Abstract
BACKGROUND AND PURPOSE: The ability of the ivy sign on contrast-enhanced T1-weighted MR imaging (CEMR) to reflect cerebral perfusion and postoperative revascularization in Moyamoya disease remains largely unknown. We aimed to compare the capabilities of CEMR and FLAIR.
MATERIALS AND METHODS: CEMR, FLAIR, arterial spin-labeling, and DSA were performed in 44 patients with Moyamoya disease. The ivy sign was scored separately on CEMR and FLAIR using the Alberta Stroke Program Early CT Score. The status of leptomeningeal collaterals was scored on DSA. The postoperative Matsushima grade was evaluated at least 3 months after surgical revascularization.
RESULTS: Scoring of the ivy sign on CEMR showed excellent interrater reliability, and FLAIR vascular hyperintensity showed moderate interrater reliability. Correlation analyses revealed that DSA scores were more consistent with the CEMR-based ivy sign score (r = 0.25, P = .03) than with FLAIR vascular hyperintensity (r = 0.05, P = .65). The CEMR-based ivy sign score was significantly correlated with CBF in late-Suzuki stage Moyamoya disease (t = −2.64, P = .02). The CEMR-based ivy sign score at baseline was significantly correlated with the postoperative Matsushima grade (r = 0.48, P = .03).
CONCLUSIONS: In this study, CEMR outperformed FLAIR in capturing the ivy sign in Moyamoya disease. In addition, the CEMR-based ivy sign score provided adequate information on hemodynamic status and postoperative neovascularization. The current study suggested that CEMR could be considered as an alternative to FLAIR in future studies investigating leptomeningeal collaterals in Moyamoya disease.
ABBREVIATIONS:
- CEMR
- contrast-enhanced T1-weighted MR imaging
- FVH
- FLAIR vascular hyperintensity
- MMD
- Moyamoya disease
- PCA
- posterior cerebral artery
- EDAS
- encephaloduroarteriosynangiosis
- FOV
- field of view
Moyamoya disease (MMD) is an uncommon cerebrovascular disease characterized by chronic progressive occlusion of the terminal portion of the internal carotid artery and its main branches within the circle of Willis.1,2 In MMD, the perfusion of brain tissue originates from the narrowed ICA, basal moyamoya vessels, leptomeningeal collaterals derived chiefly from the posterior circulation, and transdural collaterals from the external carotid arteries. As MMD progresses, leptomeningeal collaterals remain some of the most important sources of blood supply.
Leptomeningeal collateral flow appears as high signal intensity in the subarachnoid space on contrast-enhanced T1-weighted MR imaging (CEMR) and FLAIR images. Because of its characteristic appearance (resembling ivy creeping on stone), this radiologic sign is known as the ivy sign.3 On CEMR, the ivy sign is manifested as leptomeningeal enhancement, which can decrease after bypass surgery, supporting the hypothesis that the enhancement represents the fine vascular network over the pial surface.4 Another imaging feature characterizing the ivy sign, namely, FLAIR vascular hyperintensity (FVH), has been extensively studied, especially in acute ischemic cerebrovascular diseases. In recent years, FVH has been introduced into MMD studies and was reported to be related to clinical severity and hemodynamic status in prior literature.5,6 However, a previous study reported that the ivy sign was captured better by CEMR than by FLAIR,7 raising questions of whether CEMR outperforms FLAIR as a quantitative reflection of leptomeningeal collaterals for estimating cerebral perfusion and predicting the status of postoperative neovascularization in MMD.
In this study, we compared the ability of CEMR and FLAIR to quantify the leptomeningeal ivy sign using DSA as a reference. We further evaluated the ability of the CEMR-based ivy sign score to reflect deficient perfusion in MMD and predict the postoperative Matsushima grade.
MATERIALS and METHODS
Patients
This study was approved by the institutional ethics committee and registered as a clinical trial (NCT03785171). Written informed consent was obtained from each patient or his or her legally authorized representative.
