Abstract
SUMMARY: MR imaging is well-established as the criterion standard for carotid artery atherosclerosis imaging. The capability of MR imaging to differentiate numerous plaque components has been demonstrated, including those features that are associated with a high risk of sudden changes, thrombosis, or embolization. The field of carotid plaque MR imaging is constantly evolving, with continued insight into the imaging appearance and implications of various vulnerable plaque characteristics. This article will review the most up-to-date knowledge of these high-risk plaque features on MR imaging and will delve into 2 major emerging topics: the role of vulnerable plaques in cryptogenic strokes and the potential use of MR imaging to modify carotid endarterectomy treatment guidelines.
ABBREVIATIONS:
- CAS
- carotid artery stent placement
- CEA
- carotid endarterectomy
- ESUS
- embolic stroke of undetermined source
- HR
- hazard ratio
- IPH
- intraplaque hemorrhage
- Ktrans
- volume transfer constant
- LRNC
- lipid-rich necrotic core
- QSM
- quantitative susceptibility mapping
- TRFC
- thinning or rupture of the fibrous cap
Carotid artery atherosclerosis is a major contributor to ischemic strokes, responsible for up to 20% of strokes and TIAs.1 Historically, carotid artery disease was classified on the basis of the degree to which a plaque narrowed an arterial lumen. However, it is now known that certain histologic characteristics make some plaques more susceptible than others to sudden symptomatic changes. Patients with these “vulnerable” plaque features have a 3 times higher incidence of ipsilateral neurologic ischemic events than those with stable plaques.2
The field of MR imaging of carotid artery atherosclerotic plaques continues to rapidly evolve. Thus, it is crucial that physicians keep up to date on the current applications of such imaging. This review will highlight the most recent developments in different types of high-risk plaque. It will also touch on 2 emerging topics: the use of carotid plaque imaging in the setting of cryptogenic strokes and how plaque imaging may influence future changes in treatment recommendations for carotid atherosclerosis.
Overview of MR Imaging of Carotid Plaque
MR imaging is the criterion standard for carotid artery plaque characterization and is best able to differentiate between “soft” plaque components, such as lipid material, and hemorrhage.3 However, variations in plaque imaging protocols exist, typically based on institutional preference. For example, some institutions elect not to use dedicated carotid surface coils, limiting the ability to evaluate the fibrous cap.4 In general, both pre- and postcontrast sequences are obtained without or with fat saturation.5 Many institutions now use 3D sequences (including 3D TOF, 3D MPRAGE, and 3D FSE; eg, sampling perfection with application-optimized contrasts by using different flip angle evolutions [SPACE sequence; Siemens] and/or Cube; GE Healthcare) to allow multiplanar reformatting.1,6
Regardless of institutional preferences, consensus guidelines on MR imaging of plaque do exist. These include the use of 1.5T or 3T scanners, in-plane resolution of 0.6 mm, and effective blood suppression. At minimum, a plaque protocol should be able to identify intraplaque hemorrhage (IPH), lipid rich necrotic core (LRNC), degree of stenosis, fibrous cap condition (disruption and/or ulceration), and plaque burden and distribution.3
Updates on High-Risk Features
Numerous high-risk carotid artery plaque features have been extensively described. Each of these features increases the risk of a plaque being symptomatic, leading to future ischemic neurologic events or causing accelerated plaque growth. Here, we will review these one by one, with commentary on the histologic features, imaging appearance, and recent insights of each feature.
Lipid-Rich Necrotic Core
An LRNC represents the earliest visible feature of vulnerable plaques. Atherosclerotic plaques begin as lipid streaks, in which lipid material deposits in the intima of arterial walls. Macrophages take up this lipid material, forming so-called “foam cells.” Excessive accumulation of such cells ultimately results in cell lysis and necrosis, leading to the formation of extracellular lipid pools, which eventually coalesce into an LRNC.7
On MR imaging, the LRNC tends to be mildly hypo- to mildly hyperintense to adjacent musculature on fat-suppressed T1-weighted images. LRNCs also lack markedly hyperintense signal on heavily T1-weighted images (namely MPRAGE images), signifying that superimposed plaque hemorrhage is absent (Fig 1). Specifically, LRNCs are slightly hypointense to adjacent muscle on MPRAGE images. Contrast-enhanced images can help distinguish an LRNC from the overlying fibrous cap; fibrous tissue enhances, while LRNCs do not.
