Abstract
SUMMARY: The osteomyocutaneous iliac crest free flap is a reconstructive option for segmental mandibular or complex palatomaxillary defects. Familiarity with the radiographic appearance of free flaps such as the iliac crest is necessary for the postoperative evaluation of patients after mandibular, maxillary, or palatal reconstructions because it allows radiologists to properly monitor and interpret the appearance of the flap over time. This study presents a retrospective review of 5 patients who underwent palatomaxillary reconstruction with an iliac crest free flap at our institution. The imaging appearances of the 5 patients were analyzed to determine the key radiographic characteristics of a healthy and successful iliac crest free flap. Radiographic fluency with the imaging appearance of the iliac crest free flap, as well as the new anatomy of the region in the postoperative period, will allow for better interpretation of the flap appearance on imaging and will prevent false identification of tumor recurrence.
ABBREVIATIONS:
- ICFF
- iliac crest free flap
- DCIA
- deep circumflex iliac artery
- DCIV
- deep circumflex iliac vein
Microvascular free tissue transfer is used for the reconstruction of complex defects, particularly after surgical treatment of malignant head and neck disease.1 The ability to reliably transport free tissue into a defect has resulted in the innovation and refinement of a multitude of surgical approaches.2 As a result, free flaps have been commonly used after ablative surgery for head and neck cancer. However, large defects of the midface area still represent a major reconstructive challenge to achieve a favorable cosmetic and functional outcome.
Free flaps can be broken down into 4 subtypes: muscular, fasciocutaneous, visceral, and osseous. Furthermore, free flaps can also be performed as composite tissue allografts consisting of heterogeneous tissues such as skin, fat, muscle, nerves, and in some instances, lymphatic tissue. Vascularized bone containing free flaps may be harvested as bone only or in combination with additional tissue types such as skin, subcutaneous tissue, fascia, and muscle.2 This article focuses on the imaging appearance of the iliac crest free flap (ICFF) in the setting of head and neck reconstruction. The ICFF has been described for the reconstruction of segmental mandibular and complex palatomaxillary defects.2,3 Because of the length, width, and contour of the iliac bone, the ICFF is considered to be an excellent source of vascularized bone for use in mandibular reconstruction.3⇓-5 In the setting of primary maxillary reconstruction, this free flap can be used as a single-staged composite tissue transfer of vascularized soft tissue and bone to rehabilitate extensive palatomaxillary defects.6 The addition of the internal oblique muscle to this flap provides increased flexibility of the soft tissue component, above and beyond what the skin flap yields.4,5
Fluency in the radiographic appearance of free flaps, like the iliac crest, is crucial in the evaluation of patients after palatomaxillary resections.1 Reconstructive surgery disrupts the appearance of the normal anatomy, so it is important for radiologists and surgeons to be in close communication regarding details of the surgical procedure, flap type, and imaging findings.7,8 Not only will a basic understanding of the reconstructive techniques for patients with head and neck cancer allow radiologists to provide accurate and useful imaging reports,1 such understanding will also prevent the potential misdiagnosis of subtle tumor recurrence or focal infection.9
In this study, we discuss the imaging appearance of the iliac crest–internal oblique osteomyocutaneous free flap and retrospectively review the postoperative imaging of 5 cases of palatomaxillary reconstruction with an ICFF. The goal of this study is to determine the key radiographic characteristics of an ICFF to facilitate the analysis of postoperative imaging in patients with head and neck cancer.
MATERIALS AND METHODS
A retrospective review was performed of 5 patients who underwent palatomaxillary reconstruction with an ICFF at our institution between 1998 and 2016. We included only cases that had available postoperative imaging. Institutional review board approval was not required to report 5 retrospective cases. Relevant patient demographics, clinical information, and available imaging were reviewed and recorded. Postoperative imaging was re-reviewed by our senior head and neck radiologist and analyzed for key findings regarding flap appearance. Radiographic assessment points with respect to the appearance of the bone component of the flap included cortical thickness, attenuation, and continuity. Radiographic assessment points with respect to the appearance of muscle components included striations, enhancement, and atrophy. Imaging was reviewed from the immediate postoperative setting to 1 year postoperatively.
RESULTS
We selected 5 cases of iliac crest–internal oblique free flap reconstruction for review. Demographic information can be found in the Table. This cohort included 2 men and 3 women, with an average age of 49.4 years (range, 13–63 years). Primary tumor types included squamous cell carcinoma, adenoid cystic carcinoma, adenocarcinoma, and ossifying fibroma. Two cases involved an additional radial forearm free flap, and 1 case involved an additional lateral arm free flap.
