Abstract
BACKGROUND AND PURPOSE: A scout accelerated motion estimation and reduction (SAMER) framework has been developed for efficient retrospective motion correction. The goal of this study was to perform an initial evaluation of SAMER in a series of clinical brain MR imaging examinations.
MATERIALS AND METHODS: Ninety-seven patients who underwent MR imaging in the inpatient and emergency department settings were included in the study. SAMER motion correction was retrospectively applied to an accelerated T1-weighted MPRAGE sequence that was included in brain MR imaging examinations performed with and without contrast. Two blinded neuroradiologists graded images with and without SAMER motion correction on a 5-tier motion severity scale (none = 1, minimal = 2, mild = 3, moderate = 4, severe = 5).
RESULTS: The median SAMER reconstruction time was 1 minute 47 seconds. SAMER motion correction significantly improved overall motion grades across all examinations (P < .005). Motion artifacts were reduced in 28% of cases, unchanged in 64% of cases, and increased in 8% of cases. SAMER improved motion grades in 100% of moderate motion cases and 75% of severe motion cases. Sixty-nine percent of nondiagnostic motion cases (grades 4 and 5) were considered diagnostic after SAMER motion correction. For cases with minimal or no motion, SAMER had negligible impact on the overall motion grade. For cases with mild, moderate, and severe motion, SAMER improved the motion grade by an average of 0.3 (SD, 0.5), 1.1 (SD, 0.3), and 1.1 (SD, 0.8) grades, respectively.
CONCLUSIONS: SAMER improved the diagnostic image quality of clinical brain MR imaging examinations with motion artifacts. The improvement was most pronounced for cases with moderate or severe motion.
ABBREVIATIONS:
- CNR
- contrast-to-noise ratio
- SAMER
- scout accelerated motion estimation and reduction
- SENSE
- sensitivity encoding
Patient motion is a frequent cause of image quality degradation in MR imaging examinations and has been reported to be present in approximately 29% of inpatient and emergency department examinations.1 Associated motion artifacts such as ring artifacts, image blurring, and signal drop-out may result in suboptimal image quality that negatively affects interpretation and diagnosis. Advanced MR imaging techniques and 3D volumetric sequences rely on higher spatial resolution and have greater sequence complexity and longer acquisition times, making them more prone to motion artifacts.2,3
Rapid imaging techniques such as parallel imaging and advanced encoding methods can reduce motion artifacts and provide high clinical value in time-critical emergency situations. While these techniques are valuable, there are often compromises and trade-offs in terms of image quality and contrast compared with standard brain sequences.4,5 Moreover, fast imaging techniques still do not fully solve the motion problem because patient motion can occur on a time scale on the order of seconds.6,7
Navigator-free retrospective motion-correction approaches estimate patient motion in a purely data-driven manner using only the raw k-space data from the standard data acquisition. Scout accelerated motion estimation and reduction (SAMER) further exploits a single 3- to 5-second scout image and an optimized sequence ordering.8 The highly accelerated scout provides sufficient motion artifact-free k-space data to determine the motion trajectory of subsequent image acquisitions without needing to repeat full or partial image updates. When one knows the motion trajectory, the motion artifacts are mitigated by including the motion information in the generalized inverse problem used for image reconstruction. In addition, SAMER allows each motion state to be independently determined by using fully separable motion optimizations across all shots.8⇓-10 The ability to independently estimate motion for all shots allows the optimization to be accelerated, which reduces the reconstruction time to clinically acceptable levels (∼4 seconds per shot). The ability to perform motion correction retrospectively makes clinical deployment easier because the reconstruction can be performed after the scan.
The goal of this study was to perform a retrospective clinical evaluation of the SAMER framework on 3D T1-weighted MPRAGE examinations acquired in inpatient and emergency department settings. We hypothesized that the SAMER framework would improve motion artifacts in examinations characterized by moderate-to-severe motion and would not adversely affect the image quality of examinations characterized by minimal or no motion.
MATERIALS AND METHODS
This retrospective study was approved by the institutional review board of Mass General Brigham and was compliant with the Health Insurance Portability and Accountability Act. Given that the SAMER k-space sampling strategy was embedded in the T1-weighted MPRAGE sequence included as part of the clinical protocol, the institutional review board waived the need for signed informed consent. Instead, an information sheet describing the research study was provided to all study participants, who could decline participation in the study before undergoing their scan.
