Abstract
SUMMARY: Bone morphogenetic protein is broadly used in spinal surgery to enhance fusion rates. Several complications have been associated with the use of bone morphogenetic protein, including postoperative radiculitis and pronounced bone resorption/osteolysis. Bone morphogenetic protein–related epidural cyst formation may represent another complication that has not been described aside from limited case reports. In this case series, we retrospectively reviewed imaging and clinical findings of 16 patients with epidural cysts on postoperative MR imaging following lumbar fusion. In 8 patients, mass effect on the thecal sac or lumbar nerve roots was noted. Of these, 6 patients developed new postoperative lumbosacral radiculopathy. During the study period, most patients were managed conservatively, and 1 patient required revision surgery with cyst resection. Concurrent imaging findings included reactive endplate edema and vertebral bone resorption/osteolysis. Epidural cysts had characteristic findings on MR imaging in this case series and may represent an important postoperative complication in patients following bone morphogenetic protein–augmented lumbar fusion.
ABBREVIATIONS:
- ALIF
- anterior lumbar interbody fusion
- BMP
- bone morphogenetic protein
- LLIF/XLIF
- lateral/extreme lateral lumbar interbody fusion
- L-spine
- lumbar spine
- PLIF
- posterior lumbar interbody fusion
- PLL
- posterior longitudinal ligament
- rhBMP-2
- recombinant bone morphogenetic protein-2
- TLIF
- transforaminal lumbar interbody fusion
Bone morphogenetic proteins (BMPs) are multifunctional growth factors with osteoinductive properties that were first described in 1965.1 Since recombinant bone morphogenetic protein-2 (rhBMP-2) was FDA-approved for anterior lumbar interbody fusion (ALIF) in 2002, rhBMP-2 has been widely used in spine surgery and extended to off-label indications.2 The increasing popularity is attributed to enhancement of fusion rates that are not associated with disadvantages of iliac crest bone grafting, including donor site pain, increased operative time, and limited availability.3,4 However, several concerns related to adverse effects and complications have been addressed that raised questions regarding its safety profile.5 Thus, complications of rhBMP-2 bone grafting in spinal fusion procedures include but are not limited to radiculitis, marked bone resorption, heterotopic ossification, seroma/hematoma formation, and prevertebral swelling.6 The osteogenic effects are induced by supraphysiologic rhBMP-2 doses administered locally during surgery, which can trigger a severe local inflammatory response and may result in a subset of these complications, such as cystlike bone osteolysis and soft-tissue swelling.7,8
In this case series, we reviewed patients with epidural cyst formation and concurrent imaging findings after rhBMP-2-augmented lumbar spinal fusion who underwent postoperative MR imaging between 2016 and 2022.
Case Series
Ethics approval to retrospectively review clinical, pathologic, and imaging findings was obtained from the local institutional review board. Patients with postoperative MR imaging who underwent lumbar spinal fusion and decompression surgery with rhBMP-2 bone grafting (Infuse Bone Graft; Medtronic) were retrospectively identified. A consensus interpretation was established regarding the presence of epidural cysts/fluid collections and concurrent imaging findings on the postoperative lumbar spine (L-spine) MR imaging between a board-certified radiologist with a Certificate of Added Qualification in neuroradiology (J.L.C. with 15 years of experience) and a radiology resident (F.A. with 3 years of experience). We collected 16 patients (mean age, 60.1 [SD, 7.7] years; mean body mass index, 25.8 [SD, 3.7] kg/m2; 7 women) between 2016 and 2022. Preoperative indications for surgery consisted of manifestations of lumbosacral spondylosis including lumbosacral radiculopathy and spinal stenosis (Table 1). The most common fusion procedure performed was a lateral/extreme lateral interbody fusion (LLIF/XLIF, n = 7/16), and the mean number of instrumented levels was 1.4 (SD, 0.6). Approximately 60% (10/16) of patients had a history of fusion or decompression surgery. In all cases, rhBMP-2 was packed centrally into the intervertebral implant in the form of absorbable collagen sponges with doses ranging from 1.05 to 4.2 mg (range, 1.4–2.8 mL) per patient. In 2 patients, rhBMP-2 was additionally distributed between the transverse processes to enhance posterolateral fusion. MR imaging was performed for ongoing or new lumbosacral pain or radiculopathy. Follow-up MR imaging (median days postsurgery: 152 [IQR, 148]) was acquired for each case using a standard-of-care protocol with conventional sequences, including axial, coronal, and sagittal T2-weighted pulse sequences and a sagittal T1-weighted and sagittal STIR sequence.
