Abstract
SUMMARY: Adult-onset leukoencephalopathy with axonal spheroids and pigmented glia is an autosomal dominant leukoencephalopathy related to CSF1R gene mutations. A growing number of clinicoradiologic phenotypes have been described. In this study, we analyzed brain imaging findings in 16 patients with adult-onset leukoencephalopathy with axonal spheroids and pigmented glia to refine radiologic diagnostic clues. T2/FLAIR white matter hyperintensities were present in all patients with frontal or frontoparietal predilection, with asymmetric distribution in more than one-third. Brain atrophy and callosal involvement were almost constant, and corticospinal tract involvement was frequent. Moreover, deep white matter hyperintense dots on DWI and deep punctate calcifications on CT were often found. Conversely, deep gray matter nuclei, external capsules, and brain stem were rarely involved. Our series emphasized the great variability of MR imaging findings seen in adult-onset leukoencephalopathy with axonal spheroids and pigmented glia. A complete imaging screening including DWI, T2*, and CT is mandatory to accurately assess patients with suspected inherited adult-onset leukoencephalopathy.
ABBREVIATIONS:
- ALSP
- adult-onset leukoencephalopathy with axonal spheroids and pigmented glia
- FTLD
- frontotemporal lobar degeneration
- WMH
- white matter hyperintensities
Adult-onset leukoencephalopathy with axonal spheroids and pigmented glia (ALSP) is an autosomal dominant leukoencephalopathy related to heterozygous mutations in the colony stimulating factor 1 receptor (CSF1R) gene.1 To date, >50 CSF1R mutations and multiple clinicoradiologic phenotypes have been described.2 ALSP is increasingly recognized as one of the most common causes of adult-onset inherited leukoencephalopathy.3 ALSP diagnosis is still challenging because of the multiple presentations that can mimic frontotemporal lobar degeneration (FTLD), atypical parkinsonism, CADASIL, or primary-progressive MS.1,3⇓–5 Indeed, initial descriptions of ALSP included late-onset psychiatric and cognitive impairment with MR imaging frontal white matter changes and atrophy. Following the genetic characterization of the disease, more distinctive imaging findings have been identified, including deep punctate calcifications, persistent DWI small diffusion-restricted lesions, and corpus callosum thinning.6⇓–8 In this study, we analyzed imaging findings in 16 patients with genetically confirmed ALSP to refine imaging characteristics and improve its diagnostic rate.
Case Series
Sixteen patients with ALSP (9 women, 7 men) from 10 unrelated families were identified in 7 neurologic centers. Five patients had a longitudinal MR imaging evaluation. T1WI, T2WI, and FLAIR were available for all patients. T1WI with gadolinium contrast medium (n = 6), DWI (n = 8), and T2* (n = 8) were available for some patients. Six patients had a brain CT. Seven patients have been previously described.3,4,9,10
Clinical and Genetic Findings
Thirteen patients had a positive family history of ALSP (Table 1). The mean age of onset was 45.8 years (range, 28–60 years). Initial symptoms included cognitive impairment (44%), psychiatric symptoms (19%), parkinsonism (19%), gait ataxia (19%), apraxia (13%), speech problems (13%), and motor dysfunction (6%). Nine different pathogenic CSF1R mutations were identified, including 5 previously reported mutations. All mutations involved the CSF1R tyrosine kinase domain with no overt correlation between mutations and the patient's phenotypes or MR imaging findings.
Clinical and genetic findings
Imaging Findings
White Matter Hyperintensities.
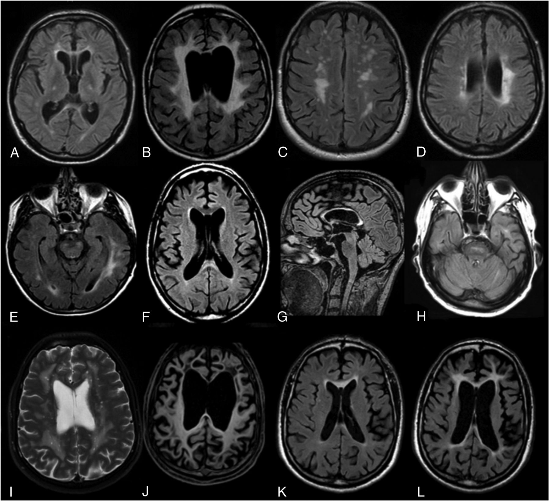
The mean delay between symptom onset and MR imaging was 2.0 years (range, 0.5–5 years). Bilateral, predominantly frontal and parietal T2/FLAIR white matter hyperintensities (WMH) associated with T1 hypointensities were present in all patients, even if they were subtle in some patients (Fig 1A and Table 2). Temporal and occipital abnormalities were observed in, respectively, 69% and 50% of the cases. WMH were confluent in 63% (Fig 1B) and patchy in 37% (Fig 1C), and a clear asymmetry was seen 37% of the patients (Fig 1D).
