Abstract
BACKGROUND AND PURPOSE: Various imaging techniques have been described to detect CSF-venous fistulas in the setting of spontaneous intracranial hypotension, including decubitus CT myelography. The expected diagnostic yield of decubitus CT myelography for CSF-venous fistula detection is not fully established. The purpose of this study was to assess the yield of decubitus CT myelography among consecutive patients presenting for evaluation of possible spontaneous intracranial hypotension and to examine the impact of brain MR imaging findings of spontaneous intracranial hypotension on the diagnostic yield.
MATERIALS AND METHODS: The study included a single-center, retrospective cohort of consecutive patients presenting during a 1-year period who underwent CT myelography and had no CSF identified in the epidural space. Patients with epidural CSF leaks were included in a secondary cohort. Subjects were grouped according to positioning for the myelogram, either decubitus or prone, and the presence of imaging findings of spontaneous intracranial hypotension on preprocedural brain MR imaging. Diagnostic yields for each subgroup were calculated, and the yield of decubitus CT myelography was compared with that of prone CT myelography.
RESULTS: The study cohort comprised 302 subjects, including 247 patients with no epidural fluid. The diagnostic yield of decubitus CT myelography for CSF-venous fistula detection among subjects with positive brain MR imaging findings and no epidural fluid was 73%. No CSF-venous fistulas were identified among subjects with negative findings on brain imaging. Among subjects with an epidural leak, brain MR imaging was negative for signs of spontaneous intracranial hypotension in 22%. Prone CT myelography identified a CSF-venous fistula less commonly than decubitus CT myelography (43% versus 73%, P = .19), though the difference was not statistically significant in this small subgroup.
CONCLUSIONS: We found the diagnostic yield of decubitus CT myelography to be similar to the yield previously reported for digital subtraction myelography among patients with positive findings on brain imaging. No CSF-venous fistulas were identified in patients with negative findings on brain imaging; epidural CSF leaks accounted for all cases of patients who had spontaneous intracranial hypotension with negative brain imaging findings. This study provides useful data for counseling patients and helps establish a general benchmark for the decubitus CT myelography yield for CSF-venous fistula detection.
ABBREVIATIONS:
- CTM
- CT myelography
- CVF
- CSF-venous fistula
- dCTM
- decubitus CT myelography
- DSM
- digital subtraction myelography
- EBP
- epidural blood patch
- SIH
- spontaneous intracranial hypotension
SUMMARY
PREVIOUS LITERATURE:
CSF-venous fistulas (CVFs) are the presumptive etiology of SIH when no leaked epidural fluid is identified on spinal imaging. A previous investigation of digital subtraction myelography (DSM) found a diagnostic yield of 74%. Data on the diagnostic yield of decubitus CTM (dCTM) are sparse, consisting predominantly of studies with selected patient populations or smaller case series. Studies of diagnostic yield of dCTM for CVF detection investigating larger cohorts of consecutive, unselected patients are limited.
KEY FINDINGS:
In a retrospective study of 247 consecutive patients with no epidural fluid on spinal imaging, dCTM identified a CVF in 73% of patients who had brain imaging signs of SIH. No CVFs were identified in patients with negative brain imaging in this investigation.
KNOWLEDGE ADVANCEMENT:
Decubitus CTM is effective for the detection of CVFs, with a similar diagnostic yield to that previously reported for DSM, among patients with brain imaging signs of SIH. The absence of brain imaging signs of SIH was associated with a very low diagnostic yield for CVF detection.
CSF-venous fistulas (CVFs) are an important cause of spontaneous intracranial hypotension (SIH) and are the presumptive etiology of SIH when no leaked epidural fluid is identified on spine imaging.1,2 Despite increasing research into improving the diagnosis and treatment of CVFs, detection of CVFs on imaging continues to be challenging. There remains substantial uncertainty regarding the best spinal imaging methods for CVF diagnosis and which patients should undergo these procedures.