Example of an LRNC. Axial CTA image (A) demonstrates a peripherally calcified (solid arrows) plaque with a soft interior (dashed arrow). The corresponding axial-reformatted MPRAGE image (B) similarly demonstrates areas of calcifications with markedly low signal (solid arrows); the plaque interior lacks bright signal, ruling out hemorrhage (dashed arrow). T1 fat-saturated Cube image (C) shows hyperintense signal in the plaque interior (dashed arrow), compatible with an LRNC. Asterisks denote the vessel lumen.
In general, LRNC is less concerning than other high-risk plaque features. Nevertheless, LRNCs may be symptomatic. A 2020 meta-analysis, for example, found the hazard ratio (HR) of LRNC to be 2.73 (95% CI, 1.04–7.16) for recurrent stroke or TIA.8 In addition, LRNCs can increase in size or be precursors of higher-risk plaque features.9 Once a LRNC has formed, a plaque may become a higher grade, losing fibrous cap integrity or developing plaque hemorrhage or ulceration.
Treatment with high-intensity statins decreases the size of LRNCs, and this effect can be monitored in vivo using plaque imaging on MR imaging. The degree of expected lipid depletion is dependent on the duration of therapy. After 3 months, modest effects are typically observed.10 After 3 years, however, the LRNC volume and the percentage of overall plaque volume can decrease by as much as 50%.11 This trend has been confirmed with a meta-analysis, in which no significant differences were found after 1–6 months or 7–12 months of therapy, but a significant decrease in LRNC volume was found after 1 year.12
Intraplaque Hemorrhage
IPH is thought to be caused by the breakdown of immature neovasculature, which commonly proliferates along the surface of a plaque. IPH remains the most validated imaging marker of a high-risk carotid artery plaque. It is a significant contributor to plaque growth, is associated with ipsilateral neurologic symptoms, and increases the risk of future strokes.
Historically, IPH was identifiable on T1-weighted MR images; hemorrhage was notably bright given the methemoglobin in the blood products. MPRAGE sequences were later developed to further highlight the T1 intensity within the IPH (Online Supplemental Data). More recently, some institutions have begun using simultaneous noncontrast angiography and intraplaque hemorrhage (SNAP) sequences, which provide high contrast between flowing blood and IPH.13
The association between IPH and ipsilateral neurologic ischemic events has been extensively documented.14 Recent studies have supported this evidence, with substantial HRs. A 2020 meta-analysis, for example, found the HR of IPH for recurrent stroke or TIA to be 7.14 (95% CI, 4.32–11.82).8 Another recent meta-analysis found that IPH increased the risk of ipsilateral stroke in both asymptomatic (HR = 7.9; 95% CI, 1.3–47.6) and symptomatic (HR = 10.2; 95% CI, 4.6–22.5) patients.15 Che et al16 found that IPH had a HR of 8.08 (95% CI, 3.65–17.91) for recurrent ischemic events. Some reports suggested that the brighter signal intensity in IPH was associated with increased ipsilateral ischemia.17,18 A more recent study, however, refuted these findings.19
More is now known about when to expect IPH: It is more common in older men, smokers, and patients with hyperlipidemia and hypertension.20 IPH is also more common in the left-sided carotid arteries for reasons that remain unclear.21 Recent studies have confirmed such findings. van Dam-Nolen et al,22 in a cohort of patients with symptomatic plaques causing mild-to-moderate stenosis, found both the presence of IPH (HR = 2.12; 95% CI: 1.02–4.44) and total plaque volume (HR = 1.07; 95% CI, 1.00–1.15) to be associated with recurrent ipsilateral strokes.