From September 2018 to February 2019, this cross-sectional, prospective study enrolled 44 adult patients who were diagnosed with MMD according to the Japanese guidelines published in 2012, with the exclusion of moyamoya syndrome.2 All patients received MR imaging and DSA examinations at baseline (DSA was performed within 2 weeks after MR imaging examination). Encephaloduroarteriosynangiosis (EDAS) was performed in 34 patients (57 hemispheres) within 2 weeks after DSA examination. At least 3 months after surgery, 12 patients (21 hemispheres) again underwent DSA examination (the other patients had not met the 3-month requirement before the data were analyzed). The exclusion criteria were as follows: 1) massive cerebral infarction or hemorrhage that could not be evaluated by MR imaging; 2) patients who had previously undergone bypass surgery with direct or indirect revascularization (indirect revascularization consists of encephalomyosynangiosis, EDAS, and encephaloduroarteriomyosynangiosis); and 3) patients with a history of systemic diseases, such as terminal carcinoma and immune system diseases. Ten patients had suspected family histories of MMD in that their relatives had ischemic or hemorrhagic stroke but had not received a definite diagnosis of MMD.
Imaging Acquisition
All subjects were scanned on a 3T MR scanner with an 8-channel phased-array head coil.
Detailed parameters of CEMR, T2 FLAIR, high-resolution T1-weighted structural imaging, 3D pseudo-continuous arterial spin-labeling, DWI, and MRA were as follows— 1) CEMR: TR = 1850 ms, TE = 24 ms, flip angle = 111°, field of view (FOV) = 240 × 240 mm, matrix = 320 × 256, slice thickness = 6 mm, number of slices = 20, contrast medium administration = 14 ml (2.5 ml/s), acquisition time = 1 minute 49 seconds; 2) T2 FLAIR: TR = 8500 ms, TE = 162 ms, flip angle = 111°, FOV = 240 × 240 mm, matrix = 288 × 224, slice thickness = 6 mm, number of slices = 20, acquisition time = 1 minute 43 seconds; 3) high-resolution T1-weighted structural image: TR = 6 ms, TE = 2.5 ms, flip angle = 15°, FOV = 256 × 256 mm, matrix = 256 × 256, slice thickness = 1 mm, number of slices = 148, acquisition time = 2 minutes 24 seconds; 4) 3D pseudo-continuous arterial spin-labeling: TR = 4844 ms, TE = 10.5 ms, labeling duration = 1500 ms, post-labeling delay = 2000 ms, FOV = 240 × 240 mm, slice thickness = 4.0 mm, number of slices = 36, acquisition time = 3 minutes 33 seconds; 5) DWI: TR = 3000 ms, TE = 67.8 ms, b-value = 1000, FOV = 240 × 240 mm, slice thickness = 6 mm, number of slices = 20, acquisition time = 24 seconds; 6) MRA: TR = 34 ms, TE = 2.1 ms, FOV = 240 × 240 mm, slice thickness = 1.4 mm, acquisition time = 2 minutes 32 seconds.
DSA data were collected after contrast injection in both internal carotid arteries, both external carotid arteries, and 1 or 2 vertebral arteries. Lateral and anteroposterior views of each artery injection were collected.
Imaging Assessment
MRI Assessment at Baseline.
The ivy sign was defined on both CEMR and FLAIR images as continuous linear or punctate regions of leptomeningeal high signal intensity along the cortical sulci and subarachnoid space (Fig 1). Two radiologists, each with 2 years of experience, reviewed all CEMR and FLAIR images independently at 2 levels of the cerebral hemisphere (ganglionic and supraganglionic levels). The mean value was used as the final score for statistical analysis. We modified ASPECTS (Alberta Stroke Program Early CT Score, a semiquantitative method for estimating infarct size on CT) by omitting the deeper cerebral structures because they were not relevant to the assessment of leptomeningeal collaterals (only the M1–M6 cortical regions were included). Thus, each hemisphere was divided into 6 regions (3 regions for each level). The ivy sign score of each region was defined as follows: 0 represents no ivy sign, 1 represents the ivy sign reaching less than half of the region, and 2 represents the ivy sign reaching more than half of the region. The total ivy sign score of each hemisphere was defined as the sum score of 6 regions.8,9
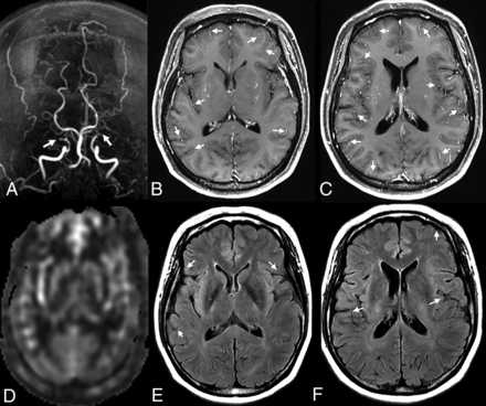
Illustrative case of a 45-year-old woman with bilateral MMD. MRA reveals occlusion of bilateral MCA (white arrow) (A). CEMR shows better delineation of the ivy sign than FVH (white arrows) (B and C, E and F). The CBF of bilateral hemisphere shows no difference (D).