Modifications to fluoroscopy- and CT-based myelographic techniques that are intended to improve the diagnostic performance for the detection of CVFs have been described in the literature, most notably the use of decubitus positioning during myelography.3,4 Despite numerous publications on variations in the decubitus myelographic technique, baseline data describing the actual diagnostic yield of decubitus myelography remain sparse. A previous publication reported a 74% yield for CVF detection with digital subtraction myelography (DSM), but comparable reports addressing decubitus CT myelography (dCTM) are limited.3
The purpose of this investigation was to report the diagnostic yield for dCTM among consecutive patients referred for the evaluation of possible SIH who had no epidural fluid on initial spinal imaging. We were interested in the diagnostic yield of dCTM in the subgroups of patients with brain MR imaging signs of SIH and those without such signs. Secondarily, we sought to determine whether there were differences in the detection rates of CVF between patients assessed with dCTM and patients evaluated with prone CT myelography (CTM) performed before our routine implementation of dCTM.
MATERIALS AND METHODS
This investigation was a single-center retrospective cohort study examining the diagnostic yield of dCTM for CVFs in all consecutive patients presenting for a work-up of possible SIH. The study was approved by the institutional review board of Duke University Medical Center and is complaint with Health Insurance Portability and Accountability Act regulations.
Subjects and Myelogram Technique
All patients who underwent CTM after referral to our center for clinical suspicion of SIH between May 2021 and May 2022 were identified by screening procedure logs of a single CT scanner (Discovery CT750HD; GE Healthcare), used as the primary interventional scanner for CSF leak work-up at our institution, with scan parameters as previously reported.5
The standard decubitus CTM technique for all patients referred for suspected SIH and without epidural fluid at our institution currently involves obtaining bilateral decubitus scans of the thoracic spine (with coverage from C6-7 to L1-2) after a single lumbar puncture for injection of intrathecal contrast administration (10 mL of myelographic contrast containing 300 mg/mL iodine, injected as a single bolus), with the patient turned to the contralateral side immediately after the first decubitus scan. A foam wedge is used to elevate the hips, and the head is elevated on pillows to promote contrast pooling in the thoracic spine (Fig 1). In some cases, a prone scan of the total spine is obtained after decubitus scanning to ensure the absence of a subtle epidural leak that may have been missed on spinal MR imaging, at the discretion of the performing radiologist. Only a single phase of scanning is used per side and is obtained during maximum inspiration; the dynamic myelogram technique involving multiple rapidly-acquired phases of imaging per decubitus position is not used.
Illustration of the hips elevated with the assistance of a foam wedge, and the head elevated on pillows, allowing contrast to pool in the thoracic spine.
We currently perform dCTM on all patients being evaluated for SIH, but this practice has changed in recent years. Previously, when the prevalence of CVFs was thought to be lower and the importance of dCTM was still under initial investigation, decubitus scanning was not performed in every case and was frequently (but not exclusively) reserved for patients with positive brain imaging findings to avoid excessive radiation exposure. As a result, some of the early patients in our cohort were scanned only in the prone position, thereby providing a comparator group for subjects who underwent dCTM.
All consecutive patients who underwent CTM for suspected SIH were included. Exclusion criteria were subjects with incomplete data (such as the absence of contrast-enhanced brain MR imaging or missing CTM images) and nonstandard CTM techniques (defined as any scan technique other than standard decubitus or prone imaging, such as prone imaging performed followed by decubitus imaging). Subjects with epidural fluid seen on preprocedural MR imaging or on the study CTM were included in a secondary study cohort and analyzed separately from those with no epidural fluid because the presence of epidural fluid implies a ventral or lateral dural tear (ie, a type 1 or type 2 leak) rather than a CVF as the etiology of SIH; these subjects with epidural leaks were often scanned using ultrafast CTM or prone CTM technique rather than dCTM.6,7 If a subject presenting during the study time period had >1 myelogram obtained at our institution, such as in the case in which a myelogram was repeated to confirm a finding or re-assess after treatment, the first myelogram performed at our institution regardless of date was designated as the index scan for analysis to represent the initial work-up. Myelograms were then grouped according to the positioning of the patient for the myelogram: prone position only or decubitus positioning.
