Abstract
SUMMARY: Developmental venous anomalies (DVAs) are the most common slow-flow venous malformation in the brain. Most DVAs are benign. Uncommonly, DVAs can become symptomatic, leading to a variety of different pathologies. DVAs can vary significantly in size, location, and angioarchitecture, and imaging evaluation of symptomatic developmental venous anomalies requires a systematic approach. In this review, we aimed to provide neuroradiologists with a succinct overview of the genetics and categorization of symptomatic DVAs based on the pathogenesis, which forms the foundation for a tailored neuroimaging approach to assist in diagnosis and management.
ABBREVIATIONS:
- BRBNS
- blue rubber bleb nevus syndrome
- CCM
- cerebral cavernous malformation
- CMMRD
- constitutional mismatch repair deficiency syndrome
- CVMS
- cerebrofacial venous metameric syndrome
- DVA
- developmental venous anomaly
- WMH
- white matter hyperintensities
Developmental venous anomaly (DVA) is an extreme variation of a transmedullary vein composed of a radial complex of medullary veins resembling a “Medusa head,” which converges into a “collector” vein that ultimately drains into either the deep or superficial cerebral venous system. DVAs are the most common form of slow-flow venous malformation in the brain, with an estimated incidence of 2.6%−6.4%, and the overwhelming majority are asymptomatic.1 Histologically, DVAs are composed of dilated venous channels that are interspersed in the white matter, with simple or complex variations in venous architecture and drainage patterns.2 DVAs represent a less efficient form of the venous drainage route, which is dependent on one or few collector veins, and with time, the exposure to higher venous pressure may cause vascular remodeling with vessel wall thickening and microvascular hyalinization.2 Evidence from cohort studies and case series suggests a diverse array of clinical manifestations related to symptomatic DVAs.3,4 We performed a comprehensive review of the pathogenesis of DVAs and discuss imaging and management approaches to symptomatic DVAs.
Neurovascular and Genetic Pathogenesis
The neurovascular hypothesis surrounding the etiology of DVA is based on the neurovascular adaptation of the brain venous vasculature secondary to a nonspecific insult during vasculogenesis, leading to the developmental arrest of medullary veins in the late first trimester of gestation.2,5 The cerebral venous system will create compensatory pathways to counter the abnormality in the superficial or deep venous circulation during the period of venous plasticity in utero and early infancy.2,5 This feature is supported by the observation of DVAs both in utero and in the perinatal period.6 In recent years, genetic studies have advanced our understanding of the pathogenesis of DVAs. Genetic analysis of DVAs associated with a sporadic cerebral cavernous malformation (CCM) suggests that DVAs could be an intermediate lesion. DVAs may have a somatic activating mutation in the PIK3CA gene, leading to a gain of function, which acts as a genetic precursor to a sporadic CCM.7 An acquired second-hit mutation in the CCM complex (KRIT1, CCM2, PDCD10) or MAP3K3 then results in the formation of a sporadic CCM,7 supported by the observation that sporadic CCMs often develop within the venous drainage territory of the DVA.8 On the other hand, hereditary CCMs preferentially develop via a mutation in the CCM complex (CCM1, CCM2, CCM3 gene loci) or the MAP3K3 locus, causing multiple quiescent CCMs, which may acquire an additional mutation in PIK3CA, driving lesional growth.7
Symptomatic DVA
Symptomatic DVA is an umbrella term that encompasses a diverse range of DVA-related complications. Systematic review predominately from low-level evidence (ie, case series or case-control studies) showed that an astounding 61% of DVAs are asymptomatic: 23% with nonspecific clinical presentation, 6% with a focal neurologic deficit, 6% with hemorrhage, 4% with seizures, and <1% with infarct.1 However, given our clinical experience, this reported incidence of symptomatic DVAs is very likely overestimated due to reporting bias. In fact, in a population-based study, most DVAs, ie, 98%, were detected incidentally, with only 2% of DVAs being symptomatic and attributed to hemorrhage or infarct.1 The natural course of patients with DVA suggests a very low risk of hemorrhage after the first presentation, ranging from 0% to 1.28% per year.1 During the past decade, advanced imaging techniques have aided our understanding of DVAs. Optimized imaging protocols should be applied to investigate symptomatic DVAs, tailored to clinicopathologic entities.
