Abstract
BACKGROUND AND PURPOSE: Clinical neurosensory testing is an imperfect reference standard to evaluate molar tooth extraction related peripheral trigeminal neuropathy. The purpose was to evaluate the diagnostic accuracy of MR neurography in this domain and correlation with neurosensory testing and surgery.
MATERIALS AND METHODS: In this retrospective study, nerve caliber, T2 signal intensity ratio, and contrast-to-noise ratios were recorded by 2 observers using MR neurography for bilateral branches of the peripheral trigeminal nerve, the inferior alveolar and lingual nerves. Patient demographics and correlation of the MR neurography findings with the Sunderland classification of nerve injury and intraoperative findings of surgical patients were obtained.
RESULTS: Among 42 patients, the mean ± SD age for case and control patients were 35.8 ± 10.2 years and 43.2 ± 11.5 years, respectively, with male-to-female ratios of 1:1.4 and 1:5, respectively. Case subjects (peripheral trigeminal neuropathy or injury) had significantly larger differences in nerve thickness, T2 signal intensity ratio, and contrast-to-noise ratios than control patients for the inferior alveolar nerve and lingual nerve (P = .01 and .0001, .012 and .005, and .01 and .01, respectively). Receiver operating characteristic analysis showed a significant association among differences in nerve thickness, T2 signal intensity ratio, and contrast-to-noise ratios and nerve injury (area under the curve, 0.83–0.84 for the inferior alveolar nerve and 0.77–0.78 for the lingual nerve). Interobserver agreement was good for the inferior alveolar nerve (intraclass correlation coefficient, 0.70–0.79) and good to excellent for the lingual nerve (intraclass correlation coefficient, 0.75–0.85). MR neurography correlations with respect to clinical neurosensory testing and surgical classifications were moderate to good. Pearson correlation coefficients of 0.68 and 0.81 and κ of 0.60 and 0.77 were observed for differences in nerve thickness.
CONCLUSIONS: MR neurography can be reliably used for the diagnosis of injuries to the peripheral trigeminal nerve related to molar tooth extractions, with good to excellent correlation of imaging with clinical findings and surgical results.
ABBREVIATIONS:
- IAN
- inferior alveolar nerve
- LN
- lingual nerve
- MRN
- MR neurography
- NST
- neurosensory testing
- PSIF
- reversed fast imaging with steady state precession
- PTN
- peripheral trigeminal neuropathy
- T2SIR
- T2 signal intensity ratio
- SI
- signal intensity
Sensory innervation to the face is provided by 3 branches of the trigeminal nerve: the ophthalmic, maxillary, and mandibular nerves. During oral and maxillofacial treatments, the most commonly injured terminal branches are the inferior alveolar (IAN) and lingual (LN) nerves.1,2 Among oral treatments, molar tooth extractions are very common, and up to 10 million third molars are extracted each year at a cost of more than US $3 billion.3 Tooth extractions alone account for 60% of all nerve injuries in the jaw, with an incidence of permanent paresthesia in the lip, tongue, and cheek ranging from 11,500–35,000 per year.4⇓–6
Currently, clinical neurosensory testing (NST) is used as the criterion standard to confirm the diagnosis of peripheral trigeminal neuropathy (PTN).7 NST involves 3-level testing, with level A measuring spatiotemporal sensory perception, level B measuring contact detection with monofilament, and level C measuring pain threshold and tolerance. The 5 scores of sensory impairment denote normal, mild, moderate, severe, and complete loss (Table 1). Surgeons use clinical history and NST to diagnose neuropathy and stratify nerve injury with respect to the Sunderland classification. Initially described in 1951, this classification is based on the injury of individual structures of the organized nerve tissue (ie, myelin loss; axonal loss; and endoneurial, perineurial, and epineural injury, in that order).8,9 The aims of surgical treatment are to repair the damaged nerve, maximize the number of axons that regenerate through the site of injury, and increase the proportion of axons that grow back to appropriate targets. Thus, timely decision making regarding surgical treatment and accurate presurgical planning is important for proper case management. Despite exhibiting high positive and negative predictive values for LN injuries, NST shows lower values for IAN injuries, with false-positive and false-negative rates of up to 23% and 40%, respectively.7 NST results are not reliable in the first 3 months after the injury because of postoperative changes and the inability of patients and/or physicians to reproduce the sensory response. In addition, NST cannot determine the exact site of injury or delineate the anatomy for presurgical planning.7,10 MR neurography (MRN), an imaging dedicated to the peripheral nerves, provides a noninvasive map of neuromuscular anatomy and resolves the intraneural architecture in multiple orthogonal planes.11⇓⇓–14
Clinical NST for trigeminal neuropathya
Currently, there are 2 different MR imaging methods available to study peripheral nerves: anatomic MRN and diffusion-based functional MRN, particularly DTI. MRN facilitates the detection of neuropathy by showing alterations of nerve caliber and abnormal intraneural T2 signal intensity ratio (T2SIR).15 DTI aids in the functional evaluation of the intraneural pathophysiology, and altered diffusion characteristics correlate with axonal degeneration and demyelination.16⇓⇓–19 The aim of our study was to evaluate the role and reliability of MRN for the diagnosis of injuries to the PTN in patients with prior molar tooth extraction to determine its accuracy with respect to the clinical and surgical staging. Our hypothesis was that MRN can quantitatively and reliably differentiate normal from injured nerves with high accuracy and that nerve injury classification on MRN correlates with clinical NST grading and surgical findings.
