Abstract
SUMMARY: Lymphomas of the CNS are the second most frequent primary brain malignancy in adults after gliomas. Presurgical suspicion of lymphoma greatly impacts patient management. The radiologic features of this tumor have been widely covered in the literature for decades, but under current classifications, mainly corresponding to the most common presentations of the most frequent type: primary diffuse large B-cell lymphoma of the CNS. Nevertheless, rarer presentations of this specific lymphoma and of other World Health Organization lymphoma subtypes with different imaging features are rarely treated. Moreover, important advances in imaging techniques, changing epidemiologic factors with relevant impact on these tumors (eg, immunodeficiency/dysregulation), and recent updates of the World Health Organization Classification of CNS Tumors 2021 and Hematolymphoid Tumors 2022 may have rendered some accepted concepts outdated. In this article, the authors aim to fulfill a critical need by providing a complete update-review, emphasizing the latest clinical-radiologic features of the full spectrum of lymphomas involving the CNS.
ABBREVIATIONS:
- ALK+/ALK−
- anaplastic lymphoma kinase positive and negative
- CLIPPERS
- chronic lymphocytic inflammation with pontine perivascular enhancement responsive to steroids
- DLBCL
- diffuse large B-cell lymphoma
- EBV
- Epstein-Barr virus; MALT = mucosa-associated lymphoid tissue; NK = natural killer
- PSR
- percentage of signal recovery
- WHO
- World Health Organization
Lymphomas of the CNS are the second most frequent primary brain malignancy in adults after gliomas, accounting for 7% of all malignant tumors.1 A presurgical suspicion of this tumor will greatly impact patient management. Corticoids should be avoided before a definitive diagnosis is made, and prompt biopsy is recommended to prioritize chemoradiotherapy instead of tumor resection, such as in the case of suspected glioblastoma.2,3
The radiologic features of these tumors have been widely covered in the literature in recent decades. Imaging characteristics of lymphomas may be considered typical, leading to a potential misunderstanding of this tumor as a straightforward presurgical suspicion. Nevertheless, this is often far from the reality in daily practice. In fact, the typical appearance of lymphomas is currently almost exclusively related to the most common presentations of the most frequent type: primary diffuse large B-cell lymphoma (DLBCL) of the CNS, negative for Epstein-Barr virus (EBV). If rarer presentations of this specific lymphoma or other specific subtypes with different characteristic imaging features are considered, the complexity increases, and it becomes a great mimicker with a challenging differential diagnosis. Also, important advances in imaging techniques, dynamic changes in epidemiologic factors with relevant impact on these tumors (eg, immunodeficiency/dysregulation), and recent changes in the World Health Organization (WHO) classifications of CNS2 and hematolymphoid4 tumors may have rendered some well-accepted concepts of the disease outdated.5⇓⇓-8
The Research Ethics Committee of the Hospital Universitari de Bellvitge approved this article for publication (PR348/22).
WHO Classification of Tumors, 5th Edition
Insights.
Some basic concepts regarding WHO classifications need to be understood for an optimally up-to-date comprehension of lymphomas in the CNS. First, these tumors fall between two 5th edition WHO classifications: the CNS2 and the hematolymphoid.4 Second, despite impressive advances in molecular pathology, the mainstay in lymphomas remains histology of biopsy specimens; this differs greatly from other brain tumors such as gliomas, for which molecular pathology is vital. Nevertheless, clinically relevant pathogenesis, mutation profiles, and genetic drivers have been characterized in recent years. Recurrent mutations frequently activate the B-cell receptor, toll-like receptor, and NF-κB pathways, and alterations in genes involved in chromatin structure and modification, cell-cycle regulation, and immune recognition are common. MYD88 and CD79B mutations may be of clinical interest because they can be detected in several body fluids (plasma and CSF), potentially assisting in disease-monitoring under treatment and in minimally-invasive initial diagnosis. Also, knowledge of genetically activated pathways, tumor immune microenvironment, and expression of immune-response biomarkers may point to specific treatment targets. Finally, lymphoma classifications include clinical factors, especially regarding the immune status of patients, which plays an essential role in tumor classification with important treatment implications.2,4
Updates.