Imaging Assessment
Contrast-enhanced brain MR imaging is always obtained as a standard part of the premyelogram work-up at our institution. These scans were reviewed for all subjects and classified as either positive or negative for signs of SIH. Brain MR imaging was considered positive if it showed evidence of 1 or more of 3 previously described signs: diffuse dural enhancement, the venous distention sign, or brain sagging.8⇓-10 The presence of brain sagging was judged using previously reported criteria: downward sloping of the third ventricular floor resulting in descent of the mammillary bodies to the level of the dorsum sella present on either sagittal T1- or T2-weighted images.10 Classification was based on assessment documented in a structured clinical note in the medical record at the time of initial patient assessment, entered after review by 1 of 4 attending radiologists with 6–16 years’ experience in the treatment of SIH. In the case of missing data or ambiguous assessment, the brain imaging was adjudicated by a study neuroradiologist with 15 years’ experience in evaluating patients with SIH.
CT myelograms were reviewed to determine the presence of a CVF. Assessment was based on the presence of a “hyperdense paraspinal vein” sign and was performed by 1 of 2 study neuroradiologists with 12–15 years’ experience evaluating CTM for SIH (Fig 2).11 In equivocal cases, the imaging was jointly reviewed by both neuroradiologists to reach a consensus (Fig 3).
Examples of CVFs seen on CTM. Axial image from CTM obtained with the patient in the right lateral decubitus position (A) shows venous contrast opacification, indicating the presence of a CVF in a segmental spinal vein (white arrow). Axial image from CTM performed with the patient in the prone position (B) shows contrast opacification of the internal epidural venous plexus within the spinal canal (white arrow), also diagnostic of a CVF.
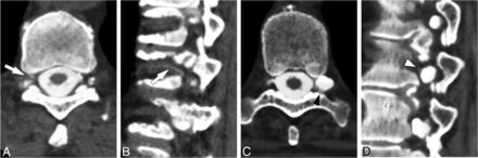
Examples of equivocal CVFs requiring adjudication. Axial (A) and sagittal (B) images from CTM in a single subject show subtle increased attenuation of a foraminal vein and adjacent segmental spinal vein (white arrows); this increased attenuation was judged to represent a CVF after a consensus read. Axial (C) and sagittal (D) images from CTM in a second subject whose faint increased attenuation posterior to the perineural diverticulum (black arrowhead) and anterior to the same diverticulum (white arrowhead) was judged to be not definitive enough to diagnose as a CVF following consensus read.
Statistical Analysis
The primary outcome of interest was the proportion of subjects who had a CVF diagnosed on dCTM. Subgroups of this larger cohort were also analyzed according to whether their brain MR imaging showed or did not show signs of SIH. A secondary outcome of interest was the proportion of subjects with epidural fluid on spinal imaging whose brain imaging had negative findings for signs of SIH. These proportions were reported using descriptive statistics.
Additionally, the proportion of studies showing evidence of CVF among subjects who underwent dCTM versus prone CTM imaging was compared using the Fisher exact test. This analysis was performed using commercially available software (GraphPad Prism 10, Version 10.1.1, GraphPad Software). A P value < .05 was considered statistically significant.
RESULTS
Study Cohort
We identified 340 consecutive patients during the study period. A total of 38 subjects were excluded due to missing data (n = 16) or a nonstandard myelogram technique (n = 22). Fifty-five subjects demonstrated an epidural leak on imaging. The final primary study cohort of subjects without epidural fluid was thus 247 subjects (Fig 4). The mean subject age in the primary cohort was 50.1 years (SD, 15.8) years (range, 16–82 years). Sixty-two percent of subjects (n = 153) were women. The secondary study cohort included 55 subjects found to have epidural fluid on spine imaging. The mean subject age in the secondary cohort was 45.2 years (SD, 11.3) years (range, 15–75). Sixty-four percent of subjects in the secondary cohort (n = 35) were women.
Flow chart of patient selection.
CTM
The first available myelogram was performed using decubitus positioning (dCTM) in 57% of cases (n = 141) and prone-only positioning in 43% (n = 106) of cases. Results of the diagnostic yield analysis are shown in Fig 5.
Results of diagnostic yield of prone and decubitus myelography for CVF detection.