Materials and Methods
This study was conducted at the University of Texas Southwestern Medical Center, Dallas, Texas, after institutional review board approval following Health Insurance Portability and Accountability Act guidelines. Informed consent was waived because of the retrospective nature of this study.
Patient Population
A retrospective review of charts of a consecutive series of 55 patients who were imaged with MRN for suspected PTN neuropathies over a 27-month period (January 2015 to March 2017) revealed 24 cases referred for clinically suspected PTN injury after molar tooth extraction. All 24 patients exhibited NST evidence of injury of the IAN or LN and were referred from the institutional oral and maxillofacial surgery clinic. Others (31 patients) were referred for PTN injuries after dental or chin implants, teeth filling, or the extraction of maxillary or mandibular tumors and were not included in the final study sample. The control group consisted of 18 consecutive patients referred for suspected occipital neuralgia with no symptoms of trigeminal neuralgia, recent tooth extraction, facial pain, or previous oral/maxillofacial surgery. Patient demographics (age, sex) and laterality of the injury were recorded. The Sunderland class of nerve injury (Table 2) was prospectively documented by an experienced oral and maxillofacial surgeon as standard of care by using clinical and NST findings.8,18 The patients who were not specifically stratified into 1 Sunderland class were recorded as indeterminate, and patients who could not be clinically tested for various reasons (eg, severe pain or inability to open the mouth in acute injury) were considered as unclassified for the purpose of the research study. Final Sunderland classification based on surgical findings was used for correlation with MRN and NST findings.
Criteria for stratifying of nerve injuries on MRN and surgery based on Sunderland classification
Image Acquisition
From a total of 42 patients, 19 were imaged on 1.5T scanners (Avanto; Siemens, Erlangen, Germany), and 23 were imaged on 3T scanners (Achieva or Ingenia; Philips Healthcare, Best, the Netherlands). All patients were scanned supine in a multichannel head coil. Multiple pulse sequences were acquired by using the institutional MRN protocol (On-line Table 1), but only the 3D reversed fast imaging with steady state precession (PSIF) images were reviewed for study purposes.11
Image Interpretation and Analysis
All scans were prospectively reported by an experienced, fellowship-trained radiologist as part of routine patient care. Neuropathy was determined based on various qualitative (increased nerve T2 signal and perineural fibrosis) and quantitative (caliber alterations) criteria. Findings were confirmed on multiple sequences (T1, T2 fat-suppressed, PSIF, and DTI). A Sunderland classification was given to each nerve injury by using the qualitative criteria as described in Table 2 (Figs 1 and 2). When a single class could not be determined based on MRN (eg, report stated “Sunderland class III/IV or class IV/V injury”), the case was classified as indeterminate (On-line Table 2). All information was extracted from the formal reports and recorded for comparison with clinical NST and surgical findings.