Demographic information of 5 patients included in this study
In each of the 5 cases, the ICFF appeared as a thick sheet of bone with 2 cortical layers encasing the medullary bone. When used for palatomaxillary reconstruction, the cortical surfaces appear as U-shaped configurations with medullary bone encased within. There are 3 cortical surfaces, inferior, lingual, and buccal. The maxillary antrum was noted to be obliterated by the internal oblique muscle. The bone was seen to have an attenuated to hyperattenuated cortex and intermediate attenuation of the trabecular layer in 3 cases (cases 1–3). The osteotomy initially appeared as a bony fragment. On follow-up imaging, there were progressive callous formation and bony fusion at the osteotomy site. On CT imaging, the osseointegrated implants are seen as tubular metallic densities at the expected site of the dental implantation and created an extensive amount of streak artifact. Osseointegrated dental implants were present in 1 case (case 2). The muscle component of the flap appeared as areas of striation similar to the appearance of skeletal muscle. The fat within the adjacent subcutaneous soft tissue appeared as low attenuation with a negative hounsfield unit. On initial and follow-up postcontrast imaging, the muscular portion of the flap showed uniform enhancement. Progressive atrophy of the muscular component of the flap was shown in a 12-month follow-up period.
DISCUSSION
The ICFF, often harvested in conjunction with the internal oblique muscle, is highly versatile and well-suited for large head and neck defects because of the width, length, and natural curvature of the iliac bone, as well as its rich blood supply (Fig 1).2,3 The deep circumflex iliac artery and vein (DCIA and DCIV) are used as the flap pedicle.4,5,10 In most instances, the internal oblique muscle is supplied in an axial pattern by the ascending branch of the DCIA and DCIV, which run on its deep surface. The iliac bone can withstand the forces of mastication and can accommodate osseointegrated implants, thereby adding to its versatility.11 The incorporation of the internal oblique muscle in conjunction with the mobility of the skin paddle relative to the bone flap enables the flap to be used in the restoration of complex 3D composite surgical defects of the palatomaxillary complex.12 The flap may also be used to restore defects involving the inferior orbital rim, the zygoma, and the skin of the cheek.12
Use of ICFF with internal oblique muscle (A) and orbital floor plate. The iliac bone is used to restore the inferior orbital rim as well as to reconstruct the pyriform aperture. An onlay bone graft is lag screwed into the iliac bone to restore the anterior projection of the midface (B and C). The curvature of the neomaxilla has been created by performing a unicortical osteotomy and filling it with corticocancellous bone followed by a fixation plate to hold it in position. The internal oblique muscle is used to reline the lateral wall of the nose and obliterate the maxillectomy cavity (D and E). The muscle is transposed through the palatal defect to achieve a permanent separation of the mouth from the sinonasal cavity. Illustration by Jill Gregory. Used with permission from ©Mount Sinai Health System.
The iliac crest flap is commonly oriented vertically during flap inset to restore the vertical height of the maxilla, along with the alveolus, providing a fixed segment of bone ideal for osseointegrated dental implants.10,13 When oriented in this fashion, the thick cortical surface of the iliac crest is turned upside down and becomes the new alveolar ridge. Furthermore, this inset configuration permits reconstruction of the orbital rim and the pyriform aperture.12 The orbital floor can also be reconstructed with a mesh alloplast, which is screwed into the anterior face of the iliac bone and the lateral orbital rim (Fig 1).12 An onlay free bone graft can also be screwed into the bone of the iliac flap to replicate the anterior projection of the zygomatic body.12 The internal oblique muscle, when harvested with the iliac crest bone, is transposed through the defect in the palatal shelf and medial to the neoalveolar ridge formed by the iliac bone. The muscle can then be used to fill the maxillectomy cavity, thereby obliterating the dead space and relining the lateral wall of the nose (Figs 1⇓–3).12 This muscle also provides a source of oral and nasal lining and serves as a neopalate and lateral nasal wall. In this way, the internal oblique muscle separates the oral and nasal cavities and creates a permanent soft tissue seal. As the muscle atrophies and undergoes epithelization, it effectively replicates the native palatal architecture.12 Additionally, the flexibility of the soft tissue components of the iliac crest flap allow for large amounts of skin to be used to resurface the midface.12 When imaged over time, the thickness and attenuation of the internal oblique muscle decrease as atrophic changes occur because of denervation.
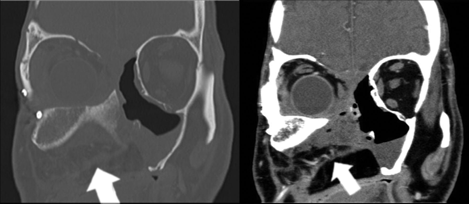
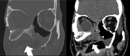
The internal oblique muscle from the flap eliminates the maxillectomy cavity, thereby preventing the presence of dead space (arrows).