SAMER Framework
The SAMER framework and mathematic model were previously described in detail by Polak et al.8 Briefly, the SAMER framework is based on a sensitivity encoding (SENSE) parallel imaging reconstruction using a generalized forward model inversion; the SENSE model is extended to account for the effect of motion.11 The technique acquires an ultra-fast, low-resolution 3- to 5-second scout image at the beginning of the examination that is presumed to be motion artifact-free. SAMER uses the scout image to directly provide estimates of the motion trajectory across all subsequent acquisitions. By means of 6 rigid-body parameters, the individual motion states of each shot are used in the generalized forward model inversion to reconstruct motion-mitigated images. A T1-weighted MPRAGE research package using the SAMER framework was used to acquire and retrospectively reconstruct the data in this study.
Brain MR Imaging Protocol
Four brain MR imaging protocols included the SAMER embedded T1-weighted MPRAGE sequences: routine brain without contrast (Routine w/o), routine brain without and with contrast (Routine w/o & w), memory loss without contrast (ML w/o), and memory loss without and with contrast (ML w/o & w). The noncontrast MPRAGE images from the Routine w/o and the ML w/o protocols and the postcontrast MPRAGE images from the Routine w/o & w and ML w/o & w protocols were used for retrospective SAMER motion correction. The parameters for the MPRAGE sequence used for SAMER motion correction were the following: resolution = 1 × 1 × 1 mm, acceleration factor = 2 × 2, turbo factor = 192, TE = 3.5 ms, TI = 1100 ms, TR = 2500 ms, FOV = 256 × 256 × 192 mm, bandwidth = 200 Hz/pixel. The acquisition time was 2 minutes 40 seconds.
Data Acquisition
Ninety-seven patients who underwent routine brain MR imaging examination between August 2021 and January 2022 in the inpatient and emergency department settings were included in this study. The examinations were performed on a 3T MR imaging system (Magnetom Skyra; Siemens) by using either a 20-channel head-neck coil or a 32-channel head-only coil. Imaging protocols of all cases included an R = 4-fold accelerated T1-weighted MPRAGE sequence that was acquired using a custom linear + checkered sequence reordering.8 The linear + checkered reordering involved uniformly distributed sampling across the low-frequency elements of k-space and linear traversal across the remainder of the k-space to preserve the contrast and minimize blurring of the reconstructed images.8
The raw k-space data from the MPRAGE images were extracted from the scanners within 48 hours of acquisition. SAMER framework was then retrospectively applied to the extracted MPRAGE raw data for motion correction. For examinations performed using the Routine w/o protocol, MPRAGE without contrast images was used for SAMER motion correction. Given that the motion grade was the primary outcome of interest and is relatively independent of image contrast, the motion grades for the MPRAGE without contrast images and MPRAGE with contrast images were aggregated for analysis.