Coexisting CCM or Capillary Telangiectasia
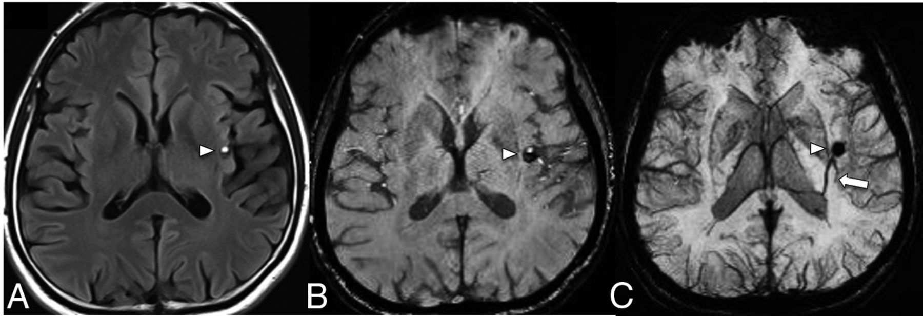
CCMs are vascular sinusoidal lesions lined by a single endothelial layer in a background of a collagenous matrix. CCMs are devoid of arterial or venous communication. They have a strong association with sporadic DVAs, with a frequency of coexistence of between 2% and 33% (Fig 1). The prevalence of CCMs with DVAs also have a positive correlation with increasing age.4 SWI is the ideal sequence to detect DVAs with CCMs due to the increased contrast conspicuity of the deoxyhemoglobin in the venous blood and the presence of blood products in CCMs. The SWI sequence on high-field-strength 7T MR imaging is more sensitive for depicting smaller-sized DVAs associated with sporadic CCMs, which may otherwise not be visible on 3T MR imaging.9
FLAIR (A) shows a mixed-signal-intensity CCM (arrowhead) in the left insular cortex with an internal blood-fluid level and no perilesional edema. A collector vein of a DVA (arrow) is seen from the ventricular ependyma to the CCM, which is barely visible on the SWI (B) and becomes more conspicuous on the susceptibility-weighted MIP image (C).
As to the formation of CCMs in DVAs, there is a recently proposed genetic model for the formation of CCMs from a “2-hit hypothesis.”7 However, a more mechanical model for the de novo formation of a CCM around a DVA is proposed on the basis of a combination of venous congestion and venous ischemia due to poor venous outflow leading to a release of local angiogenetic factors and endothelial proliferation. Newly formed fragile vessels are prone to bleeding, creating an initial petechial hemorrhage, and repeat cycles of re-endothelialization and hemorrhage eventually lead to the classic multilobulated MR imaging appearance of a CCM.10
The triggered angiogenesis, which forms fragile vessels prone to hemorrhage as well as recurrent cycles of angiogenesis and microbleeds ultimately lead to the formation of CCMs.10 The following anatomic factors predispose to the development of CCMs within the drainage territory of a DVA: infratentorial DVA location, drainage of the collector into a deep vein, torsion of the draining vein, ≥5 medullary veins draining into a collector, stenosis of >55% of the medullary veins, and an acute angle between the medullary and the collector vein of ≤106.5°.8,11⇓-13 Note that most of the above-mentioned anatomic factors contribute to a decreased outflow of the DVA, thus supporting a venous congestion model of the formation of CCMs in the vicinity of a DVA. Systematic factors such as major infectious illness, chronic inflammatory disorders, and radiation exposure/treatment are also implicated in the formation of CCMs.12 The proinflammatory state is believed to promote thrombosis within the DVA, raising the venous pressure to promote an environment for CCM formation.12 Topographical location of CCMs are important as cortical or juxtacortical location or limbic involvement are more prone to seizure.14 Brainstem CCM may cause cranial neuropathy through the involvement of the cranial nerve nuclei, intra-axial cranial nerve pathway or even direct extension into the cisternal cranial nerves (Fig 2).15 Hemorrhagic propensity of CCM hemorrhage is based on the history of prior hemorrhage and this can be quantitatively analyzed through the CCM hemosiderin burden and its evolution over time on quantitative susceptibility mapping (QSM).16,17 Higher mean susceptibility value on QSM positively correlates with patient age and prior hemorrhagic episodes, whilst patients with clinically stable CCM demonstrate lower mean susceptibility value (Fig 3).16,17
A patient with right facial pain and dysesthesia. SWI (A) shows a posterior pontine DVA (arrow) and an associated CCM (arrowhead) involving the intra-axial and cisternal segments of the right trigeminal nerve. FLAIR (B) demonstrates hyperintense edema along the right lateral aspect of the pons (arrowhead). Coregistered T2 sampling perfection with application-optimized contrasts by using different flip angle evolutions (SPACE sequence; Siemens) (C) confirms CCM involvement of the right trigeminal nerve.