Thus, some changes may be identified in the updated WHO Classifications of CNS Tumors 2021 and Hematolymphoid Tumors 2022, first in CNS immunodeficiency-associated lymphoma. Whereas the prior CNS classification included a heterogeneous group of diseases primarily defined by the patient immunodeficiency setting, currently, it is exclusively defined as DLBCL and EBV positive (both essential criteria) lymphoma.2 Moreover, the current spectrum of immunodeficiency includes immune-dysregulation according to the hematolymphoid classification, in which immunocompromised settings without a fully demonstrable immunodeficiency, such as immunosenescence (among others), are included.2,4
Next, a change in terminology is recommended in the upcoming hematolymphoid classification, representing a paradigm shift. Currently, the type of immunodeficiency-associated lymphoma is not first determined by the immunodeficiency/dysregulation setting, as in the previous classification (eg, AIDS-related DLBCL). Instead, it is defined primarily by the tumor histology with the so-called 3-part nomenclature, composed of the following: 1) histologic lesion, 2) oncogenic virus status, and 3) immunodeficiency background of the patient (eg, DLBCL, EBV-positive, and autoimmune setting).4 This integrated nomenclature allows the grouping of specific types of immunodeficiency-associated lymphomas (such as DLBCL EBV-positive), despite the underlying immunodeficiency/dysregulation, to better define the unique shared pathogenetic mechanisms.4,9,10
On the other hand, lymphomatoid granulomatosis is no longer considered an immunodeficiency-associated entity. It occurs exclusively in immunocompetent patients, and in the case of an underlying immunodeficiency, it should be considered a subtype of a polymorphic lymphoproliferative disorder.4
Also, according to the WHO classification of hematolymphoid tumors, the term primary CNS lymphoma may be considered imprecise, and it is no longer recommended for referring specifically to primary DLBCL of the CNS,4 which is the currently preferred term.2,4
Finally, some tumors do not differ in their specific histology but rather in their precise location. This is because in the new WHO hematolymphoid classification, primary DLBCL of the CNS is classified together with DLBCL of the vitreoretina and of the testes of immunocompetent patients as primary DLBCL of immune-privileged sites. All these entities arise in so-called immune sanctuaries created by their anatomic and functional immune regulatory barriers (eg, the blood-brain barrier). However, large B-cell lymphomas occurring in the dura (dural lymphoma) or inside the brain vessels (intravascular lymphoma) escape these immune privileges and are, therefore, classified separately.2,4
With all these upgraded concepts in mind, the authors aim to provide a complete update-review of imaging features of the full spectrum of lymphomas involving the CNS, mainly based on those entities included in the 5th edition WHO Classification of Tumors of the CNS 2021.2 Primary DLBCL of the CNS, immunodeficiency-associated CNS lymphoma, lymphomatoid granulomatosis, intravascular large B-cell lymphoma of the CNS, mucosa-associated lymphoid tissue (MALT) lymphoma of the dura, other low-grade B-cell lymphomas of the CNS, anaplastic large-cell lymphoma (anaplastic lymphoma kinase positive and negative [ALK+/ALK–]), and T-cell and natural killer (NK)/T-cell lymphoma are discussed. Finally, the clinical-radiologic entity “lymphomatosis cerebri” and secondary lymphomas are also reviewed.
Imaging of CNS Lymphomas
Primary DLBCL of the CNS.