In recent years, there has also been a better understanding that plaques with IPH are often symptomatic, even when nonstenotic. For example, Nardi et al20 assessed a cohort of patients that had undergone carotid endarterectomy (CEA) for symptomatic carotid atherosclerosis, subdivided into patients with mild (<50%), moderate (50%–69%), and severe (≥70%) stenosis. The authors found that IPH was significantly more common in patients with mild stenosis (15.7%) than in those with moderate (3.9%) or severe (2.5%) stenosis. Another study found that IPH was associated with ipsilateral ischemia in patients with <30% stenosis (OR = 5.68; 95% CI, 1.49–21.69), but no such association was found in arteries with >30% stenosis.23 Nevertheless, larger plaques are more likely to develop IPH: Increased stenosis is independently associated with IPH on imaging (OR = 1.02; 95% CI, 1.01–1.03).23
The signal related to IPH has drawn continued attention in studies across the years. In general, it seems increasingly clear that the MPRAGE signal related to IPH remains present on follow-up examinations in most patients. van den Bouwhuijsen et al,24 for example, found that 94% of IPH remained present on subsequent examinations. Yamada et al,25 similarly, found that 97% of plaques retained IPH on follow-up MRIs, with no significant change in volume noted with time (Fig 2). It is not clear why abnormal signal at the site of IPH persists across multiple examinations. Takaya et al26 suggested that a relative lack of macrophages in a plaque would delay the degradation of blood products. Others believe that the signal reflects stagnant proteinaceous remnants of lytic blood and/or recurrent hemorrhage.25 Signal characteristics on other sequences may be used to determine the chronicity of blood products. Chu et al,27 for example, found that chronic IPH was hypointense on T1WI, T2WI, and TOF. More recently, quantitative T1 mapping has been used to distinguish acute and chronic IPH, with moderate (κ = 0.40, P = .028) agreement in terms of imaging classification.28
Example of persistent IPH in a 71-year-old man who presented with acute disorientation and unsteady gait. MR imaging of the brain at the time of admission (not shown) demonstrated multiple acute left cerebral infarcts. Axial CTA image (A) shows a mixed calcified (dashed arrow) and soft (solid arrows) plaque in the left ICA. Corresponding MPRAGE image (B) demonstrates IPH throughout the soft plaque components (solid arrows); the focal calcification is also noted (dashed arrow). The patient was started on dual antiplatelet therapy (aspirin and clopidogrel). One year later (C), the appearance of the IPH (solid arrows) and calcification (dashed arrow) was unchanged. Asterisks denote the vessel lumen.
Finally, recent studies have sought to use quantitative susceptibility mapping (QSM) in carotid plaque imaging to better delineate IPH. QSM is able to differentiate between paramagnetic (eg, iron within hemoglobin) and diamagnetic (eg, calcium) materials.29 Volumes of both IPH and calcification detected on QSM have already been shown to agree with findings on conventional plaque MRA techniques.30 In addition, QSM may help distinguish IPH and LRNC, both of which are hyperintense on T1WI. Ikebe et al,31 for example, found that IPH had a significantly higher signal intensity than LRNC, while calcifications demonstrated expectedly low signal intensity.
Ulcerations
A plaque ulceration is a defect in the fibrous cap of a plaque, defined as being an indentation, erosion, or fissuring of the luminal surface of the plaque. These defects are due to weakening of the cap, often due to local inflammation or hemodynamic stress. The result is of substantial clinical concern: Ulcerations expose the inner plaque contents to the arterial blood. This exposure can both rapidly de-stabilize the plaque and allow plaque contents to embolize to the brain.
Although the description of ulceration on imaging varies among studies, most authors define an ulcer as a cavitation into a plaque measuring at least 1–2 mm (Online Supplemental Data).32 The prevalence of plaque ulceration in symptomatic patients is up to 27%. Larger and more stenotic plaques, plaques with higher volumes of LRNC and/or IPH, and plaques with loss of fibrous cap integrity are more likely to develop ulcerations.33 Also, ulcerations are more likely to affect the portion of the plaque proximal to the region of maximum stenosis.34
Historically, ulcerations have been considered one of the main sources of cerebral microemboli. Most recent studies have concurred with this concept, showing that ulcers increase the risk of ipsilateral neurologic ischemic events. A 2017 meta-analysis, for example, found ulcerations to be strongly associated with ipsilateral ischemia, with ORs ranging from 1.5 to 4.9.35 A 2020 study found that patients with plaque ulceration had greater severity of ischemic strokes.36
However, some recent data on the clinical importance of ulcerations have been contradictory. van Dam-Nolen et al,22 also using data from the Plaque At Risk (PARISK) study, found that the presence of plaque ulceration was not a determinant of stroke in symptomatic plaques with <70% stenosis. Fisher et al37 found that the prevalence of ulceration was similar in plaques associated with ipsilateral and contralateral symptoms (34% and 42%, respectively). Nevertheless, the bulk of evidence supports the notion that ulcerated plaques are more likely to cause symptoms and increase a patient’s risk of future strokes.