A middle-aged patient with new-onset ataxia. T1WI (A) and SWI MIP (B) show a CCM in the right superior cerebellar peduncle (arrowheads) and a large left cerebellar DVA with the collector vein (arrow) draining into the transverse sinus. Quantitative susceptibility mapping (C) analysis of the CCM shows a high mean susceptibility value of 858 parts per billion (with threshold). An ROI with a red boundary represents the exclusive object boundary, and the purple area represents thresholded pixels (150 parts per billion). SWIM (Siemens) parameters: TE = 20.00 ms; TR = 27.00 ms; flip angle = 150; resolution = 0.937 × 0.937 ×2.5 mm. Images courtesy of Dr E. Mark Haacke.
Less commonly, capillary telangiectasias can be seen in the venous drainage territory of a DVA. Capillary telangiectasia consists of clusters of dilated capillaries with intervening normal brain parenchyma and is more commonly located in the brainstem but can also be found in the supratentorial brain. Capillary telangiectasia has a more benign natural history than CCMs, and its detection requires SWI and a gadolinium-enhanced T1-weighted sequence for diagnosis. Thus, coexisting capillary telangiectasia with a DVA may be underreported.
Parenchymal Abnormalities
The brain parenchyma in the venous drainage territory of a DVA can be associated with white matter hyperintensities (WMH), microbleeds, mineralization, metabolic derangements and may even be more prone to the formation of demyelination plaque in patients with pre-existing demyelinating diseases such as MS. DVA drainage has a relatively larger venous territory compared with physiologically normal cortical or medullary veins and is reliant on usually ≤1 collector vein. The venous drainage territory of a DVA usually has only a deep or a superficial drainage route rather than multiple superficial and a deep drainage possibility. With time, the thus-impaired venous hemodynamics may contribute to the progressive thickening and hyalinization of the venous walls of DVAs, leading to increased resistance, decreased compliance, and venous hypertension causing focal edema and gliosis in the circumjacent white matter or mineralization of the adjacent gray matter. WMH around a DVA have an incidence of 12.5% (an adjusted prevalence of 7.8% after exclusion of patients with moderate-to-chronic white matter disease) and are more common in a periventricular location of the DVA.18 WMH associated with DVAs were statistically seen more frequently with coexisting microbleeds, supporting the notion of a common pathogenic (ie, venous congestive) process.19
Basal ganglia and deep cerebellar nuclei are regions of the brain with higher metabolic demands. The presence of a DVA in these locations across time may lead to increased mineralization within the affected deep gray matter structure (Fig 4).20 Metabolic abnormalities can also be encountered in the venous drainage territory of a DVA. A small case series of 22 patients found that 76% of DVAs studied had metabolic changes on FDG-PET/CT scans in the form of hypometabolism, which was significantly more common in older patients (Fig 5).21 A subsequent larger study with 54 patients with 57 DVAs showed evidence of metabolic abnormalities in 38% of patients; in this study, hypometabolism was more common in DVAs draining gray matter rather than white matter.22 Hypometabolism has been reported in regions corresponding to neurologic symptoms; for example, hypometabolism was seen in the visual tracts in patients with visual symptoms and a corresponding DVA.23 Most interesting, structural abnormalities (ie, WMH) were not seen in these patients with abnormalities on functional images.21,22 Again, this finding is supportive of the notion that DVAs have a less robust venous drainage pathway.
Noncontrast CT of the head (A and B) shows dystrophic calcification of the anterior right putamen and pulvinar of the thalamus (arrows). CTV MIP sagittal image (C) shows a right basal ganglia DVA (arrowheads) with the collector vein draining into the ipsilateral internal cerebral vein (arrows).