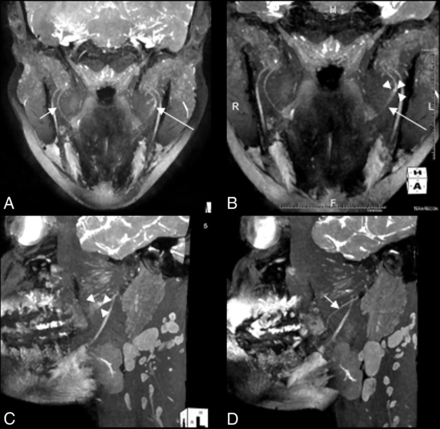
A, MIP coronal 3D PSIF image showing class II injury to the right IAN with mild increase in caliber (less than 50% of the left) and signal intensity of the right IAN (long arrow) in comparison with a normal left inferior alveolar nerve (short arrow). B, Sagittal reconstruction MIP 3D PSIF image showing increase in caliber and signal intensity of the right IAN (long arrow) proximal to injury site (arrowhead). C, Normal uniform caliber and signal intensity of the left IAN (short arrow).
A and B, MIP 3D coronal PSIF images show a hyperintense left LN (long arrow) with a 3-mm neuroma in continuity (demarcated by 3 arrowheads) compatible with class IV injury. C and D, Sagittal reconstructions show the abnormal left LN neuroma (demarcated by 3 arrowheads) compared with a normal right LN (short arrow).
Nerve Measurements on MRN
Coronal 3D PSIF images were chosen to perform measurements on because they produce nerve-selective imaging.20 Two readers with 20 and 5 years' experience in radiology, respectively, independently performed the measurements after a training set of 6 scans that included both case and control patients. The readers were blinded to the clinical history or prior MRN report. For the control group, a predefined bony landmark was used to identify both nerves for measurement. The midmandibular canal was chosen because the midlingual nerve can be easily identified medial to the medial cortex of the mandibular ramus, and the IAN lies within the bony mandibular canal (Fig 3A). Nerve thickness was recorded by measuring the maximum transverse dimension of the IAN in the midmandibular canal and the LN in its midcourse. T2 signal intensity was recorded in the same area by drawing a freehand ROI on each nerve (Fig 3B). In patients who underwent tooth extraction (the study group), the measurements were performed at the site of the most visible abnormality of the affected nerve. This was followed by calculation of T2SIR (SI nerve ÷ √SI nerve)21 and CNR (SI nerve − SI pterygoid muscle ÷ √SI nerve) for each nerve in both groups. All data points, measurements, and calculations were recorded on a spreadsheet for data analysis.
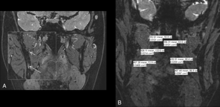
Coronal 3D PSIF images showing A, localization of the site of the LN and IAN (short and long arrows, respectively) and B, signal intensity measurements on both sides.
Clinical and Surgical Classification
NST was performed by the same experienced oral and maxillofacial surgeon. Thirteen of 24 patients from this group underwent surgery of 13 nerves, and injuries were graded intraoperatively by using the Sunderland classification criteria in Table 2 (Fig 4). Unclassified nerve injuries or indeterminate findings on NST and intraoperatively were recorded (On-line Table 2).
A, MIP 3D PSIF coronal image shows class IV/V injury of the left LN with excessive granulation and possible discontinuity of its distal end (long arrow). B, On surgery, it was also called class IV/V injury (arrow) with excessive scarring and granulation tissue and was resected. The final gap was 16 mm (C) and an allograft was placed for nerve reconstruction.
Statistical Analysis
Descriptive statistics were used for the demographic data and Sunderland classifications on NST and MRN. Differences in sex and/or scanner between case and control patients were assessed by using the Fisher exact test, and the differences in median age and image measurements in case versus control patients were tested by using the Wilcoxon rank sum test. Area under the curve was calculated by using receiver operating characteristic for MRN accuracy in the detection of neuropathy. A κ analysis was performed to test correlations of Sunderland classification on independently performed NST, MRN, and surgical classifications in the group of cases (Fig 5). The Pearson correlation coefficient was used to investigate the association of differences in thickness between normal and injured nerves. Interobserver performance was assessed by using intraclass correlation coefficients. Agreement was classified as excellent (> 0.80), good (0.61–0.80), moderate (0.41–0.60), fair (0.20–0.40), and poor (< 0.20). Type I error was set at .05. R 3.3.2 (http://www.r-project.org/) and SAS 9.4 (SAS Institute, Cary, North Carolina) were used for statistical analysis.