Primary DLBCL of the CNS corresponds to 80%–85% of all CNS lymphomas, occurs almost always in immunocompetent patients, is EBV-negative, and is of unknown etiology.2 The term primary CNS lymphoma may be considered imprecise, and it is no longer recommended by the WHO classification of hematolymphoid tumors4 for referring specifically to primary DLBCL of the CNS, which is the currently preferred term.2,4
It usually appears as single or multiple (30%–35%) parenchymal lesions, located supratentorially (>80%), with a particular affinity for the basal ganglia, periventricular regions, midline, and corpus callosum (≈45%). It is also frequent in brain hemispheres (≈40%), rarely found in the posterior fossa, and exceptionally in the spinal cord (Fig 1).2 Associated leptomeningeal or subependymal enhancement is characteristic, but an exclusive presentation of the disease in this location may raise suspicion of secondary lymphoma. The typical perivascular histologic pattern also carries a characteristic perivascular enhancement on imaging (Fig 1). Parenchymal lesions are most frequently solid and homogeneous, but their presentation can range from well-defined expansive to ill-defined infiltrative lesions.2,5⇓-7,11
Primary DLBCLs of the CNS, EBV-negative. A–C: Usual deep, periventricular, corpus callosum, and midline location (A); a rare location in the posterior fossa (B); and exceptional in the spinal cord (C). D–G: Parenchymal lesions with associated characteristic leptomeningeal (D), subependymal (E), and perivascular (arrow, F) enhancement patterns. Histologic hematoxylin-eosin stain (original magnification ×20) shows highly cellular, perivascular accumulation of lymphoma cells (G). H–J: Mass lesion with ill-defined infiltrative (H) or well-defined expansive (I) margins. Hyperattenuated lesions on NCCT (J). K–N: Deep T2 hypointensity of a lesion (K) with a T2-blackout effect at b = 1000 image (L) but a low signal of actual diffusion restriction on the ADC map (M). Ki-67 proliferation index by immunohistochemistry (original magnification ×20) exceeding 90% (N).
Notably, these lesions are frequently hyperattenuating on NCCT,2,5⇓-7,11 which is important to keep in mind because CT is the first-line radiologic examination and suspicion at this point may lead to corticoid avoidance (Fig 1). If administered, corticoids can complicate subsequent imaging and histologic diagnosis.2,3,12
Regarding specific tumor MR imaging features, lymphoma typically appears hypointense on T2WI with marked diffusion restriction on DWI. Nevertheless, a T2-blackout effect consisting of a persistent hypointensity on b = 1000 images due to very low T2 signal may lead to misinterpretation. Thus, ADC map hypointensity might be more reliable than b = 1000 hyperintensity in assessing actual diffusion restriction.2,5⇓-7,11 NCCT hyperattenuation, low T2 signal, and diffusion restriction correlate with high cellularity on histology, with Ki-67 proliferation indexes usually above 90% (Fig 1).13
Historically, the presence of hemorrhage or signs of necrosis on preoperative imaging in immunocompetent patients have been considered a factor arguing strongly against a diagnosis of lymphoma.14 However, the histologic appearance of tumor samples frequently includes hemorrhagic tumors with central necrosis.2 Accordingly, recent literature reports the presence of hemorrhage on imaging in up to 50% of patients evaluated with SWI (20% with T2WI) and heterogeneous or ring enhancement (usually associated with necrosis) in up to 10%–15% of cases.3,15 Therefore, the authors discourage this classic assumption and believe that a certain degree of hemorrhage and heterogeneous or ring enhancements does not rule out suspicion of lymphoma, considering other imaging features as well (Fig 2).
A–C: Primary DLBCLs of the CNS, EBV-negative, with imaging signs of central necrosis (A) and tumoral hemorrhage (B and C). D–G: DSC-PWI features of a left frontal primary DLBCL of the CNS, EBV-negative (D). Low-to-intermediate CBV on noncorrected (E) and corrected (F) color maps. Characteristic lymphoma DSC-PWI time-intensity curve morphology with ascending-part of the curve recovering signal intensity far above the baseline (high PSR) (G).
Regarding quantitative imaging techniques beyond DWI, 1H-MR spectroscopy and DSC-PWI, included in consensus recommendations for imaging CNS lymphoma,16 have shown promising results for presurgical diagnosis. Attention must be paid to pulse-sequence parameters (TE, TR, flip angle), prebolus usage, and leakage corrections for DSC-PWI, but in general terms, this tumor shows low-to-intermediate CBV, a high percentage of signal recovery (PSR), and characteristic time-intensity curve morphology.7,17,18 Lower CBV values in lymphomas have paradoxically been related to a worse prognosis of survival.19 1H-MR spectroscopy can also reinforce a presurgical suspicion in basically 2 ways: Short TE depicts much lower mIns (described as a glial marker) than that associated with enhancing non-necrotic astrocytoma (ie, grade 3), and long TE shows much lower mobile lipids (associated with necrosis) than glioblastoma or metastasis (Fig 2).20
Brain FDG-PET may play a role in the presurgical differentiation of lymphoma and other malignant brain tumors such as glioblastoma and metastasis because most lymphoma lesions are highly FDG-avid, with homogeneous uptake.16
As an additional comment on primary DLBCL of the CNS, it has been reported that “sentinel” inflammatory lesions, which may disappear after anti-inflammatory treatment, can precede the diagnosis of lymphoma by up to 2 years,21 so attention must be paid to the patient’s history of prior inflammatory brain lesions (Fig 3).