A, An iliac crest–internal oblique flap has been harvested based on the DCIA and DCIV (asterisk). B, The iliac crest is shown inset into a palatomaxillectomy defect with the crest oriented toward the bottom (arrow). The internal oblique muscle based on the ascending branch of the DCIA has been brought through the palatal defect, medial to the iliac bone (curved arrow). This patient underwent an orbital exenteration, and the internal oblique muscle (IOM) is shown filling the orbital defect as well as obliterating the maxillectomy cavity. Rigid fixation (RF) is achieved to the lateral and superior orbital rim. The upgoing arrow shows a dental implant placed into the neoalveolar ridge. C, The internal oblique muscle, which is not optimally visualized on bone window, is used to fill the maxillectomy defect (arrow).
The ICFF therefore offers improved functional and aesthetic rehabilitation over traditional methods (eg local or regional flaps, soft tissue only–free flaps, and obturation) given its ability to restore both osseous and soft tissue defects and to accommodate implants for dental rehabilitation.3,14 Although palatomaxillary reconstruction can be achieved with the fibular and scapular donor sites, the iliac crest provides a large amount of good-quality bone for harvest, which can then be contoured to reconstruct both the horizontal and vertical components of even extensive defects.10
Traditionally, the ICFF was thought to cause high rates of donor site morbidity, including abdominal wall weakness, risk of hernia, abnormal hip contour, and difficulty with ambulation in the early postoperative period.15 However, improvements in surgical technique have mitigated this risk, thereby increasing the value of the flap.4,5,13⇓⇓-16
Conventional Imaging Appearance
On postoperative CT imaging, the osseous component of the ICFF appears as a thick sheet of bone with 2 cortical layers and a sclerotic trabecular surface. The bone has a hyperattenuated cortex and intermediate attenuation of the trabecular layer (Fig 4). The osseous component of the flap may be used to restore the normal osseous boundaries of the maxilla, alveolus, orbital rim, and pyriform aperture. The ilium is thickest at the spine and narrows posteriorly but appears on 2D imaging as a uniformly thick sheet of bone.17
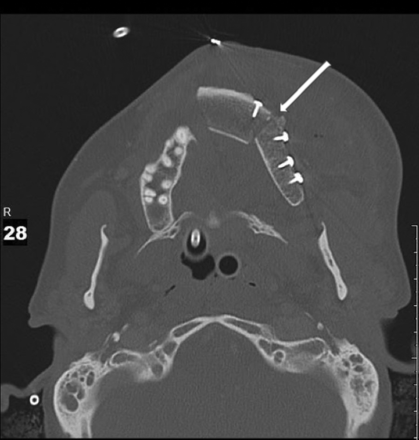
Axial imaging of a normal ICFF demonstrating a thick sheet of bone with a hyperattenuated cortex and intermediate attenuation of the trabecular surface. An osteotomy site is demonstrated and filled with corticocancellous bone (arrow). Images were obtained in the immediate postoperative period. Left cheek prominence is an expected immediate postoperative finding in the flap setting. Normal cheek cosmesis will be obtained over time.
When the internal oblique muscle is used to obliterate the maxillary cavity, it is seen on imaging as opacification of the maxillary antrum.12 Transposition of the internal oblique muscle through the defect creates a neopalate medial to the neoalveolar ridge formed by iliac bone. The muscular components of the flap will appear striated and thin.1 McCarty et al1 have reported that in the initial postoperative period, the muscular components of the flap may appear hypointense on T1-weighted images and hyperintense of T2-weighted images and enhance with gadolinium contrast. However, as the muscle atrophies and becomes more fatty, it will appear heterogeneous on both T1-weighted and T2-weighted images and more hypoattenuated on CT.18 Muscle denervation after flap harvest is believed to contribute to the increased enhancement of the muscular components of the flap over time.19 The muscular enhancement with gadolinium should not be mistaken for tumor recurrence.19 Sharp boundaries between the muscular components of the flap and nearby native structures generally indicate a benign process.7 Familiarity with flap maturation is important, specifically the tendency of the muscular portion of the flap to progress toward fatty atrophic changes, to avoid false identification of recurrent disease. The fatty components of the flap should contain no areas of nodularity or focal enhancement.1
Contouring of the iliac bone can be accomplished by performing a unicortical osteotomy in the lateral surface and the iliac crest, which permits the bone to be “green stick fractured,” if a bend in the bone is required to accommodate to the normal architecture of the palatomaxillary complex. By creating this cut in this orientation, the DCIA and DCIV are preserved along the medial surface. The resulting “open osteotomy” is usually filled with corticocancellous bone chips that are harvested from the remaining iliac bone. Over time, this osteotomy will form solid bone. It should be noted that the goal of reconstruction is to place the neoalveolar maxillary ridge in direct apposition to the mandibular alveolus to facilitate dental restoration and normal occlusal relationships.