Loss of Fibrous Cap Integrity
Fibrous caps form early during atherosclerotic plaque development, in which smooth-muscle cells migrate toward the vessel lumen. The cap is functionally protective: It separates the soft plaque components, eg, LRNC and IPH, from blood in the vessel lumen. A thick, well-formed cap can typically withstand pulsatile hemodynamic forces and is a marker of plaque stability, while a thinned or disrupted cap is a high-risk feature that portends future ischemic events. Specifically, cap disruption can lead to fissuring, ulceration, or rupture and can expose the thrombogenic components of a plaque to both platelets and coagulation factors in the bloodstream.
On MR imaging, a fibrous cap is located along the surface of a plaque and is typically hypointense on TOF images, isointense on T1 and T2, and enhances on postcontrast images. In general, assessment of the fibrous cap requires high-resolution carotid plaque surface coils; the accuracy of identifying the fibrous cap with a standard coil is limited.4 Even with high-resolution surface coil imaging, the fibrous cap can be difficult to accurately assess. On imaging, therefore, loss of cap integrity is often combined under the umbrella of thinning or rupture of the fibrous cap (TRFC).
TRFC has been repeatedly shown to be associated with neurologic ischemic events. Recent meta-analyses have confirmed these findings.38 In addition, recent studies have assessed the significance of plaque surface irregularity without specifically looking at TRFC. Li et al,39 for example, found that irregular surfaces were found in more than half of plaques and that irregularities were associated with LRNC and IPH, as well as subsequent vascular events (HR = 11.02; 95% CI, 2.65–45.85).
Plaque Enhancement
Unstable plaques are often characterized by inflammation and/or neoangiogenesis. These often coexist: Inflammatory cells are typically located near regions of fibrous cap disruption, where neovascularization also occurs. Histologic evidence of plaque inflammation—particularly greater numbers of macrophages—is associated with neurologic symptoms. For example, there is a direct correlation between the number of nonlacunar brain infarcts and the quantity of macrophages.40
On imaging, both fibrous tissue (ie, the fibrous cap) and tissue near the vessel adventitial boundary typically demonstrate enhancement in all plaques. Necrotic tissue (ie, the LRNC) is usually nonenhancing. Enhancement superimposed over a LRNC is considered pathologic and a marker of plaque vulnerability (Fig 3).41 Millon et al42 specifically found central enhancement to be a marker of either plaque rupture or loose fibrosis. Other authors have found that pathologic enhancement has been shown to represent either inflamed tissue or areas of neovascularization; thus, enhancement is often grouped together under the nomenclature of “plaque activity.”
Example of pathologic plaque enhancement. Axial fat-saturated T1 Cube (A) and MPRAGE (B) images show a plaque in the left ICA, with both hemorrhagic (straight arrows) and nonhemorrhagic LRNC (curved arrows) regions. On the postgadolinium fat-saturated T1 Cube image (C), the LRNC component demonstrates marked enhancement (dashed arrow), while the hemorrhagic component does not (straight arrow). Asterisks denote the vessel lumen.
Historically, studies have focused on establishing plaque enhancement as a high-risk, pathologic finding. It was shown to correspond to multiple histologic markers of vulnerability, including neovascularization, macrophages, and loose fibrosis.42 Enhancement is also more common in symptomatic patients, while its absence is a negative predictor of cerebral ischemic events.43
Recently, many studies have focused on the use of dynamic contrast-enhanced MR imaging to detect and characterize atherosclerotic neovascularization.44 Dynamic contrast images allow the analysis of the intraplaque pharmacokinetic parameter, the volume transfer constant (Ktrans), which is representative of microvascular density, permeability, and flow. Studies have shown, for instance, that Ktrans is associated with plaque types on the basis of the American Heart Association classifications.45 Nevertheless, Ktrans remains an emerging research field and will need to be further refined before being regularly used in clinical practice.