For subjects with a CVF detected, the first scan was performed with the subject positioned in left lateral decubitus position in 77.4% (n = 41), in right lateral decubitus position in 17.0% (n = 9), and in the prone position in 5.7% (n = 3) of patients. Excluding cases where the CVF was identified on a prone scan, the CVF was identified on this first lateral decubitus scan (ie, the side originally positioned down after contrast injection) in 65% (n = 32/49) of cases, and was seen after turning to the contralateral side in 35% (n = 17/49) of cases. Fistulas were identified between T1-2 and L1-2, with the most common levels being T6-7 (17.0%) and T10-11 (17.0%).
Of subjects who underwent dCTM, 48% (67/141) of subjects had brain MR imaging that was positive for one or more major signs of SIH (dural enhancement n = 56, brain sagging n = 42, venous distension sign n = 46, and subdural collections n = 3; missing data n = 0). The remaining 52% of subjects (n = 74) had negative findings on brain MR imaging. For subjects with positive brain imaging findings who underwent dCTM, a CVF was identified in 73% (49/67) of subjects. A CVF was identified in 0% (0/74) of subjects who underwent dCTM when brain imaging had negative findings.
Of subjects who underwent prone CTM, 7% (7/106) had brain imaging positive for signs of SIH, and 93% (99/106) had negative findings on brain imaging. Among this subgroup of patients undergoing prone CTM, a CVF was detected in 43% (3/7) of patients when brain imaging had positive findings, and in 0% (0/99) when brain imaging had negative findings.
Considering all pooled subjects with positive brain imaging findings, the subgroup who had CTM performed with the patient in the decubitus position showed a 70% increase in the rate of CVF detection compared with those who underwent prone CTM (73% versus 43%, P = .19), though the total number of cases of CVFs assessed with prone myelography was small and the difference was not statistically significant. No subjects with negative findings on brain imaging in this study had a CVF detected, regardless of CTM positioning.
Of patients with an epidural leak seen on spinal imaging (n = 55), 78% (43/55) had positive brain imaging findings (dural enhancement n = 32, brain sagging n = 26, venous distension sign n = 32, and subdural collections n = 5; missing brain MR imaging n = 1, missing postcontrast imaging n = 3); the remaining 22% (12/55) had no signs of SIH on brain imaging.
DISCUSSION
Our investigation sought to determine the diagnostic yield of dCTM for detecting CVFs in patients without epidural fluid on spine imaging who were undergoing evaluation for possible SIH. We found that in our cohort of 247 consecutive patients, a CVF was diagnosed in 73% of subjects with positive brain imaging findings, suggesting that dCTM can identify CVFs in a substantial number of patients. This rate reflects the detection rate from the first CTM performed at our institution and does not account for diagnoses made on subsequent repeat examinations if findings of the first CTM were negative, to best represent the diagnostic performance of a single imaging examination. Although direct comparison cannot be made with prior investigations because of potential differences in the composition of patient cohorts, these results are generally comparable with those of a previous study of the diagnostic yield for CVF detection using DSM, in which a CVF was identified in 74% of subjects with SIH who had no leak seen on conventional spine imaging.3 This outcome suggests that dCTM is an effective first-line imaging tool for evaluating patients with SIH who do not have epidural fluid on initial spine MR imaging. Of note, one recent study of 20 patients with SIH who underwent both DSM and decubitus DSM on the same day reported a yield of CVF detection of 35% (7/20) with DSM compared with 95% (19/20) for dCTM.12 Although it was a small study with diagnostic yields that are more widely divergent than those reported in other centers, it generally supports our conclusion that dCTM is effective as a first-line diagnostic study for suspected CVF.
We also found that among patients with negative findings on brain imaging (ie, no signs of SIH) who were being evaluated for possible SIH with myelography, no CVFs were detected using either decubitus or prone positioning. The fact that the diagnostic yield among subjects with positive brain imaging findings was 73% using the same myelogram technique suggests that the low yield among subjects with negative findings on brain imaging reflects a true lower prevalence of CVFs in this population, rather than reflecting a limitation of the imaging technology. Even though we found no CVFs among subjects with negative findings on brain imaging in this study from May 2021 to May 2022, we have anecdotally found CVFs using dCTM in this subgroup of patients with negative findings on brain imaging in clinical practice on rare occasions. We do not, therefore, assert that the prevalence of CVFs is zero when brain imaging has negative findings; however, we can conclude on the basis of this study that the prevalence is expected to be very low. This information can be useful when counseling patients on what to expect when undergoing myelography for possible SIH.
