inflammation and discuss the possibility of ADEM in the differential diagnosis.
Case Series
Patients were identified from the Pittsburgh Pediatric Demyelinating Registry. This study was approved by the institutional review board of the University of Pittsburgh. Among the 112 patients presenting with acute CNS inflammation between January 2003 and December 2011, six children were identified with isolated brain stem syndrome, both clinically and radiologically. Clinical features and neuroimaging data were reviewed in detail and described in each patient. The On-line Table summarizes the clinical and imaging characteristics of 6 patients who presented with isolated brain stem inflammation.
MR imaging examinations were performed during the acute phase of the disease at a field strength of 1.5T (Signa; GE Healthcare, Milwaukee, Wisconsin). Imaging sequences of the brain included T1-weighted, T2-weighted, FLAIR, proton-density, gradient-echo, and contrast-enhanced T1-weighted sequences in multiple planes. DWI and ADC maps were also obtained in all patients. MR imaging findings were represented by symmetric or asymmetric hyperintensity on T2-weighted and FLAIR images within the brain stem, symmetric or asymmetric hypointensity on T1-weighted images within the brain stem, and areas of contrast enhancement after injection of a standard dose of gadolinium-based contrast material (gadobenate dimeglumine 0.5-mol/L solution, MultiHance; Bracco, Milan, Italy). DWI and an ADC map were evaluated together for signal-intensity changes with regard to vasogenic-versus-cytotoxic edema. Lesions isointense or hyperintense on DWI and hyperintense on the ADC map were considered consistent with vasogenic edema. Lesions hyperintense on DWI and hypointense on the ADC map were considered consistent with cytotoxic edema.
Extensive investigations were performed to rule out infectious and rheumatologic disorders in all children. Some patients were also tested for paraneoplastic autoantibodies, CSF cytology, and mutations in the gene of DNA POLG. POLG mutations are associated with several mitochondrial disorders.
All patients were imaged on admission to our hospital. The interval from the onset of the neurologic symptoms to the initial imaging varied from 2 days to 2 weeks. In the brain stem, the medulla was the most frequently involved region. Enhancement of lesions was seen in 2 of the 6 patients. Encephalopathy was present in 3 children. A family history of multiple sclerosis was present in 1 child. In all children, total spine MR images and MR angiograms obtained on admission had normal findings. MR spectroscopy was performed on admission in 3 patients. The results of MR spectroscopy were not included in the present study because they were technically suboptimal in the region of the medulla oblongata due to anatomic reasons (adjacent bony structures and small size of the medulla oblongata).
In our case series, 1 child was diagnosed with CNS lupus due to the presence of high autoimmune markers for systemic lupus erythematosus (case 1). In this patient, restricted diffusion suggested vasculitic infarcts. Another child (case 2) had localized scleroderma diagnosed at 3 years of age. Acute brain stem inflammation was thought related to underlying autoimmune disease. There have been reports of CNS inflammation in localized scleroderma.12,13 The diagnosis remained uncertain for 1 patient (case 6) who had strikingly restricted diffusion on MR imaging. The disease pace was not consistent with stroke. There was no clinical setting for central pontine myelinolysis, and sodium values were normal. There was no evidence for infection, including negative results for West Nile virus.
Patients with Possible ADEM
Among 6 children with isolated brain stem syndrome, 3 (cases 3, 4, and 5) were distinguished by the following features: 1) None demonstrated restricted diffusion; 2) Serial MR imaging showed complete resolution in all, and none developed new lesions; 3) All patients have fully recovered clinically; and 4) None had clinical or radiologic relapses, and none were diagnosed with another disease during the follow-up (On-line Table). They were originally classified as having CIS as per the IPMSSG definition. In retrospect, with no relapses in 2 years, they are considered patients with possible ADEM. Figures 1⇓–3 demonstrate MR imaging of patients with possible ADEM diagnosis. Initial MR imaging was performed within 2–5 days of disease onset in these children.
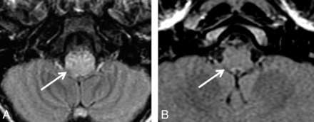
Case 5. Axial FLAIR image (A) demonstrates increased T2 signal in the medulla oblongata (arrow). Twelve-month follow-up shows complete resolution of the lesion (arrow, B).