Motion Grading
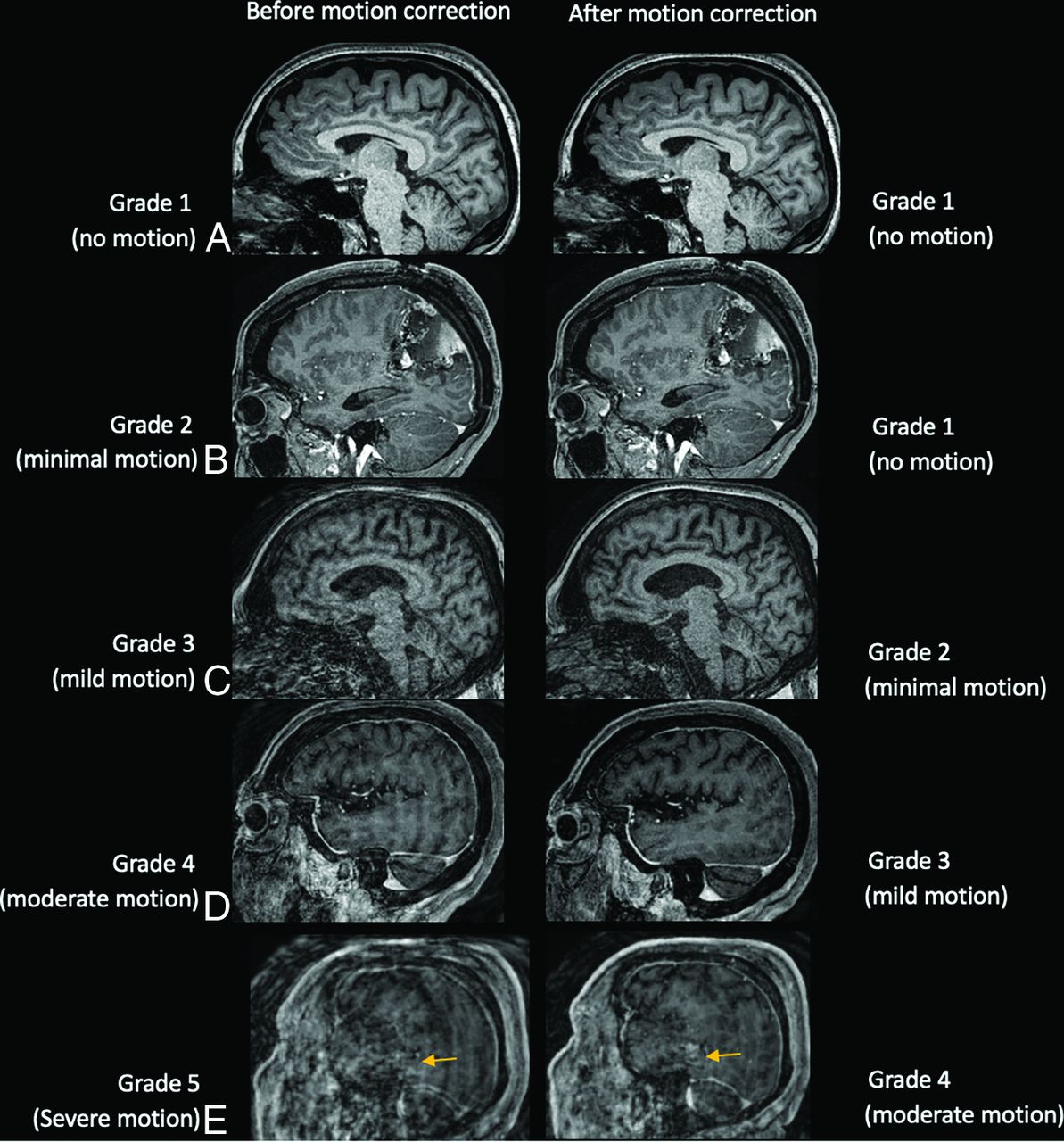
Two neuroradiologists (M.L. and J.F. with 3 and 5 years of experience, respectively) performed independent blinded reviews of unlabeled MPRAGE images without and with SAMER motion correction. The order of the study and the type of study (baseline-versus-SAMER motion-corrected images) were randomized by A.T. for the reviewing neuroradiologists. Cases with any discrepant grades were adjudicated independently by a third blinded senior neuroradiologist (J.C.) with >10 years of experience. A previously established 5-point motion scale was used for grading (Fig 1).1 Grade 1 indicates the absence of detectable motion artifacts; grade 2 indicates minimal motion with barely detectable motion artifacts and a negligible effect on image quality and diagnosis; grade 3 indicates mild motion with noticeable motion artifacts that likely do not have diagnostic consequences; grade 4 indicates moderate motion artifacts that degrade and possibly obscure underlying pathology; and grade 5 indicates severe motion artifacts that distort anatomy and obscure underlying pathology. Grades 1, 2, and 3 were considered diagnostic quality with regard to motion artifacts, whereas grades 4 and 5 were considered nondiagnostic, as defined in the original article by Andre et al.1 The motion grade improvement was defined as the precorrection motion grade minus the postcorrection grade.
Motion scale used for the clinical quantification of motion artifacts along with representative cases before motion correction. The arrows point to areas of image blurring due to motion artifacta.