Patients with epidural cysts after use of rhBMP-2
All patients demonstrated expansile cystic lesions within the lumbar epidural region located between the thecal sac and the intervertebral rhBMP-2-augmented graft. The epidural lesions had a characteristic MR imaging appearance with well-defined, occasionally lobulated T2-weighted hyperintense cysts. In 9 patients (56%), the cysts demonstrated internal T2-weighted hypointense fluid-fluid levels that gravitated and settled dependently, while MR imaging was acquired with the patient in a supine position. For all patients, a communication of the epidural collections with vertebral body resorptions adjacent to the graft was identified (Fig 1). The cysts were solitary in 1-level spinal instrumentations and limited to the level of the rhBMP-2 graft; however, in 3 patients (19%) with multilevel instrumentation, the epidural cystic lesions were distributed across >1 spinal level. Mass effect on the thecal sac and neural elements was observed in 8 patients (50%). Depending on the size and location of the epidural cysts, mass effect was exerted on exiting roots within the neuroforamen, traversing roots within the subarticular recess, or the thecal sac within the spinal canal.
Images in a 56-year-old woman approximately 5 months following BMP–augmented extreme lateral and transforaminal lumbar interbody fusion of L3–L5 with persistent left-sided L5 radiculopathy. A, Sagittal T1-weighted MR image of the lumbar spine demonstrates a hypointense epidural collection at L5 (arrow). B, Corresponding sagittal STIR MR image shows the epidural cyst at L5 (black arrow), cystic osteolysis of the L4 and L5 vertebral bodies (white arrows), with endplate edema signal (arrowheads) and postoperative changes. C, Axial T2-weighted image at L5 (blue dashed line, A) illustrates the cyst (dashed black arrow) with the fluid-fluid level that narrows the left subarticular recess. Note the connection of the cyst to the bone resorptions within the vertebral body (arrowheads) and the discontinuity of the posterior longitudinal ligament (white arrow).
Patient 1 presented with worsening back pain after undergoing rhBMP-2-enhanced transforaminal lumbar interbody fusion (TLIF), with left-sided decompression at L4–L5 approximately 8 months ago. The L-spine MR imaging revealed an epidural fluid collection with a fluid-fluid level that filled the laminotomy defect and abutted the L4 nerve, causing moderate-to-severe foraminal stenosis (Fig 2). Ongoing symptoms of L4–L5 lumbosacral radiculopathy required revision surgery with resection of the cyst. Intraoperatively, the cyst presented with a thick pseudocapsule and serosanguineous fluid (Online Video). The pathologic report of the specimen showed reactive woven bone formation with a cystic lining. Notably, there were no significant features of inflammation, and the microbiologic culture showed no growth.
Images in a 49-year-old woman following transforaminal lumbar interbody fusion and left-sided laminotomy of L4–L5 with BMP grafting approximately 8 months ago and new-onset left-sided L4–L5 radiculopathy. A, Sagittal STIR MR image demonstrates a BMP graft with adjacent osteolysis (arrows) and endplate edema signal (arrowheads). B, Axial T2-weighted MR image at L4–L5 (dashed line, A) shows a left-sided epidural cyst (arrows) with a fluid-fluid level. D, Parasagittal T2-weighted MR image at the level of the left laminotomy (dashed blue line, B) illustrates the epidural cyst (arrow) that fills the decompression defect and causes moderate-to-severe foraminal stenosis at L4–L5 (arrowheads). E, Intraoperative photo of the serous cystic structure shows a thick pseudocapsule (asterisks). C and F, Histopathologic specimen (magnification factor, 1.6×/4×, respectively) demonstrates fragments of the thin fibrous cystic lining (arrowheads, F) and a segment of woven bone formation with chondrocytic metaplasia (asterisk, F).