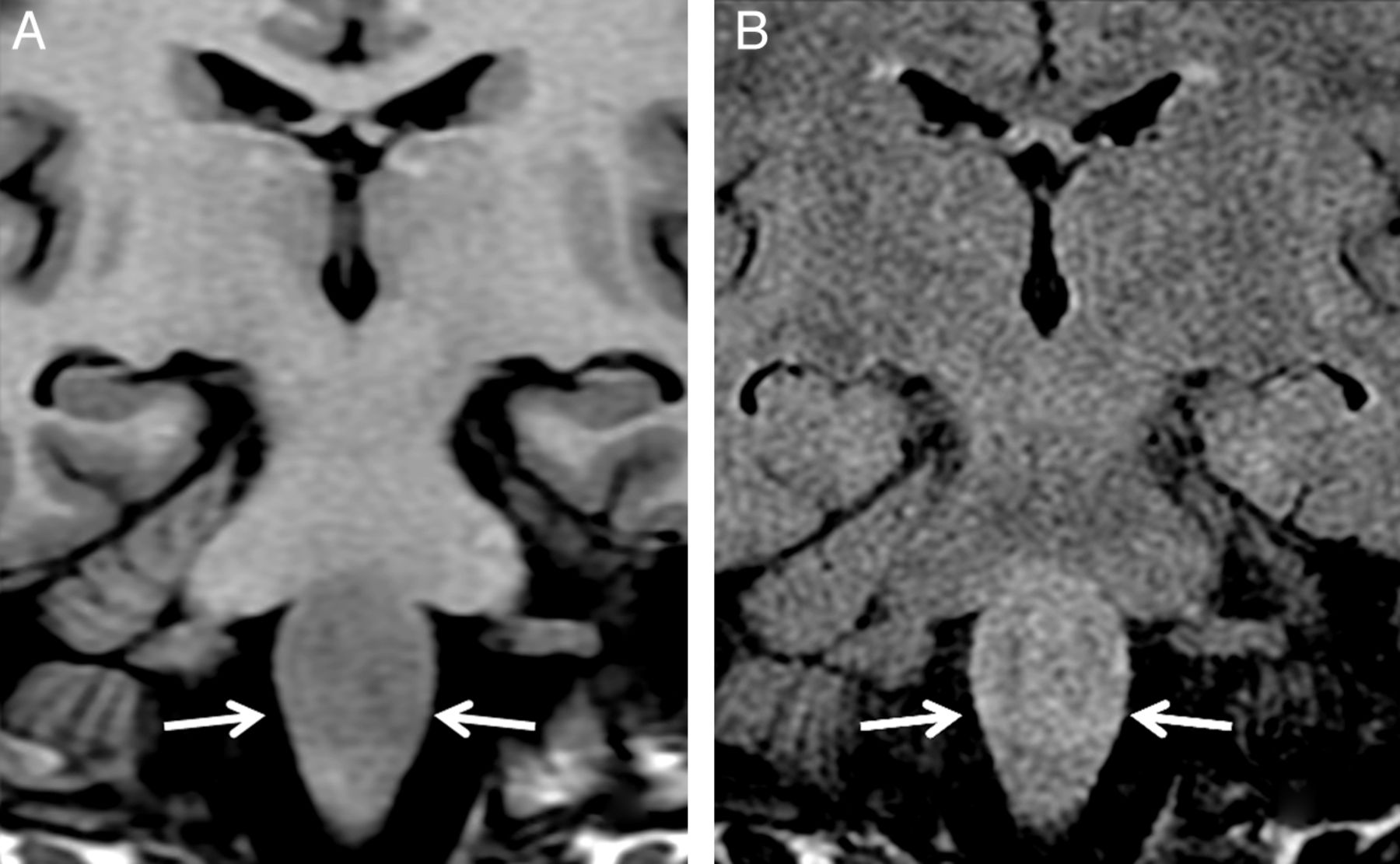
Case 4. Coronal T1-weighted image (A) shows hypointensity involving the medulla oblongata (arrows), and the coronal FLAIR image shows hyperintensity (arrows, B).
Case 3. Axial T2 FLAIR image shows increased signal in the right medulla oblongata (arrow, A), which demonstrates nonhomogeneous contrast enhancement (arrow, B). Increased signal on DWI (arrow, C) and increased signal on the ADC map consistent with vasogenic edema (black arrow, D) are also noted.
Discussion
MR imaging is the most suitable technique for evaluating brain stem lesions.14 Entities visible in the brain stem are highly diverse in their natures as well as in treatment and prognosis, and often pose a challenge for radiologists and neurologists. Differential diagnoses of these numerous entities require a meticulous review of MR imaging findings in conjunction with clinical features and other medical test results.
Differential Diagnosis of Brain Stem Lesions in Children
There is a broad spectrum of central nervous system disorders in children, with considerable overlap in presenting symptoms and imaging, leading to diagnostic uncertainty. These disorders include brain stem glioma, acquired demyelinating disorders (multiple sclerosis, acute disseminated encephalomyelitis, and neuromyelitis optica), infectious brain stem encephalitis, rhombencephalitis, CNS involvement of connective tissue disorders and other vasculitides (systemic lupus erythematosus, Neuro-Behçet disease, and neurosarcoidosis), primary CNS vasculitis, osmotic demyelination syndrome (CPM), brain stem ischemic lesions, brain stem vascular anomalies, and, rarely, Alexander disease. Due to the poor accessibility of the lesion and morbidity associated with it, biopsy is not always performed.