Head-to-Head Image Evaluation
The same 2 neuroradiologists (M.L. and J.F.) independently reviewed 79 of 97 cases with pathology in a blinded fashion; 18 cases did not have visible pathology on MPRAGE images. The screen position (left versus right) of non-motion-corrected and SAMER motion-corrected MPRAGE images and the order of the cases were all randomized. All cases were graded on a 5-point Likert scale, in which positive numbers favored the images on the right side of the screen and negative numbers favored the images on the left side of the screen. Head-to-head comparison was made of pathology conspicuity, pathology sharpness, and the evaluation of surrounding anatomy. Disagreements between readers were adjudicated by a third neuroradiologist (J.C.).
Quantitative Assessment
Contrast-to-noise ratio (CNR) and SNR measurements were performed for T1 MPRAGE images without and with SAMER motion correction. To measure signal intensity, we placed ROIs on the left basal ganglia (gray matter) and on the left inferior frontal subcortical white matter. For each subject, we sampled noise using 25-voxel ROIs in air-containing regions above the left aspect of the head. The SD of the background noise was calculated for the same ROIs on the non-motion-corrected and SAMER motion-corrected MPRAGE images. The SNR in gray and white matter was calculated by dividing the mean signal intensity by the SD of the background noise. The CNR was calculated by dividing the difference in gray and white matter intensities by the SD of the background noise.
Statistical Analysis
The motion grades of examinations with and without SAMER motion correction were compared using the nonparametric Wilcoxon rank-sum test. A Welch t test was used for the comparison of mean SNR and CNR. Statistical analysis was performed by using R Studio (http://rstudio.org/download/desktop). Statistical significance was set at P < .05.
RESULTS
Demographics, clinical indications for the MR imaging examinations, and MR imaging protocol breakdown are provided in Table 1. Among the 97 patients studied, brain mass or lesion was the most common indication for the MR imaging examinations (n = 32), followed by stroke (n = 17) and mental status change (n = 15). Thirty-four examinations were performed without contrast, and 63 were performed with contrast. Eighty-four examinations were performed using the 20-channel head-neck coil, and 13 examinations, using the 32-channel head-only coil. The median SAMER reconstruction time was 1 minute 47 seconds.
Clinical characteristics of the patients
Of the 97 cases, 5 cases showed no motion (motion grade 1), 46 cases showed minimal motion (motion grade 2), 30 cases showed mild motion (motion grade 3), 8 cases showed moderate motion (motion grade 4), and 8 cases showed severe motion (motion grade 5). Mean motion grades of the motion-corrected examinations using SAMER were significantly lower compared with the uncorrected examinations (2.4 [SD, 0.8] for motion-corrected images and 2.7 [SD, 1.0] for uncorrected images (P < .001; Table 2). SAMER motion correction led to decreased motion artifacts in a total of 27 cases (28%), of which 23 cases exhibited motion improvement of 1 grade and 4 cases exhibited motion improvement of 2 grades.
Overall change in motion grade after SAMER implementation
Among the 5 cases with baseline no motion (motion grade 1), there was no change in the motion grade after SAMER motion correction. Of the 46 cases with minimal motion (motion grade 2), most cases (78%) showed no change in motion grade, while motion artifacts worsened by 1 grade in 8 cases (17%) and improved in 2 cases (4%). The Online Supplemental Data show an example of a case with minimal motion (grade 2) at baseline that worsened to mild motion (grade 3) on SAMER motion correction. Note that the degree of motion in the SAMER motion-corrected images is still quite small and did not compromise the diagnostic quality of the image. In 30 cases with baseline mild motion (motion grade 3), there was no change in the motion grade for 19 cases (63%) and improvement in 11 cases (37%). Representative side-by-side comparison of baseline and SAMER motion-corrected images are provided in Fig 2.
Sagittal T1 MPRAGE images illustrating examples of cases with motion artifacts (grades I–5) for which SAMER reconstruction improved motion by 1 grade. A, A 23-year-old woman with a normal brain. B, Postoperative findings from resection of a left parietal lobe tumor in a 59-year-old woman with a history of anaplastic oligodendroglioma. C, Diffuse parenchymal volume loss with disproportionate involvement of the frontal and parietal lobes and, to a lesser extent, the left temporal lobe in a 59-year-old man with history of cognitive impairment. D, An 83-year-old woman with history of chronic cerebral small-vessel disease. E, Expected postoperative changes and enhancement from left temporal parietal craniotomy (arrows) are demonstrated in a 63-year-old man with history of glioblastoma.
