Abstract
SUMMARY: Posterior fossa “horns” caused by internal hypertrophy of the occipitomastoid sutures are one of the more recently defined cranial abnormalities described in mucopolysaccharidoses, especially in Hurler Syndrome. However, details of this finding, including the development and natural history, are not well-understood. Two hundred eighty-six brain MR imaging studies of 61 patients with mucopolysaccharidosis I-Hurler syndrome treated at single institution between 1996 and 2015 were studied. Posterior fossa horn height was measured as the perpendicular distance from the tip of the horn to the expected curvature of the occipital inner table. Fifty-seven of the 61 patients (93.4%) had evidence of posterior fossa horns on at least one occasion. The initial average height of the right horn was 4.5 mm, and the left horn, 4.7 mm. Most of the posterior horns regressed before transplantation in our cohort, though the exact age was variable among the patients. Nearly all patients in our cohort had posterior fossa horns, and these horns regressed with age. The regression of the horns frequently started before transplantation. This trend has not been previously described, and it may suggest unknown effects of mucopolysaccharidosis on skull development.
ABBREVIATIONS:
- GAG
- glycosaminoglycan
- MPS IH
- mucopolysaccharidosis I-Hurler syndrome
Mucopolysaccharidosis type I-Hurler syndrome (MPS IH) is characterized by α-L-iduronidase deficiency, leading to dermatan sulfate and heparan sulfate accumulation, which are types of glycosaminoglycans (GAGs). MPS IH is the most severe form of lysosomal storage disease with GAG deposits in all tissues, causing organ damage, neurocognitive delay, and musculoskeletal abnormalities.1,2 Although enzyme replacement therapy and hematopoietic stem cell transplantation have a positive impact on neurocognitive development and mortality, these treatments do not seem to halt or reverse damage in other tissues.3⇓⇓-6
Many intracranial and skull radiographic findings of MPS IH have been described. For instance, dilated perivascular spaces, cerebral atrophy, abnormal white matter, and ventriculomegaly are common findings.7,8 Dysostosis multiplex, the constellation of skeletal manifestations due to altered endochondral and membranous bone growth, includes a J-shaped sella turcica, thickened cortical bone, poor maxillary sinus pneumatization, sphenoid wing remodeling, and abnormally shaped vertebral bodies.8⇓-10 Recently, posterior fossa “horns” were described as a new common feature in patients with mucopolysaccharidosis and were most common in patients with MPS IH.9 These horns result from internal hypertrophy of the occipitomastoid sutures, which the authors believed to be caused by GAG deposits and early suture closure.9,11 Posterior fossa horns could impact the development of the posterior cranial fossa and/or hydrocephalus, but no study has fully examined the prevalence and progression in patients with MPS IH.
In this study, we describe the prevalence of posterior fossa horns in patients with MPS IH, and their evolution with age.
MATERIALS AND METHODS
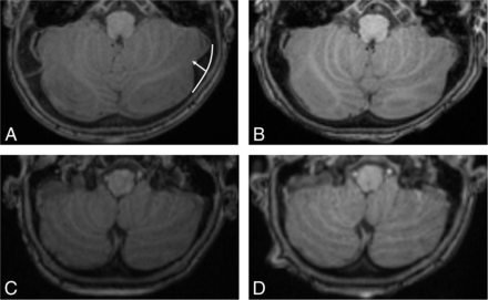
All patients with MPS IH treated at our institution between 1996 and 2015 were retrospectively reviewed. Each brain MR imaging of all patients during this period was reviewed. Axial reconstructions from 0.9-mm MPRAGE T1-weighted or axial 4-mm T2-weighted TSE images were used for measurement. When present, both the left and right posterior fossa horns were measured as the perpendicular distance from the tip of the horn to the expected curvature of the inner table of the occipital bone (Fig 1A). Consensus reviews were achieved among a medical student, a radiology resident, and a staff neuroradiologist. Basic linear regression was used to detect relationships between the changes of posterior fossa horns and age. Summary statistics and the Student t test were used to describe the averages of the posterior fossa horns.
A, T1-weighted axial images demonstrate a progressive decrease in the size of the posterior fossa horns in a patient who underwent hematopoietic stem cell transplantation at 1 year of age. The height of the posterior fossa horn is measured from the expected curvature of the inner table (curved white line) to the tip of the horn (A, white arrow). The posterior horns measure 6.3 mm R/5.4 mm L at 0.9 years (A). They are 4.1 mm R/3.2 mm L at 1.8 years (B) and 2.0 mm R/1.0 mm L at 4.1 years (C). D, They are 0 mm R/0 mm L at 5.9 years (D).
RESULTS
Two hundred eighty-six brain MR imaging studies in 61 patients from 1996 to 2015 were reviewed. Fifty-seven of the 61 (93.4%) patients reviewed were found to have varying degrees of posterior fossa horns at some time point during this period. Ages ranged from 1 month to 20 years, with a mean age of 4.7 years and median age of 3.4 years. Among patients who had posterior fossa horns, the average age at their first scan was 1.6 years, and among patients who did not have posterior fossa horns during this period, the average age at their first scan was 11.2 years. There was no statistical difference between the left and right posterior fossa horns (P > .01). Three patients had CT scans showing coexisting open occipitomastoid sutures and posterior fossa horns at an early age (Fig 2). The average left and right posterior fossa horns were largest before 1 year of age, 5.8 mm and 6.7 mm, respectively, and the sizes progressively decreased as the patients aged (Table and Fig 3). There is a significant negative correlation (R2 = 0.23, P < .01, and R2 = 0.32, P < .01) between the size of both left and right posterior fossa horns and age. The longitudinal regression of the posterior fossa horns is illustrated in 29 patients who each had ≥5 scans and received a hematopoietic stem cell transplant, which shows that the decrease in size of the posterior fossa horns started before transplantation (Fig 4).