Contrast enhancement in the adventitial layer of carotid plaque has also been associated with an increased risk of stroke. In a study of 58 patients with carotid atherosclerosis, Wasserman46 found that patients with adventitial enhancement had a significantly higher rate of ipsilateral stroke. The presence of adventitial enhancement in carotid plaque may indicate the presence of inflammation or neovascularization, both of which have been linked to plaque instability and an increased risk of stroke. The ability to detect adventitial enhancement on contrast-enhanced MR imaging may thus provide an additional tool for identifying high-risk carotid plaques and guiding appropriate management strategies.
Calcifications
Calcifications are commonly observed in atherosclerotic plaques and are found in up to 90% of atheromas.47 On MR imaging, calcifications are markedly hypointense on all sequences, sometimes described as being “jet black” in appearance (Online Supplemental Data). Unlike the previously described plaque components, calcifications are thought to have beneficial effects on atherosclerosis.48 Hunt et al,49 for example, found that patients with calcified atherosclerotic plaques were more likely to be asymptomatic (P = .042). Larger, bulky calcifications specifically are more likely to be found in asymptomatic patients.50 Thus, plaque calcifications are a marker of plaque stability, representing a more quiescent, low-risk form of atherosclerosis.
Much of the recent data on this presumption have agreed with this hypothesis. The aforementioned PARISK study, for example, found no association between the proportion of calcification and the risk of stroke.22 A recent meta-analysis by Baradaran et al35 found that the patients with calcified carotid plaques had a lower incidence of stroke (OR = 0.5; 95% CI, 0.4–0.7). Zhang et al,51 in another meta-analysis, found calcified plaques to be much less likely to cause strokes than plaques with vulnerable features. Similarly, data from the Rotterdam Study found no association between carotid artery calcifications and stroke.52
However, our understanding of this subject continues to evolve. Increasingly, it is thought that it is insufficient to characterize intraplaque calcifications solely on the basis of their binary presence or absence or total calcification volume.53 Studies that use such simplified assessments failed to recognize the complex relationship between calcific and noncalcific components of atherosclerotic plaques. On CTA, for example, intraplaque calcifications have been categorized on the basis of their imaging appearances.54 Using this classification, scattered microcalcifications can cause vulnerability by acting as an intraplaque stresser.55 Moreover, the so-called rim sign, adventitial calcifications (<2-mm-thick) with a soft plaque component (≥2 mm), has been shown to be associated with intraplaque hemorrhage.56,57
These classifications of intraplaque calcifications have not been validated on MR imaging and remain largely restricted to CT. Nevertheless, calcifications play a more nuanced role in atherosclerosis formation and stability than what was previously thought.
Emerging Trends
Many of the recent developments of carotid plaque imaging are beyond the scope of this review. However, there are 2 major emerging trends in MR imaging of carotid plaque that deserve specific review because they have the potential to substantially impact patient care: the role of vulnerable plaques in embolic strokes of undetermined source (ESUSs) and how MR imaging may influence treatment decisions. Here, we will give a brief review of these topics and discuss how recent literature may guide changes in diagnoses and/or treatment strategies.