In baseline nondiagnostic cases of moderate or severe motion (motion grades 4 or 5, respectively), SAMER motion correction reduced motion artifacts in 87.5% (14/16) of cases (Fig 3), which included 100% of moderate motion cases (grade 4) and 75% of severe motion cases (grade 5). In fact, 11 of the 16 nondiagnostic grade cases (69%) were considered diagnostic in quality after SAMER motion correction, ie, they were reduced from a score of 4 or 5 to a score of ≤3. Representative images comparing cases with severe motion before and after SAMER motion correction are provided in Fig 4. For cases with minimal, mild, moderate, and severe motion, SAMER improved the motion grade by an average 0.13 (SD, 0.7), 0.3 (SD, 0.5), 1.1 (SD, 0.25), and 1.1 (SD, 0.83) grades, respectively (Table 2).
Proportion of nondiagnostic and diagnostic examinations that demonstrated worsening, no change, and improvement of motion grade after SAMER correction. Motion grades 1 (no motion), 2 (minimal), and 3 (mild) are considered diagnostic in terms of motion artifacts, whereas motion grades 4 (moderate) and 5 (severe) are considered nondiagnostic in terms of motion artifacts.
Axial MR images of 2 cases with severe motion artifacts (grade 5) in which SAMER motion correction restored diagnostic value (by reducing motion grade to 3). A, The extent of cortical/gyral enhancement (arrows) and edematous expansion of the left temporoparietal region with a mild rightward mass effect is better visualized on the motion-corrected image of a 67-year-old man with traumatic brain injury. B, Motion-corrected image shows better visualization of cortical laminar necrosis in the left occipital lobe (arrows) and better evaluation of left temporal lobe volume loss (arrows) in an 86-year-old woman with history of stroke.
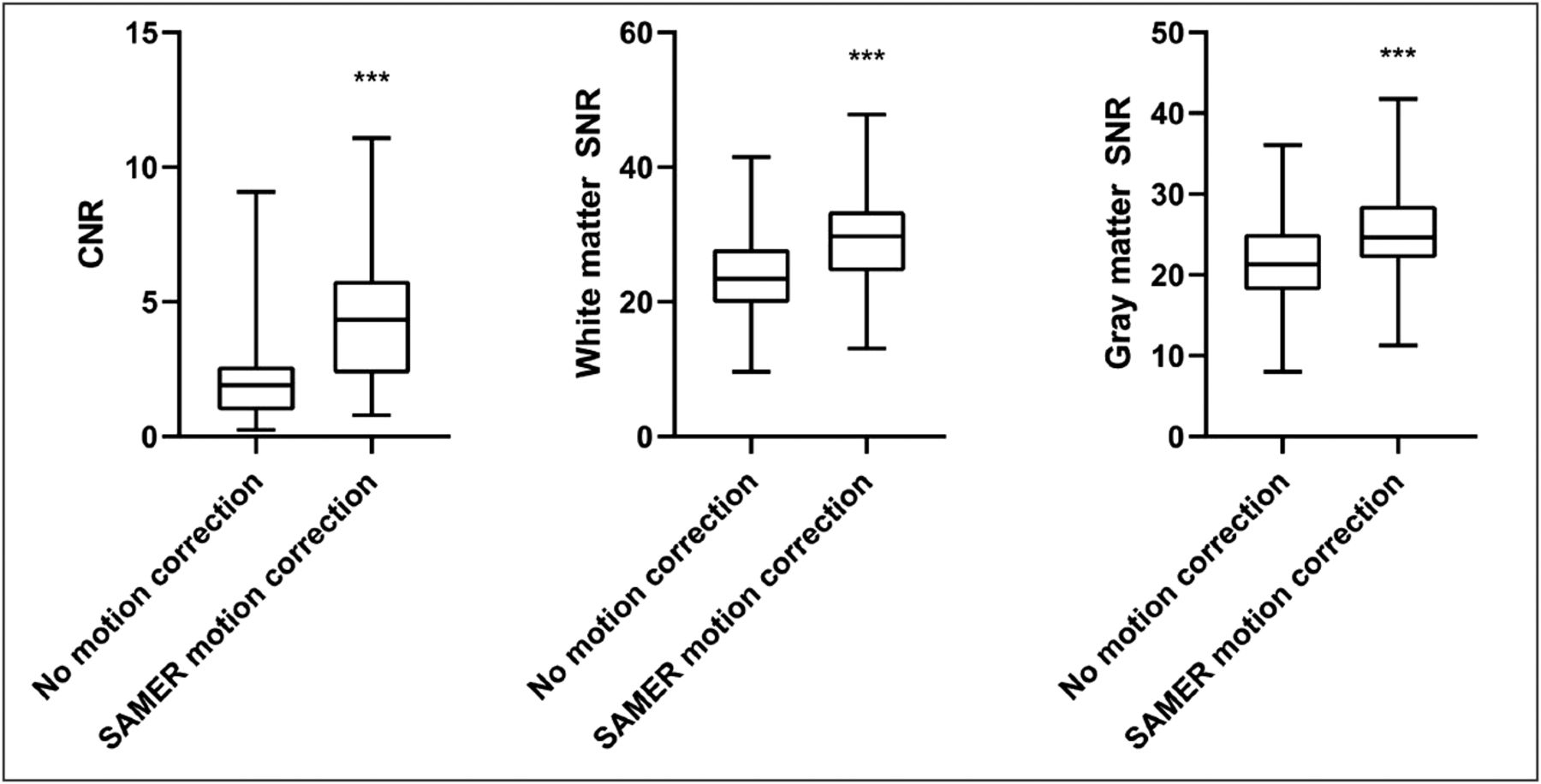