The DWI-positive or DWI-negative (presence of hyperintense lesion on DWI was defined as positive) status of bilateral MCA territory was recorded at baseline and was used to indicate whether cerebral lesions in the acute or subacute phase existed. DWI features were used to investigate whether the ivy sign was related to the time from stroke onset to imaging (which was reflected by the DWI signal).
MCA stenosis was rated on MRA by 1 radiologist and defined as moderate to severe stenosis (50%–99%). MCA occlusion was recorded when no visible blood flow could be seen on MRA images.
DSA Assessment at Baseline.
The DSA score was defined as follows: leptomeningeal collateral assessment on DSA was evaluated according to Liu et al10 by 2 experienced neurosurgeons. This leptomeningeal scoring system ranges from 0 to 6 and includes 3 parts of the collateral networks: pPCA→ACA (the parieto-occipital branch of the posterior cerebral artery (PCA) anastomoses to the ACA), tPCA→tMCA (the anterior temporal branch of the posterior cerebral artery anastomoses to the temporal branch of the MCA), and pPCA→MCA (the pPCA anastomoses to the MCA). Additionally, transdural collaterals were assessed and scored (0 represents the absence of transdural collaterals, and 1 represents the presence of transdural collaterals). The total DSA score was defined as the sum of leptomeningeal collaterals and transdural collaterals and was considered the reference standard in this study.
The Suzuki stage, a well-known cerebral angiographic classification for MMD, was also recorded. In this study, we defined the late-Suzuki stage group as Suzuki stage ≥IV and the early-Suzuki stage group as Suzuki stage ≤III for further subgroup analysis.
DSA Assessment at Follow-up.
As stated earlier, postoperative follow-up DSA examinations were valid for 12 patients (21 hemispheres). At least 3 months after EDAS, the 21 hemispheres were graded postoperatively according to the following system proposed by Matsushima et al11: grade I was defined as revascularization of less than one-thirds of the MCA distribution, grade II as revascularization of one-thirds to two-thirds of the MCA distribution, and grade III as revascularization of more than two-thirds of the MCA distribution. The Matsushima score was used to assess the effect of revascularization after EDAS.
Quantitative Estimation of CBF
Quantitative estimation of the CBF of the MCA territory was performed automatically. First, the CBF map of 3D pseudo-continuous arterial spin-labeling was processed and generated using FuncTool (AW 4.5 Workstation, GE Healthcare). Second, high-resolution T1 structural images were normalized to Montreal Neurological Institute space using FLIRT (FMRIB Linear Image Registration Tool; https://fsl.fmrib.ox.ac.uk/fsl/fslwiki/FLIRT) and FNIRT (FMRIB Non-Linear Image Registration Tool; https://fsl.fmrib.ox.ac.uk/fsl/fslwiki/FNIRT) within the FMRIB Software Library (FSL, http://www.fmrib.ox.ac.uk/fsl). Then CBF maps were affine registered to the normalized T1 structural images using FLIRT.12 Next, a brain mask of the MCA territory was projected to the normalized CBF maps, as described elsewhere.13 Finally, the mean CBF of the MCA territory of each hemisphere was extracted and prepared for further statistical analysis.
