Abstract
BACKGROUND AND PURPOSE: Large intracranial vessel occlusion due to calcified emboli is a rare cause of major stroke. We assessed the prevalence, imaging appearance, the effectiveness of mechanical thrombectomy, and clinical outcome of patients with large-vessel occlusion due to calcified emboli.
MATERIALS AND METHODS: We performed a retrospective analysis of clinical and procedural data of consecutive patients who underwent mechanical thrombectomy due to calcified emboli in 7 European stroke centers.
RESULTS: We screened 2969 patients, and 40 patients matched the inclusion criteria, accounting for a prevalence of 1.3%. The mean maximal density of the thrombus was 327 HU (range, 150–1200 HU), and the mean thrombus length was 9.2 mm (range, 4–20 mm). Four patients had multiple calcified emboli, and 2 patients had an embolic event during an endovascular intervention. A modified TICI score of ≥2b was achieved in 57.5% (23/40), with minimal-to-no reperfusion (modified TICI 0–1) in 32.5% (13/40) and incomplete reperfusion (modified TICI 2a) in 10% (4/40). Excellent outcome (mRS 0–1) was achieved in only 20.6%, functional independence (mRS 0–2) in 26.5% and 90-day mortality was 55.9%.
CONCLUSIONS: Acute ischemic stroke with large-vessel occlusion due to calcified emboli is a rare entity in patients undergoing thrombectomy, with considerably worse angiographic outcome and a higher mortality compared with patients with noncalcified thrombi. Good functional recovery at 3 months can still be achieved in about a quarter of patients.
ABBREVIATIONS:
- CLASS
- calcium load assessment
- MT
- mechanical thrombectomy
- mTICI
- modified TICI
Calcified emboli are a rare, underreported cause of ischemic stroke.1 Their prevalence has been estimated as between 2.7% and 5.9% of all patients presenting with acute ischemic stroke.1,2 Intravenous rtPA seems to be an ineffective treatment, probably due to the thrombus composition.3 Endovascular therapy has been suggested as an alternative.4 There are several case reports and case series describing endovascular treatment of calcified cerebral emboli4-11 with low recanalization rates, but due to the small number of patients, no definite recommendation has been reported. In this study, we, therefore, aimed to assess the prevalence, angiographic outcome, and treatment effects of cerebral calcified emboli in large-vessel occlusion treated by an endovascular approach in a large multicenter cohort.
MATERIALS AND METHODS
Patient Demographics
This study was approved by the ethics review board of our institution and was conducted according to the principles of the Declaration of Helsinki. Due to the retrospective character of the data collection and analysis, written informed consent was waived. The data supporting the findings of this study are available from the corresponding author, upon reasonable request.
In this retrospective multicenter study, we analyzed data prospectively collected from patients with acute ischemic stroke who met the following inclusion criteria: Intracranial thrombectomy was performed, and intracranial large-vessel occlusion due to a calcified embolus was diagnosed on unenhanced CT. A calcified embolus was defined as an oblong, not circular or semicircular, calcification with clearly intraluminal localization on CT angiography at the site of intracranial vessel occlusion. An ROI was drawn over the hyperdense thrombus, and the Hounsfield units were measured to identify emboli with a calcific component. Analogous to cardiology scoring systems, calcification was defined by a density of at least 130 HU on unenhanced CT.12 Only definite cases of calcified emboli were included. Further patient work-up, including multitechnique diagnostic imaging and treatment, was performed according to international guidelines.13 All 7 participating comprehensive stroke centers are high-volume facilities and offer interventional stroke treatment 24/7 with long-time experience in endovascular thrombectomy.14
Outcome
We obtained demographic and clinical data, including the NIHSS score and mRS on admission, discharge, and after 90 days, if available, and the presence of cardiovascular risk factors. Time metrics were evaluated, including the time of symptom onset, hospital admission, first imaging, groin puncture, and recanalization. Imaging data included the ASPECTS on admission and after 24 hours, intracranial hemorrhage classified according to the European Cooperative Stroke Study (ECASS),15 thrombus localization, length and density together with the presumed source of the embolus, and the existence of multiple calcified emboli and concomitant extracranial stenosis. Additionally, procedural data were gathered, including materials, medication during the procedure, number of passes, complications, and angiographic outcome using the modified TICI (mTICI) classification.16
To estimate the extent of atherosclerosis-associated calcification as a potential source of calcified emboli, we developed a simple qualitative scoring system termed the calcium load assessment (CLASS) score, scoring the following regions, if available, on CT angiographic images: mitral valve, aortic valve, aortic arch, brachiocephalic artery, carotid bifurcation, and vertebral artery. For the carotid bifurcation and the vertebral artery, the more severely affected side was evaluated. The calcium load at each region was classified into 0 (none), 1 (mild), 2 (moderate), and 3 (extensive). The overall CLASS score was calculated by adding the scores for each available region and then dividing the sum by the number of available regions, with a potential score ranging from 0 to 3.
