We read with interest the paper published on-line by Chokshi et al1 regarding whether 3D T2 sampling perfection with application-optimized contrasts by using flip angle evolution (SPACE) could replace T2 FSE in spinal imaging.
We agree with the authors that 3D T2-SPACE is an excellent sequence when the aim is to evaluate changes in the relationship between the diameter of the spinal canal and its contents, in particular to confirm cord compression related to stenosis of the spinal canal caused by degenerative changes, to analyze very small normal or pathologic structures (roots, rootlets, root sheaths, superficial spinal cord vessels, denticulate ligaments), or to better depict the wall of cystic lesions. However, this sequence is not capable of discriminating abnormalities of the spinal cord or of the brachial plexus distal to the spinal ganglion. We think the question should not be “which is the best sequence,” but rather, “which is the best application for each sequence?”
Sequences such as in T2 gradient recalled-echo (GRE)2,3 (multi-echo recombined gradient echo [MERGE], multiecho data image combination [MEDIC], fast-field echo [FFE]), or even proton-density and 2D T2 fast spin-echo, have long proved to be superior in the axial and sagittal plane for better visualization of spinal cord abnormalities in case of degenerative myelopathy, demyelination plaques, or other kinds of myelopathies. The 3D T2-SPACE sequence is only able to demonstrate intramedullary lesions with high water content (cystic tumors, syringomyelia, necrotic areas, dilation of the ependymal canal), but proves unsatisfactory in identifying the hyperintense signal intensity associated with demyelination plaques, edematous contusion, or ischemia.
We agree with the authors that 3D T2-SPACE is less sensitive to susceptibility and flow artifacts than 2D T2 spin-echo and T2 gradient-echo.4
3D T2-SPACE is an excellent sequence, but it should not be used alone. Instead, it should be used in conjunction with the T2-FSE or T2-GRE sequences, depending on the clinical indication.
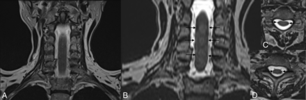
Furthermore, we think it would be useful for the reader if some of the limitations of 3D T2-SPACE were mentioned, such as the visualization of false superficial siderosis, which can randomly appear in the sagittal, coronal, or axial planes, as illustrated in Fig 1.
T2 TSE (A) and 3D T2-SPACE (B) in the coronal plane. Note linear low signal intensity on both sides of the spinal cord (arrows, B) on 3D T2-SPACE, also visible on the axial plane (C and D), mimicking superficial siderosis.
References
- © 2017 by American Journal of Neuroradiology