Statistical Analysis
The interrater reliability of scoring was evaluated by calculating the intraclass correlation coefficient (ICC). ICC values range from 0 to 1, and a value above 0.75 was considered to indicate excellent reliability.14 The correlations of the CEMR and FLAIR ivy sign scores with DSA were examined by Pearson correlation analysis. The relationships of these 2 scoring modalities with Suzuki stage were assessed using Spearman correlation analysis. A 2-tailed independent Student t test was performed on the CEMR and FLAIR ivy signs to differentiate between MCA stenosis and MCA occlusion. Linear regression was used to evaluate the statistical significance of these 2 scoring modalities in reflecting the CBF of each hemisphere. Because the PCA is a major source of blood supply for leptomeningeal collaterals and the involvement of the PCA may greatly affect cerebral perfusion, PCA involvement was included as a covariant. Other potentially relevant covariates included sex, age, and illness duration. A subgroup analysis was performed in patients with MMD in late versus early Suzuki stages using the same method. Ivy sign scores based on CEMR and FLAIR were compared between DWI-positive and DWI-negative cases using a 2-tailed independent Student t test. Partial correlation analysis was used to determine the relationship between imaging parameters and Matsushima grades, with PCA involvement included as a covariate. P < .05 was considered to indicate statistical significance. All statistical analyses were performed using SPSS 22.0 (IBM).
RESULTS
Demographic Characteristics
A total of 44 patients with MMD (including 9 patients with unilateral MMD and 35 patients with bilateral MMD, for a total of 79 hemispheres) were recruited in the current study. The demographic and clinical characteristics of the enrolled patients are shown in Table 1.
Demographic characteristics and clinical measurements of patients with MMD
Consistency of CEMR-Based Ivy Sign Score and FVH with DSA Scores
There was excellent interrater reliability of CEMR-based ivy sign score and DSA scores. FVH showed moderate interrater reliability (Table 2).
Interrater reliability of FVH, CEMR-based ivy sign score, and DSA score
Correlation analysis revealed a statistically significant relationship between CEMR-based ivy sign scores and DSA scores (r = 0.25, P = .03) but not between FVH and DSA scores (r = 0.05, P = .65). Regarding the correlations between these 2 imaging modalities and Suzuki stage, the CEMR-based ivy sign score showed a significant correlation (ρ = 0.44, P < .001). For FVH, although a significant correlation was found, the correlation coefficient was lower than that of the ivy sign on CEMR (ρ = 0.24, P = .03) (Fig 2).
Scatter plots of the correlation between ivy sign score on CEMR (A), FVH (B) and DSA score of leptomeningeal collaterals; correlation between ivy sign score on CEMR (C), FVH (D) and Suzuki stage of Moyamoya disease. The asterisk indicates P < 0.05.
Patients with DWI-positive and DWI-negative MMD had significantly different ivy sign scores based on FLAIR (t = 2.82, P = .01) but not on CEMR (t = −0.19, P = .85) (Online Supplemental Data).
CEMR-Based Ivy Sign Score and FVH for Differentiating the Severity of MCA Stenosis
The CEMR-based ivy sign score outperformed FVH (FVH, t = −1.73, P = .09; CEMR-based ivy sign score, t = −2.32, P = .03; DSA, t = −3.01, P = .005) in differentiating between MCA stenosis and MCA occlusion.
Relationships between the Ivy Sign and CBF
High-resolution T1-weighted structural images were unavailable in 13 patients with MMD because of severe head motion or patients’ reluctance to undergo the scan. A total of 31 patients’ CBF (in 54 hemispheres) was quantified and included in the analyses. In stepwise linear regression analysis with the CEMR-based ivy sign score or FVH, involvement of PCA, age, sex, and illness duration specified as independent variables, no variable was included in the final model for either the CEMR-based ivy sign score or FVH.
In the subgroup analyses, the early-Suzuki stage MMD group had a trend of positive correlation between CEMR-based ivy sign score and CBF, though the correlation was not statistically significant (Online Supplemental Data). In the late-Suzuki stage MMD group, a linear regression model showed that the CEMR-based ivy sign score can serve as an independent indicator for determining CBF (Table 3).
Multivariable linear regression analysis results for CEMR-based ivy sign score with CBF as the dependent variable in patients with late-Suzuki stage MMDa
Relationship between Imaging Parameters and Matsushima Grade
Partial correlation analysis demonstrated a statistically significant correlation between the CEMR-based ivy sign score and Matsushima grade (r = 0.48, P = .03). No significant relationship was found between FVH and Matsushima grade (r = 0.17, P = .46).