Statistical Analysis
Statistical analyses were performed with R, Version 3.5.3 (http://www.r-project.org/). Baseline characteristics are presented as frequencies, mean with SD, or median and interquartile range. Univariate analyses comparing demographic- and intervention-related variables that were potentially relevant for predicting the clinical outcome and recanalization were performed.
RESULTS
Patient Characteristics
In 7 European stroke centers in Germany, Switzerland, and France, a total of 2969 patients who underwent mechanical thrombectomy (MT) were retrospectively screened. Forty patients matched the inclusion criteria, accounting for a prevalence of 1.3% in patients having undergone MT. The mean age was 77.9 ± 9.6 years (range, 56–100 years); 68% were women. The baseline patient characteristics are presented in Table 1.
Baseline patient characteristics (n = 40)
The mean NIHSS on admission was 15.4 ± 7.2; the median, 14; and the interquartile range, 11 − 20. The median initial ASPECTS was 9 (interquartile range, 7–9); 47.5% of patients received IV rtPA before the intervention.
Occlusion Site and Clot Description
Clot location in most patients was in the middle cerebral artery, with 65% in the M1 segment and 12.5% in the M2 segment; 15% had a calcified clot in the carotid T, and 7.5%, in the basilar artery. A dual pathology with additional extracranial stenosis in the ipsilateral ICA requiring treatment was found in 2 patients (5%). In both cases, extensive calcification of the bifurcation was reported.
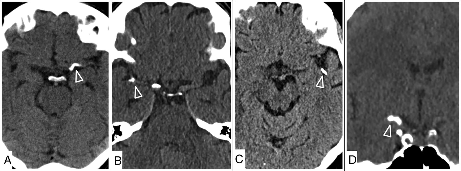
The mean maximal density of the thrombus was 327 HU (range, 150-1200 HU), and the mean thrombus length was 9.2 mm (range, 4–20 mm). The presumed source of embolization was unknown in 37.5% (15/40), cardiac in 17.5% (7/40), aortic arch in 15% (6/40), and ICA in 30% (12/40). Four patients had multiple calcified emboli, and 2 patients had an embolic event during an endovascular intervention (transcatheter aortic valve implantation and repair of an infrarenal aortic aneurysm). Extracranial calcification was most prominent at the carotid bifurcation and the aortic arch. The mean CLASS score was 1.1 (range, 0–2.5). Table 2 summarizes the occlusion site and clot properties. The Figure gives examples of intracranial calcified clots.
Examples of calcified emboli (arrowheads) in the left M1 (A), right middle cerebral artery bifurcation (B), left M2 (C), and carotid T (D).
Clot location and characteristics (n = 40)
Procedural Characteristics and Clinical Outcome
The mean duration of the procedure was 93 minutes, ranging from 23 to 250 minutes. A balloon-guide catheter was used in 15% (6/40). Distal aspiration alone or stent retrieval alone was performed in 5%, respectively. The preferred recanalization method was a combination of stent retrieval and distal aspiration in 90% (36/40). The number of retrieving maneuvers ranged from 1 to 7, with a mean value of 2.7. Successful recanalization after 1 pass was achieved in 12 cases (30%), with a combination of distal aspiration and stent retrieval in 9 cases, distal aspiration alone in 2 cases, and stent retrieval alone in 1 case. Extracranial stent placement at the ICA bifurcation was performed in only 1 patient (2.5%); percutaneous transarterial angioplasty of the extracranial stenosis, in 2 patients (5%); and intracranial stent placement after failed thrombectomy, in 2 patients (5%). An mTICI score of ≥2b was achieved in 57.5% (23/40), with mTICI 2b in 32.5% and mTICI 3 in 25%. Minimal-to-no reperfusion (mTICI 0–1) was reported in 32.5% (13/40); and incomplete reperfusion (mTICI 2a), in 10% (4/40). For 9 of the 13 patients with minimal-to-no reperfusion, 3-month follow-up was available with an mRS of 6 in 8/9 (89%) patients and mRS of 1 in 1/9 (11%) patients. The procedural data are summarized in Table 3; clinical outcome, in Table 4.