Characteristic MR imaging abnormalities in patients with ALSP on FLAIR (A–H, K, L), T2WI (I), and T1WI (J) images. MR imaging usually discloses subtle (A) or marked (B) white mater hyperintensities with frontal predilection (B). WMH can be confluent (B) or patchy (C) and are usually asymmetric (D). Corticospinal tract involvement (A and E) and corpus callosum involvement (F and G) are frequent. At the posterior fossa level, WMH can be of a vascular-like type (H). Some patients can present with enlarged perivascular spaces on T2WI (I). T1WI frequently reveals atrophy, usually marked, with frontal predominance (J). During a 32-month follow-up (case 8), a clear increase of WMH and atrophy is seen (K and L). A cavum septum pellucidum is frequently observed (A and B).
Neuroimaging findings
Pyramidal tract hyperintensities were noted in 63% of the patients (Fig 1A, -E), with an involvement of the internal capsules in 10 and of the brain stem in 3. Three patients had spinal cord MR imaging; findings were always normal. Corpus callosum abnormalities were almost always present with hyperintensities in 81% (Fig 1F) and atrophy in 88% of cases (Fig 1G). Deep gray matter nuclei and external capsules were involved in, respectively, 13% and 44% of patients. Posterior fossa hyperintensities were seen in 37% of the patients: Half of these patients had pontine vascular-like lesions (Fig 1H). The cerebellum was always spared. Enlarged perivascular spaces were seen in 25% of patients (Fig 1I).
Atrophy.
Brain atrophy was almost constant (94%), and 4 patients had marked atrophy (Fig 1J). It was usually more pronounced in patients with diffuse WMH and predominated in the frontal (40%) or frontoparietal (53%) areas.
DWI and Calcifications.
Multiple small deep white matter DWI diffusion-restricted lesions were observed in 6 of 8 patients, including 4 with a restriction of the apparent diffusion coefficient (Fig 2). On CT, calcifications were found in 4 of 6 patients (Fig 3), but they were not identified with T2* imaging.
Typical DWI in ALSP. Persistent deep white matter diffusion-restricted lesions (A–C) with corresponding low ADC values (D–F) are found.
Small calcifications in ALSP. CT images reveal punctate calcifications located in the subcortical parietal WM and the periventricular frontal WM (A–C). Sagittal reconstruction shows the typical stepping stone distribution (D).
Other Features.
None of the 6 patients with contrast MR imaging showed gadolinium enhancement. Ventricular abnormalities, including cavum septum pellucidum and/or cavum vergae (Fig 1A, -B), were seen in 50% of the patients. Five patients (cases 7, 8, 11, 14, and 15) had an MR imaging follow-up after a mean of 15.3 months (range, 5–32 months): Supratentorial WMH worsened in all patients (Fig 1K, -L), usually associated with marked brain volume loss.
Discussion
Our series emphasizes the great variability of MR imaging findings seen in ALSP. Likewise, only 44% of our patients corresponded to the initial description (before the era of genetic screening) of patients with ALSP with cognitive impairment and psychiatric symptoms associated with marked frontoparietal hyperintensities and atrophy.11 FTLD is one of the main differential diagnoses of ALSP, though WMH are rarely seen in FTLD, with the exception of patients with GRN mutations.12 Recent data suggest that patients can also be misdiagnosed as having inflammatory disorders or vascular leukoencephalopathies.5,13,14 In our series, inflammatory diseases (primary-progressive MS and celiac disease–related CNS lesions) were initially suspected in 2 patients, and a vascular leukoencephalopathy, in 3. In patients who had MR imaging with patchy and sometimes periventricular lesions like those potentially seen in MS, in the absence of CSF oligoclonal bands and in patients with a rapid worsening of disability, ALSP should be suspected. In these cases, absence of typical periventricular Dawson finger lesions, marked corpus callosum atrophy, and persistent DWI hyperintensities and CT microcalcifications should be sought and, if present, should warrant CSF1R gene sequencing.