DISCUSSION
In patients with MMD, leptomeningeal collaterals play an important role in maintaining cerebral perfusion. On MR images, these collaterals can be represented by the ivy sign. In this study, we compared 2 MR approaches for assessing the ivy sign (ie, CEMR and FLAIR), with DSA as a reference. We found that the ivy sign on CEMR outperformed the ivy sign on FLAIR in depicting leptomeningeal collaterals, as well as in reflecting the Suzuki stage of MMD. More important, we found that the CEMR-based ivy sign score could serve as an independent biomarker for predicting CBF in late-Suzuki stage MMD. In addition, the CEMR-based ivy sign score can predict the status of postoperative neovascularization in patients with MMD after EDAS.
The current study found that the ivy sign was less obvious on FLAIR than on CEMR. Moreover, FVH failed to reflect the DSA score for leptomeningeal collaterals. FVH has been extensively studied in the field of atherosclerotic diseases, such as ischemic stroke.15 This radiologic sign is considered to be related to collateralization,16 stroke severity,17 and functional outcomes.16 Physically, FVH is likely to reflect slow retrograde or turbulent flow in the engorged pial collateral arteries through leptomeningeal anastomoses.18 In recent years, FVH has also been introduced into MMD studies as an indicator of collateral blood flow. With regard to acute ischemic stroke, a previous study reported a 98% prevalence of FVH in the first 6 hours after onset.19 Another study also suggested that FVH was a temporary phenomenon that commonly disappeared within the first 24–36 hours after stroke onset.17 The short-term presence of FVH raised the question of whether it is appropriate for use in MMD studies. Although conceptually comparable to MMD, the underlying mechanism of collateral formation in acute stroke and MMD may not be the same. In a chronic state of hypoperfusion, as is found in MMD, FVH was unlikely to appear as a rapid reaction as in acute stroke. In this study, DWI hyperintensity was used to indicate whether lesions in the acute or subacute phase existed, which could indirectly reflect the time from onset to imaging. We found significant differences between patients with DWI-positive and DWI-negative MMD with respect to FVH, which added further evidence in support of this explanation. Physically, the presence of FVH is rooted mainly in slow flow via leptomeningeal collaterals,20 which may not be the case in MMD. A possible hypothesis is that the flow velocity of leptomeningeal collaterals in MMD after a relatively long illness duration was different from that in acute stroke. A previous study demonstrated obviously increased cortical microvascular attenuation and diameter in MMD compared with atherosclerotic disease.21 Such differences in the diameters, lengths, and pressures of the collateral routes may induce different flow velocities, which are related to the presence of FVH.
Previous studies have demonstrated that CEMR is superior to FLAIR in capturing the ivy sign.7,22 To our knowledge, there has been no quantitative comparison of these 2 modalities with regard to their consistency with DSA. Additionally, previous studies reached different conclusions in terms of the incidence of the ivy sign; that is, Yoon et al7 found a higher incidence of the ivy sign on CEMR than FLAIR, but Jung et al22 found the opposite phenomenon. Yoon et al7’s finding is readily comprehensible because from a pathophysiological viewpoint, one can predict enhancement of the engorged pial vessels with thickened arachnoid membranes and edema. Our results agreed with those of Yoon et al7; CEMR-based ivy sign score was higher than FVH and was significantly correlated with DSA score, but such a correlation was not found for FVH.
During the course of MMD, MCA stenosis and occlusion can appear at different stages of disease. Some unilateral MMD cases can even show a normal MCA. We included hemispheres with MCA stenosis or occlusion in this study and found that CEMR-based ivy sign scores and DSA scores could differentiate between these levels of stenotic severity, but FVH could not. Such results further supported the hypothesis that FVH might not be appropriate for the evaluation of leptomeningeal collaterals in patients with MMD.
Taking a step further, we studied the relationship of the CEMR-based ivy sign score and FVH with CBF. FVH and CBF were found to be unrelated. A previous study by Noguchi et al23 found similar results. These investigators found that CBF showed no difference among patients with MMD with 3 levels of FVH, though a different scoring system for the ivy sign was used in their study. Mori et al18 claimed that the cerebral vasculature in the region with decreased perfusion pressure is already dilated to maintain CBF. In their study, FVH could indicate decreased cerebrovascular reserve, which suggested that the cerebrovascular reserve might be more sensitive than CBF.