Procedural characteristics
Clinical outcome
Procedural complications were reported in 4 patients. Two patients had a vessel perforation in a lenticulostriate branch and in M3, respectively. In 1 case, the pusher wire of the stent retriever broke and had to be left in the vessel without recanalization. One patient had nasopharyngeal bleeding, most probably due to IV thrombolysis. Symptomatic hemorrhage occurred in 5.3% (2/40); only 1 of these 2 patients had received IV rtPA. The ASPECTS 24 hours after treatment ranged from 0 to 10, with a median of 5. Ninety-day clinical outcome was available in 34 patients. Excellent outcome (mRS 0–1) was achieved in only 20.1% (7/34); functional independence (mRS 0–2), in 26.5% (9/34); and 90-day mortality was 55.9% (19/34).
In univariate analysis using a dichotomized mRS at discharge or at 3 months, no parameter correlated with good outcome. A multivariate analysis was not feasible due to the small sample size.
DISCUSSION
A high intracranial calcification burden has been proposed as a marker of worse clinical outcome in patients with occlusion of the middle cerebral artery.17 Thrombus density on unenhanced CT, on the other hand, has been discussed as a potential predictor of successful recanalization,18 though available data are equivocal.19 In most publications, no distinction is made between red blood cell–rich thrombi with a hyperdense appearance on CT and truly calcified emboli, probably due to the rare occurrence and reporting of the phenomenon. In our analysis, we clearly discriminated the 2 entities via imaging criteria and thus provided the most comprehensive analysis of this subtype of stroke and its endovascular therapy so far. In our patients, good angiographic outcome (mTICI ≥ 2b) was achieved in 57.5%, which is comparable with the results of the MR CLEAN trial with a modified TICI score of 2b and 3 in 58.7%.20 The pooled data of the Highly Effective Reperfusion Evaluated in Multiple Endovascular Stroke (HERMES) Trial collaborators, however, showed a good angiographic outcome in 71%.21 Other real-world data of mechanical thrombectomy with aspiration, stent retrieval, or combined approaches demonstrate angiographic results with mTICI scores of 2b or 3 in 65%–93%,22,23 depending on the thrombectomy technique. Compared with these data, the recanalization rate in our series with calcified emboli is clearly on the lower end of the range. A potential reason might be distinct friction properties of hard calcified clots, which could lead to less adhesion to the stent retriever during mechanical thrombectomy.24
In our series, intracranial stent placement was performed in only 2 patients after 4 and 5 unsuccessful thrombectomy maneuvers, respectively. There are only limited data on intracranial stent placement after unsuccessful thrombectomy25,26 and on stent placement as a primary treatment of intracranial occlusion in acute stroke in the pre-stent-retriever era.27⇓-29 Successful recanalization with primary intracranial stent placement (mTICI 2b–3 or Thrombolysis in Myocardial Infarction 2–3) is reported in 65%–100% of patients and good clinical outcome after 30–90 days (mRS ≤2) in 40%–50% of patients. Thus, early intracranial stent placement after failed thrombectomy might be an option in patients with calcified thrombi. In our patients, however, stent placement as a last resort did not lead to good outcomes in either patient.