In a head-to-head comparison, SAMER motion-corrected images were preferred over baseline images for pathology conspicuity in 19% of cases, pathology sharpness in 29% of cases, and evaluation of surrounding anatomy in 20% of cases (Fig 5). While evaluation of pathology was considered similar between baseline and SAMER motion-corrected images in most cases (>70%), no baseline image was preferred over SAMER motion-corrected images for pathology evaluation. Quantitative assessment of SNR and CNR showed that MPRAGE images with SAMER motion correction had significantly higher mean CNR (P < .001) and mean SNR in the gray and white matter (P < .001) compared with matched MPRAGE images without SAMER motion correction (Fig 6).
Balloon plot showing the results of the head-to-head comparison of baseline MPRAGE and SAMER motion-corrected MPRAGE studies for pathology conspicuity, pathology sharpness, and evaluation of surrounding anatomy. A total 79 of 97 cases had pathology on imaging and were included in this assessment. The size of the circle correlates to the percentage of cases assigned a given score, and the percentage of cases receiving a given score is indicated below each circle. A zero score indicates equivalency, negative scores (left) favor baseline MPRAGE images, and positive scores (right) favor SAMER motion-corrected MPRAGE images.
Boxplot charts demonstrating the distribution of CNR and SNR in the gray matter and white matter in MPRAGE without and with SAMER motion correction. CNRs and SNRs are significantly greater (P < .001) in the MPRAGE SAMER motion-corrected images compared with baseline MPRAGE images. Triple asterisks indicate P < .001.
Motion grades improved following SAMER motion correction for both noncontrast and contrast-enhanced images. For the noncontrast-enhanced images, mean motion grades improved from 2.6 (SD. 1.1) at baseline to 2.2 (SD, 0.6) following SAMER motion correction (P = .01; Table 3). For the contrast-enhanced images, mean motion grades improved from 2.7 (SD, 0.9) to 2.6 (SD, 0.8) following SAMER motion correction (P = .03; Table 4). The extent of motion grade improvement was most prominent for baseline, moderate, and severe motion examinations (grades 4 and 5, respectively), regardless of whether the images were acquired without or with contrast (Tables 3 and 4).