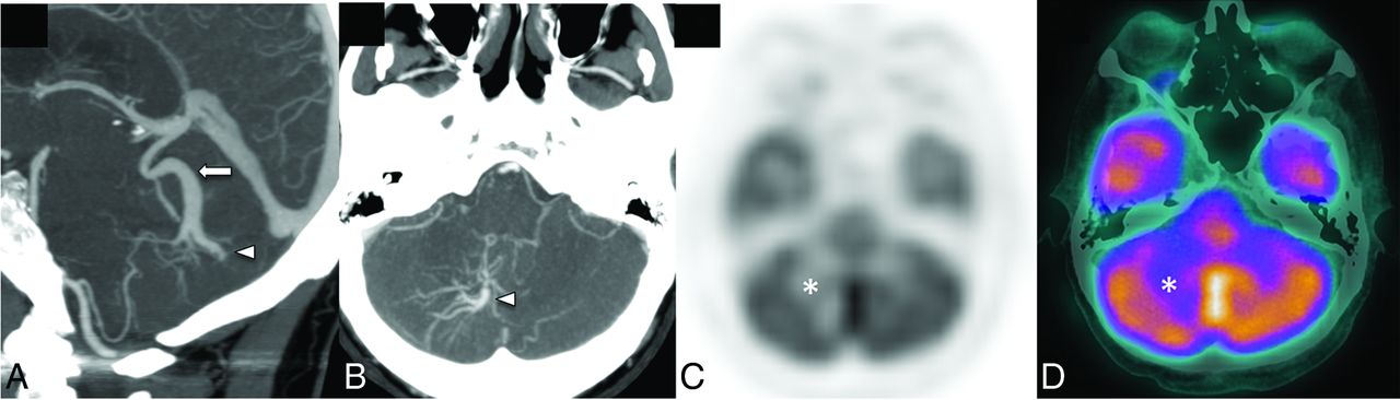
A patient with headache and ataxia. CTA sagittal and axial MIP images (A and B) show a right cerebellar hemisphere DVA (arrowheads) with the collector vein (arrow) draining into the vein of Galen. Corresponding [18F] FDG-PET/CT attenuation-corrected image (C) and a fused PET/CT image (D) show moderate reduction of [18F] FDG uptake in the right cerebellar hemisphere in the venous territory of the large DVA (asterisk).
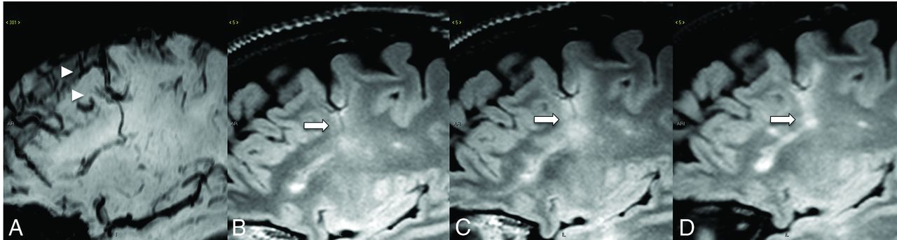
The relationship between DVA and demyelination is not well-understood. Demyelination is an autoimmune disease with a perivascular pattern of inflammatory response secondary to lymphocytic and monocytic infiltration. Brain parenchyma around a DVA may be more vulnerable to the formation of demyelinating plaques in patients with pre-existing demyelinating diseases such as MS (Fig 6).24 A proposed theory is that venous congestion may lead to a higher and longer duration of lymphocytic infiltration and, thus, a greater degree of a neuroinflammatory reaction than a brain with a normal venous drainage pattern.
A patient with MS with an SWI (A) demonstrating a DVA. FLAIR at 6-month (B), 1-year (C), and 2-year (D) follow-up shows an enlarging demyelinating plaque (arrows) centered around the DVA.