Sentinel inflammatory lesions preceding primary DLBCL of the CNS. Two enhancing periventricular temporal lesions were detected in a patient (A). A biopsy was obtained, and histopathology showed an inflammatory infiltrate without evidence of neoplasia. The lesions disappeared on further imaging controls during the following 2 years (B). In a subsequent MR imaging control, new masslike lesions reappeared (C and D). A biopsy of the new lesions yielded the final histopathologic diagnosis of primary DLBCL of the CNS.
Immunodeficiency-Associated CNS Lymphoma.
According to the latest WHO classification, the immunodeficiency-associated CNS lymphoma subtype specifically corresponds to primary DLBCL of the CNS, EBV-positive. Indeed, large B-cell histology and lymphotropic EBV tissue–positivity are currently the essential diagnostic criteria for immunodeficiency-associated lymphoma of the CNS.2 It represents 8%–10% of all primary CNS lymphomas. Despite being considered an infrequent entity, this is the second most frequent type of primary lymphoma of the CNS. Its clinical context has changed during recent decades. Whereas in the 1990s, AIDS due to HIV was the leading cause, currently and especially in more developed countries, other causes predominate, such as post transplant status, autoimmune disease, and iatrogenesis.22⇓⇓⇓⇓⇓-28 This shift in the mechanisms of immunodeficiency and other developments in patient monitoring as well as in imaging techniques have also resulted in a change in the main differential diagnoses to consider. Currently, therefore, glioblastoma or metastases are more likely than opportunistic infections, in contrast to previous decades.8,29,30
Morphologic imaging of this lymphoma is quite characteristic, and the opposite of that of the “typical” CNS lymphoma. It can be deep or hemispheric, with a slightly greater tendency to multiplicity. It is almost constantly highly necrotic with ring enhancement and intermediate-to-prominent signs of hemorrhage. T2WI and DWI signal patterns are both variable and inconsistent. In summary, it is a tumor that differs from the typical appearance of lymphoma and, rather, presents more like the main differential diagnoses, which are glioblastoma and metastasis.8,29,30 A characteristic T2WI heterogeneous hypointensity of the nonenhancing “necrosis,” not corresponding to blood products or mineralization, has recently been suggested in these tumors, in contrast to the usual hyperintense T2 signal of nonhemorrhagic necrosis in other tumors (Fig 4).8
Primary DLBCLs of the CNS, EBV-positive (immunodeficiency/dysregulation-associated). Single (A) and multiple (B) lesions with prominent necrosis (C and E) and tumoral hemorrhage (D and F). Heterogeneous deep T2 hypointensity (H) of the nonenhancing central content (G) of lesions, so-called necrosis. Low-intermediate CBV on the corrected color map (I) and DSC-PWI time-intensity curve with high PSR (J), also very characteristic of this lymphoma subtype.
While conventional imaging is often insufficient to reach a presurgical diagnosis of this challenging entity, quantitative imaging, especially DSC-PWI, can provide diagnostic clues. Indeed, the perfusion features of this lymphoma follow those of low-to-intermediate CBV, high PSR, and the characteristic time-intensity curve morphology when depicting an ROI in the solid parts of tumors (Fig 4).8 Finally, the 1H-MR spectroscopy pattern seems of low value for presurgical characterization as lymphoma because this tumor has prominent mobile lipids overlapping with necrotic glioblastomas or metastasis.20
In conclusion, we suggest that in dealing with a necrohemorrhagic tumor, potential immunodeficiency/dysregulation of the patient must be thoroughly examined. If this cannot be ruled out, DLBCL EBV-positive should be considered, and careful DSC-PWI assessment can provide a presurgical diagnostic clue.
Lymphomatoid Granulomatosis.