κ correlations for A, MRN versus NST and B, MRN versus surgical classifications.
Results
Patient Population
Forty-two subjects were included in the final sample. Mean ± SD age of the case group with 24 patients was 35.8 ± 10.2 years, with a male-to-female ratio of 1:1.4. Mean ± SD age of the control group was 43.2 ± 11.5 years, with a male-to-female ratio of 1:5. Eight case group subjects and 11 controls were scanned on 1.5T scanners, and 16 case group subjects and 7 controls were scanned on 3T scanners. No significant difference was found in the distribution of sex or scanner between case and control groups (P = 1 for both sex and scanner for IAN; P = .08 for sex in LN and .18 for scanner in LN). No significant difference was found in the median age between case and control groups (P = .20 for IAN and P = .06 for LN).
Classification of Nerve Injuries on NST, MRN, and Surgery
In the case group, 25 nerve injuries were found in 24 patients (1 patient had both IAN and LN injuries). Eighteen were LN injuries (7 right and 11 left) and 7 were IAN injuries (3 right and 4 left). Sunderland classifications by NST included 2 class II, 2 class III, 4 class IV, and 1 class V injury (On-line Figure). Fourteen nerve injuries were indeterminate, and 2 were not classified. Sunderland classifications by MRN included 6 class II, 2 class III, 9 class IV, and 5 class V injuries, respectively. Three nerve injuries were indeterminate (On-line Table 2). Sunderland classifications on MRN were congruent with NST in 6 cases, upstaged in 9 cases and downstaged in 8 cases. Two cases that could not be classified on NST received a class on MRN. Thirteen of 24 patients underwent surgery for 13 nerve injuries. Sunderland classification on surgery included 2 class III, 7 class IV, and 3 class V injury. One was indeterminate when the surgeon could not decide between class IV and V injury, similar to MRN. Sunderland classifications on MRN were congruent with surgery in 10 cases and downstaged in 3 cases. No cases were upstaged. Assuming 1 nerve abnormality per patient (when classification was undetermined, the lower class was accepted), this study showed κ of 0.57 and 0.4 between MRN and NST classifications (Fig 5A) and MRN and surgical classifications (Fig 5B) with class IV and V combined, respectively.
Nerve Measurements on MRN
Bilateral IAN and LN measurements were performed. From a total of 168 nerves, nerve thickness and SI were measured in a total of 122 nerves. Ninety-seven nerves were normal (72 nerves bilaterally in the control group and 25 contralateral normal nerves in the case group) and 25 were abnormal. Forty-six nerves were excluded from the case group because a regional postsurgical inflammatory response may affect the other nerve(s) and confound the results. Mean ± SD of difference in thickness of IANs and LNs was 0.60 ± 0.33 mm and 0.87 ± 0.34 mm for the case group versus 0.22 ± 0.20 mm and 0.11 ± 0.12 mm for control patients, respectively (Table 3). The case group had significantly larger differences (P = .01 and .0001 for IAN and LN, respectively) of nerve thickness versus controls. Mean ± SD difference in T2SIR in IAN and LN was 3.15 ± 1.91 and 4.58 ± 3.40 × 10−3 mm2/s, respectively, in the case group and 1.34 ± 1.09 and 1.92 ± 1.51 × 10−3 mm2/s, respectively, in control patients (P = .012 and .005 for IAN and LN, respectively). On comparison of CNR for case and control patients, the mean ± SD difference in CNR in IAN and LN was 6.53 ± 4 and 6.93 ± 4.89 × 10−3 mm2/s, respectively, in the case group and 2.2 ± 1.89 and 3.37 ± 3.81 × 10−3, mm2/s, respectively, in controls (P = .01 for both IAN and LN) (Fig 6). The area under the curve revealed accuracy of 0.83–0.84 for IAN by using CNR, T2SIR, and thickness. For LN, the area under the curve revealed accuracy of 0.77–0.78 for CNR and T2SIR, whereas it was 0.99 for nerve thickness (Fig 7). Interobserver agreement was good for IAN (intraclass correlation coefficient, 0.70–0.79) and good to excellent for LN (intraclass correlation coefficient, 0.75–0.83) (On-line Table 3). The Pearson correlation coefficients were 0.68 and 0.81 for nerve injury classifications between MRN and NST (Fig 8A) and MRN and surgery (Fig 8B), respectively (P = .0006 and .0004, respectively).