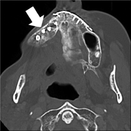
Osseointegrated dental implants are often inset into the ICFF (Figs 3 and 5).12 Postoperative imaging evaluation is crucial for accurate monitoring of the angular position of the implants, their relationship with the adjacent bone, and the condition of the implants over time.20 Periapical radiographs, panoramic radiographs, and CT imaging can all be used to evaluate dental implants.21 In particular, CT imaging can be used to evaluate bone-to-metal contact and identify any implant complications, such as hardware loosening.22
Normal appearance of reconstructive plates and osseointegrated dental implants (arrow).
The ICFF also accommodates a mesh alloplast, which can be screwed to the anterior face of the iliac bone and lateral orbital rim to restore the orbital floor and reestablish a normal orbital volume (Figure 1B, -C). Imaging can be used to evaluate the position of these reconstructive techniques in the postoperative period and can also assess the orbital volume if there is any evidence of dystopia after disruption and reconstruction of the orbital floor. Any plates used in the procedure should appear level with both the new and native bone, and no lucency should be seen surrounding any screws (Fig 5).1
Although the DCIA and ascending branches are important components of the flap, they are generally too small to be visible on standard diagnostic imaging but can be readily seen on CTA or MRA. The normal course of the DCIA and DCIV extends from the lingual surface of the iliac bone and passes either medial or lateral to the mandible to reach recipient vessels in the neck to revascularize the free flap.
Optimal Timing of Postoperative Imaging
The following postoperative imaging recommendations are based on author experience and may be approached more flexibly depending on individual institutional guidelines. Initial posttreatment imaging should be used to evaluate the appearance of the flap itself. Radiologists can ensure that no osteolysis nor bony erosion are present.1 Initial posttreatment images can serve as a baseline to document any changes caused by treatment (both surgical and nonsurgical). These images can also provide a comparison for future examinations to better detect possible complications.23 The CT portion of the examination should be used to evaluate the osseous borders of the flap for union, ensure that all fixation plates are still flush with the bone, and monitor for hardware lucency surrounding any inset screws.1 Bridging new bone may be observed at the interface between the iliac bone and the native bone of the midface. Additionally, radiologists should re-examine preoperative scans in the postoperative setting to establish the extent and location of resection.1 An understanding of both the preoperative and initial postoperative scans will assist in avoiding incorrect identification of recurrence on future imaging. For example, lymph nodes are sometimes transposed as part of the flap. This finding should be noted on baseline imaging to avoid falsely identifying such lymph nodes as recurrent disease on future imaging.
Approximately 12 weeks after treatment (either postsurgery or postradiation treatment), a PET/CT examination with contrast is recommended. This examination can be used to detect any persistent or recurrent tumor or metastases and to distinguish between treatment-related changes and new neoplastic changes.1 The CT with contrast and the PET scan should be used in combination to evaluate the muscular portion and borders of the flap as a baseline. These scans will also improve the future detection of any recurrent, residual, or persistent disease.1 MR imaging can be useful in detecting perineural invasion, intracranial extension, and cartilaginous involvement, among others.1 As such, this imaging technique should be used in patients in whom there is a concern for risk for perineural invasion.7 Depending on a patient’s tumor type and surgical margin status, clinician familiarity with perineural extension of disease at the time of preoperative imaging interpretation is also recommended. Subsequently, surveillance imaging is recommended every 4 months for 2 years after surgery.7 The authors concede that the imaging intervals specified may not conform to the practice of all institutions.
CONCLUSIONS
Radiographic imaging is crucial to the postoperative management of microvascular free flaps. The ICFF is highly versatile in reconstructing large head and neck defects because of the bone’s natural curvature, its rich blood supply, and its ability to accommodate osseointegrated implants. Harvest of the ICFF in conjunction with the internal oblique muscle allows for the restoration of complex 3D defects of the palatomaxillary complex. Each component of the flap is associated with an expected radiographic appearance, which should be assessed throughout the postoperative period. Familiarity with the radiographic appearance of the ICFF is necessary for the evaluation of patients after maxillary or palatal resections because it allows clinicians to provide accurate imaging reports and to properly monitor the appearance of the flap over time.
References
- Received August 31, 2020.
- Accepted after revision November 24, 2020.
- © 2021 by American Journal of Neuroradiology