According to the new WHO classification of hematolymphoid tumors, lymphomatoid granulomatosis is a lymphoproliferative disorder with large atypical EBV-positive B-cells, T-cell infiltration, and tissue necrosis occurring exclusively in immunocompetent patients.4 Previously, it was included in the group of immunodeficiency-associated entities, but currently, the identification of an underlying immunocompromised status rules out lymphomatoid granulomatosis, and it should instead be considered a subtype of a polymorphic lymphoproliferative disorder in the setting of immunodeficiency/dysregulation.4 Lymphomatoid granulomatosis is a very rare entity that exceptionally occurs primarily in the CNS, though CNS involvement is usually secondary. It represents a spectrum of lymphoid disease graded from 1 to 3, with corresponding degrees of aggressiveness from indolent to very aggressive.2,4
On imaging, typical findings are those of secondary lymphoma with frequent subependymal or leptomeningeal involvement and perivascular enhancement. Occasionally, it may be angiocentric and angiodestructive, resembling intravascular lymphoma. When there is isolated CNS involvement, it usually corresponds to grade 3 disease, and brain biopsy demonstrates DLBCL EBV-positive,2,4 in which case imaging findings may consist of masslike lesions with hemorrhage and necrosis.2,4,31,32
In the recent literature, lymphomatoid granulomatosis has been correlated with chronic lymphocytic inflammation with pontine perivascular enhancement responsive to steroids (CLIPPERS). Some authors hypothesize that this entity is a kind of a sentinel lesion, while others postulate that CLIPPERS may be an inflammatory response to lymphomatous tumor cells, responding to corticosteroids preceding the definitive tumor recurrence.33,34
Intravascular Large B-Cell Lymphoma of the CNS.
Intravascular large B-cell lymphoma of the CNS is defined by the selective proliferation of malignant B large-tumor cells within the brain vessels, particularly small- to medium-sized blood vessels, without or with minimal parenchymal extension. The tumor cells may occlude vessels causing patched bleeding and ischemia. Also, it is not exceptional for some tumor cells to extravasate beyond the vessels, focally reaching brain parenchyma. Regarding clinical presentation, strokelike symptoms are typical, though not always present.35
The main phenomena detected on imaging are ischemic and hemorrhagic lesions, which usually suggest the differential with vasculitis, emboli, or hypercoagulability. The ischemia-like lesions appear dynamic and evanescent between near-in-time imaging follow-ups. Furthermore, those possible tumor cells that extravasate beyond the vessels may focally reach the brain parenchyma, forming tumor islands that can appear as enlarging areas of parenchymal enhancement.2,36 Morphologic imaging features on these enhancing islands may be helpful for presurgical suspicion because they can express the signal characteristics of typical lymphoma. In addition, ependymal and leptomeningeal enhancement may also be present.36,37 Advanced imaging features may include a tumoral pattern on 1H-MR spectroscopy with high Cho to NAA ratios, as well as a characteristic DSC-PWI pattern with shortened MTT (differing from ischemic lesions), low-to-intermediate CBV, high PSR, and the characteristic time-intensity curve morphology of lymphomas in the CNS.7,18,20
In summary, this entity should be kept in mind whenever encountering MR imaging with hemorrhage and multiple dynamic ischemic lesions on T2WI and DWI, enlarging parenchymal enhancement, and possible associated leptomeningeal or subependymal disease (Fig 5).36,37
Intravascular lymphoma (A–D). Acute patched ischemia-like lesions on DWI (A), hemorrhages (B), and an area of enhancement (C), which grows on the subsequent few days of imaging control (D). Dashed arrow in C–D indicates the growth of the same enhancing-lesion in few days. DLBCL following a lymphomatosis cerebri pattern (E–J): extensive, patched, bilateral, and diffuse FLAIR hyperintensity on the basal ganglia (E) and white matter (F), with an area of enhancement in the left cerebellum (H) and associated leptomeningeal disease (arrow in H). Intermediate CBV in DSC-PWI color maps (I) and characteristic high PSR and time-intensity curve morphology (J). Tumoral pattern on 1H-MR spectroscopy at long TE with a high Cho-to-NAA ratio (H) and absent mIns at the short TE (not shown), helpful in the differential diagnosis with nontumoral entities and gliomatosis cerebri, respectively.
MALT Lymphoma of the Dura.