Most commonly, the formation of epidural cysts resulted in mass effect on the lateral recess of the descending nerve roots at the level of the intervertebral rhBMP-2 graft, which was identified in 5 patients (patients 2, 6, 7, 14, and 16). Among these, patient 14 demonstrated epidural cystic collections, extending from L5-S1 along the surgical corridor 60 days after combined extreme and posterior lumbar interbody fusion (XLIF + PLIF) of L4–S1 with laminectomy (Fig 3). The patient developed a new left foot drop and was diagnosed with an L5 radiculopathy with active denervation by electrophysiology. However, conservative management was successful, and the symptoms subsided. The cysts nearly resolved on the follow-up study 79 days later.
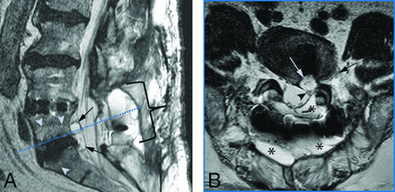
MR images in a 58-year-old man 2 months following BMP-augmented combined extreme lateral and posterior lumbar interbody fusion with laminectomy of L4–S1 and new-onset left foot drop. A, Sagittal T2-weighted MR image shows a lobulated epidural cyst at L5–S1 dorsal to the BMP graft (black arrows), endplate edema signal of the adjacent endplates (arrowheads), and the laminectomy defect with seroma formation (bracket). B, Axial T2-weighted MR image at L5–S1 (dashed blue line, A) demonstrates the left subarticular, epidural cyst (white arrow) adjacent to the BMP graft, abutting the left descending S1 nerve root (arrowhead) and the left exiting L5 nerve root (black arrow). Concomitant seroma is present and fills the laminectomy defect (asterisks).
Patients 2, 6, 7, and 14 presented with varying degrees of lumbosacral radiculopathy that was treated with epidural injections but did not require revision surgery. For these patients, a correlating single-level cyst located within the ventrolateral epidural space was observed on L-spine MR imaging postoperatively, exerting mild mass effect on the traversing L5 or S1 nerve roots.
For 2 patients (patients 13 and 15), mild compressions of the thecal sac caused by single-level, ventral epidural collections were reported on L-spine MR imaging. In these cases, the epidural cysts did not affect the clinical course, and both patients had a good recovery.
The remaining 8 patients (50%) with epidural cystic formations but without signs of mass effect had an uneventful clinical course without cyst-related complications such as new onset of radiculopathy or the need for revision surgery. Patient 9, however, developed a new left-sided foot drop that was likely caused by a focal, heterotopic calcification adjacent to the rhBMP-2 graft that extended into the outer portion of the L3–L4 foramen and caused compression of the L3 nerve. The patient underwent a revision decompression with relief of the foot drop.
Concurrent imaging findings are depicted in Table 2 and comprised postoperative changes, including soft-tissue/muscle edema and seromas. Edema-like marrow signal of the vertebral endplates adjacent to the BMP grafts, indicated by T2-weighted hyperintense endplate signal, was present in all patients except patients 8 and 9 who underwent a comparatively late follow-up MR imaging at 480 and 465 days, respectively. Bone resorptions/osteolysis, not exceeding the cortical margins of the vertebral bodies, were observed in 11 patients (69%), of whom 5 patients had T2-weighted hypointense fluid-fluid levels, similar to the epidural cysts.
Concurrent imaging findings on the postoperative MRIs
DISCUSSION
This case series described formation of epidural cysts as a complication following rhBMP-2-augmented lumbar spinal fusion and decompression surgery. The popularity of rhBMP-2 in spinal fusion has grown since clinical approval in 2002, and its application reached a peak in 2010, accounting for approximately 30% of all spinal fusions performed in the United States.2 Since then, mounting reports about adverse events and a warning issued by the FDA in 2008 related to BMP use in off-label anterior cervical spine surgery eventually initiated a trend reversal.6 Nevertheless, widespread use has resumed since, and the volume of BMP procedures may increase in the future.9 In our institution, rhBMP-2 is readily applied in most lumbar fusion procedures at the discretion of the spinal surgeon and in the context of informed decision-making (because most indications remain off-label), often in patients with prior spinal surgery or risk factors for pseudoarthrosis. Previously described complications include radiculitis, graft subsidence, and pronounced vertebral bone resorption/osteolysis, which may be linked to the inherent inflammatory potential of rhBMP-2 with release of several inflammatory metabolites such as interleukins or tumor necrosis factor.10,11