Change in motion grade after SAMER implementation for noncontrast examinations
Change in motion grade after SAMER implementation for contrast-enhanced examinations
DISCUSSION
In this work, we have shown that motion correction using SAMER significantly reduced motion artifacts in volumetric T1-weighted MPRAGE images obtained in a clinical setting within clinically feasible reconstruction times. In most cases with moderate and severe motion artifacts, SAMER reconstruction was able to mitigate motion artifacts sufficiently to improve the quality of the examination from nondiagnostic to diagnostic. In cases with absent, minimal, or mild motion, application of SAMER provided comparable image quality without significantly impacting the overall motion grades. CNR and SNR were overall significantly higher in SAMER motion-corrected studies than baseline studies. Our findings suggest that motion-prone patients such as those scanned in the emergency and/or inpatient settings may greatly benefit from SAMER to reduce motion artifacts and prevent time-consuming repeat acquisitions and/or callback examinations, without sacrificing overall image quality.
Techniques for motion mitigation include alternative k-space sampling trajectories that are more robust to motion such as radial or spiral acquisitions, ultra-fast imaging techniques (eg, controlled aliasing in parallel imaging [CAIPI], wave-CAIPI, compressed sensing),7,11-21 and retrospective or prospective motion-correction techniques.3,22 Accelerated MR imaging techniques can reduce motion artifacts by reducing acquisition times. Very rapid brain MR imaging protocols have been developed with 1–2 minutes of the total scan time.4,23 The highly accelerated MR imaging techniques rely on high-end multichannel receiver arrays that may not always be clinically available or feasible to implement, eg, in large patients. Accelerated imaging techniques and SAMER motion correction are not mutually exclusive, and a combination of these methods may provide additional benefits. Future work is needed to evaluate the potential synergistic benefits of applying SAMER motion correction to accelerated MR imaging techniques.
Prospective motion-correction methods include MR imaging–based motion navigator and optical-based motion tracking systems.18,24 MR imaging–based navigator systems are motion-robust because they provide extra motion information from the oversampled central k-space.18 These techniques provide real-time positional information, allowing mitigation of motion through real-time updates of the imaging FOV. These techniques, however, require MR imaging systems that are capable of dynamic updates during image acquisition, installation of additional hardware, and extending the acquisition time to collect additional data used for motion estimation. Furthermore, prospective techniques can have measurement and estimation errors that can degrade image quality. In these quality-degraded cases in which the original uncorrected images are not available, re-acquisition may be required. These factors limit the implementation of prospective motion-correction techniques into existing radiology workflow without dramatic changes in operation, cost, software, and hardware.25,26
In contrast, retrospective motion-correction techniques use motion information that is encoded from multichannel receiver arrays and is extracted for postacquisition correction through nonlinear inversion of a physics model.8,27 Retrospective motion-correction techniques require an iterative approach and are often limited by high computational requirements and reconstruction times.18 The SAMER framework overcomes these limitations by exploiting a single 3- to 5-second scout image used to jump-start and stabilize the motion-trajectory estimations and an optimized linear + checkered sequence ordering in addition to the scout image to facilitate the separation of the image and motion parameter unknowns.8 The low-spatial-resolution and highly accelerated (R = 6) initial scout sequence used for motion correction has an echo-train length of ∼1 second, which essentially eliminates patient motion on the scout image and makes it a good motion-free baseline. SAMER further reduces the computational footprint by restricting readout voxels, using coil compression, and having only a single iteration step, reaching a median reconstruction time of 107 seconds in this study compared with several minutes with other retrospective motion correction techniques.8,28 A further added advantage of all the retrospective motion-correction techniques is that they can be applied to existing clinical protocols, equipment, and workflow through modifications to the sequence and reconstruction software, without incurring additional burden to the patients or operators by obviating the need for external markers or cameras.29-31
SAMER motion correction disproportionately benefited studies that had moderate and severe motion artifacts, with most nondiagnostic motion cases exhibiting an improvement in the motion grade. In fact, 69% of nondiagnostic cases were considered diagnostic with regard to motion artifacts following SAMER motion correction. In contrast, most examinations with mild-to-no motion, in which motion correction would offer little benefit in a clinical setting, were not significantly impacted by SAMER motion correction. These findings suggest that SAMER motion correction may provide the most benefit to examinations with moderate-to-severe motion, in which the image quality would otherwise be considered nondiagnostic and the underlying pathology might be obscured. In cases of extreme motion, it can be very difficult to perform retrospective correction accurately, seen in 2 cases in this study. The main reason is that extreme head rotation during image-acquisition causes large gaps in k-space that parallel imaging is unable to fill,32 ie, the gaps in k-space data were too large to allow retrospective motion correction with the existing data. This feature is a limitation of SAMER and other retrospective methods, and in these instances, either a full or partial repeat image acquisition was required.