Our findings regarding patients with negative findings on brain imaging differ from those of a previous investigation that used DSM to evaluate patients with orthostatic headache who had no brain imaging signs of SIH.13 In that investigation, the authors identified a CVF in 10% (6/60) of subjects with normal brain and spine MR imaging findings. Importantly, however, all subjects in that study first underwent an epidural blood patch (EBP) before DSM, and a positive response to the EBP was reported in 82% of their cohort. It is possible that this additional selection step produced a different population of subjects than we enrolled in our study, and this difference in population accounts for the difference in the prevalence of CVFs between our investigation and this previous investigation. Our study enrolled a total of 173 subjects with negative findings on brain imaging, including 74 who underwent dCTM, a larger population than in the prior study, suggesting that the low yield in our study is not likely attributable to a type II statistical error produced as the result of a small sample size. Additionally, in their investigation, Schievink et al13 found a higher rate of CVFs among the subgroup of patients with spinal meningeal diverticula. However, in our investigation, the absence of any CVFs among patients with negative findings on brain imaging would suggest that spinal meningeal diverticula are of lesser diagnostic importance than brain MR imaging findings. Future investigation into the yield of dCTM and DSM in both selected and unselected populations of patients with orthostatic headache is warranted to better determine who is likely to benefit from myelography when brain imaging findings are negative.
Among those subjects with epidural fluid seen on spinal imaging, brain imaging had positive findings for signs of SIH in 78% of cases. The remaining 22% showed no evidence of SIH on brain imaging, despite confirmed spinal epidural fluid leak on spinal imaging. In comparison, all subjects found to have CVFs in this study had positive brain imaging findings. At surgery, neo-membranes have been directly observed to develop around chronic epidural fluid collections.14 We hypothesize that these neo-membranes may partially contain the leak, resulting in a decreased rate of fluid loss leading to reversal of brain imaging changes of SIH, even though patients may remain clinically symptomatic. This hypothesis is supported by the observation that brain imaging changes of SIH have been shown to become less prevalent with time after symptom onset, suggesting some physiologic compensation that develops across time.15 Practically, this explanation means that among patients referred for evaluation of possible SIH who have negative findings on brain imaging, spinal MR imaging is likely to identify most patients who will ultimately satisfy the International Classification of Headache Disorders (ICHD-3) criteria for a diagnosis of SIH.
We also found that the rate of CVF detection was higher when CTM was performed with the patient in the decubitus position compared with the prone position (73% versus 43%), though the difference was not statistically significant, perhaps due to the small sample size of patients evaluated with prone CTM. The importance of decubitus positioning in CVF detection has been reported before,4,16 but this investigation provides additional information regarding the magnitude of the increase in yield with dCTM compared with prone imaging when comparing similar patient populations.
Our investigation was performed using a single CT scanner with a conventional energy-integrating detector design. More recently, the use of photon-counting detector CT scanner design has shown promise in further increasing the diagnostic yield for detecting CVFs.17⇓⇓-20 Additionally, respiratory maneuvers including the use of resisted inspiration have been shown to decrease venous pressure in the vena cava and facilitate the detection of some CVFs during myelography.5,21,22 Application of these technologies and respiratory techniques while performing dCTM would be expected to further raise the diagnostic yield above the 73% we found in this study.
The technique we use at our institution for decubitus CTM involves a single acquisition per side when scanning with the patient in the decubitus position, after careful patient positioning to maximize contrast density over the thoracic spine, where CVFs are most prevalent.2 Some authors have recently described “dynamic” techniques for decubitus CTM in which multiple acquisitions are obtained per side immediately after injection while contrast is still migrating in the thecal sac.23⇓-25 Other authors have described a myelographic technique involving separate contrast injections for each decubitus scan to increase the density of dependently layering contrast.26 It remains to be seen whether these techniques increase the diagnostic yield compared with the static dCTM technique as we describe in this study, because direct comparisons have not yet been performed. However, this study provides a useful benchmark for an approximate yield of static dCTM against which future studies can be generally compared.