WMH, as previously described, always involved frontal and parietal white matter, but temporal and occipital involvement (though usually mild) was also common, respectively, in 69% and 50% of the cases compared with <20% in previous studies.7,8 Moreover, the “patchy” pattern frequently observed in ALSP is rarely seen in other adult-onset leukoencephalopathies and usually suggests an inflammatory or vascular (acquired or inherited) etiology.5 Finally, asymmetric hyperintensities are rarely reported in inherited white matter disorders. Besides ALSP, they have been mainly described in AARS2-related leukoencephalopathy, retinal vasculopathy with cerebral leukoencephalopathy, Alexander disease, and leukoencephalopathy with calcifications and cysts.7,15,16 Our data confirmed that asymmetric lesions are present in ALSP (37%), and a recent series reported an even higher occurrence of asymmetric WMH (90%).7
Deep small white matter DWI diffusion-restricted lesions, often associated with a restriction on an ADC map, were found in 6/8 patients. They are characteristic of the disease because they have only been reported in ALSP (two-thirds of the patients) and in AARS2-related leukoencephalopathy (100%).2,7,14,17 As previously described, our single patient with serial MR imaging and DWI sequences had persistent b=1000 hyperintensities.7,17 Other series have suggested that small calcifications with a stepping stone distribution were characteristic of the disease, but their frequency has not been reported to date.6,18 Here, we found calcifications in 4/6 patients who had undergone CT, stressing that they are likely frequent in ALSP. Of note, none of our patients with calcifications on CT had identifiable T2* hypointensities.
Atrophy (88%) and/or hyperintensities (81%) were frequently seen in the corpus callosum. In some patients, the corpus callosum was markedly involved, despite very subtle white matter abnormalities.19 Conversely, deep gray matter nuclei (13%) and the external capsule (44%) were rarely involved. Accordingly, such features in patients with patchy WMH, along with the absence of T2* microbleeds, help distinguish acquired or inherited vascular leukoencephalopathy from ALSP.7,8,20 Similarly, of the 6 patients with pontine hyperintensities, only 3 had lesions suggestive of a vascular origin, whereas the other patients had corticospinal tract hyperintensities.
Altogether, this series emphasized the striking variability of MR imaging patterns in ALSP, suggesting that to date, this condition is probably markedly underestimated. Moreover, in patients suspected of having inherited leukoencephalopathy, we confirmed that an asymmetric distribution of WMH, persistent DWI hyperintense white matter diffusion-restricted lesions, and punctate calcifications are highly suggestive of ALSP. Likewise, a complete imaging screening, including DWI, T2*, and CT, is key to accurately assess patients suspected of having inherited adult-onset leukoencephalopathy. The early detection of CSF1R-related leukoencephalopathy is even more critical because hematopoietic stem cell transplantation may be a promising therapy for patients and their at-risk relatives.21
Footnotes
Serge Lumbroso and Pierre Labauge contributed equally as last authors.
Disclosures: Fanny Mochel—UNRELATED: Consultancy: Ultragenyx Pharmaceuticals, Comments: expert at investigator meetings for Phase 3 study; Expert Testimony: Haute Autorité de Santé, Comments: expert opinion on an Orphan drug for a rare neurometabolic disease; Grants/Grants Pending: Programme Hospitalier de Recherche Clinique, Direction Générale de l'Offre de Soins, Ultragenyx, Comments: clinical trial: NCT02336633, clinical trial: NCT02639871, clinical trial: NCT02453061*; Patents (Planned, Pending or Issued): EP1929995 A1. Serge Belliard—UNRELATED: Board Membership: Lilly, Comments: board for development of antiamyloid treatments. Cecilia Marelli—UNRELATED: Payment for Development of Educational Presentations: Actelion Pharmaceuticals; Travel/Accommodations/Meeting Expenses Unrelated to Activities Listed: Nutricia Metabolics. Yann Nadjar—UNRELATED: Grants/Grants Pending: Leadiant and Retrophin, Comments: financial support for clinical studies about cerebrotendinous xanthomatosis from 2 pharmaceutical companies*; Payment for Lectures Including Service on Speakers Bureaus: lectures about Fabry disease (from Amicus Therapeutics) and dementias from inherited metabolic disease (from Orphan Europe); Payment for Manuscript Preparation: from Orphan Europe, concerning a manuscript about MTHFR deficiency*; Patents (Planned, Pending or Issued): from Orphan Europe, to develop a Web site concerning neurometabolic diseases. *Money paid to the institution.
The research leading to these results has received funding from the program “Investissements d'avenir” ANR-10-IAIHU-06. This work was funded by the PHRC (Programme Hospitalier de Recherche Clinique) FTLD exome (promotion Assistance Publique–Hôpitaux de Paris to I.L.B.).
Indicates open access to non-subscribers at www.ajnr.org
References
- Received January 28, 2018.
- Accepted after revision May 1, 2018.
- © 2018 by American Journal of Neuroradiology