In our cohort, good clinical outcome after 90 days with an mRS of ≤2 was achieved in only 26.4%, compared with 46% in the HERMES data and 55.3% in the Trevo Registry.23 A 55.9% mortality rate at 90 days in our cohort was dismal compared with 15.3% reported by the HERMES collaborators and 13.9% by the Trevo Registry. A potential reason for the worse clinical outcome in our cohort might be the older patient age, with a mean age of 78 years compared with 68 years in the HERMES data and Trevo Registry, though age does not seem to be associated with lower recanalization rates in patients with acute ischemic stroke undergoing endovascular therapy.30,31 In a recent meta-analysis that included HERMES data, only 27% of patients 80 years of age or older achieved a good functional outcome, while 34% of patients died.32 Successful recanalization was achieved in 78% in this analysis in contrast to 58% in our cohort. The combination of lower recanalization rates and patient age may explain the higher mortality in our group.
The extent of arteriosclerosis as measured with the CLASS score did not correlate with procedural time, number of passes, and angiographic or clinical outcome. Surprisingly, there was no significant correlation between procedural time or the number of passes and outcome, though this was probably due to the small sample size.
In our patient population, the administration of IV rtPA did not lead to a better outcome or to a higher complication rate. The dissolution of calcification within an embolus by rtPA is unlikely.33 The calcified material, however, could be associated with fibrin-rich thrombus and thus respond to rtPA.34 Therefore, the complete rejection of rtPA for calcified emboli cannot be recommended on the basis of our data.
There are several limitations to our study. First, this was a retrospective analysis during 6 years with only a limited number of patients, yet it represents the largest cohort of patients undergoing thrombectomy due to calcified thrombi to date. Statistical analysis, however, is severely limited due to the small sample size, and we have no histopathologic data due to the retrospective nature of this study. Additionally, we included only definite cases of calcified emboli. Because there is an obvious overlap with intracranial atherosclerotic disease due to the calcific components, the number of unreported cases might be even higher. Furthermore, no information is available on patients with calcified emboli and large-artery occlusion not undergoing thrombectomy, so the outcome of all patients with calcified emboli—treated or not—might be even worse. Second, a control group is lacking, and the recanalization rates and clinical outcome can be compared with only similar published cohorts. Third, our study had a multicenter design with different logistic and procedural standards in each institution. Nevertheless, the thrombectomy strategy was similar in all institutions, with a combination of stent retrieval and large-bore distal aspiration catheter as a first-line approach.
CONCLUSIONS
Acute ischemic stroke with large-vessel occlusion due to calcified emboli is a rare entity in patients undergoing thrombectomy, with a higher age on average. These patients have a considerably worse angiographic outcome and a higher mortality rate compared with patients with noncalcified thrombi. Good functional outcome can be expected in approximately 1 in 4 patients.
Footnotes
Disclosures: Christoph J. Maurer—UNRELATED: Grants/Grants Pending: MicroVention, Stryker, Comments: educational grants. Ansgar Berlis—UNRELATED: Consultancy: proctoring MicroVention, Stryker, Medtronic; Payment for Lectures Including Service on Speakers Bureaus: Penumbra; Other: Clinical Ethics Committee phenox, Comments: Money paid to the individual. Jan Gralla—RELATED: Grant: Medtronic, Comments: Global Principal Investigator of the Swift Direct Study*; Fees for Participation in Review Activities Such as Data Monitoring Boards, Statistical Analysis, Endpoint Committees, and the Like: Penumbra, Comments: CEC of the Promise Study*; UNRELATED: Grants/Grants Pending: Schweizerischer Nationalfonds, Comments: MRI in stroke.* Markus A. Möhlenbruch—UNRELATED: Consultancy: Medtronic, MicroVention, Stryker; Grants/Grants Pending: Balt, MicroVention*; Payment for Lectures Including Service on Speakers Bureaus: Medtronic, MicroVention, Stryker. Kristine A. Blackham—UNRELATED: Consultancy: Medtronic.* Philipp Zickler—UNRELATED: Consultancy: Boehringer-Ingelheim; Payment for Lectures Including Service on Speakers Bureaus: Bristol-Myers-Squibb; Travel/Accommodations/Meeting Expenses Unrelated to Activities Listed: Bayer AG, Daiichi Sankyo. Sebastian Fischer—UNRELATED: Consultancy: MicroVention, phenox, Kaneka, Stryker.* *Money paid to the institution.
References
- Received October 5, 2019.
- Accepted after revision December 23, 2019.
- © 2020 by American Journal of Neuroradiology