ESUSs
ESUSs are defined as being embolic-type ischemic neurologic events in patients without a known etiology. On the basis of the definition established by the Trial of Org 10172 in Acute Stroke Treatment (TOAST),58 “cryptogenic” strokes are restricted to patients with <50% stenosis of the ipsilateral carotid artery (ie, a “nonstenotic plaque”) who have no potential cardiogenic source of emboli and no other known stroke source. The terminology of such strokes varies. Some authors state that ESUSs constitute many of the so-called cryptogenic strokes, while others prefer that the term ESUSs replace the term “cryptogenic.”59,60 ESUSs account for 16%–25% of strokes, are prone to recurrence, and tend to occur in younger patients.59
Increasingly, researchers believe that many ESUSs may originate from nonstenotic ipsilateral carotid plaques with vulnerable features. Coutinho et al60 noted that large-but-nonstenotic plaques were significantly more common in the ipsilateral carotid arteries in patients with ESUSs. Subsequent studies supporting this theory have been primarily based on CTA-based trials. Data from both the Identifying New Approaches to Optimize Thrombus Characterization for Predicting Early Recanalization and Reperfusion With IV Alteplase and Other Treatments Using Serial CT Angiography (INTERRSeCT) trial and the Systematic Evaluation of Patients Treated with Neurothrombectomy Devices for Acute Ischemic Stroke (STRATIS) registry, for example, found that nonstenotic plaques were significantly more common in the ipsilateral carotid artery compared with the contralateral side.61,62
MR imaging data regarding plaque composition in the setting of ESUSs, however, remain sparse. Results from the Carotid Plaque Imaging in Acute Stroke (CAPIAS) study indicated that both a ruptured fibrous cap (HR = 4.91; 95 CI, 1.31–18.45) and IPH (HR = 4.37; 95% CI, 1.20–15.97) were associated with an increased risk of recurrent events in patients with ESUSs.63 Other data from the same study found that high-risk plaque features were significantly more common in the artery ipsilateral to the infarcts compared with the contralateral artery (31% versus 12%, respectively).64 Another study, by Larson et al,65 found that patients with ESUSs and ipsilateral IPH had an annual rate of stroke recurrence of 9.5%; the rate was 2.5% in patients without IPH. Future studies, focusing on the MR imaging characteristics of plaques in patients with ESUSs should yield much more substantial data regarding the etiology of the strokes.
Carotid Plaque Composition and Treatment Guidelines
The decision regarding whether to perform a CEA is typically based on the degree of arterial stenosis and the risk of perioperative complications. Treatment guidelines are based on the results of the North American Symptomatic Carotid Endarterectomy Trial (NASCET) and the European Carotid Surgery Trial (ECST). By means of these studies, eligibility for CEA or stent placement in symptomatic patients depends on the severity of stenosis, with surgery not considered for patients with <50% stenosis.66,67 In the years that followed those trials, however, associations were found between the degree of stenosis and the presence of vulnerable plaque features.68 Thus, the observed successes of the NASCET and ECST trials may have been partly due to treatment of high-risk plaques.
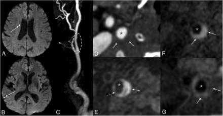
Because it is now known that many symptomatic plaques are nonstenotic by the NASCET criteria (Fig 4), there is a growing call for the modification of treatment guidelines. Specifically, many believe that imaging markers of plaque vulnerability should be considered in the determination of treatment eligibility. The most promising imaging features are IPH, ulceration, and maximum plaque thickness; LRNC, integrity of the fibrous cap, and some categories of intraplaque calcifications also have potential usefulness.55
Example of a symptomatic nonstenotic plaque. Axial DWI (A and B) of the brain demonstrates multiple tiny acute infarcts in the right cerebral hemisphere (arrows). 3D reformatted gadolinium bolus image (C) demonstrates a nonstenotic plaque in the proximal right ICA (dashed oval). Axial CTA image (D) shows a soft, noncalcified plaque. On MRA, MPRAGE image (E) shows that most of this plaque is composed of hemorrhagic material (solid arrow), with a small hypointense component representing a nonhemorrhagic lipid necrotic core (dashed arrow). Pre- (F) and postcontrast (G) T1 Cube images demonstrate a LRNC (solid arrows). Asterisks denote the vessel lumen.
Early data suggest that CEA in patients with relatively small plaques is a viable option. Nardi et al69 reported on a cohort of patients that underwent CEA for nonstenotic (<50%), symptomatic atherosclerotic plaques, 80% of which had IPH. The authors reported no intraoperative complications and an annualized rate of recurrent stroke after CEA of 1.5%. A systematic review of CEAs performed for nonstenotic carotid plaques found that patients had no recurrent ipsilateral ischemic events in any of the 138 studied patients (mean follow-up, 36 months).70 Nevertheless, the issue remains hotly debated. Additional studies are still needed to assess the feasibility, safety, and clinical usefulness of performing CEAs on nonstenotic atherosclerotic lesions.