Epidural cysts, as identified in our 16 patients, are a rarely reported complication in the literature, and their incidence remains elusive. In a prospective study, Mannion et al12 observed epidural cyst formation in 2/30 (6.7%) patients following TLIF or PLIF with rhBMP-2, one of whom required re-intervention. Additionally, epidural cysts have been described in case reports after rhBMP-2 use in lumbar fusion.13,14 In both reports, the cysts had an appearance similar that of most cysts in our series, exhibiting T2-hypointense fluid-fluid levels. The cyst described in the case report by Choudhry et al14 required decompression due to the patient’s radiculopathy, and the pathologic specimen revealed parts of the rhBMP-2 absorbable collagen sponge with infiltration of inflammatory cells. The authors, therefore, concluded that the cystic formation may have resulted from an inflammatory response to bone resorption caused by an extruded and overpacked rhBMP-2 sponge. Varying degrees of bone resorptions are frequently observed following rhBMP-2 grafting in vivo, particularly within the first 3 months after the operation.15 This paradoxical effect of bone catabolism rather than anabolism is attributed to stimulation of both osteoblasts and osteoclasts by supraphysiologic concentrations of rhBMP-2 and may lead to unwanted bone resorptions.16
The histopathologic specimen of the resected epidural cyst in our patient revealed a cystic lining with neovascularization and reactive woven bone that was compatible with heterotopic ossification with cystic change and likely associated with rhBMP-2 use. Heterotopic ossification is a more frequently reported complication of rhBMP-2, and varying degrees of ectopic bone formation may be observed in up to 75% of patients following lumbar fusion.17 Heterotopic ossifications result from BMP leaking out of the disc space, and occasionally, focal ectopic ossifications cause severe clinical symptoms such as radiculitis and require surgical excision.18 In one of our patients, we noted focal ectopic ossification within the L3–L4 foramen, causing radiculopathy and needed revision surgery to relieve symptoms.
Mass effect of the epidural cysts on the thecal sac or nerve roots was observed in 50% of the postoperative MRIs in our cohort. Of these, 6 patients developed radiculopathy that was managed conservatively, and 1 patient required re-exploration to relieve radiculopathy. Notably, all of the patients with symptomatic mass effect of epidural cysts underwent either a TLIF or PLIF. Both methods may require partial dissection of the posterior longitudinal ligament (PLL) to approach the intervertebral disc space.19 Communication of the epidural cysts with bone osteolysis adjacent to the grafts was visualized in all cases, and partial discontinuity of the PLL could be identified in all TLIF and PLIF cases. Therefore, epidural cysts may result from vertebral bone osteolysis with secondary extrusion through defects in the PLL or from BMP extending from the interbody space to induce epidural cyst formation, ultimately causing compression of the traversing or exiting nerve roots.
Conversely, as part of ALIF procedures, the PLL is semi-circumferentially maintained and the epidural space is not exposed, possibly preventing cyst formation. Strategies to avoid occurrence of epidural cysts may be accomplished by central positioning of the rhBMP-2-packed interbody graft, effort to preserve parts of the PLL during PLIF/TLIF, or removal of redundant rhBMP-2 around the graft. However, future studies are warranted that systematically investigate a potential association of epidural cysts with the surgical techniques and strategies to avoid them in lumbar fusions, with particular attention paid to the anatomic direction of the surgical approach.
The management of epidural cysts after rhBMP-2-augmented lumbar fusion is not clearly defined in the literature due to the rare occurrence. Options include conservative treatment with medical therapy and injections, CT-guided aspiration, or surgical decompression. Observation may be the preferred approach because only 1 patient in our cohort required a revision surgery, and in most cases, the radiculopathy resolved during the clinical course. In 3 patients, the cysts maintained their size, and in 2 patients, the epidural cysts decreased on the follow-up MR imaging. However, for most of the patients, no second study was available to evaluate the evolution of the cysts, but adequate recovery suggests there was no symptomatic enlargement.
CONCLUSIONS
Epidural cyst formation after rhBMP-2 use in lumbar spinal fusion is a potential complication with characteristic imaging findings for radiologists to be aware of for appropriate diagnosis and treatment of affected patients.
Footnotes
Drs Lebl and Abel received research support from the Rama and Shashi Marda Foundation.
Disclosure forms provided by the authors are available with the full text and PDF of this article at www.ajnr.org.
References
- Received October 25, 2022.
- Accepted after revision January 27, 2023.
- © 2023 by American Journal of Neuroradiology