We also found a nonsignificant correlation between the CEMR-based ivy sign score and CBF of the MCA territory when all cases were included in the statistical analysis. We then divided the patients with MMD into an early-Suzuki stage group and a late-Suzuki stage group. In patients with early-Suzuki stage MMD, the trend of correlation between CEMR-based ivy sign score and CBF was positive, though no statistical significance was achieved. Interestingly, a negative correlation was found between the CEMR-based ivy sign score and CBF in patients with late-Suzuki stage MMD. A possible explanation for this result was the imbalance between leptomeningeal collaterals and abnormal ICA and moyamoya vessels. We hypothesized that in the late Suzuki stages, the ability of leptomeningeal collaterals to compensate for cerebral perfusion was inadequate. However, in early-Suzuki stage MMD, the trend of a positive correlation between CEMR-based ivy sign scores and CBF suggested that the more collaterals there were, the higher the CBF was. The potentially significant correlation found between CEMR-based ivy sign scores and CBF in all cases might be covered by the inclusion of patients with early-Suzuki stage MMD.
In an article by Liu et al,10 the grading of leptomeningeal collaterals on DSA was defined as the sum of collaterals from PCA without transdural collateral vessels. However, unlike DSA, MR imaging signs represent all possible leptomeningeal collaterals regardless of the origin of blood flow. In this study, the DSA score for leptomeningeal collaterals was defined as the sum of scores for blood flow originating from the posterior circulation and transdural vessels. The significant correlation between the CEMR-based ivy sign score and DSA score implies that the ivy sign on CEMR may represent all collaterals to brain tissue, including collaterals from the PCA and external carotid artery. The ivy sign on CEMR may have an advantage in that it provides a noninvasive visualization of leptomeningeal collaterals, including transdural collaterals.
Previous literature has reported that leptomeningeal collaterals decrease in abundance after cerebral revascularization in patients with MMD.24 Such findings suggest that leptomeningeal collaterals are associated with cerebral hemodynamics, which would improve after surgery.24 After EDAS, newly formed collaterals from the external carotid artery serve as an important source of cerebral perfusion. Thus, it is possible that leptomeningeal collaterals at baseline could predict the growth of transdural collaterals, an essential indicator of the effectiveness of EDAS. In this study, we found that Matsushima grades correlated significantly with the CEMR-based ivy sign score at baseline. The results indicated that the more leptomeningeal collaterals were present at baseline, the better the outcome of the revascularization operation would be.
Our results should be considered in the context of several limitations. First, among the 79 hemispheres studied, only 10 showed hyperintense lesions on DWI. The statistical power may be jeopardized because of the disparity between DWI-positive and DWI-negative hemispheres. A similar shortage occurred in the linear regression subgroup analysis of CEMR-based ivy sign scores and CBF. The relatively small sample size of early-Suzuki stage MMD may have resulted in failure to find a significant association between these 2 variables. Second, because of the limited number of hemispheres with postoperatively evaluated Matsushima grades (only 21 hemispheres), future studies with additional subjects are needed to estimate the association between leptomeningeal collaterals at baseline and the effectiveness of surgical revascularization. Third, when contrast-enhanced MR imaging is performed, the potential long-term risks associated with gadolinium retention should be carefully considered. Finally, techniques such as deep learning may have the potential to considerably enhance the diagnostic value of the ivy sign on CEMR and FLAIR.
CONCLUSIONS
The current study concerning the application of FVH in the field of MMD suggested that the CEMR-based ivy sign score was superior to FVH in visualizing leptomeningeal collaterals, with DSA as a reference. Furthermore, the CEMR-based ivy sign score could serve as a possible independent predictor of CBF in late-Suzuki stage MMD and reflect the effectiveness of surgical revascularization.
Footnotes
L.-X. Wang, H. Wang, and F.-B. Hao contributed equally to this work.
This work was supported by the National Natural Science Foundation of China (No. 81730048, 81825012).
Disclosures: Xin Lou—RELATED: Grant: the National Natural Science Foundation of China, Comments: No. 81730048, 81825012.
Indicates open access to non-subscribers at www.ajnr.org
References
- Received June 22, 2020.
- Accepted after revision November 3, 2020.
- © 2021 by American Journal of Neuroradiology