Carotid plaque MRA can also be used to guide the decision between CEA and carotid artery stent placement (CAS). Although this topic remains in the developing stage, the available data suggest that CEA should be preferred to CAS in the setting of vulnerable plaques because CAS can lead to a higher risk of periprocedural events, including cerebral embolism and restenosis.71⇓-73 A meta-analysis found that patients with IPH had higher composite outcomes of stroke, death, or myocardial infarction within 30 days of stent placement (8.1%) compared with those without IPH (2.1%) (OR = 4.45; 95% CI, 1.61–12.30; P < .01).74
Finally, regarding medical management options, several recent trials have provided evidence strengthening conservative medical treatment of carotid disease, including the protective effects of high-dose statin therapy and anti-inflammatory therapy such as the interleukin-1β innate immunity pathway.75⇓⇓-78 Recent meta-analyses provide evidence that atherosclerosis can be reversed with high-dose lipid-lowering therapy,79 and high-dose statins may shift vulnerable plaque from high lipid content to a more stable calcified plaque.80 Data from natural history studies suggest that IPH may override the beneficial effects of statin therapy, though the statin type and dose were neither randomized nor uniform.81 Currently, no prospective trials exist testing the hypothesis that the effects of IPH can be modified with very intensive lipid-lowering therapy.
Nevertheless, there is still a relative dearth of data on the topic of medical management for vulnerable carotid plaques, and definitive guidelines have yet to be established. Instead, many available conclusions have relied on expert opinion. For example, Holmes et al82 recommended that all patients with ESUSs should be treated with the same medications (high-dose statins and dual antiplatelet therapy for 3 weeks and aspirin for a year) but that MRA should be used to determine further treatment pathways. Specifically, the authors opined that patients with IPH and/or ulceration and repeat strokes should be considered for CEA. Hackam,83 similarly, opined that revascularization for treatment of asymptomatic carotid stenosis should be reserved for some patients with vulnerable plaques, but he did not distinguish between high- and low-risk plaques in his recommendations for medical management.
CONCLUSIONS
MR imaging of carotid artery atherosclerotic plaques is both complex and continually expanding. During recent years, there have been substantial advances in knowledge about many of the well-known plaque features, ranging from high-risk components such as IPH and TRFC to generally stabilizing features such as calcifications. As this field continues to expand, physicians will need to stay informed about how such imaging features may eventually impact management strategies and treatment guidelines.
Footnotes
Disclosure forms provided by the authors are available with the full text and PDF of this article at www.ajnr.org.
Indicates open access to non-subscribers at www.ajnr.org
References
- 1.↵
- 2.↵
- 3.↵
- 4.↵
- 5.↵
- 6.↵
- 7.↵
- 8.↵
- 9.↵
- 10.↵
- 11.↵
- 12.↵
- 13.↵
- 14.↵
- 15.↵
- 16.↵
- 17.↵
- 18.↵
- 19.↵
- 20.↵
- 21.↵
- 22.↵
- 23.↵
- 24.↵
- 25.↵
- 26.↵
- 27.↵
- 28.↵
- 29.↵
- 30.↵
- 31.↵
- 32.↵
- 33.↵
- 34.↵
- 35.↵
- 36.↵
- 37.↵
- 38.↵
- 39.↵
- 40.↵
- 41.↵
- 42.↵
- 43.↵
- 44.↵
- 45.↵
- 46.↵
- 47.↵
- 48.↵
- 49.↵
- 50.↵
- 51.↵
- 52.↵
- 53.↵
- 54.↵
- 55.↵
- 56.↵
- 57.↵
- 58.↵
- 59.↵
- 60.↵
- 61.↵
- 62.↵
- 63.↵
- 64.↵
- 65.↵
- 66.↵
- 67.↵
- 68.↵
- 69.↵
- 70.↵
- 71.↵
- 72.↵
- 73.↵
- 74.↵
- 75.↵
- 76.↵
- 77.↵
- 78.↵
- 79.↵
- 80.↵
- 81.↵
- 82.↵
- 83.↵
- Received March 29, 2023.
- Accepted after revision May 14, 2023.
- © 2023 by American Journal of Neuroradiology