Lymphomas arising primarily in the dura are rare (≈1%) and usually correspond to MALT lymphoma. Occasionally, large B-cell lymphoma may also be primarily dural. Etiology and underlying associations are unknown.2,38
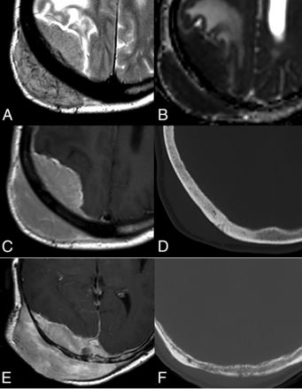
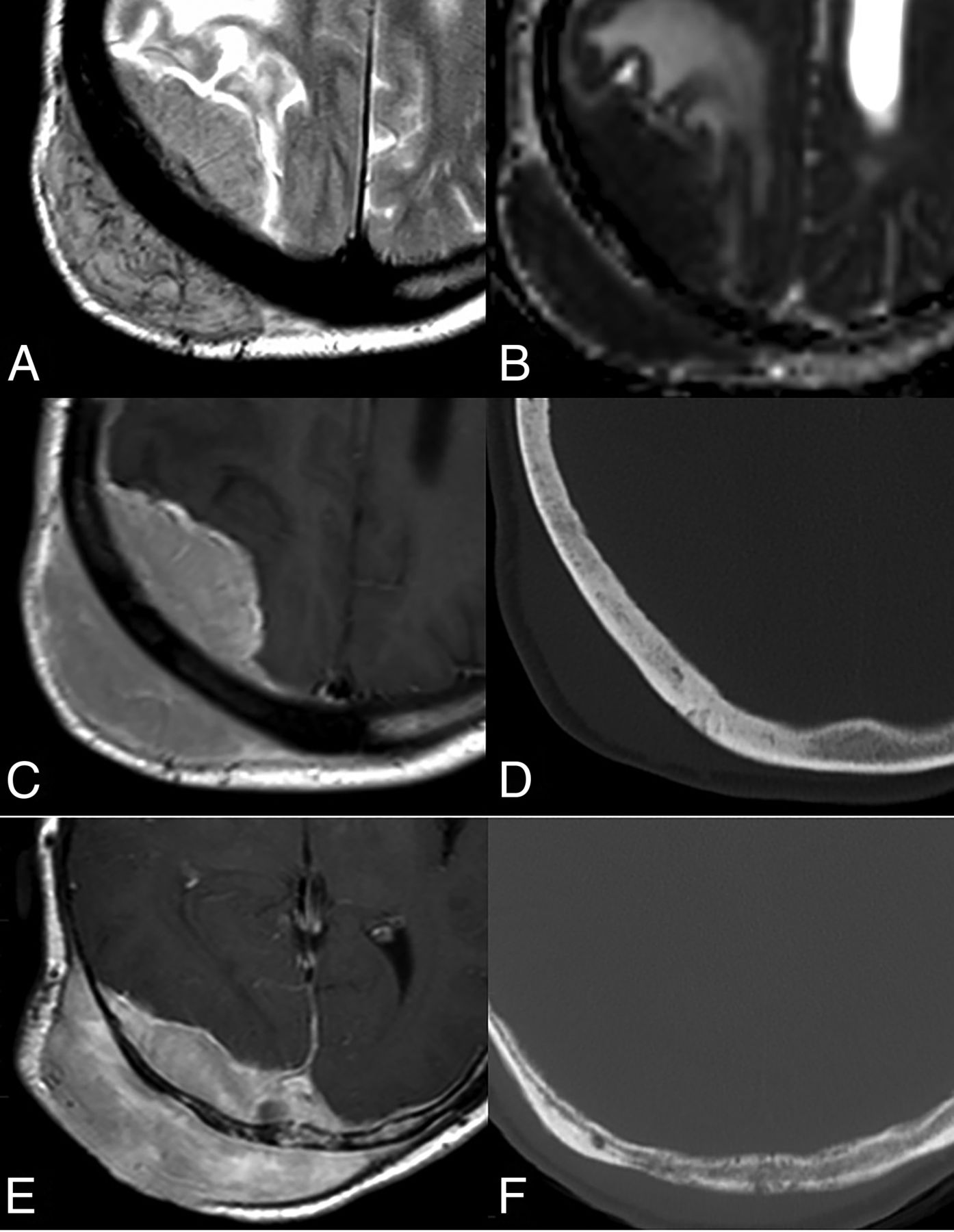
On conventional imaging, they appear as extra-axial lesions with a wide dural base, soft attachment angles, and a possible CSF cleft between the lesion and brain parenchyma. In addition, edema or brain tissue infiltration can occur. They usually appear homogeneous, NCCT hyperattenuated, T2WI hypointense, and with restricted diffusion; however, these features overlap with those of the most frequent extra-axial tumor in adults, meningioma (Fig 6).39,40
Dural lymphomas. MALT dural lymphoma (A–D) with extra-axial lesion features such as a CSF cleft (A) and a wide-implantation dural base with soft marginal angles (C), as well as T2-hypointensity (A) and diffusion restriction (B). Almost normal calvarial bone; only subtle sclerosis seen (D), despite the great soft-tissue component on both sides of the diploe (A–C). Similar imaging features with minimal bone destruction and a subtle permeative pattern (F) in comparison with the prominent soft-tissue component (E) in another diffuse large B-cell dural lymphoma (E and F).