Differences in thickness, T2SIR, and CNR among the case and control groups
Differences in thickness, T2SIR, and CNR among the case and control groups.
ROC curves for A, IAN and B, LN.
Correlations between differences in nerve thickness on MRN versus NST (A) and surgery (B).
Discussion
The face is the fourth most common chronic pain site, contributing to substantial annual health care costs.22 Molar tooth extractions result in facial and jaw pain caused by iatrogenic PTN injury and account for 60% of all nerve injuries of the jaw.4 Persistent nerve damage results in disabling neuropathic pain and substantial oral dysfunction.23 Early diagnosis and timely management are essential for both improved patient outcomes and prognosis. The postoperative outcomes have been shown to be negatively affected by older age, delayed treatment (>3–6 months after injury), and a larger nerve gap.10,24 The current diagnostic strategy of using NST as the criterion standard is limited. The subjective NST result delays the treatment of higher-class injury (patients who need surgical repair) and does not delineate the anatomy and exact location of injury for preoperative planning.9
The 3D PSIF sequence on MRN depicts the small PTN branches in their entirety because of vascular signal suppression and superior resolution (0.9 mm isotropic) (Figs 1⇑–3).11,20 In addition, findings of nerve injury, such as increased intraneural signal and alteration of the nerve caliber, are more conspicuous.25 Similar to earlier studies on peripheral extremity nerves,26 this study establishes that increased T2SIR can accurately diagnose nerve injury in the setting of neuropathy-related molar tooth extraction. Previous studies have shown correlation between changes in T2SIR and electrophysiology of the injured nerve.16,17,19 Similar to results reported by Baumer et al,26 the study confirms that alterations of nerve caliber can be accurately used to diagnose neuropathy. Thus, increased T2SIR and caliber of the injured nerve can be used as surrogate quantitative imaging markers for neuropathy.
Nerve injury stratification on imaging by using Sunderland classification has not been scientifically studied before. It is easy to identify a focal neuroma in continuity and complete transection with the nerve gap qualitatively. This study, in addition, has shown that using nerve thickness differences to classify nerve injuries in a quantitative manner is prudent and accurate. The measurements showed good to excellent interreader reliablity and there were good to excellent correlations with NST and surgery classifications when using nerve thickness differences. Thus, MRN can be used in practice to stratify nerve injuries.
When comparing Sunderland classifications on different modalities, NST was indeterminate in 56% (14/25), MRN was indeterminate in 12% (3/25), and surgery was indeterminate in 8% (1/13) of nerve injuries. MRN also detected 2 nerve abnormalities (IAN and LN) in 1 case where NST recorded only 1. Thus, MRN can provide incremental value over the current reference standard, NST. This result is not unexpected considering that MRN provides a more objective tool for 3D depiction of the nerve injury and can create a presurgical map for the surgeon.
The study has some limitations, including small sample size, retrospective nature, and differences among sex and age distribution between the case and control groups. These were unavoidable as we attempted to study a specific homogeneous group of patients compared with a previously published study in this domain.27 Our controls were not healthy patients, but we made sure that none of them had symptoms, clinical findings, or surgery in the area of PTN. We did not evaluate other sequences, such as T1-weighted imaging for perineural scarring as it is difficult to evaluate the small nerve on T1-weighted images. We did not assess diffusion metric differences because of reproducibility issues with DTI. Finally, the same surgeon who documented NST results performed the final surgery, and not all patients underwent surgery because of various reasons.
In the future, the study can be performed in a larger sample and in a prospective fashion to address the above described limitations. In addition, the role of quantitative MRN imaging markers of nerve injury can be evaluated in determining patient outcomes and prognosis.
Conclusions
MRN is reliable and accurate for the diagnosis of PTN injuries related to molar tooth extractions, with good to excellent correlation of imaging findings with clinical findings and surgical results.
Footnotes
Disclosures: John Zuniga—UNRELATED: Consultancy: AxoGen, Comments: consultant for products application of nerve allografts. Avneesh Chhabra—UNRELATED: Consultancy: Icon Medical; Royalties: Jaypee Wolters.
References
- Received May 2, 2017.
- Accepted after revision September 4, 2017.
- © 2018 by American Journal of Neuroradiology