Uncommonly, DVAs can be seen in regions of malformation of cortical development (polymicrogyria, pachygyria, and focal cortical dysplasia). It is uncertain whether the coexistence of the 2 entities is incidental or due to a shared common insult in the pathway of cerebral venous development, with interruption of normal cortical development and of normal cortical and dural venous sinus development. The true incidence of the association of polymicrogyria and DVA is not known because the studies were based on case series with small sample sizes. However, it is unlikely that a DVA contributes to epileptogenesis. A case series by Striano et al25 showed only 4 of 1020 patients with epilepsy had associated DVAs. It is uncertain whether DVAs and cortical dysplasia share a common cerebrovascular pathogenesis; however, DVAs are unlikely to constitute an epileptogenic focus. Nevertheless, it is important to identify the presence of a DVA in the area of cortical dysplasia. In the context of neurosurgical resection of an focal cortical dysplasia (FCD), unknowing or inadvertent resection of the DVA may result in catastrophic venous infarction due to its vulnerability to hemodynamic changes, further highlighting DVAs being “no-touch” lesions.
Flow-Related Complications
As mentioned above, DVAs are related to a less compliant venous drainage of the brain because either the deep or the superficial venous routes are not established. Thus, a limited number of collector veins drain a relatively large territory of brain parenchyma. Collector veins can, therefore, be overloaded due to the multiple, dilated medullary veins feeding them. A disturbance in the balance between inflow and outflow of blood can lead to flow-related neurologic complications. Flow-related complications were found in up to 71% of symptomatic DVAs, though this study was likely biased, given its referral base from a neurovascular center.3 Flow-related complications include increased flow from an arteriovenous shunt such as a DVA draining an AVM (Fig 7) or a “microshunting” phenomenon from increased arterial blood flow into a DVA, leading to early venous filling. DVA outflow complications can be attributed to either stenosis or thrombosis of the DVA collector vein. A DVA with a MicroShunt shows early venous filling of the DVA on angiography secondary to an increased arteriolar inflow of blood. This is a phenomenon most commonly seen in large-sized DVAs or DVAs with complex angioarchitecture. MR imaging perfusion techniques such as DSC and arterial spin-labeling can better characterize the microcirculation of a DVA.26⇓⇓-29 On DSC perfusion, normal DVAs follow the cerebral vein and dural venous sinus hemodynamics, with elevated relative CBV and CBF. DVAs with venous outflow impairment may reveal an elevated MTT (Fig 8).26⇓⇓-29 In a cohort study, Jung et al27 demonstrated that the area around a DVA with increased signal intensity on T2 and FLAIR showed increased relative CBV and MTT compared with normal white matter. This finding is supportive of the hypothesis of symptomatic DVAs with a microshunt leading to venous congestion and, with time, perivenular gliosis around the DVA.
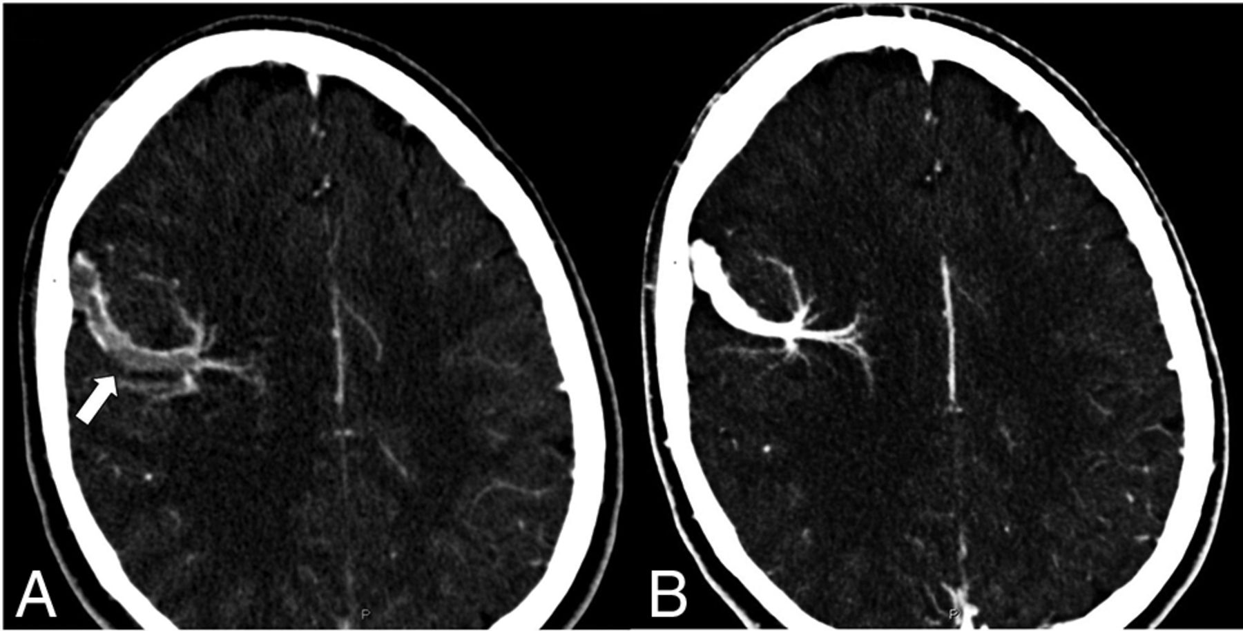
DSA cerebral catheter angiogram in the arterial phase image (A) demonstrates a left occipital AVM nidus (arrowhead) supplied by the left posterior cerebral artery (arrow). Subsequent late arterial (B) and early venous (C) images show the AVM nidus (arrowhead) draining into a right occipital DVA (arrowhead), with an early venous filling of the collector vein (arrowhead). The patient underwent stereotactic radiation treatment with successful obliteration of the AVM nidus with preservation of the DVA venous architecture.