Regarding advanced imaging, 1H-MR spectroscopy can be of help for the differential diagnosis because meningiomas characteristically present with alanine, metastases present abundant mobile lipids, and the rarer solitary fibrous tumors (formerly termed hemangiopericytoma) show a high myo-inositol peak.39
A clue for the presurgical suspicion of this tumor is provided by a characteristic pattern of bone infiltration or transdiploic extension. Characteristically, lymphoma presents as an extensive soft-tissue mass without bone destruction (normal bone to subtle permeative patterns) (Fig 6). This pattern is explained by the extension of tumor cells through Haversian canals. It differs from what is seen in meningiomas with hyperostosis or in plasmacytoma or metastasis with aggressive lytic destruction.39
Other Low-Grade B-Cell Lymphomas of the CNS, Anaplastic Large Cell Lymphoma ALK+/ALK−, T-Cell and Natural Killer (NK)/T-Cell Lymphoma.
The CNS WHO classification 2021 includes low-grade B-cell lymphoma of the CNS, ALK+/ALK−, T-Cell, and NK/T-cell lymphoma classified as miscellaneous, rare lymphomas in the CNS.2 They represent a heterogeneous group of tumors with scarce evidence of concrete imaging findings. While low-grade B-cell lymphomas may occasionally appear as lymphoma-like lesions, other very different radiologic appearances are described, such as resembling edema, glial tumor, meningioma, and gliosis.41 Regarding anaplastic large-cell and T-cell or NK/T-cell lymphomas, some authors postulate that they may resemble lymphoma or lymphomatosis cerebri on imaging, with other nonspecific presentations also possible (Fig 7). In summary, very heterogeneous imaging presentations, occasionally resembling lymphoma, can be seen in this heterogeneous group of exceptional entities.41⇓-43
NK/T-cell lymphoma presenting with a lymphomatosis cerebri radiologic pattern (A–C). Patched and diffuse, bilateral and asymmetric, deep and subcortical, hyperintense lesions on FLAIR (A and B) without contrast enhancement (C).
Lymphomatosis Cerebri.
Lymphomatosis cerebri corresponds to a clinical-radiologic pattern that is not included as a concrete histopathologic WHO entity. It may be observed in the context of different histologic lymphoma subtypes, but in most cases, it corresponds to primary DLBCL of the CNS. The typical clinical presentation is a subacute onset of dementia, cognitive impairment, and personality changes.44,45
It consists of a nonenhancing or scarcely-enhancing (30%) T2-FLAIR hyperintense infiltration of brain tissue. It is usually located in white matter regions, with different distributions ranging from focal to patched or diffuse. The main differential includes gliomatosis cerebri (also considered a radiologic pattern and not a WHO entity) and inflammatory and toxic-metabolic diseases. Of note, in this form of CNS lymphoma, brain lesions may be highly variable and change between near-in-time follow-up scans.44⇓⇓-47
In line with what was detailed in the intravascular lymphoma section, the detection of a tumoral pattern on 1H-MR spectroscopy without relevant amount of mIns (potential glial marker present in gliomatosis) in abnormal areas of T2-FLAIR hyperintensity, as well as the above-described characteristic DSC-PWI pattern in the possible enhancing lesions, supports presurgical suspicion46,47 (Fig 5).