Isolated brain stem involvement is rare and atypical for ADEM diagnosis. Acute disseminated encephalomyelitis usually presents with asymmetrically located multifocal lesions and associated multifocal neurologic deficits. Multiple edematous white matter T2 hyperintense lesions occurring at the same time are the classic picture of ADEM. Asymmetrically distributed lesions affect the central white matter and cortical gray-white junction of both cerebral hemispheres and infratentorial areas. In rare cases, brain MR images show a large single lesion (>1–2 cm) predominantly affecting the white matter.1,3 The variable clinical manifestations and lack of specific biologic markers in ADEM raise serious problems of differential diagnosis. The diagnosis of ADEM is made on clinical grounds with the guidance of MR imaging. If one is in doubt, the diagnosis has to be made by exclusion of a number of likely differential diagnoses. Sequential MR imaging during the follow-up period plays an important role in establishing the diagnosis of ADEM. Monophasic ADEM is not associated with the development of new lesions.3
Patients presenting with only a brain stem lesion are more challenging because the previously defined radiologic characteristics of ADEM3 are not present. Clinically, these patients may or may not have encephalopathy, but they do not meet the IPMSSG consensus criteria due to the lack of multifocal involvement. These children need an extensive work-up and careful monitoring. They are appropriately defined as having CIS at initial presentation. There are no studies on the long-term outcome of isolated brain stem syndrome in children. A challenging case of a child presenting with a large solitary brain stem lesion with subsequent diagnosis of multiple sclerosis has been reported.15
ADEM is a disease of young children. This is also the age group in which brain stem glioma is the most common neoplasm.16 In the present case series, glioma was ruled out by disease course. Another possibility was the first attack of pediatric-onset multiple sclerosis. These 3 patients (cases 3, 4, and 5) have been symptom-free for >2 years, and none developed new lesions on serial MR imaging; therefore multiple sclerosis is unlikely. Infectious brain stem encephalitis is unlikely on the basis of negative CSF findings, viral serology, and bacterial culture of the CSF. Connective tissue disorders are remote due to the absence of the known autoimmune markers, and the patient not developing any systemic symptoms during the 2 years. Although rare in children, CPM is another entity in the differential diagnosis. Low ADC values in the acute stage are an important feature of CPM.16 None of our patients had abnormal sodium values. Disease pace and diffusion characteristics were not consistent with vascular infarcts either.
Neuroimaging plays a key role in the diagnosis of ADEM because there is no biomarker available. Therefore, studies describing imaging characteristics and patterns in detail are crucial to help with diagnosis and treatment. However, diagnosis is difficult because the diseases in question mostly appear identical on MR imaging. Modern MR imaging tools such as DWI are currently used in the characterization of acute demyelinating lesions. Reports on DWI in ADEM are rare. There are some case reports, mostly from adult patients, indicating that DWI is helpful in predicting the outcome and staging of the disease, but the number of patients is limited in these studies.10,17 Diffusion characteristics were analyzed in children with ADEM diagnosed by IPMSSG criteria, and the study demonstrated that ADC is increased in ADEM lesions, whereas isotropic diffusion maps appear to have normal findings, consistent with vasogenic edema in most patients.18 Enhancement of lesions is usually absent or moderate in ADEM.19
In the present pediatric cohort of acute demyelinating syndromes, 3 of 112 children were found to have isolated brain stem syndrome, both clinically and radiologically. Serial MRI and clinical course with a favorable prognosis suggested monophasic demyelination in retrospect. There is no better explanation after extensive work-up and follow-up for >2 years. One can argue that these cases may represent a new entity. We consider that they can be regarded as a localized form of ADEM.
Most typical clinically isolated syndromes, including brain stem syndrome, optic neuropathy, and spinal cord syndromes, described in adults commonly precede multiple sclerosis.20 We propose that ADEM may rarely present in the form of a solitary brain stem lesion without evidence of disseminated lesions (monofocal presentation). It remains unclear whether this represents a special variant of ADEM following a specific agent, similar to a phenotype described as “poststreptoccal ADEM”21 in genetically vulnerable hosts.
Conclusions
ADEM is a treatable disease, but delay in treatment may cause complications such as axonal loss and further progression of disease, which can be catastrophic, particularly if lesions involve crucial locations such as the brain stem. Once ADEM is diagnosed, the therapeutic aim is to abbreviate the CNS inflammatory reaction as quickly as possible and to speed up clinical recovery. This case series stresses that ADEM should be considered in the differential diagnosis of solitary brain stem lesions in children.
Footnotes
Paper previously presented in part at: 40th Annual Meeting of the Child Neurology Society, October 26–29, 2011; Savannah, Georgia.
References
- Received March 1, 2012.
- Accepted after revision April 4, 2012.
- © 2013 by American Journal of Neuroradiology