Average right and left posterior fossa horn breakdown by age
CT images show bilateral internal hypertrophy yet open occipital mastoid sutures (white arrows) in 3 different patients with MPS IH. A, This is the first patient with CT at the head bone window obtained at 1 year of age. B, This is the second patient with CT at the head bone window obtained at 1.6 years of age. C, This is the third patient with CT at the head bone window obtained at 1 year of age.
Average left and right posterior fossa horns by age. R indicates right; L, left.
Progression of posterior fossa horns as patients age in 29 patients who had ≥5 measurements. Year 0 denotes the year of transplantation.
DISCUSSION
Hematopoietic stem cell transplant and enzyme replacement therapy have drastically improved the life span of patients with MPS IH, but such treatments have had limited effects on musculoskeletal abnormalities.2,6 Many studies have examined the brain MR imaging findings of MPS IH, and most recently Damar et al9 described the findings of posterior fossa horns due to internal hypertrophy of the occipitomastoid sutures in an MPS IH population and reported an incidence of 54% (6 of 11). However, to our knowledge, no literature has tracked the prevalence and regression of these posterior fossa horns among patients with MPS IH.9⇓-11
We found that posterior fossa horn prevalence was much higher at 93.4% (57/61) in our cohort of patients with MPS IH. The largest posterior fossa horns were found in the youngest patients (Table and Fig 3). A possible explanation for the different prevalence between the study of Damar et al9 and our study could be that our larger study had longitudinal follow-up across a broad range of ages, which included several young patients. The study of Damar et al reported a mean age of 8 in all types of mucopolysaccharidosis studied, but it did not report the mean age of the MPS IH cohort. We found that 7 of 61 (11.5%) patients developed posterior fossa horns or had a transient increase in the size of posterior fossa horns before the 2 years of age, but in these patients, the posterior fossa horns quickly regressed like the rest of the cohort. We theorize that a study with older children could potentially miss the transient appearance of posterior fossa horns in young childhood because we demonstrated that the small proportion of our cohort of patients who did not have posterior fossa horns during the study period was much older than the patients who did (11.2 versus 1.6 years).
In this study, we report a decrease in the severity and prevalence in posterior fossa horns in MPS IH patients with age. These findings have not been reported in this population before. In 29 patients who had >5 measurements and transplantation, it is evident that even before the transplantation, the posterior fossa horns started to regress, suggesting that this phenomenon may be a natural consequence of growth and development in MPS IH rather than a response to hematopoietic stem cell treatment (Fig 4).
Skull sutures serve as sites of intramembranous bone growth, and their timed expansion allows brain growth.12 The fusion patterns vary depending on the suture, and particularly, the occipitomastoid suture only partially closes in <30% of healthy individuals and can stay open even in the ninth decade.13,14 Oussoren et al11 examined the incidence of early closure of major sutures in patients with mucopolysaccharidosis and showed that as many as 11 of 14 patients with MPS IH (71%) had early major suture closure resulting in craniosynostosis. However, to our knowledge, there is no study examining the minor sutures in patients with MPS IH. While CT scans were not commonly performed in our cohort, we found 3 separate cases with large posterior fossa horns and open occipitomastoid sutures, suggesting that the prominence of the posterior horn was not due to early suture closure as postulated in the early study involving major sutures but rather likely due to the effects of MPS IH (Fig 2).
Damar et al9 also observed posterior fossa horns in 4 of 14 patients with mucopolysaccharidosis II (Hunter syndrome) and 2 of 14 patients with mucopolysaccharidosis VI (Maroteau-Lamy syndrome). Again, it is unclear whether the actual prevalence of posterior fossa horns in other forms of mucopolysaccharidosis is higher due to the effect of age as we described. It is also unclear whether this finding is present in patients with other forms of lysosomal storage disease or even in the healthy cohort because this finding has only been recently described. A longitudinal study with a large patient cohort is needed to further address this question.
One study limitation is that the age at the first scan was variable and the follow-up interval was also different, but the data still illustrated the overall decrease of posterior fossa horns bilaterally with time. Also, we had relatively few patients in the neonate period, and the timing of posterior fossa horn development has not yet been determined. Additional studies could further elucidate the growth of posterior fossa horns, such as whether posterior fossa horns are present in utero, perhaps with fetal MR imaging. Also, future studies could determine whether posterior fossa horns result in any consequences, such as vascular compression, that may lead to transient intracranial venous hypertension or perhaps contribute to the development of hydrocephalus.
CONCLUSIONS
Posterior fossa horns are very common in younger patients with MPS IH. In our cohort, these posterior fossa horns decreased in size in all patients, beginning before transplantation, a feature not previously reported. Posterior fossa horns are present despite open occipitomastoid sutures, contrary to the previous postulation that early fusion of sutures could be the cause of the posterior fossa horns. These findings suggest other effects of MPS IH on the developing skeletal system that are not fully understood.
Footnotes
Disclosure forms provided by the authors are available with the full text and PDF of this article at www.ajnr.org.
References
- Received March 3, 2023.
- Accepted after revision June 7, 2023.
- © 2023 by American Journal of Neuroradiology