Secondary Lymphomas of the CNS.
Secondary lymphoma refers to the CNS spread of lymphoma that originated elsewhere. It may be as an isolated recurrence or as a synchronic systemic disease with an overall incidence of around 5%–10% in patients with systemic lymphomas, usually non-Hodgkins. Its occurrence is directly correlated with pathologic aggressiveness and ranges from <3% in the indolent, less-aggressive histologies to as high as 50% in the very aggressive ones such as Burkitt lymphoma.48
Although historically, it has been thought that secondary lymphomas presented with leptomeningeal involvement in a high proportion of cases (around 70%11); more recent data differ, suggesting parenchymal involvement in 40%–60%, leptomeningeal in 20%–30%, and both in 10% (Fig 8).49,50 This higher proportion of parenchymal involvement in secondary lymphoma is important to consider in the radiologic interpretation because it is nonspecific for differentiation from primary CNS lymphoma, in which parenchymal lesions are almost constant.11 Despite these differing disease distributions, imaging can frequently overlap, and differentiation between primary and secondary must rely on other staging examinations, such as a PET/CT scan, bone marrow aspiration, testicular sonography, vitreal examination, and the patient’s history of systemic lymphoma.48,50
Imaging findings in secondary lymphomas of the CNS. A–B: Thin subtle linear (arrow in A) and nodular (B) subependymal enhancements. C–D: Prominent leptomeningeal disease along the superior vermian and cerebellar folia and third cranial nerve (arrow in C) as well as inside the right internal auditory canal—cranial nerves VII and VIII—and along the trigeminal nerve in the right Meckel cave and the left cisternal segment (arrows in D). Associated parenchymal mass in the left temporal lobe (C). E–F: Secondary lymphomas presenting as predominant intraparenchymal lesions with associated adjacent subependymal (E) and leptomeningeal (F) disease.
CONCLUSIONS
The classification of CNS lymphomas is evolving. The radiologist plays a key role in the initial management of lymphomas, and a failure to suggest the possibility of this diagnosis on initial imaging may have a negative clinical impact. For this reason, the radiologist needs to be aware of the full spectrum of imaging presentations of CNS lymphoma. In this sense, we note some key points:
Primary DLBCLs of the CNS present as homogeneous lesions, hyperdense on NECT, T2 hypointense, and with restricted diffusion. The presence of a certain degree of hemorrhage or signs of necrosis should not rule out their presurgical diagnosis.
Immunodeficiency-associated lymphomas (primary DLBCLs of the CNS, EBV-positive) appear as necrohemorrhagic tumors in potentially immunocompromised hosts. Special attention must be paid to the features of DSC-PWI, which may provide findings that suggest lymphoma.
Dural lymphoma should be suspected when a disproportionate soft-tissue mass without relevant bone destruction is identified in an extra-axial transdiploic tumor.
Intravascular lymphoma and lymphomatosis cerebri may be evolutive diagnoses of suspicion when dynamically changing T2-FLAIR areas of signal abnormality (and hemorrhage in intravascular lymphoma) are found. Also, attention must be paid to leptomeningeal and subependymal enhancement.
DSC-PWI and 1H-MRS provide clues of great help in the differential diagnosis for each lymphoma subtype.
Secondary lymphomas often appear as parenchymal lesions. Isolated leptomeningeal or subependymal disease is characteristic but apparently less prevalent than formerly assumed.
Acknowledgments
We thank CERCA Programme/Generalitat de Catalunya for institutional support.
Footnotes
This work was partially supported by a grant from the Instituto de Salud Carlos III (PI20/00360) to Carles Majós and Albert Pons-Escoda.
Disclosure forms provided by the authors are available with the full text and PDF of this article at www.ajnr.org.
Indicates open access to non-subscribers at www.ajnr.org
References
- Received December 6, 2022.
- Accepted after revision January 19, 2023.
- © 2023 by American Journal of Neuroradiology