At least 1 investigation of dCTM used Bern scores27 to examine the diagnostic performance of dCTM, stratified according to Bern score probability categories.18 This investigation used photon-counting detector CT, which is not currently widely available, and found a CVF in 56%, 73%, and 77% of patients with low-, intermediate- and high-probability scores, respectively. The study did not distinguish, however, between subjects with low Bern scores (ie, 1–2) and those with entirely negative findings on brain imaging (ie, score 0). We intentionally decided against the use of the Bern score as a tool for describing the stratification of the diagnostic yield in our study. The Bern score was initially described as a predictive score of the likelihood of an epidural leak being detected on spinal imaging in patients who had SIH and was derived from a cohort of patients with established dural leaks.27 The probability categories (ie, low, intermediate, and high) do not provide a basis for dichotomization of showing versus not showing brain imaging evidence of SIH and, therefore, do not lend themselves to a straightforward diagnostic classification of SIH under the ICHD-3 criteria, the most widely used diagnostic standard for this condition, which requires a binary assessment of whether brain imaging signs of intracranial hypotension are present.28 For example, a hypothetical patient with diffuse, smooth dural enhancement pathognomonic for intracranial hypotension but no other features of SIH on brain imaging would be assigned a Bern score of 2, falling into the low-probability category. Such a patient, in our opinion, should still undergo decubitus myelography if no epidural fluid is seen on spine MR imaging, regardless of the Bern score probability category, to assess CVF. For the purposes of our investigation, then, a Bern score would not have clearly discriminated patients with or without brain imaging evidence of SIH, which was a primary question of interest.
Our study has several limitations. First, this study reflects a protocol for dCTM in use at the time of the study, but refinements of dCTM protocols are ongoing. Factors such as scanner hardware, timing of scanning, respiratory phase, intrathecal contrast volume, and other factors have been studied very recently, and these may influence yields with current dCTM protocols. Second, the study population reflects referral patterns to a quaternary referral center for SIH. As more centers engage in the evaluation of patients with suspected SIH, there is the potential for referral centers to see higher numbers of patients who have failed the initial work-up locally, thereby enriching the study population with patients with SIH who have CVFs that are more difficult to detect. Simultaneously, with the growing awareness of SIH, referrals for evaluations of patients with refractory headaches and negative findings on brain imaging have anecdotally increased, some of whom have headache phenotypes less stereotypical of those commonly seen with SIH. This increase has the potential to negatively skew the prevalence of CVFs among patients with negative findings on brain imaging.
An additional limitation is that our classification of imaging is based on expert reader interpretation, which necessitates some level of subjective judgment, because there is no current objective methodology for classification of CVFs in widespread use. However, the readers in our study were highly experienced in both spinal and brain imaging interpretation in SIH and were careful to submit all questionable cases for consensus reads, in which a high standard of diagnostic certainty was applied when adjudicating cases. Finally, our cohort included only a small number of subjects with positive brain imaging findings who underwent prone imaging. Although decubitus imaging is now considered the standard for CVF investigation and these subjects represent an older imaging protocol, the small subject numbers may affect the accuracy of the estimated diagnostic yield for prone-only imaging.
CONCLUSIONS
dCTM identified a CVF in 73% of patients who had brain imaging signs of SIH and no epidural fluid on spinal imaging. No patients with confirmed CVFs had negative findings on brain imaging in this investigation. By comparison, patients with epidural fluid found on spinal imaging showed negative brain MR imaging in 22% of cases, suggesting that epidural leaks account for most cases of SIH with negative findings on brain imaging. This study provides useful data for counseling patients on the expected yield of dCTM and establishes a general benchmark for assessing the impact on diagnostic yield of future modifications to dCTM technique.
Footnotes
Disclosure forms provided by the authors are available with the full text and PDF of this article at www.ajnr.org.
References
- Received February 23, 2024.
- Accepted after revision May 2, 2024.
- © 2024 by American Journal of Neuroradiology