A patient with headache and ataxia. Contrast-enhanced T1WI (A–C) shows the DVA medusa veins in the cerebellar hemispheres (arrowheads) with a pair of draining veins and ultimately a common collector vein (arrows) draining into the right tentorial venous sinus. DSC MRI perfusion demonstrates a pronounced and asymmetrically increased MTT (D) in the right cerebellar hemisphere, consistent with venous hypertension. CBV (E) and CBF (F) images shows expected increased cerebral blood volume and flow in the DVA medusa veins.
Venous thrombosis can occur in DVAs, leading to venous ischemia or hemorrhage. The paucity of reports of thrombosed DVAs in the earlier literature may be due to under-recognition and reporting. Marked hyperdensity of the collector vein on noncontrast CT may be a sign of a thrombosed DVA and warrants further investigation with CT or MRV. A literature review of a small number of cases of thrombosed DVAs suggests similar procoagulant risk factors, such as oral contraception, postpartum, or no identifiable risk.2 There is currently no evidence to suggest that DVAs are more prone to thrombosis than normal cerebral veins. However, it is important for the radiologist to identify a thrombosed DVA because treatment is similar to that of venous or dural sinus thrombosis: Anticoagulation is used in the treatment of thrombosed DVAs, aiming to prevent the progression of the thrombus, limit new thrombus formation, and facilitate recanalization of the collector vein (Fig 9). The standard precaution for initiating anticoagulation is unchanged except for the potential risk of bleeding when there is a coexisting CCM. DVAs with venous outflow obstruction due to narrowing or kinking of the collector veins can also lead to increased venous congestion. Neurovascular intervention could be considered in selective cases when conservative treatment fails. Recently, a case of rescue venous stent placement has been reported in a patient with a pontomedullary DVA with venous outflow obstruction despite conservative treatment with anticoagulation.30
A young patient presented with a sudden onset of severe headaches after a marathon race. Presentation CTV (A) shows thrombosis of a DVA collector vein (arrow) overlying the right frontal cerebral convexity. The patient was placed on antiplatelet medication, and a follow-up CTV (B) showed a resolution of the thrombus.
Spontaneous hemorrhage related to a DVA is uncommon and should be attributed to an underlying CCM, venous outflow obstruction, or flow-related shunt with a microaneurysm unless proved otherwise, further highlighting DVAs being no-touch lesions, which should not be removed, irradiated, or embolized. Vascular imaging and recognition of the DVA are paramount because often the DVA could be masked or distorted by the hematoma. When the surgical evacuation of a cerebral hematoma is considered, effort should be made to preserve the DVA.