Application of motion-correction techniques could potentially introduce unwanted reconstruction artifacts through imperfections in the motion estimation. SAMER uses a data-driven approach for motion correction, in which we optimize over a SENSE + motion model to estimate the patient’s motion trajectory.8 Small instabilities in this nonconvex optimization can lead to small inaccuracies in the motion parameters. This outcome was seen in 8 cases with uncorrected mild motion (grade 2), in which SAMER introduced a small number of unintended artifacts and worsened the motion grade by 1 point (Online Supplemental Data). However, even if SAMER causes slightly increased artifacts in a small number of cases, this result should not negatively impact the diagnostic quality of the examination because the original (non-motion-corrected) images are still available to the radiologist for reference and interpretation, safeguarding against potential worsening of motion due to the alternative k-space sampling strategy adopted to mitigate motion artifacts. As the technique is further refined and the negative impact on artifacts is diminished, only SAMER motion-corrected images may be needed for interpretation to minimize image bloat for the radiologist.
The SAMER framework also offers the ability to track the motion trajectory through use of motion-guidance lines at fixed k-space locations.8 In addition, SAMER allows motion states to be determined during acquisition from each single shot. This feature allows motion data to be made immediately available at the end of the acquisition rather than having to wait for data reconstruction. Although it was not explored here, the motion trajectories provided by SAMER and other approaches can be used to design and train classification systems for automated prediction of motion severity as well as the level of artifact reduction that SAMER and other motion correction techniques might provide. These types of systems could enhance the technologist and radiologist workflow by automatically identifying motion-degradation and correction viability, possibly even before scan completion. This enhancement may potentially allow the technologist to terminate an incomplete-but-nondiagnostic acquisition and troubleshoot to obtain a better repeat acquisition. While SAMER motion correction was only applied to the 3D T1-weighted MPRAGE sequence in this study, it can, in principle, also be extended to other sequences including 2D spin-echo and gradient-echo sequences.8 Motion correction in 2D sequences is limited by the greater section thickness and missing information from section gaps compared with 3D sequences. Deep learning models can improve image interpolation errors for 2D sequence motion-correction techniques10,32 and could play a role in the extension of SAMER to 2D motion correction in the future.
Limitations of the current study include its retrospective nature and inclusion of only one 3D volumetric MR sequence. This was intended as a feasibility study to demonstrate the efficacy of SAMER on a single pulse sequence (3D T1-weighted MPRAGE) in a clinical setting. Testing of SAMER on additional MR images, 2D and volumetric sequences, is needed. In addition, the included MR imaging examinations were heterogeneous in that some examinations were performed without contrast and others were performed with contrast. While the results demonstrated that SAMER was able to improve motion artifacts in both noncontrast and contrast-enhanced MPRAGE images, the small sample size limited further evaluation of whether SAMER could mitigate motion to the same degree if contrast was present or absent. The focus of this study was to evaluate the ability of SAMER to mitigate motion and not on the conspicuity of findings. Nonetheless, future studies with larger numbers of patients are needed to explore how the presence of contrast may potentially affect the degree of motion correction achieved by SAMER.
CONCLUSIONS
SAMER significantly reduced motion artifacts in clinical brain MR imaging examinations. The image-quality improvement was most pronounced for cases with moderate or severe motion. SAMER transformed 69% of nondiagnostic cases to the diagnostic category. The effective motion correction offered by SAMER may facilitate timely diagnosis and reduce repeat imaging and callbacks in acute clinical settings.
Footnotes
M. Lang and A. Tabari contributed equally to this work.
This work was supported by the National Institutes of Health under award number P41EB030006 and a research grant from Siemens Healthineers.
Disclosure forms provided by the authors are available with the full text and PDF of this article at www.ajnr.org.
Indicates open access to non-subscribers at www.ajnr.org
References
- Received September 6, 2022.
- Accepted after revision December 11, 2022.
- © 2023 by American Journal of Neuroradiology