Mechanical Effect
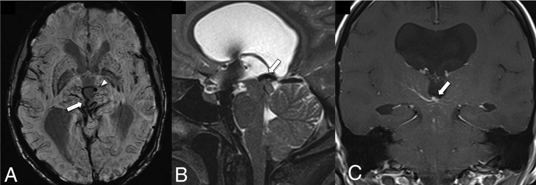
The collector vein of a DVA can rarely lead to a mechanical effect on adjacent structures. In the posterior fossa, collector veins near the root entry zone of cranial nerves can lead to neurovascular conflicts such as trigeminal neuralgia. The neurovascular decompression procedure requires more attention because the venous wall of the DVA collector vein is more delicate than an arterial vessel and has to be preserved. Rarely, the DVA collector vein can obstruct CSF flow at the cerebral aqueduct (Fig 10).31 Depending on the degree of obstruction and resultant hydrocephalus, there may be a need for CSF shunting or an endoscopic ventriculostomy CSF diversion procedure as a treatment.32
A midline midbrain DVA with the collection vein (arrow) obstructs the cerebral aqueduct leading to ventriculomegaly. SWI (A) shows the radially oriented medullary veins in the midbrain and an associated microbleed in the left anterior thalamus (arrowhead). T2-SPACE (B) and gadolinium-enhanced T1-weighted (C) images depict the location of a large collector vein obstructing the entrance into the cerebral aqueduct. Images courtesy of Dr Arjuna Somasundaram and Dr Christian Schwindack.
Syndromic Association
Most DVAs have sporadic and isolated findings; however, DVAs can be part of a syndromic feature in patients with mutations in either shared RAS-MAPK and PI3K/AKT/mTOR intracellular signaling pathways, which are drivers of the phenotypic development of vascular malformations and tumors.33 Most notably, syndromes associated with DVAs include blue rubber bleb nevus syndrome (BRBNS), constitutional mismatch repair deficiency syndrome (CMMRD), and the more recently described cerebrofacial venous metameric syndrome (CVMS). BRBNS is mostly sporadic, but a few reported cases show autosomal dominant inheritance caused by TIE2/TEK somatic mutations, which encode the endothelial cell–specific tyrosine kinase receptor that functions via the PI3K/AKT/mTOR signaling pathway. The syndrome is characterized by multiple rubbery venous malformations found in the skin, brain, and visceral organs. The correlation between DVAs and BRBNS was underestimated in the older literature due to imaging techniques and the nonunified use of DVA as descriptive terminology.34 CMMRD is also known to be associated with DVAs. It is an autosomal recessive biallelic (homozygous) germline mutation in the mismatch repair genes (MLH1, MSH2, MSH6, and PMS2).35 CMMRD manifests as neoplastic and non-neoplastic processes such as a DVA. Oncologic manifestations of the CMMRD are variable in the CNS, along with intestinal tumors and hematologic malignancy.35 There is a robust association of CMMRD with DVAs, which has been suggested to be a potential quantifiable factor for CMMRD, and this is further support for a genetic basis for DVAs.35 In CVMS, facial venous malformations have a 20%–28% association with DVAs, and most of the DVAs are ipsilateral and in the same metamere as the superficial venous malformation (Fig 11).36,37 The association between DVAs and head and neck venous malformations may share a common developmental pathogenesis.
CVMS in a patient with a left orbital venous malformation depicted on the coronal T2-weighted fat saturated (A) and coronal post-gadolinium-enhanced T1-weighted fat saturated (B) images, which show an infiltrative T2-weighted hyperintense intraconal lesion with avid contrast enhancement (asterisk). Coronal gadolinium-enhanced T1-weighted image (C) reveals a large left basal ganglia DVA (arrow) with the collector vein draining in the left superior petrosal sinus.
CONCLUSIONS
Symptomatic DVAs can lead to a diverse array of clinical diseases, which can be categorized on the basis of their pathophysiologic mechanism. Neuroimaging plays a fundamental role in characterizing the angioarchitecture of the DVA and assessment of the parenchyma surrounding the DVA, using conventional, advanced, or functional imaging techniques. An accurate depiction of the pathophysiologic mechanism responsible for symptomatic DVAs are crucial for management and prognosis.
Acknowledgments
Dr Krings acknowledges the generous support from the Patricia Holt-Hornsby and Dan Andreae Vascular Research Unit and UMIT (University Medical Imaging Toronto).
Footnotes
This review was presented as an education exhibit (NR118-ED-X) at the Radiological Society of North America (RSNA) Annual Meeting in 2016 and received a Certificate of Merit.
Disclosure forms provided by the authors are available with the full text and PDF of this article at www.ajnr.org.
Indicates open access to non-subscribers at www.ajnr.org
References
- Received October 15, 2022.
- Accepted after revision February 23, 2023.
- © 2023 by American Journal of Neuroradiology